
研究肘关节肌腱的磁共振成像(MRI)技术及临床应用价值。
经北京积水潭医院伦理审查委员会批准,选择2013年5月至2018年10月,38例(侧)肘关节损伤疼痛经手术证实的肌腱损伤患者的MRI资料,其中男23例(侧)、女15例(侧),年龄9~77岁,平均41岁。20名健康志愿者(40侧),其中男12名、女8名,年龄20~55岁,平均35岁。所有研究对象均行MRI检查,被检查者俯卧位,分别行T1加权像(T1WI)冠状位,质子压脂序列(PD-FS)冠状位、矢状位及轴位扫描。研究健康志愿者与损伤患者肘关节肌腱的MRI表现特点,并将肌腱损伤的MRI表现特点与手术结果进行对照分析,由双盲法分析确认。
20名健康志愿者(40侧)肘关节肌腱在T1WI和PD-FS序列均表现为均匀的细条带状低信号。38例肘关节外伤患者,44条肌腱损伤(其中伸肌总腱损伤14例,屈肌总腱损伤10例,肱二头肌腱损伤3例,肱肌肌腱损伤患者7例,肱三头肌腱损伤患者10例)。损伤的肌腱T1WI序列表现为纤维不连续,纤维增粗、模糊,PD-FS序列表现为肌腱走行区内信号不均匀增高,腱鞘积液,部分撕裂表现为纤维不连续、纤维增粗。完全撕裂表现为纤维中断、回缩,断端纤维结构消失被液体充填,其周围软组织水肿。
肘关节肌腱MRI技术可清晰显示肌腱的精细解剖结构及损伤的影像学表现,对肌腱损伤的早期诊断与治疗方案的制定具有重要价值。
版权归中华医学会所有。
未经授权,不得转载、摘编本刊文章,不得使用本刊的版式设计。
除非特别声明,本刊刊出的所有文章不代表中华医学会和本刊编委会的观点。
肘关节肌腱损伤在临床上较常见,常导致肘关节功能障碍,严重影响患者的生活质量。肘关节外伤首选X线平片和CT检查,明确是否存在骨折和关节脱位,但无法显示肌腱等细微解剖结构的变化[1,2]。因此,如何显示肘关节肌腱正常解剖结构及损伤的影像学表现,是临床亟待解决的难题。目前,关于肘关节的磁共振成像(magnetic resonance imaging,MRI)技术,国内报道尚不多见[2]。本研究利用MRI技术,前瞻性地研究肘关节肌腱正常解剖及损伤的影像学表现,旨在阐明肘关节MRI技术及其在肌腱韧带损伤方面的临床应用价值,为损伤的早期诊断提供有价值的影像学依据。
本研究经北京积水潭医院伦理委员会审核批准(201703-10),并经患者知情同意。选择2013年5月至2018年10月,20名健康志愿者(40侧肘关节),男12名、女8名,年龄20~55岁,平均35岁,以及38例肘关节损伤疼痛并经手术证实的肌腱损伤患者,男23例、女15例,年龄9~77岁,平均41岁。
正常志愿者无肘关节外伤史及疼痛史,肘关节功能正常;损伤患者具有典型的外伤史。
类风湿性关节炎、肘关节肿瘤、畸形及肘关节术后患者均不纳入本研究中[2]。
采用荷兰Philips Achieva 3.0 T超导MR扫描仪。首选肘关节表面线圈或柔线圈。儿童和青少年因肘关节体积较小可选用腕关节线圈。扫描时患者俯卧于扫描床上,患侧上肢向前伸置于头顶外上方,头向健侧倾斜,尽量远离肘关节,掌心向内侧,肘关节尽量靠近主磁场中心,如患者肘关节不能伸直,可取肘关节屈曲位,关节呈角135°左右,根据病史在病变部位贴标志。肘关节轴位扫描以肱骨下缘(肘窝)为中心,自肱骨干骺端到桡骨粗隆连续扫描(图1A),包括肱骨内外侧髁和桡骨粗隆(肱二头肌肌腱止点),冠状位扫描利用轴位定位像,平行于肱骨内外髁的连线连续扫描(图1B),矢状位扫描利用轴位定位像,垂直于肱骨内外髁的连线连续扫描(图1C)。


