
就梨状肌相关解剖结构、梨状肌综合征的病理生理与病因学、临床表现与诊断标准进行了论述,并结合本院收集病例重点探讨不同病因所致梨状肌综合征的MR表现。结果表明MR对梨状肌综合征具有重要辅助诊断价值,可帮助临床医生寻找病因并制定正确治疗方案,临床医生与影像科医生的密切配合可提高梨状肌综合征的诊断准确性,使患者受益。
版权归中华医学会所有。
未经授权,不得转载、摘编本刊文章,不得使用本刊的版式设计。
除非特别声明,本刊刊出的所有文章不代表中华医学会和本刊编委会的观点。
梨状肌综合征(piriformis syndrome,PS)是坐骨神经受压迫或刺激导致的神经肌肉疾病[1]。其临床表现与腰椎间盘突出相似,但患病率低于后者,因此极易被忽视,导致误诊、误治。MRI以其较高的软组织分辨力可为PS的诊断与鉴别诊断提供丰富的影像信息。笔者结合梨状肌相关解剖结构、PS的病理生理与病因、临床表现与诊断标准,及本院收集病例重点探讨不同病因所致PS的MRI表现。
梨状肌起于骶S2~S4前孔外侧,经坐骨大切迹上缘,穿坐骨大孔出骨盆,止于股骨大转子梨状肌窝。其功能为大腿外伸时使髋关节外旋,屈曲时使髋关节外展。坐骨大孔被其分为梨状肌上孔和下孔,两孔均有血管、神经通过,其中坐骨神经多经梨状肌下孔出盆腔至臀大肌深面,经股骨大转子与坐骨结节连线中点稍内侧降入股后区,支配大腿后侧及膝关节以下的感觉和运动[2]。此外,臀上神经于梨状肌上孔出盆腔,行于臀中、臀小肌间,支配臀中、臀小肌和阔筋膜张肌的感觉和运动;臀下神经于梨状肌下孔出盆腔,行于臀大肌深面,支配臀大肌的感觉和运动。
PS的症状由两种病理生理改变所致:一是炎性因子对坐骨神经及周围组织的化学刺激;二是病变对坐骨神经的机械压迫。其病因分为原发性与继发性。原发性PS指因梨状肌病变引起坐骨神经受压或刺激症状,继发性指坐骨大孔水平其他疾病所致坐骨神经病变[3]。但有学者认为任何邻近坐骨切迹水平的坐骨神经的病变均可表现为PS的症状,可与梨状肌无直接关联。因此,把所有非椎间盘疾病所致坐骨神经痛均诊断为PS并不合适[4]。PS的病因多样,包括梨状肌与坐骨神经解剖变异、肿瘤与肿瘤样病变、感染性或非感染性炎症、外伤、妊娠与分娩等。除器质性病变外,亦有如梨状肌痉挛等功能性疾病。
PS的临床症状以臀部疼痛最常见,可伴有大腿及小腿后部、腹股沟区、会阴部、髋部、骶尾部疼痛,另可有排便时直肠区疼痛,患者取坐姿和蹲姿时疼痛加剧[5,6,7]。部分患者患肢肿胀、臀肌萎缩,亦可伴有性功能障碍[6]。查体梨状肌紧张试验可阳性,直肠指诊可于梨状肌内侧端、盆腔外侧壁触及包块[8]。PS虽与腰椎间盘突出症相似,但亦有不同之处:后者以下肢放射痛伴腰痛最常见,而PS患者少有腰痛;直腿抬高试验中腰椎间盘突出所产生放射痛多起自腰部,而PS所产生放射痛多起自臀部,且抬高超过60°时疼痛反而减轻[9,10]。
目前尚无诊断PS的金标准。新近有文献综合病例报道与流行病学研究将PS定义为臀部疼痛、坐姿时疼痛加剧、坐骨大切迹外压痛及梨状肌紧张试验阳性的四联症,但仍需后续研究验证其诊断准确度及是否存在偏倚[11]。
在PS的诊治中,除需与腰椎间盘突出症相鉴别以外,更重要的是病因诊断。MRI对寻找PS的病因具有重要的辅助诊断价值,可帮助临床医生制定正确的治疗方案。
