
上海交通大学医学院附属瑞金医院创面修复中心近期开展了"内镜支持下的窦道(腔)处理技术及其相关辅助方法的探索"的相关研究,该项技术的可行性和有效性在研究中得到证实,在临床上也取得了良好效果。为促进该项新技术进一步推广普及和相关研究深入开展,笔者团队将前期积累的理论认知和技术经验予以总结,并成文为《内镜技术治疗慢性窦道(腔)创面诊疗规范(试行版)》,包括内镜技术治疗创面适用对象、诊疗流程及分型标准、愈合标准、风险评估和预防措施4个部分,以利于内镜技术在创面修复领域的规范应用,充分发挥其技术优势、防范风险,并为将来正式版诊疗规范的形成提供参考。
版权归中华医学会所有。
未经授权,不得转载、摘编本刊文章,不得使用本刊的版式设计。
除非特别声明,本刊刊出的所有文章不代表中华医学会和本刊编委会的观点。
慢性窦道(腔)创面由于其特殊形态和病理特征,是创面修复科常见的疑难病症。外科内镜及辅助技术因其可视化、可深入的技术特点,理论上可成为窦道(腔)类型创面的有效诊疗方法。在国内外尚无系统深入研究的背景下,上海交通大学医学院附属瑞金医院创面修复中心率先开展了"内镜支持下的窦道(腔)处理技术及其相关辅助方法的探索"的相关研究并取得了一系列成果。研究表明内镜技术及相关辅助方法在治疗慢性窦道(腔)创面上具备可行性和有效性,并可提高诊察处理时的安全性。该中心研究团队总结提出的"中国陆氏分型(China-Lu classification)"慢性窦道(腔)创面描述和分型方法,有利于临床中对慢性窦道(腔)创面的评估认知和预后判断。
为更广泛深入地开展本项新技术的研究应用及普及推广创面修复微创治疗的理念,该中心在具备了一定的理论积累和临床实践的基础上,组织人员撰写了《内镜技术治疗慢性窦道(腔)创面诊疗规范(试行版)》。该诊疗规范提出了内镜技术在慢性窦道(腔)类型创面修复应用中的基本原则和规范,详细阐述了内镜下创面修复的技术要领和分型描述方法,体现了中国慢性难愈性创面诊疗思路及原则在特殊创面治疗中的指导意义。该诊疗规范经过以付小兵院士为组长,包括黄跃生教授、韩春茂教授、聂兰军教授等专家在内的专家委员会讨论,认为可以推荐为中国内镜技术治疗慢性窦道(腔)创面的诊疗规范。
慢性窦道(腔)创面是慢性创面中的一种特殊类型,常继发于感染导致的创面、压力性损伤(压疮)、医源性创面等[1]。近年来尽管慢性难愈性创面的学科研究和临床实践发展迅速,然而因其特殊形态和病理特征,窦道(腔)创面深部难以检查处理,致使病程较长、迁延难愈。目前在慢性窦道(腔)创面的诊断和治疗上尚未取得明显突破,仍是创面修复科常见的疑难病症。为解决上述难题,上海交通大学医学院附属瑞金医院创面修复中心近期开展了"内镜支持下的窦道(腔)处理技术及其相关辅助方法的探索"的相关研究。研究结果表明,内镜技术及相关辅助方法在治疗慢性窦道(腔)创面上具备可行性和有效性;应用此项新技术可深入观察慢性窦道(腔)创面在传统诊疗中的盲区;通过内镜下应用相关附件可实现对隐蔽创面、深狭创面也按慢性创面修复原则进行处理和治疗;通过内镜联合造影技术可避免某些慢性窦道(腔)创面(如与体腔相通等)病情的漏诊、误诊,提高了在此类创面诊察及治疗中的准确性和安全性等[2]。此外,在上述研究基础上总结出的慢性窦道(腔)创面的"中国陆氏分型(China-Lu classification)",有助于临床中对慢性窦道(腔)创面的评估认知和预后判断。
作为一项新近开展研究及应用的临床技术,相关诊疗规范的尽早提出可以使其在临床中更好地发挥优势并防范风险,有利于本项新技术推广普及[3]。笔者团队在这方面积累了一定的经验和认识,在此总结如下。
目前尚无慢性窦道(腔)创面的公认诊断标准。笔者单位将内镜技术的适用对象拟定为符合慢性创面诊断、位于体内、呈管道或空腔形态的创面。
首诊一般包括收集创面病程和既往病史资料、创面初检、记录病情、窦道(腔)创面准备等主要内容,由具有慢性窦道(腔)创面接诊和护理经验的创面治疗师进行。完成创面病程和既往病史资料收集后,进行窦道创面的初检,由创面治疗师使用探针等规范检查器械和内镜(根据条件可使用便携式内镜等设备)完成。初检需测量窦道(腔)创面基本尺度,如窦口直径、最大探查深度、是否存在分支或涉及其他体腔的可能、是否有明显的病因学异物、坏死组织等[4];初检中还需要由检验技师或创面治疗师对窦道(腔)创面进行标准的细菌学取样和鉴定,必要时进行厌氧菌的取样和鉴定。