患者取俯卧位,肘关节尽量伸直,线圈尽量裹紧关节,行轴位、冠状位、矢状位的质子压脂序列(PD-FS序列)和冠状位T1WI序列扫描(图1)。扫描参数:PD-FS序列,TE=40~45 ms,TR=3 000~4 000 ms,层厚3 mm,层间距0.3 mm,层数12层;冠状位扫描野(FOV)120 mm×120 mm,矩阵268×205;矢状位FOV 120 mm×120 mm,矩阵268×205;轴位FOV 130 mm×130 mm,矩阵388×224。T1WI序列,TE=8 mm,TR=561 mm,层厚3 mm,层间距0.3 mm,层数12~24层;冠状位FOV 120 mm×120 mm,矩阵268×205;矢状位FOV 120 mm×120 mm,矩阵268×205;轴位FOV130 mm×130 mm,矩阵388×224。
由两名高年资骨骼肌肉影像诊断的医师分析、记录和评价健康志愿者与肘关节外伤患者的MRI图像,分析确认健康志愿者肌腱的正常MRI解剖结构及肌腱损伤的影像学特点。将两名阅片医师对肌腱韧带、骨及软组织病变诊断情况进行Kappa检验,确定诊断一致性。如两者诊断不一致时,引入第3名高年资医师进行协商,取得一致性诊断结果。采用双盲法将影像学征象与手术或随访结果进行对照分析,采用SPSS 21.0统计软件进行统计分析。
本实验中一次MRI检查包括冠状位、矢状位和轴位3个方向扫描,检查时间约20 min。全部58例检查中一次成功完成检查56例,完成率达96.6%。患者移动造成检查失败的1例,占1.7%,由于近线圈效应造成PD压脂显示不佳的1例,占1.7%。未完成检查2例,在征得患者同意后,择期重新检查获得成功,已纳入本研究中。本研究中20名健康志愿者和38例患者肘关节MR检查肌腱和韧带等主要结构显示清晰,两名高年资影像诊断医师对MR图像进行分析和评价,结果具有良好的一致性,Kappa值为0.874。38例肘关节外伤患者44条肌腱撕裂的敏感性为95%,特异性为99%,诊断准确率为97%。两名阅片医师对肌腱诊断一致性的Kappa值为0.874,数据一致性良好。
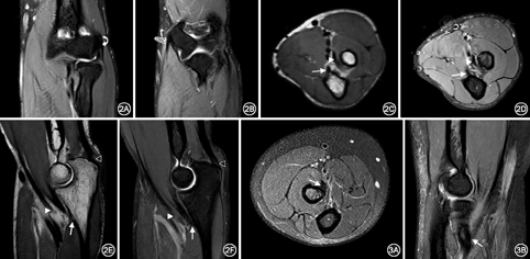
20例(40侧)正常志愿者的肘关节肌腱结构在MR各序列上均表现为细线样或条带状低信号,肌纤维走行连续(图2)。屈肌总腱、伸肌总腱在冠状位显示最佳;肱肌肌腱、肱二头肌腱在轴位和矢状位显示最佳,肱三头肌腱在矢状位和轴位显示最佳。伸肌总腱起于肱骨外上髁,MR表现为均匀细线样低信号(图2A)。屈肌总腱起源于肱骨内上髁,MR表现为均匀条状低信号(图2B),其深层线样低信号为内侧副韧带前束,起于肱骨内上髁前下部,止于尺骨冠突内侧。肱二头肌腱远端表现为条带状低信号,穿过肘窝附着于桡骨粗隆(图2C,图2D,图2E,图2F和图3),其远端无腱鞘,但有滑囊(桡侧囊)与桡骨粗隆紧密结合。肱肌肌腱远端,表现为条带状低信号,远端插入尺骨近端骨皮质(2C~2F)。肱三头肌腱远端结构分三层,长头和外侧头肌纤维在远端构成联合腱插入尺骨鹰嘴,表现为纤维结构连续的带状低信号(2E、2F),内侧头肌腱很短插入鹰嘴前方。


38例肘关节外伤患者,44条肌腱损伤,其中伸肌总腱损伤14例(6例伴桡侧副韧带损伤,2例伴肘关节骨折及桡侧副韧带损伤,1例伴肘关节脱位、尺侧副韧带及外侧副韧带复合体损伤,1例伴尺侧副韧带损伤),MR表现为伸肌总腱肱骨外上髁附着处部分纤维走形不连续性,PD-FS序列信号增高,局部被液体充填(图4)。屈肌总腱损伤10例(1例伴肘关节脱位、尺侧副韧带及外侧副韧带复合体损伤,3例伴尺侧副韧带损伤,1例伴肘关节脱位及环状韧带损伤),MR表现为纤维走形连续性不佳,T1WI序列呈低信号,PD-FS序列呈高信号,其周围软组织水肿(图5)。肱二头肌腱损伤3例(2例伴肘关节脱位、尺侧副韧带及外侧副韧带复合体损伤),MR表现为肱二头肌腱远端迂曲增粗,部分纤维不连续,桡骨粗隆附着点处T1WI序列呈低信号,PD-FS序列呈高信号改变,伴桡骨头脱位,骨髓及周围软组织水肿,关节腔积液(图6)。肱肌肌腱损伤7例(1例伴尺侧副韧带损伤,1例伴肘关节骨折,伴肘关节脱位及环状韧带损伤1例),MRI表现为肱肌腱尺骨粗隆附着端迂曲,T1WI序列呈水样低信号,PD-FS序列腱鞘走行区内信号增高,腱鞘积液(图7)。肱三头肌腱损伤10例(其中1例伴有骨折),MR表现为肱三头肌腱远端长头和外侧头部分撕裂,表现为迂曲增粗,鹰嘴附着端部分纤维不连续,T1WI序列纤维增粗,形态不规则,呈低信号改变,PD-FS序列肌纤维迂曲增粗,其内可见条状高信号改变,为纤维部分撕裂被液体充填所致(图8)。