梨状肌和坐骨神经的解剖变异易被忽视。正常型为坐骨神经总干出梨状肌下缘,约占人群总数的61.6%。解剖变异共分5型,Ⅰ型为腓总神经穿越梨状肌,胫神经出梨状肌下缘;Ⅱ型为坐骨神经总干穿越梨状肌;Ⅲ型为胫神经穿越梨状肌,腓总神经出梨状肌上缘;Ⅳ型为坐骨神经总干出梨状肌上缘;Ⅴ型为胫神经出梨状肌下缘,腓总神经出梨状肌上缘[12]。Ⅰ型变异最常见,约占所有变异型的91.0%,其MRI表现为坐骨神经行经梨状肌前已分为胫神经与腓总神经,同时梨状肌肌腹分为两支,腓总神经穿过其中间裂隙。因此腓总神经易受卡压,梨状肌本身并无信号异常[13,14,15]。放射科医生若不熟知梨状肌与坐骨神经正常与变异的MRI表现,极易漏诊。诊疗中须紧密结合临床症状及体征。骨盆MRI具有重要辅助诊断作用,应切忌因MRI无明显异常信号而忽视解剖变异的可能。
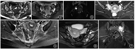
肿瘤导致的PS症状主要源于骨盆与坐骨大孔区域骨与软组织肿瘤压迫、侵犯坐骨神经。MRI显示,恶性肿瘤多边界不清、边缘不规则,向周围组织浸润生长;良性肿瘤多边界清楚,对周围组织形成压迫。梨状肌的恶性肿瘤多为转移瘤,如宫颈癌、结直肠癌转移(图1,图2,图3);原发恶性肿瘤可见淋巴瘤及间叶组织肿瘤;良性肿瘤可见脂肪瘤,韧带样瘤虽有一定侵袭性,但仍为良性肿瘤。源于骨盆的肿瘤可见交界性肿瘤如骨巨细胞瘤、恶性肿瘤如脊索瘤[16,17,18]。源于坐骨神经的良性肿瘤如神经鞘瘤表现为坐骨神经走行区边界清楚的囊或实性肿块,T1WI呈低、稍低信号,T2WI呈高、稍高信号;神经根鞘囊肿表现为坐骨神经边界清楚囊状T1WI低、T2WI高信号病变[19,20]。此外,部分恶性肿瘤患者在治疗过程中可能出现PS症状,如本院一宫颈癌患者在放疗过程中出现臀部疼痛,MRI表现为双侧梨状肌水肿(图4,图5)。放疗所致PS虽非主要病症,但MRI可为患者治疗不良反应提供客观依据,辅助临床医生评估并及时调整治疗方案。


感染是PS重要病因之一,以骶髂关节、髋关节化脓性炎或结核累及同侧梨状肌最为常见。化脓性炎症以金黄色葡萄球菌感染为主,其他如沙门氏菌感染亦有报道。患者除PS症状外,全身可有寒战、高热,实验室检查血白细胞及C反应蛋白升高、红细胞沉降率加快。MRI可见骨质与梨状肌边界不清,T2WI高信号影,关节间隙变窄,关节腔积液,重者可见脓肿压迫、刺激坐骨神经,表现为边缘光滑、信号混杂的囊性病变,增强扫描呈明显环形强化;除梨状肌与骨盆感染表现外,亦可因炎症刺激坐骨神经使神经鞘增粗,T2WI呈高信号[21,22]。骶髂关节与髋关节结核发病较化脓性炎症缓慢,患者可有全身中毒症状,MRI显示受累骨质破坏并累及梨状肌呈T1WI低、T2WI高信号,骨旁可形成冷脓肿压迫梨状肌与坐骨神经(图6,图7)。腰椎结核形成冷脓肿亦可向下流注累及梨状肌和坐骨神经[23]。感染所致PS患者在全身症状背景下有臀、腿部疼痛时,MRI可显示感染病灶,从而尽早作出诊断。此外,免疫系统疾病可致梨状肌炎性病变,以强直性脊柱炎最常见,除骶髂关节边缘毛糙、关节间隙狭窄、关节面下骨质水肿等骶髂关节炎表现外,可见邻近梨状肌肿胀、坐骨神经及臀上、臀下神经增粗、T2WI高信号等炎症表现[3]。
