
本文介绍1例胃食管反流致重度牙侵蚀症的咬合重建治疗过程。通过数字化微笑设计,指导技师制作诊断蜡型和
垫式可摘局部义齿;
垫式可摘局部义齿戴用2个月无异常后,将注入双固化复合树脂的硅橡胶阴模在基牙上复位完成诊断饰面,评估口腔功能和美学效果,分段制作过渡性修复体;口内试戴超过6个月,再次确认功能及美学无异常后,用玻璃陶瓷制作单冠和高嵌体进行全牙列最终修复。随访12个月患者修复效果稳定。
版权归中华医学会所有。
未经授权,不得转载、摘编本刊文章,不得使用本刊的版式设计。
除非特别声明,本刊刊出的所有文章不代表中华医学会和本刊编委会的观点。
牙侵蚀症是指在无细菌参与的情况下,牙面受酸或其螯合物的化学侵蚀作用而引起的一种慢性病理性牙体硬组织表面浅层丧失[1],主要由内源性或外源性酸引起,部分患者可同时伴咀嚼食物导致的牙齿机械性磨耗[2]。严重的牙侵蚀症患者需行局部或全口牙列修复治疗。本文介绍1例胃食管反流致重度牙侵蚀症的咬合重建治疗过程。
患者女性,38岁,2015年9月就诊于浙江大学医学院附属第一医院口腔修复科,自述数年来上前牙变短影响美观,近期冷热刺激敏感加重,既往患胃食管反流10余年,治疗后已明显缓解,无夜磨牙症病史。
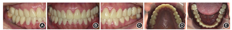
患者颌面部基本对称,开口度和开口型无异常,开闭口运动颞下颌关节无弹响及杂音,咀嚼肌群触诊无不适。面部比例协调,面下1/3高度无明显降低,中位笑线,微笑时上颌中切牙暴露量不足(图1A)。口内检查:全口牙齿不同程度磨损,上前牙明显变短(图1B,图1C,图1D,图1E);16—26、33—43舌侧及
面、36、47
面牙釉质缺失,继发性牙本质暴露,25
面大面积银汞充填伴继发龋坏,12、14、15、17、26邻
面龋坏,34—43唇侧颈部龋坏,探诊(-),叩诊(-);27伸长约3 mm,37、46缺失,全口牙齿均无明显松动;上颌前牙龈缘呈左高右低,上前牙间隙宽约1.5 mm。下前牙舌侧少量牙结石,牙龈稍红肿。咬合检查:上下颌前牙对刃,右侧侧切牙、尖牙、前磨牙反
;前伸运动时右侧磨牙引导,前牙不接触;右侧方运动时右侧第二磨牙引导,左侧方运动时左侧尖牙与前磨牙引导形成组牙功能
。

像;C:右侧
像;D:左侧
像;E:上颌
面像;F:下颌
面像
像;C:右侧
像;D:左侧
像;E:上颌
面像;F:下颌
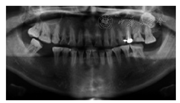
面像曲面体层X线片示37、46缺失,25根充不全,根尖周阴影,26近中邻
面龋深及牙髓,27伸长且根方可见28颊舌向埋伏阻生(图2)。许勒位X线片示,双侧髁突骨皮质完整,形态无异常(图3)。