初检所见病情由创面治疗师予以规范记录。对慢性窦道(腔)创面的病情进行标准化记录,有利于保持创面在不同时期评估结果的一致性,也便于各级医疗单位和医护间对病情的沟通交流[5]。笔者团队推荐采用TraCaD-FEMN描述法依次进行规范记录,此记录方法也是窦道(腔)创面"中国陆氏分型"的基础。相关指标如下:(1)管道(tract,简称为T)。创面腔的长度与口径比值≥2,呈管道状。(2)空腔(cavity,简称为C)。创面腔的长度与口径比值<2,呈空腔状。(3)涉及深部(deep,简称为D)。指创面腔相通于其他体腔或涉及大血管、神经、骨等深部组织。(4)纤维化(fibrous,简称为F)。指创面腔表面存在明显的纤维增生。(5)渗出(exudate,简称为E)。指创面腔内存在明显渗液积聚。(6)异物(foreign matters,简称为M)。指创面腔内或创面中可见异物,如缝线、内植物等。(7)坏死组织(necrotic tissue,简称为N)。指创面腔内存在积存或附着于创面上的明显失活坏死组织。观察创面并按这些指标以简写符号加数字依次描述之。示例:某一窦道(腔)创面形态为1段窦道连结1个窦腔可记为T1C1;若此窦道(腔)创面内还可以见到骨质暴露且腔内有明显纤维增生,则可记为T1C1D-F。创面治疗师记录和评估后,将此病情汇报给创面修复医师。
最后由创面治疗师对窦道(腔)内进行基本的清理,如冲洗、吸除渗液、清理疏松脱落的坏死组织或漂浮物等,为后续的创面造影检查做好准备。
内镜只能查明窦道(腔)创面的内部病理特征,有时无法了解窦道(腔)创面的整体形态,因此需要进一步完成影像学检查,以便使医师可获得对创面整体形态的全面了解。笔者团队的研究表明,邻近体腔的窦道(腔)创面中深达体腔的窦道比例为43.75%,因此影像学检查在窦道(腔)创面诊疗的安全性上尤为重要[6]。
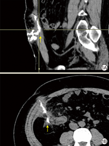
造影检查由具备相关经验的放射科医师完成。将对比剂(碘剂或钆剂)灌注入窦道(腔)创面,保持合适的体位和保证充分的灌注时间,使对比剂充分流布和灌注至窦道(腔)创面内,再行CT和/或磁共振成像检查。造影检查完成后由放射科医师行三维重建以呈现窦道(腔)创面的三维全貌[7]。对于邻近体腔的窦道(腔)创面,创面修复科医师结合影像学结果、窦道(腔)创面探查情况和病史,综合研判该创面是否与体腔相通,如是则需请其他相关科室医师会诊。见图1。


注:箭头示造影剂
由具备内镜操作经验的创面修复医师对创面行内镜检查,观察创面的形态特征和病理特征,明确创面的形成原因或主要致病因素,并对创面行"中国陆氏分型"。"中国陆氏分型"将慢性窦道(腔)创面分为以下4种型。(1)简单型:创面腔为单个窦道或窦腔,创面无相关病理特征(T+C<2,D=0,F、E、M、N均为0)。(2)形态复杂型:创面的窦道或窦腔数量在2个及以上,创面无相关病理特征(T+C≥或D≥1,F、E、M、N均为0)。(3)病理复杂型:创面腔为单个窦道或窦腔,创面内存在纤维板等相关病理特征(T+C<2,D=0,F、E、M、N合计≥1)。(4)难治型:创面的窦道或窦腔数量在2个及以上,创面内存在纤维板等相关病理特征(T+C≥2或D≥1,F、E、M、N合计≥1)。见图2。内镜下观察到的创面病理特征处,如纤维增生、组织坏死等,需行病理取材并送检验。


内镜下使用相关附件行创面处理。部分附件见图3。


内镜下创面处理的概要如下:按慢性创面修复原则进行,对窦道(腔)的所有分支进行合理、有效的清创[8]。清创时既要充分到位,又要避免清创过度,影响创面生长闭合[9]。对暴露的骨质和骨膜,如已有明显骨感染或骨坏死征象则用咬骨钳咬除或磨钻磨除。使用磨钻时,对骨皮质可从3 000 r/min高转速起步进行磨削以提高处理效率,过程中使用生理盐水持续冲洗冷却;对骨松质可用较低转速逐步磨削。骨质清创后的渗血须用骨蜡或纤维素等行止血处理。部分慢性窦道(腔)创面内有明显的纤维组织增生,阻碍创面愈合[10]。对于较小的团块状的纤维组织,根据具体生长部位和方向,可使用左弯或右弯篮钳咬除;对于较大的呈板层状覆盖创面的纤维组织,须先使用钩刀切开纤维板暴露断层,再使用刨削刀头从切开断层处进行卷吸刨削;对于部位较深或质地硬韧刨削效果不佳的纤维组织,可使用二氧化碳激光对其进行面状清理。慢性窦道(腔)创面腔内常有异物或坏死组织,其中较为疏松者可根据窦道(腔)尺寸及被清理对象的大小,选取合适规格的息肉钳摘除或咬除;对其中较为致密者可使用刨削刀头或磨钻清除。外科缝线等则可使用内镜专用剪刀剪断清理。见图4。清创完成后可镜下灌注敷用抗感染或清除生物膜药物,减轻局部炎症反应和细菌负担等;或使用促创面生长药物,如生长因子等。