急性外伤致PS较少被关注,因外界暴力致骨盆骨折,梨状肌及坐骨神经损伤,表现为骨盆骨质断裂,梨状肌及坐骨神经肿胀,T2WI高信号。此外,骨盆骨折可于局部形成血肿,压迫刺激坐骨神经。除急性损伤外,臀部钝挫伤患者可持续存在PS症状,根据对梨状肌周围瘢痕及坐骨神经与周围组织粘连情况,推断可能是因外伤引起发梨状肌炎症而造成坐骨神经卡压所致[24,25],MRI有助于外伤病史的患者及早查明病因,避免延误治疗。
孕、产妇在妊娠中晚期及分娩后可出现腰臀部及腿部疼痛。可能因胎儿体积增大,神经受压及下肢血液循环受阻导致梨状肌水肿、充血,分娩时双髋关节极度外展、外旋导致梨状肌劳损均可导致PS[26]。妊娠与分娩所致PS多为单侧发病,MRI表现为梨状肌肿胀,与周围组织分界不清,T1WI等或略低信号,T2WI高信号,坐骨神经轻度增粗并受压,梨状肌段神经显示欠清。同时,邻近骶髂关节的神经亦可表现为T2WI高信号[27]。当孕产妇出现PS症状时,其他影像检查常无异常表现,而MRI却能及早发现患侧梨状肌损伤,可作为首选影像检查方法。
功能性疾病如梨状肌痉挛的诊断困难,因其隐匿,该类患者数量可能远超过诊断的数量。患者常因长期的PS症状却无法找到真正病因致生活质量下降。MRI对其辅助诊断价值亦有限,多数患者无异常影像表现;少数患者可见梨状肌及坐骨神经水肿、炎性改变,可表现为患侧梨状肌肥大,这对临床医生可有一定提示作用[28]。患者往往在肉毒素注射、臭氧介入、神经松解术等治疗后症状缓解或消失而证实。
综上所述,PS常因症状与腰椎间盘突出症相似且相对少见,易被临床医生忽视,从而导致误诊、漏诊及误治。临床医生与影像科医生均需提高对PS的认识。临床医生接诊时需仔细询问患者病史并做针对性查体,想到本病就应进一步行MRI检查;影像科医生在阅片时应明确所见椎间盘膨、突出能否解释患者临床症状,更需仔细观察梨状肌与坐骨神经走行区是否有异常。MRI对PS具有重要辅助诊断价值,可帮助临床医生寻找病因并制定正确治疗方案,临床医生与影像科医生的密切配合可提高PS的诊断准确性,使患者受益。
所有作者均声明不存在利益冲突
1.正常解剖经梨状肌下孔出骨盆的神经是:
A.臀上神经、坐骨神经
B.臀上神经、胫神经
C.臀下神经、坐骨神经
D.臀下神经、腓总神经
2.下列梨状肌与坐骨神经解剖变异中最常见的是:
A.坐骨神经穿越梨状肌
B.胫神经出梨状肌上缘,腓总神经出梨状肌下缘
C.胫神经穿越梨状肌,腓总神经出梨状肌上缘
D.腓总神经穿越梨状肌,胫神经出梨状肌下缘
3.下列关于梨状肌综合征临床表现叙述错误的是:
A.臀部疼痛,坐姿疼痛加剧
B.腰痛放射至下肢后部
C.臀部痛放射至下肢后部
D.梨状肌紧张试验阳性
4.下列关于肿瘤致梨状肌综合征叙述错误的是:
A.梨状肌恶性肿瘤以转移瘤多见,原发肿瘤多来自结、直肠癌
B.神经鞘瘤表现为坐骨神经走行区边界清楚的囊实性肿块
C.韧带样瘤是原发梨状肌恶性肿瘤,表现为沿梨状肌浸润性生长的软组织肿块
D.当骨盆肿瘤体积较大时可压迫梨状肌及坐骨神经产生相应症状
5.下列关于梨状肌综合征MRI表现叙述不正确的是:
A.髋关节化脓性炎骨旁可形成脓肿压迫、刺激坐骨神经
B.腰椎结核不会累及梨状肌与坐骨神经
C.一些梨状肌痉挛患者MRI可表现为患侧梨状肌肥大
D.产妇分娩时髋关节外展、外旋至梨状肌劳损,MRI常表现为一侧梨状肌肿胀,坐骨神经轻度增粗





















