
脑炎分为感染性脑炎与自身免疫性脑炎两大类。致病因子为各种病原体和抗神经抗体等,临床医师对脑炎的病因诊断需要从床旁调查开始,以临床表现与神经影像等为基础,提炼患者具体的脑炎临床综合征类型,作为诊断和治疗决策的重要依据。对于特殊或者全新的临床表型的发现也是探索新病原体和新神经抗体的重要前提。
版权归中华医学会所有。
未经授权,不得转载、摘编本刊文章,不得使用本刊的版式设计。
除非特别声明,本刊刊出的所有文章不代表中华医学会和本刊编委会的观点。
脑炎是指脑实质炎性反应所致的神经功能障碍性疾病。脑炎的经典病理改变以灰质的神经元受累为主,嗜神经病毒和致病性抗神经抗体对神经元的损伤具有一定选择性,但白质髓鞘、脑膜与血管也可受累[1]。根据病因可将脑炎分为感染性脑炎与自身免疫性脑炎两大类。感染性脑炎相关的病原体种类繁多,其中各种嗜神经病毒是感染性脑炎最主要的病因,目前新的病原体还在被不断发现[2]。自身免疫性脑炎(autoimmune encephalitis,AE)泛指一类由自身免疫机制介导的脑炎,更多情况下则特指抗神经抗体相关的AE。AE相关的抗神经抗体有30余种,多数具有致病性或者诊断意义。AE占全部脑炎患者的20%~50%,其中尤以抗N-甲基-D-天冬氨酸受体(N-methyl-D-aspartate receptor,NMDAR)脑炎最常见[3,4]。这些抗神经抗体可分为抗细胞表面蛋白抗体和抗细胞内抗原抗体两类。前者主要通过体液免疫机制引起相对可逆的神经功能障碍,免疫治疗效果良好;后者主要介导细胞免疫反应,常引起不可逆的神经功能损伤,经典的副肿瘤综合征相关抗体多属于此类,例如抗Hu抗体等。
面对如此之多的致病因子,临床医师需要从床旁调查开始,综合临床与辅助检查结果,做出病因分析(神经病学称之为定性诊断分析),以便有的放矢地选择病因诊断实验,同时启动经验性治疗,包括抗感染治疗和免疫治疗[5]。以症状与神经影像为基础的脑炎临床综合征在脑炎的病因鉴别上具有重要意义。以下就常见的脑炎临床综合征及其对应的病因予以讨论。见表1。

脑炎临床综合征及其病因
脑炎临床综合征及其病因
| 脑炎临床综合征 | 感染性脑炎 | 自身免疫性脑炎 |
|---|---|---|
| 边缘性脑炎 | HSV1、VZV、CMV、HHV6 | 抗LGI1脑炎 |
| 基底节脑炎 | 乙型脑炎病毒与其他黄病毒、EV、斑松鼠博尔纳病毒、星状病毒等 | 抗LGI1脑炎、抗DR2脑炎、神经贝赫切特综合征 |
| 弥漫性脑炎 | 伪狂犬病毒 | 抗NMDAR脑炎、ADEM |
| 脑干炎 | EV,包括EV-A71单核细胞增生性李斯特菌 | Bickerstaff脑干炎(抗GQ1b抗体)、视神经脊髓炎谱系疾病(抗AQP4抗体)、抗MOG抗体相关脱髓鞘疾病 |
| 小脑炎 | EV、EBV、VZV | 自身免疫性小脑炎、副肿瘤性小脑变性 |
| 中枢神经系统炎性脱髓鞘(脑白质受累) | CMV、JCV(PML) | ADEM |
| 脑膜血管炎 | VZV、梅毒、结核 | 原发性中枢神经系统血管炎(少见)、系统性血管炎/风湿免疫病 |
| 复发性脑炎 | 单纯疱疹病毒 | 单纯疱疹病毒脑炎后自身免疫性脑炎、复发型自身免疫性脑炎、 |
| 慢性脑膜炎 | 结核、梅毒、隐球菌、布鲁杆菌脑膜型囊虫病、莱姆病、免疫抑制患者的EV感染 | 复发性多软骨炎、类风湿性关节炎、IgG4相关疾病(硬脑膜) |
