
探讨儿童白血病中枢神经系统并发症(CNSCL)的影像学表现及临床联系。
回顾性分析2010年5月至2018年6月上海交通大学医学院附属上海儿童医学中心诊治的49例儿童CNSCL的CT、磁共振成像(MRI)表现及临床资料。
1.血管性病变23例,其中出血20例,脑梗死2例,静脉窦栓塞1例。20例颅内出血包括硬膜外出血1例,脑内出血19例,均为多发。CT表现为团状或斑片状高密度影,MRI SWI序列呈低信号。2.中枢神经系统浸润23例,其中硬膜和/或颅骨浸润18例,表现为硬膜和/或颅骨梭形增厚或肿块,CT呈高密度,T1WI呈低信号,T2WI呈中等信号,明显强化;软脑膜浸润6例,表现为软脑膜增厚、强化;脑实质浸润2例,肿块形成,CT呈偏高密度;2例动眼神经、1例视神经浸润,MRI显示增粗、强化。3.脑白质病变2例,表现为片状T2WI高信号影。4.二次肿瘤1例,为脑干胶质瘤。
儿童CNSCL影像学表现多样,CT、MRI具有重要诊断价值,根据患者的临床症状、检验结果等选择最优影像检查方式及序列能为临床提供更多有价值的信息,对临床诊治有重要意义。
版权归中华医学会所有。
未经授权,不得转载、摘编本刊文章,不得使用本刊的版式设计。
除非特别声明,本刊刊出的所有文章不代表中华医学会和本刊编委会的观点。
白血病是儿童最常见的恶性肿瘤,约占儿童所有恶性肿瘤的30%。随着治疗方法的不断改进,白血病成为目前疗效最好、治愈率最高的恶性肿瘤之一[1],生存期延长的同时白血病中枢神经系统并发症(CNSCL)增加[2],CT和磁共振成像(MRI)的应用对其诊断、治疗有重要意义。国内关于CNSCL影像研究多集中在成人,儿科领域尚缺乏较系统的影像资料。本研究回顾性分析经病理、脑脊液(CSF)及临床证实的49例儿童CNSCL的影像表现及临床资料(不包括脊髓受累病例),旨在分析儿童CNSCL的影像表现,并探讨其临床联系。
回顾性分析上海交通大学医学院附属上海儿童医学中心2010年5月至2018年6月间经临床、CSF、病理证实的儿童CNSCL 49例(除外感染、可逆性后部脑病及椎管内病变),其中经手术病理证实2例,CSF阳性8例,其余经临床及肿瘤治疗有效证实。49例中,男34例,女15例;年龄3个月~17岁,中位年龄6岁。其中急性淋巴细胞白血病(ALL)33例,急性非淋巴细胞白血病16例。49例中,皮肤、消化道、尿道、眼底等部位出血19例,头颅肿块11例,脑膜刺激征6例,颅高压8例,视物模糊、重影3例,肢体无力或瘫痪16例,昏迷、呼吸急促2例。经治疗缓解45例,死亡4例。本研究经上海儿童医学中心伦理委员会审核通过(批号SCMCIRB-W2019008),均经患儿监护人知情同意。
23例进行了CT检查,其中15例为增强检查;44例进行了MRI检查,其中30例为增强检查。CT检查采用GE light speed 16排螺旋CT机,管电压120 kV,管电流160 mA层厚5 mm,螺距1.25 mm,矩阵512×512。MRI扫描采用Philips Achieva 1.5T MRI扫描仪,常规头颅TFE、TSE、液体衰减反转恢复序列(FLAIR),行轴面、矢状面成像。T1WI:TR 449~649 ms,TE 13 ms;T2WI:TR 4 490 ms,TE 130 ms;T2WI FLAIR:TR 6 000 ms,TE 140 ms,TI 2000 ms;NEX 1,层厚5 mm,层间隔1 mm,FOV 240 mm×240 mm,矩阵256×224。增强扫描静脉团注Gd-DTPA 0.1 mmol/kg。磁敏感加权成像(SWI) TR 28 ms,TE 20 ms,层厚2 mm,层间隔0 mm,反转角15°,FOV 240 mm×240 mm,矩阵448×320,采用最小强度投影获得图像。
49例患儿均有原发病或治疗引起的颅内病变,其中脑血管性并发症和白血病颅脑浸润是最常见的,其次为脑白质病变和二次肿瘤(表1)。

儿童CNCSL 49例影像、临床表现
Forty-nine cases of imaging and clinical manifestations of CNCSL
儿童CNCSL 49例影像、临床表现