由于肘关节解剖结构复杂,如何清晰显示其细微解剖结构是影像诊断的关键[1]。本研究采用飞利浦3.0 T超导MR,通过一系列合理参数的调整、设置以及采用单关节扫描定位,只扫描病变部位,采用T1WI序列和PD-FS序列,最终得出清晰的肘关节肌腱的MR图像。
本研究中,全部58例检查中成功完成56例,而检查失败主要原因是患者疼痛难以配合,造成图像伪影。因此,对急性期患者可采用支具外固定,以避免产生伪影。脂肪抑制序列有时会出现脂肪抑制不均,影响图像质量,因此,在肘与线圈之间放置薄海绵垫以减少近线圈效应的产生;此外,改用手动匀场也可一定程度地改善压脂不均匀的现象[2,3]。因此,采用高分辨率3.0 T MRI技术可清晰显示肘关节肌腱的解剖结构,为损伤的诊断和鉴别诊断提供精确影像学依据[3,4,5,6]。
肘关节外伤后很容易发生肌腱损伤,同时伴有韧带损伤和骨折脱位。本研究中,肌腱损伤44例,其中17例伴韧带损伤,10例伴不同程度的骨折脱位。因此,肘外伤患者首选X线及CT检查,而怀疑肌腱韧带损伤时,应首选MR检查。MR T1WI序列可清晰显示肘关节肌腱的正常解剖结构及肌腱的走行,在T1WI序列中,脂肪呈高信号,肌腱、韧带呈线样低信号,两者形成了良好的对比,更有利于显示正常解剖结构;而PD-FS序列对明确损伤部位、损伤程度及水肿、积液等病变结构更加敏感,更容易发现肌腱损伤及评估损伤的程度。
通常采用冠状位观察屈肌总腱和伸肌总腱的走行。文献报道[7,8],屈肌总腱和伸肌总腱损伤时常伴有同侧副韧带的损伤。本研究中,14例伸肌总腱损伤患者中,10例伴桡侧副韧带损伤,10例屈肌总腱损伤者,4例伴尺侧副韧带损伤,因此,冠状位观察屈、伸肌总腱损伤时,应仔细检查是否伴有邻近侧副韧带的损伤,如果忽视侧副韧带的损伤,患者在行肌腱松解术之后肘关节会更不稳定,使症状加重,造成严重肘关节功能障碍。轴位主要观察肱二头肌腱及肱肌腱形态以及是否有纵向撕裂或腱鞘积液[9]。肱二头肌腱损伤以部分撕裂最常见,关于肱二头肌腱损伤的报道尚不多见,且常被忽视和漏诊,而延误诊断和治疗[10]。当发生肱二头肌腱和肱肌腱损伤时,通常发生在肌腱远端的附着端,因此,扫描范围必须包括桡骨粗隆,采用矢状位和轴位观察,可清晰显示肱二头肌腱和肱肌腱的桡骨和尺骨附着端以及明确肌腱损伤情况。在急性期临床表现不典型时,轴位扫描为最佳平面,可显示肌腱的远侧附着端。肱三头肌腱损伤以长头和外侧头撕裂最常见[11]。本研究中,肱三头肌腱损伤患者10例,均表现为长头和外侧头撕裂,这与文献报道相符。
文献报道[12],MRI检查与手术结果对照,MRI对于伸肌总腱和屈肌总腱撕裂的诊断敏感性分别为100%、70%,特异性为95%、100%。本研究显示肌腱撕裂的敏感性为95%,特异性为99%,这与文献报道略有不同,可能与病例选择和样本量有关,尚有待于大样本的进一步研究。
总之,肘关节MRI可以清晰显示肌腱正常解剖结构及损伤的影像学特点,而且可明确损伤的部位、范围、程度及肌腱是否发生移位等。这既有助于临床医师掌握正常肘关节的解剖结构,也有利于肌腱损伤的早期诊断和精准治疗,为制定治疗方案及随访提供科学的解剖学和影像学依据。
所有作者均声明不存在利益冲突





