| 复发性脑膜炎 | HSV2、EV(见于免疫抑制患者) | 神经贝赫切特综合征 |
注:HSV为单纯疱疹病毒;VZV为水痘-带状疱疹病毒;CMV为巨细胞病毒;HHV6为人疱疹病毒6型;LGI1为富亮氨酸胶质瘤失活1蛋白;EV为肠道病毒;DR2为多巴胺受体2;NMDAR为N-甲基-D-天冬氨酸受体;ADEM为急性播散性脑脊髓炎;GQ1b为神经节苷脂Q1b;AQP4为水通道蛋白4;MOG为髓鞘少突胶质细胞糖蛋白;EBV为EB病毒;JCV为多瘤病毒;PML为进行性多病灶性白质脑病
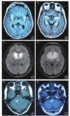
也称边缘叶脑炎,是最经典的脑炎临床综合征之一。边缘系统是位于脑室边缘的一系列灰质结构,其中位于颞叶内侧的海马区是边缘系统的重要结构。由于边缘性脑炎的累及范围局限于边缘系统,其脑炎症状也相对较少,以精神行为异常、癫痫发作(通常起源于颞叶)和近事记忆力障碍为主要症状,即边缘性脑炎的"三主症"。如患者具有"三主症"中的一种或者多种症状,同时脑电图发现颞叶起源的癫痫放电,或者头颅MRI发现单侧或者双侧的海马区病灶,即可诊断边缘性脑炎[6,7]。成人边缘性脑炎的最主要病因为单纯疱疹病毒1型(图1A和图1B)、单纯疱疹病毒2型、水痘-带状疱疹病毒(varicella-zoster virus, VZV)、CMV,人疱疹病毒6型(human herpesvirus 6,HHV6)也可引起边缘性脑炎,但相对少见[8]。自身免疫性边缘性脑炎相关的抗体包括抗富亮氨酸胶质瘤失活蛋白1(leucine-richg lioma inactiva-ted1,LGI1)抗体、抗谷氨酸脱羧酶(glutamic acid decarboxylase,GAD)抗体、抗Hu抗体等,部分患者合并肿瘤(副肿瘤性边缘性脑炎)。


基底节是位于大脑深部中线附近的灰质团块,基底节受累可导致智能减退、意识障碍、运动障碍等。基底节是病毒性脑炎常见的受累部位,以RNA病毒累及比较常见,例如乙型脑炎病毒、黄病毒、肠道病毒。在流行季节发生的基底节脑炎应首先考虑乙型脑炎(图1C和图1D)。2015年之后发现的斑松鼠博尔纳病毒脑炎[9]、嗜神经性星状病毒脑炎等都主要表现为基底节脑炎[10]。
脑干结构复杂,脑干损伤临床表现多样。可出现颅神经麻痹的表现,如复视、面瘫、听力障碍、吞咽困难、构音障碍等;锥体束受累可出现四肢瘫痪;网状结构受累可引起意识障碍,严重者累及延髓的循环与呼吸中枢。引起脑干炎的感染性病因包括肠病毒(成人相对少见)与VZV等,狂犬病毒主要累及脑干和边缘系统,其对延髓的选择性损伤导致中枢性的呼吸循环衰竭。单核细胞增生性李斯特菌对脑干也有一定的选择性(图1E和图1F),可以在脑干形成多发病灶与微脓肿[11]。脑干炎的自身免疫性病因包括炎性脱髓鞘病、神经贝赫切特综合征与Bickerstaff脑干炎等。
以全脑受累为主要表现,受累范围广泛,包括大脑皮质、基底节、脑干等。抗NMDAR脑炎是一种典型的弥漫性脑炎,重症抗NMDAR脑炎可表现为最全面的脑炎症状:包括精神行为异常、认知障碍、近事记忆力下降、癫痫发作、言语障碍、运动障碍、不自主运动,意识水平下降与昏迷、自主神经功能障碍(包括中枢性低通气和心律失常)等,由于抗NMDAR脑炎的神经元损伤属于可逆性的功能障碍,因此影像学改变通常较轻,一般无坏死性病灶。重症感染性脑炎也可以累及全脑。如赵伟丽等[12]报道的人类伪狂犬病毒重症脑炎(猪疱疹病毒脑炎),表现为全脑多发坏死样病灶,后遗症突出。伪狂犬病毒还可引起葡萄膜炎与全眼炎,复旦大学附属华山医院感染科通过患者玻璃体液二代测序等方法,首次证实了伪狂犬病毒可以跨物种感染人类[13]。