重度牙侵蚀症;37、46缺失;25慢性根尖周炎;12、14、15、17、26、34—43龋病及继发龋;28埋伏阻生;慢性龈缘炎。
①患者因胃食管返流引起牙体硬组织严重缺损,有改善美观和减轻牙本质敏感症状的强烈意愿;根据患者诉求和专科检查,确立治疗目标为改善牙本质敏感症状,恢复前牙美观和正常唇齿关系,建立前伸切导和前侧导,形成理想
曲线。②患者在牙齿磨损的同时可能存在牙槽骨代偿性增生,从患者面部比例分析,垂直距离无明显降低;但后牙修复空间不足,需增加垂直距离。③患者牙齿磨损严重,但颌面部检查颞下颌关节和咀嚼肌群无异常症状和体征,因此考虑在现有牙尖交错位上增加垂直距离进行咬合重建。④上颌前牙牙冠过短,宽长比例约为95%,美学设计拟加长上前牙切端,重建正常的宽长比例。⑤27明显伸长,且根方有埋伏牙横向阻生,无法通过正畸方式压低,需行调
或根管治疗。⑥多数牙冠高度不足,机械固位形较差,因此选择粘接性更好的玻璃陶瓷进行全冠修复和个别后牙的高嵌体修复。患者对治疗方案知情同意。
根据患者微笑时上颌中切牙的暴露量和牙龈位置,确定上颌中切牙切缘位置,进行数字化微笑设计(图4);同期行牙周基础治疗,25、26根管治疗,龋病治疗。


面弓转移上
架,测得原始前伸和侧方髁导斜度。以数字化微笑设计为参照,在牙尖交错位上增加垂直距离后制作诊断蜡型,增加值为满足前牙美学和后牙
面修复所需的最小空间。根据诊断蜡型和原始模型垂直距离差值,制作
垫式可摘局部义齿,戴入后前牙区垂直距离增加约2.8 mm。
垫式可摘局部义齿全天配戴2个月后,患者无不适。磷酸酸蚀基牙,涂布粘接剂,用双固化复合树脂(ParaCore,康特,瑞士)通过硅橡胶阴模制作全牙列诊断饰面。经患者确认美学效果后,行13—23、35—45牙体预备,制作过渡性修复体,对上颌前牙区进行牙龈塑形,后牙区暂保留诊断饰面,以维持增加后的垂直距离。修复后前伸、侧方运动已建立正常引导。同时在37、46缺牙区植入种植体(Ankylos,登士柏,德国)。27伸长过多,通过调
无法为37预留足够的修复空间,遂行根管治疗。
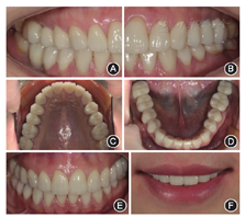
6个月后行全口牙体预备,37、46基台固定,制作全口过渡性修复体。17、36、47暂不预备,待最终修复时行高嵌体修复。经过树脂冠的长期塑形,上颌前牙区已形成较理想的牙龈乳头(图5)。

像;B:正面
像;C:左侧
像;D:上颌
面像;E:下颌
面像
像;B:正面
像;C:左侧
像;D:上颌
面像;E:下颌
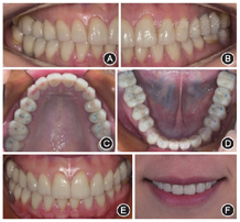
面像全口过渡性修复体戴用3个月后,再次与患者确认功能和美学效果无异常,按右侧后牙、左侧后牙、上下颌前牙的顺序,分3个区段行最终修复,17、27、36、47设计铸瓷高嵌体,余牙为铸瓷单冠修复。修复后前牙牙冠宽长比例适当,前牙美学、唇齿关系恢复理想(图6);覆
覆盖正常,牙尖交错位咬合稳定,前伸运动时由上下颌切牙引导,侧方运动为尖牙保护
。曲面体层X线片示修复体边缘密合无悬突(图7)。

像;B:左侧
像;C:上颌
面像;D:下颌
面像;E:正面
像;F:口唇部正面微笑像
像;B:左侧
像;C:上颌
面像;D:下颌
面像;E:正面
像;F:口唇部正面微笑像

