
脊髓型颈椎病是骨科常见病及多发病,尤其是多节段脊髓型颈椎病,致病因素多样,临床症状重,影像学表现复杂,大多伴有严重的神经功能损害,严重影响患者的生活质量,部分患者甚至在轻微外伤后即出现严重的颈脊髓损伤症状,危及生命。因此需早诊断,早治疗,手术治疗是目前最为有效的方法,可以有效解除脊髓压迫因素,重建颈椎功能稳定性。但是如何选择手术入路及减压融合方式是临床争议的焦点。脊髓型颈椎病手术治疗的首要目的是彻底解除对脊髓的压迫,因此结合影像学特点决定减压和重建术式是手术成功的关键。致压因素主要位于脊髓前方,以椎间盘突出、轻度骨赘或局限性后纵韧带骨化为主,病变节段少,致压范围小,颈椎后凸或局部后凸畸形,手术易于切除致压物和需要矫正矢状位失衡者,可以采用前方入路;减压融合方式可选择经椎间隙、经椎体次全切或混合减压方式,另外为了更多地保留颈椎活动功能可以选择人工椎间盘置换和融合固定相结合的方式。致压因素主要位于脊髓后方,黄韧带肥厚或骨化,先天性发育性椎管狭窄,脊髓前方致压因素多,范围大,病变节段长,难以从前方彻底切除,前路手术风险极大者,可采用后方入路;虽然后路手术为间接减压,但借助脊髓后移能起到改善神经功能的作用,并发症少,安全性相对较高。另外经后入路还可以利用椎弓根或侧块螺钉达到减压效果,并矫正后凸畸形。两种入路及相关减压方式,均有各自的手术绝对适应证与相对适应证。前后路联合手术具有彻底减压和坚强固定的优势,但创伤大、风险高,临床应用需谨慎。无论如何选择入路,均应以完善的影像学资料结合临床症状与体征为基础,明确脊髓的致压病理因素、脊髓损害的轻重、受压范围的大小和责任节段,进而制定个体化手术方案。
版权归中华医学会所有。
未经授权,不得转载、摘编本刊文章,不得使用本刊的版式设计。
除非特别声明,本刊刊出的所有文章不代表中华医学会和本刊编委会的观点。
颈椎病是骨科常见病及多发病,其中脊髓型颈椎病约占全部颈椎病的10%~15%,其诊断与治疗备受脊柱外科医生关注。在北美地区,脊椎退变所致脊髓病的年发病率和年患病率分别为41/100万和605/100万,其中脊髓型颈椎病的年发病率为4.04/10万,手术率逐年上升[1]。脊髓型颈椎病是危害人类健康最为严重的颈椎病类型[2],但目前国内脊髓型颈椎病发病率的相关流行病学研究不多。近年来,随着生活节奏的加快和工作方式的改变,长期伏案工作和低头玩手机成为导致颈椎病发生和发展的高危因素,且发病年龄有逐渐年轻化的趋势。因此,颈椎病受到越来越广泛的关注。
脊髓型颈椎病的治疗包括保守治疗和手术治疗。手术治疗历经半个多世纪的发展,伴随内固定器械的研发、应用及手术器械的改良、创新,无论是前路还是后路,开放还是微创,都已逐渐形成较为完善的手术技术体系。关于单节段颈椎病的治疗已经达成共识,但对多节段脊髓型颈椎病如何选择手术方式还是争论的焦点,不恰当的手术方式将导致减压不彻底、颈椎活动受限及植骨不融合等问题。
脊髓型颈椎病尤其是多节段脊髓型颈椎病,影像学上表现为多节段病变和多因素致压,如前方长节段后纵韧带骨化、巨大增生骨赘、多节段突出椎间盘、后方多节段黄韧带增生肥厚、发育性椎管狭窄、颈椎后凸畸形等,使颈椎功能及稳定性丧失,因此手术方式如何选择存在很大争议[3,4,5]。但无论何种因素导致脊髓型颈椎病的发生及发展,其手术治疗的总体原则与目的均为彻底解除神经压迫、重建颈椎序列及功能。