Forty-nine cases of imaging and clinical manifestations of CNCSL
| 中枢神经系统影像学诊断 | 例数 | 比例(%) | 临床表现 | 影像学表现 | |
|---|---|---|---|---|---|
| 血管性病变 | 脑出血 | 20 | 40.8 | 头痛,呕吐,皮肤瘀斑,颅压高,抽搐,肢体无力,偏瘫,嗜睡,意识模糊,昏迷 | CT高密度影,SWI低信号 |
| 脑梗死 | 2 | 4.1 | DWI高信号,磁共振血管成像充盈缺损 | ||
| 静脉窦栓塞 | 1 | 2.0 | 磁共振静脉窦流空信号消失,"空Δ征" | ||
| 颅脑浸润 | 硬脑膜浸润 | 16 | 32.7 | 头痛,呕吐,颅压高,脑膜刺激征,视物模糊、重影,肌力减退,颅神经麻痹症状 | 硬膜和/或颅骨梭形或结节、肿块样增厚,可跨颅板,CT较高密度,磁共振T1WI低信号,T2WI中等信号,明显强化 |
| 颅骨浸润 | 12 | 24.5 | |||
| 脑实质浸润 | 2 | 4.1 | CT高密度肿块,磁共振T1WI低信号、T2WI中等信号肿块伴周围脑实质水肿 | ||
| 软脑膜浸润 | 6 | 12.2 | CT、磁共振增强FLAIR序列软脑膜广泛或局限性增厚、强化 | ||
| 颅神经浸润 | 3 | 6.1 | 颅神经增粗、强化 | ||
| 脑白质病变 | 2 | 4.1 | 惊厥,高血压,嗜睡 | 脑白质T2WI高信号 | |
| 二次肿瘤(脑干胶质瘤) | 1 | 2.0 | 昏迷 | T1WI稍低信号,T2WI稍高信号,极轻度强化 |
注:CNCSL:白血病中枢神经系统并发症;FLAIR:液体衰减反转恢复序列 CNCSL:central nervous system complications of leukemia;FLAIR: fluid-attenuated inversion-recovery
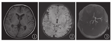
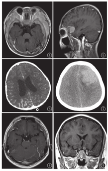
共23例,其中脑出血20例均为多发病灶,包括血肿和/或微出血。CT表现为片状高密度影,MRI常规序列因时间不同而不同,SWI呈低信号,且能显示微出血灶(图1、图2)。脑梗死2例中1例行CT检查,表现为右侧基底核区及额顶叶片状低密度影,其磁共振血管成像显示右侧大脑中动脉闭塞(图3),2例MRI平扫均呈T1WI低信号、T2WI等信号,DWI显示弥散受限。静脉窦栓塞1例,表现右侧乙状窦流空信号消失、T1WI高信号,增强检查见充盈缺损,呈"空Δ征"。


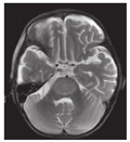
共23例,包括硬脑膜、软脑膜、脑实质、颅骨和颅神经的浸润,部分病例兼有2种或2种以上浸润形式。23例中硬膜伴和/或伴颅骨浸润18例,表现为硬膜和/或颅骨梭形或结节、肿块样增厚,颅骨以颅底骨受累显著,可跨颅板(图4)。病灶在CT上呈较高密度,T1WI低信号,T2WI中等信号,增强检查明显强化(图5);软脑膜浸润6例,表现为软脑膜广泛或局限性增厚、强化(图6);脑实质浸润2例,CT表现为高密度肿块(图7),MRI T1WI低信号、T2WI中等信号肿块伴周围脑实质水肿;颅神经浸润3例,MRI表现为2例动眼神经(1例单侧,1例双侧,图8)、1例双侧视神经增粗强化(图9)。


共2例,1例表现为半卵圆中心、脑室周围白质T2WI高信号,1例表现为双侧顶枕叶为主T2WI高信号,复查好转。
1例,为脑干胶质瘤,T1WI稍低信号,T2WI稍高信号,DWI弥散不受限,增强检查极轻度强化(图1,图2,图3,图4,图5,图6,图7,图8,图9,图10)。


中枢神经系统是白血病发生浸润或复发的常见部位。白血病中枢神经系统并发症包括白血病细胞直接侵犯中枢神经系统和治疗伴发的中枢神经系统异常,如脑血管病变、脑积水、二次肿瘤、脑白质病变、感染等,后者未纳入讨论。主要表现为发热、呕吐、头痛、抽搐、脑膜刺激征、视力障碍、偏瘫等,也可以无明显症状。