修复后12个月患者牙尖交错位咬合稳定,前伸、侧方运动无
干扰,修复体无明显崩瓷和磨耗,牙龈无明显退缩(图8)。下颌前牙区牙龈轻微炎症,再次行口腔卫生宣教。

像;B:左侧
像;C:上颌
面像;D:下颌
面像;E:正面
像;F:口唇部正面微笑像
像;B:左侧
像;C:上颌
面像;D:下颌
面像;E:正面
像;F:口唇部正面微笑像本病例是典型的重度牙侵蚀症,根据Smith和Knight[3]提出的牙齿磨损指数进行分类诊断,大部分患牙为最严重的4级。由内源性胃酸引起的重度牙侵蚀症患者,首先需针对病因治疗,确定胃食管反流已控制缓解后,再进行修复治疗。
牙列重度磨耗患者的治疗设计,需兼顾功能与美学,应考虑多方面因素,如颌位选择、垂直距离、
平面、切道斜度、龈缘位置、前牙排列与发音、后牙
面形态等[4]。Muts等[5]回顾大量文献,总结咬合重建序列治疗的五步法:①制作诊断蜡型并进行诊断性排牙;②选择正中关系位作为重建颌位;③用可摘或固定式过渡性修复体恢复垂直距离,使咀嚼系统适应新的咬合关系;④建议使用复合树脂或玻璃陶瓷进行最终修复;⑤定期随访。
关于咬合重建时颌位的确定,目前尚存在争议。共识性的观点为,当患者多数牙齿缺失、原有稳定的牙尖交错位改变或丧失时,正中关系是唯一能被较好地重新获得的上下颌位置关系,咬合重建时水平颌位应建立于正中关系位[6]。而当需要重建的上下牙列咬合稳定,现有颌位关系在功能负载时无关节肌肉不适时,部分学者认为可在患者已适应的现有牙尖交错位上进行咬合重建[7]。因此对本病例选择在现有牙尖交错位上增加垂直距离进行咬合重建,以减少患者适应时间,避免额外风险。
患者在长期慢性的牙齿磨损后,可能存在牙槽骨代偿性增生,因此面下1/3高度无明显降低[8]。但为后牙获得足够的修复空间,必须增加垂直距离。Abduo[9]回顾大量咬合重建患者资料后认为,垂直距离增加5 mm以内相对安全,在新的垂直距离上戴用固定式过渡性修复体,便于美学评估,患者也易适应。
目前临床常用于后牙冠修复的全瓷材料主要为二氧化锆和二硅酸锂玻璃陶瓷,本病例选择粘接性能更好的二硅酸锂玻璃陶瓷进行修复,既有利于固位形不佳的基牙的修复体固位以及磨牙高嵌体的粘接固位[10,11],又可保证材料的均一性,有利于全口修复体在长期行使功能时的均匀磨耗,维持正常
曲线的稳定。
治疗后12个月随访,患者重建的牙尖交错位稳定,修复体无崩瓷脱落,下颌运动顺畅,关节肌肉无不适症状。本病例的颌位选择、垂直距离确定、咬合方式设计和最终修复材料选择,在短期内取得较理想的效果,但用玻璃陶瓷进行全口咬合重建的远期效果尚需进一步跟踪随访。
所有作者均声明不存在利益冲突
本文介绍了1例胃食管反流致重度牙侵蚀症的咬合重建病例,资料较完整,修复效果良好,修复设计有临床参考价值。对于咬合重建病例,确立正确的正中关系和垂直距离非常重要。后牙修复空间的不足不宜成为垂直距离必须增加的理由。垂直距离的确定,除兼顾重建前牙美学和正常唇齿关系的需要外,还应结合息止
间隙法、吞咽法、发音法、面部比例观察法等方法的联合运用,综合判断,并经
垫等诊断性修复体的验证,以确立合适的垂直距离。
本病例是以修复为主的功能和美学重建,如何将诊断饰面或过渡性修复体的形态精确体现在最终的修复体上富有挑战性,数字化修复技术的应用有助于解决此“精确复制”问题。本病例虽获得良好的修复效果,若结合数字化技术的应用,则效果会更佳。前牙的美学修复,除修复体的形态、颜色外,牙龈的色、形、质是必须考虑的问题。本病例在永久修复前,采用过渡性修复体对上颌前牙区进行牙龈塑形,形成较理想的龈乳头外形,值得借鉴。
修复重建治疗应尽可能微创,体现在修复体类型的选择上,贴面、嵌体、部分冠均是较好的修复选择,其临床效果尚需长期的临床观察。





