放置引流。选取不易断裂、堵塞,对创面刺激较小或促创面腔生长闭合的材料,置入窦道或窦腔底部。注意引流条远端必须保留足够长度至低于直立体位时窦道(腔)的最低点,确保引流充分。
闭合创面。在窦道(腔)盲端创面基底准备完成、无明显渗出的情况下,可尝试逐渐关闭窦道(腔)创面。可在窦道或窦腔的深部填塞引流条和/或负压材料时,将材料末端逐步后退,与窦道或窦腔的底部保留一定距离,以使得这部分未被填塞创面有足够空间生长闭合,最终由深到浅关闭窦道(腔)创面。在窦道(腔)创面的闭合过程中,可以联合多种措施如局部加压、局部制动、植皮等促进窦道(腔)创面的牢固连接和生长闭合。
为及时准确评估创面状况和愈合速度,每次行内镜下窦道(腔)创面治疗时均需完全复查创面,根据愈合情况还需定期行造影复检。当有创面修复迟滞甚至恶化时,需重新判断创面病因和治疗措施的效果,及时调整治疗方案,以免贻误病情。
窦道(腔)创面获得临床痊愈后,后续的康复治疗尤为关键[11]。由创面治疗师在创面修复科医师指导下对患者进行有效的、可持续的健康宣教及定期的随访评估。具体的康复治疗方案需根据不同的致病原因制订。基本的康复原则概括如下:(1)保持原创面部位清洁完全,对与创面相关的基础疾病或负面因素持续监测管控。(2)对因压力性损伤形成的窦道(腔)创面,康复期间以原创面部位的有效减压、维持适宜的温度湿度为要。(3)医源性创面的康复须结合原有疾病的康复治疗措施共同进行,并嘱患者定期至相关科室复查。
窦道(腔)完全闭合,不留空腔;体表开口处完整上皮覆盖,皮下无空腔或波动感;患者无其他不适;随访3个月无异常。
检查或手术期间疼痛。内镜下窦道(腔)创面的技术符合外科微创治疗原则,单纯内镜下检查创面基本为无创检查。笔者单位临床实践中患者不适感较轻。内镜下对窦道(腔)创面进行处理需行局部麻醉,疼痛较为敏感的患者需行神经阻滞或全身麻醉。术后创面疼痛的强度和持续时间与处理内容及个体差异相关,对于术后疼痛较为强烈者一般口服第一类镇痛药物非甾体抗炎药即可。
检查或手术期间出血。围手术期需完善患者的血型、止凝血功能检查,排除潜在的出血性疾病;此外,术前须根据窦道(腔)创面所在的解剖部位和影像学检查结果,评估术中损伤大血管的可能性。对于出血风险较高的窦道(腔)创面,术中行创面处理时需谨慎操作。如果需磨削尽量以低转速、较小行程进行。术中和术后,尤其是应用负压材料时,医师护士均需密切关注创面以及引流装置[12],手术室及床边常备止血升压扩容药物;必要时输全血或成分血治疗。
围手术期感染。窦道(腔)创面的内镜下处理有将原有感染扩大的可能。在行内镜检查时需准确评估创面病情,根据创面形态、渗出、细菌学培养结果等评估内镜下创面处理后感染扩大蔓延的风险。术中应谨慎精细操作,勿轻易突破深浅筋膜等生理分隔。对疑为瘘管的创面,在行初检、造影时需避免冲洗液或对比剂的高压灌注,造成逆行感染。
邻近组织器官副损伤。将内镜技术应用于窦道(腔)创面,尤其是深入体内的创面的诊疗,内镜本身和相关附件均可能对创面邻近的重要神经、血管等造成损伤。对窦道(腔)创面局部解剖关系的了解是避免各种副损伤的前提,初检和造影检查对预防内镜手术副损伤尤为重要。一旦损伤发生,则需即刻处理,涉及其他专科必须及时术中会诊,以将其损害降至最低程度。
将内镜技术及相关辅助方法引入创面修复领域符合外科微创理念和创面修复基本原则,是创面修复学科发展的必由之路。内镜技术治疗慢性窦道(腔)创面诊疗规范的制订将有利于提高该项新技术应用的普及程度,有助于该项技术治疗模式和治疗程序的标准化,从而保证临床治疗质量[13]。本文将笔者团队应用此项新技术的经验和创面修复的最新共识相结合,初步形成了内镜下窦道(腔)创面诊疗规范试行版的基本框架和技术内容,相信对该项新技术以及相关研究的深入开展有一定的指导作用。此试行版的不足之处尚有待笔者团队和业内同仁对这一新兴领域的持续研究和改进。
所有作者均声明不存在利益冲突





