血管性病变是白血病常见的中枢神经系统并发症[2]。本组血管性病变约占46.9%(23/49例),以脑出血最多见,出血位置与血管分布区无关,与高血压所致脑出血不同。出血原因与高白细胞血症所致白细胞淤滞[3]、血小板减少、凝血功能异常、脓毒症等因素有关。Freireich等[4]对一组白细胞>300×109/L的高白细胞血症、白细胞危象、病程急性期死亡且伴有颅内出血的白血病患者进行镜检发现脑白质毛细血管内白细胞聚集、淤滞及白细胞结节形成,导致毛细血管壁破坏、出血,许多微出血灶融合形成肉眼可见的出血灶。本组20例脑出血中高白细胞血症(白细胞>100×109/L)达10例(50%),其中白细胞超过300×109/L者8例(40%),因此对于高白细胞血症患者应行影像检查排除脑出血风险。
左旋门冬酰胺酶是治疗成人和ALL的有效药物,几乎包含在所有ALL治疗方案中[5]。研究表明,该药物可导致血液中与凝血和纤溶有关的血浆蛋白缺失,与颅内出血、梗死、静脉窦栓塞等白血病脑血管并发症有关[6]。对于临床怀疑急性脑出血的患者,影像检查首选CT,但CT及常规MRI序列对微出血灶的检出敏感度均较低。而SWI序列是一种反应组织磁化属性的MRI新技术,可明显提高引起磁敏感效应物质的检出率。本组20例脑出血患者中17例MRI加扫SWI序列,其中8例患者SWI序列有新发现的微出血灶。因此对于白血病患者尤其高白细胞血症者评估出血风险时应行SWI序列检查。
由于血脑屏障的"保护"作用,多数化疗药物难以在CSF中达到有效浓度,不能有效杀灭中枢神经系统的白血病细胞进而导致颅脑浸润,甲氨蝶呤鞘注已经大大降低其发病率[7],但中枢神经系统仍是小儿最常见的髓外复发部位。目前CSF细胞学检查是中枢神经系统白血病诊断的金标准,但是假阴性率可达40%[8],单纯依靠CSF检查并不准确。本组7例MRI检查软脑膜浸润,1例CSF检查阴性,假阴性率为16.7%。由此可见MRI联合CSF细胞学检查可提高中枢神经系统白血病检出率。
颅脑浸润包括硬脑膜浸润、软脑膜浸润、脑实质浸润、颅骨浸润及其混合型,均可呈弥散性或局限性[9]。脑膜浸润,一般认为是白血病细胞经脑膜血管向蛛网膜下腔播散的结果,MRI增强后FLAIR序列可清晰显示脑膜增厚、强化,因此怀疑脑膜浸润时应行此序列检查。粒细胞肉瘤见于粒细胞白血病[10],于起病或复发时出现,儿童较成人更易发生,可发生于全身多部位,尤其颅脑、眼眶、鼻窦,在颅脑可弥散性或局限性侵犯硬脑膜、软脑膜、脑实质、颅骨。CT表现为高密度,单凭CT值与脑内血肿难以鉴别,需结合凝血指标、皮肤有无出血点、SWI等。MRI检查T1WI呈低信号,T2WI呈中等信号,增强检查明显强化。
颅神经麻痹是白血病颅内浸润的典型表现之一,最常受累的是单侧面神经[11]。颅神经浸润与否对白血病初诊时CNS状态分级有重要意义,CNS 3级的诊断标准为CSF中存在白血病细胞(计数≥5×106)或存在颅神经麻痹或影像学检查显示头颅肿块[12]。本组3例临床症状有视物重影、模糊,MRI检查发现2例动眼神经、1例视神经增粗强化,提示颅神经浸润,因此支持临床将其归为CNS状态3级。
化疗药物,尤其是甲氨蝶呤等,可能会导致脑白质毒性改变[13]。这种白质毒性作用可有或无临床症状,呈一过性或永久性。本组1例患儿化疗前头颅MRI表现正常,接受化疗后6个月出现肢体乏力,言语不清,步态异常,MRI检查半卵圆中心及脑室周围白质T2WI呈高信号。放射治疗诱导的肿瘤,尤其是脑肿瘤,是儿童白血病患者最常见的二次肿瘤,胶质瘤最常见,其次是室管膜瘤、淋巴瘤、脑膜瘤[14]。5岁或5岁以内接受过颅脑放疗,或有基因易感性(如双侧视网膜母细胞瘤,神经纤维瘤病Ⅰ型),或骨髓移植后的儿童风险明显增大,且治疗诱导的肿瘤更具侵袭性[15]。颅脑放疗和肿瘤发生之间的潜伏期长短变化较大,本组1例为脑干胶质瘤,发生于白血病起病后3年余,无放疗史,可能与潜在遗传因素有关。
随着治疗手段的提高和生存期延长,CNCSL增加,脑血管病变、颅内侵犯等原发病或治疗引起的颅内异常在影像上有一定特征性,神经影像的进步为临床提供更多证据,熟悉白血病中枢神经系统并发症的危险因素和影像表现可促进本病的及早发现和干预。
所有作者均声明不存在利益冲突





