脊髓型颈椎病手术治疗的首要目的是解除脊髓压迫,因此其影像学特点对手术入路及方式的选择有重要的指导意义。脊髓型颈椎病患者应常规摄颈椎正侧位、颈椎过屈过伸位、双斜位X线片,颈椎CT扫描及三维重建,颈椎MR检查等。对伴有神经功能损伤的患者,可行四肢肌电图检查,明确脊髓受压部位及脊髓神经功能的损害程度。
颈椎X线片大多表现为颈椎骨质增生、椎间隙狭窄、颈椎生理曲度变直,严重的出现局部或整体后凸畸形,有些还可以观察到明显的长节段后纵韧带骨化。过屈过伸位片可见部分患者存在颈椎不稳,斜位片上可见钩椎关节增生而导致的椎间孔狭窄。
颈椎CT扫描及三维重建可鉴别出导致脊髓前方受压的因素为椎间盘组织、增生的后缘骨赘,还是局限性或长节段后纵韧带骨化;脊髓后方的致压因素为增厚或骨化的黄韧带。
颈椎MR检查是阳性率最高的检查手段,可显示脊髓压迫因素来源前方还是后方,更能直观提示脊髓压迫程度以及是否存在不可逆性的脊髓变性,并对发育性椎管狭窄有明确的诊断价值。
颈椎退变与脊髓压迫存在明确的对应关系,多数脊髓型颈椎病的颈椎退变和脊髓压迫均为多节段[6]。近年来有学者对脊髓型颈椎病的MRI髓内信号改变进行了深入研究。结果提示有T2WI高信号的患者其术前病情较重,手术治疗效果较差,且随信号强度增加这一趋势更加明显[7,8];T2WI高信号可作为判断脊髓型颈椎病预后的一项指标[9]。脊髓型颈椎病终板Modic改变与椎间盘退变、椎间盘节段、病程、年龄和颈椎曲度存在相关性,椎间盘退变是其中最重要的影响因素。Modic改变中Ⅱ型最为多见,Ⅰ型次之,Ⅲ型最少,多发生于C5-6椎间盘,40岁以上多发。这可能为脊髓型颈椎病的早期诊断和预后评估提供一定的依据[10]。
依据影像学特点将脊髓型颈椎病分成简单和复杂两类:颈椎退变轻(1~2个节段)的单纯椎间盘突出、颈椎曲度好、椎间隙基本正常确定为简单影像学特点的颈椎病;而把多节段(≥3节段)椎间盘突出和较大骨赘形成、椎间隙严重狭窄、巨大椎间盘突出和钙化、黄韧带肥厚钙化、椎间不稳、后凸畸形、后纵韧带骨化等视为复杂影像学特点的颈椎病(图1)。尤其是对多节段脊髓型颈椎病患者,其影像学复杂程度不仅反映在致压因素的数量、脊髓受压程度的轻重、受压范围的大小,也反映在解除致压因素的难易程度和手术方式选择,这对临床选择手术入路及减压方式有重要的指导意义[11,12]。


《颈椎病的分型、诊断及非手术治疗专家共识(2018)》[13]中颈椎病手术治疗的基本原则为:①手术治疗的主要目的是中止颈椎病相关病理变化对神经组织造成的持续性和进行性损害;②严格掌握手术指征,严格遵循手术操作规范;③根据不同的病情选择适当的手术方式;④颈椎病手术治疗以充分减压、重建颈椎生理曲度和椎间高度为核心,同时强调兼顾重建颈椎稳定性及生理平衡。
该共识还对脊髓型颈椎病的手术治疗原则做了更进一步的说明:凡已确诊的脊髓型颈椎病患者,如无手术禁忌证,原则上应手术治疗。对症状呈进行性加重的患者,应尽早手术治疗。对采用保守治疗的脊髓型颈椎病患者出现以下情况时可中止保守治疗转为手术治疗:伴有严重椎管狭窄(椎管占位率>50%)、颈椎局部不稳、颈椎局部后凸、MR检查T2WI高信号。
脊髓型颈椎病的手术入路包括前入路、后入路、前后联合入路,各有适应证,且不同的入路手术减压方式也不尽相同。颈椎前入路手术的绝对适应证为退变轻的脊髓前方短节段压迫,如单纯1~2个节段的椎间盘突出;后入路手术的绝对适应证为颈脊髓前方多节段椎间盘突出、长节段后纵韧带骨化、脊髓后方受压(如黄韧带肥厚、钙化);而多节段椎间盘突出和多节段前、后致压的颈椎管狭窄症(如多节段椎间盘突出合并黄韧带肥厚),则前、后路手术均可行;前后路联合手术的绝对适应证尚存在争议。