以脑白质受累为主。脑白质是大脑内的联系纤维,脑白质病变通常引起肢体瘫痪、感觉障碍等,而癫痫发作、精神行为异常相对少见,但弥漫性白质病变也可引起脑病的表现。引起脑白质病的病原体包括多瘤病毒(导致进行性多病灶性白质脑病)、CMV等,这些感染主要见于免疫抑制的患者,例如,艾滋病患者,以及长期使用免疫抑制的患者。急性播散性脑脊髓炎(acute disseminated encephalomyelitis,ADEM)是特发性中枢神经系统脱髓鞘病的一种,又称感染后脑脊髓炎、预防接种后脑脊髓炎,主要病理改变为大脑、脑干、小脑、脊髓存在播散性的白质脱髓鞘改变,病变范围广泛,可以累积灰质、脑膜与神经根。ADEM缺少特异性的自身抗体作为诊断标志物,少数患者可检测到抗髓鞘少突胶质细胞糖蛋白(myelin oligodendrocyte glycoprotein,MOG)抗体[14]。
脑膜炎主要表现为头痛和脑膜刺激征(颈抵抗、Kernig征阳性、Brudzinski征阳性)。当脑炎患者出现明显的脑膜刺激征时,提示合并脑膜受累,符合脑膜脑炎。头颅增强MRI显示软脑膜强化、脑脊液白细胞明显升高也是脑膜受累的证据。病毒性脑炎患者的脑膜刺激征通常不突出,脑膜刺激征严重者要考虑到细菌性脑膜炎的可能。恶性肿瘤广泛脑膜转移和蛛网膜下腔出血可以有明显的脑膜刺激征,脑脊液生物化学检查也可以出现葡萄糖含量减低,需要与感染性脑膜炎鉴别。
脑膜炎也可以合并脑实质损伤,通常的机制包括脑膜血管受累、脑膜血管炎,严重的脑膜炎可引起脑膜血管痉挛或脑膜血管闭塞,导致短暂性脑缺血发作或脑梗死,神经梅毒、结核性脑膜炎、神经型布鲁菌病等通常累及脑膜血管,引起血管狭窄、闭塞;化脓性脑膜炎、感染性心内膜炎也可以引起脑梗死与脑出血;VZV也可引起中枢神经系统血管炎。对颅内感染患者的脑血管事件,需要及时识别发现与治疗。
脑炎的病因学诊断已经迈入精准医学时代,各种组合的一代测序技术、以"全病原体筛查"为目标的二代测序技术等正在逐步覆盖中枢神经系统病原体谱系,抗神经抗体谱也在逐渐扩展并成为第一线的脑炎病因诊断实验[15]。然而,仍有接近半数的脑炎与中枢神经系统炎性疾病无法获得病因确诊。个体的阴性检测结果,可能与病原学与抗体检测阳性的窗口期、检测方法的局限性与灵敏度有关,也有可能是未知的新病原体或者未知的新抗体。对于这些无法确诊的病例,基于临床综合征的经验性诊断仍是临床医师治疗决策的依据。很多实例说明,对特殊的或者全新的脑炎临床综合征的提炼与发现,是寻找新病原体和新神经抗体重要前提[12,16]。
另一方面,基于临床综合征的经验性诊断也是评估实验室检测结果的重要参考。临床诊断过程始于患者床旁,检测结果的具体意义的判读也需要回归到患者床旁。检测结果是否与脑炎临床综合征对病因的指向相符?如果不符,是根据检测结果调整诊断与治疗的方向,还是依据临床综合征提出合理的质疑、进一步检查予以排除?面对精准医学时代纷繁的检测结果与数据,脑炎病例的最终诊断仍需要临床医师立足于床旁调查,提炼临床表型与临床综合征,评估诊断实验结果,主导诊断与治疗的决策。
所有作者均声明不存在利益冲突





