前入路术式包括:颈椎前路椎间盘切除椎间植骨融合术(anterior cervical discectomy and fusion,ACDF)、人工椎间盘置换术、颈椎前路椎体次全切除植骨融合术(anterior cervical corpectomy and fusion,ACCF)、Hybrid手术、颈椎前路椎间盘切除+椎体次全切除植骨融合术(ACDF+ACCF,图2)。


对1~2个节段的单纯软性椎间盘突出、椎间盘轻度钙化、椎体后缘小骨赘形成的脊髓型颈椎病选择前路经椎间隙彻底减压,似无太大分歧;术式以ACDF、人工椎间盘置换术为主[14],可保留颈椎运动节段、减轻邻近节段应力、避免出现邻近节段退变。但目前对3个节段以上的人工椎间盘置换还存在争议[15,16]。尽管融合术存在加速邻近节段退变的可能,但目前ACDF仍是前入路的经典和标准术式。
对多节段脊髓型颈椎病,影像学表现退变轻的节段行人工椎间盘置换术,而退变重的节段行融合术,即采用一期联合融合和非融合的Hybrid手术,彻底减压同时可最大限度保留颈椎活动度。Hybrid手术可彻底减压病变节段,融合退变严重的节段,保留非融合节段的活动度,弥补多节段单纯融合或非融合术的不足,使颈椎稳定及症状改善,短期疗效满意,是一种可供选择的治疗方案[17]。
如巨大椎间盘突出超过相邻椎体后缘高度的1/2、椎间盘严重钙化、椎间隙严重狭窄或融合、椎体后缘较大骨赘、局限性椎管狭窄或后纵韧带骨化的脊髓型颈椎病,很难经椎间隙彻底减压,宜选择椎体次全切除减压。切除后纵韧带,以便摘除位于后纵韧带下与硬膜粘连的游离椎间盘和切除椎体后缘较大骨赘。对1~2个节段窄基底后纵韧带骨化,也可行椎体次全切除减压融合术。
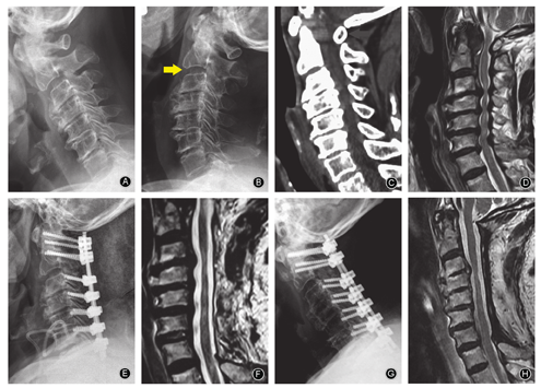
对≥3个节段的脊髓型颈椎病,传统观点认为手术虽然可以直接去除致压物及恢复前凸,但手术风险大、并发症多,如脊髓损伤、脑脊液漏、内植物脱出及假关节形成等并发症发生率高。但随着理念的更新和技术的进展,这种观点正在逐渐被改变。对大部分柔软的颈椎后凸畸形可以行单纯前路手术解决,即使是严重的畸形也能通过前路手术获得满意的矫形[18]。有文献报道对4个节段以前方致压为主的多节段脊髓型颈椎患者行前路手术治疗,获得了良好的临床疗效[19]。另外ACDF治疗脊髓型颈椎病具有显著临床疗效,且颈椎局部矢状位序列保持相对稳定,手术前后颈椎矢状位参数变化与临床疗效具有一定的相关性[20]。因此对致压≥3个节段、脊髓前方受压为主,尤其是合并重度后凸畸形(>40°以上)的多节段脊髓型颈椎病,由于后路椎管成形术后脊髓不能有效后移,可能会影响神经症状的改善。只要不合并连续性长节段后纵韧带骨化或宽基底的后纵韧带骨化、多节段黄韧带肥厚或先天性椎管狭窄,且术者熟练掌握颈椎前方解剖结构、多节段椎间隙减压和固定技术,可以选择前路手术,只是手术时间相对延长,不一定增加并发症的发生率(图3)。术式最好以ACDF或ACDF+ACCF为主,如减压节段较多,或椎体次全切后钛网过长,为防止钛网塌陷,选择混合手术减压方式可达到有效减压、固定及矫形的目的[21]。


后入路术式包括单开门椎管扩大成形术(丝线悬吊或锚钉固定)、单开门椎管扩大成形术结合微型钛板内固定术、双开门椎管扩大成形术、后路椎板减压侧块螺钉或椎弓根钉内固定术等。选择后路手术的主要依据为脊髓致压因素来自后方,包括多节段黄韧带肥厚钙化和发育性椎管狭窄,另外前方多节段椎间盘突出、较大骨赘、长节段后纵韧带骨化或局部宽基底后纵韧带骨化等也是考虑因素。
对伴有后凸畸形的脊髓型颈椎病,大多因前方椎体楔形变、椎间隙变窄甚至融合等短缩因素,后方结构被相对拉长,采用后路手术创伤较大且破坏颈椎的张力带结构,仅从后路难以恢复并维持颈椎曲度,甚至远期有加重后凸的可能性,因此不建议选择单纯后路手术。应辅以内固定技术,可避免出现"再关门" 、门轴断裂,降低C5神经根麻痹和术后轴性症状加重的风险,并有维持椎管扩大效果、减轻术后疼痛及维持颈椎曲度的作用。
对存在节段不稳定者可行后路侧块或椎弓根螺钉内固定术,稳定颈椎同时矫正后凸畸形。传统观点认为对后凸畸形的患者行单开门椎管扩大成形术后脊髓不能有效漂移,对临床症状改善不利。但最新文献表明,术前颈椎曲度与椎管扩大成形术后脊髓后移程度、神经功能改善率无明显相关性[22];椎管扩大椎板成形术后,由于脊髓自身形态的恢复也可获得良好的神经功能改善。对上、下颈椎同时存在广泛压迫的特殊类型的脊髓型颈椎病,以后路椎板切除内固定手术为宜,因前路减压及重建操作很困难,且存在较大风险(图4)[23]。


发育性椎管狭窄和脊髓型颈椎病的关系以及伴有发育性椎管狭窄的脊髓型颈椎病的手术选择一直是研究热点及争议焦点。田伟[24]认为单纯发育性椎管狭窄很少导致脊髓受压并产生症状,但降低了脊髓型颈椎病产生症状和体征的阈值;当合并椎间盘突出、椎间不稳、骨赘、后纵韧带骨化等退变时,脊髓受压导致脊髓型颈椎病的症状和体征。对发育性椎管狭窄合并颈椎不同程度退变压迫脊髓时,手术方式应参考上述基本原则,如合并前方短节段压迫时以前路手术为宜,对多节段压迫应根据不同病理因素和致压原因首选后路手术,合并严重颈椎后凸畸形时可选前路手术。
前后联合入路手术具有彻底减压和坚强固定的优势,规避单纯前路和后路的不足,是治疗复杂多节段脊髓型颈椎病的有效方案[25]。但手术难度较高、创伤较大、并发症可能更多,因此其临床应用需谨慎,或选择由二期手术替代。有多位学者建议,对发育性和退变性椎管狭窄合并脊髓前方巨大致压物(椎管侵占率>50%)者应采用一期前后路联合手术[26,27]。相关研究表明一期先后路再前路联合术式安全有效[28],但对某些发育性和退变性椎管狭窄合并脊髓前方巨大致压物患者,只做后路手术也能达到完全间接减压。因此,前后路联合手术可选择一期或分期进行,应根据患者年龄、一般状况综合评估对手术的耐受性。选择分期手术时应先行后路手术,术后观察3~6个月,行MR检查评价脊髓前方受压情况。如术后MRI显示脊髓前方压迫解除且患者症状明显缓解,则不必再行前路手术;如术后MRI显示脊髓前方仍有压迫或患者症状缓解不明显,则择期再行前路减压。在这种情况下,只选前路手术有一定风险,但对前路手术经验丰富者,也是一种可以选择的方式。
综上所述,多节段脊髓型颈椎病一经确诊需尽早手术。对有简单的影像学表现者,前入路手术是最佳选择。对有复杂的影像学表现者,应以影像学表现为主要依据,结合临床症状、体征进行综合分析,明确致压因素和责任节段,确定手术减压、固定位置及范围,注意解除神经压迫的同时矫正矢状位平衡及重建颈椎功能。手术最好选择一个入路,减压方式选择术者最为熟悉的术式为主,可以选择单一或多种减压和固定方式结合,以有效的神经减压为目的,同时尽可能降低手术并发症的发生。





















