
克罗恩病的病理形态表现多样,且多不具备诊断特异性,活检标本病理诊断常常难度较大。肠镜系统性多部位活检,是克罗恩病病理诊断的重要基础。掌握克罗恩病病理的基本核心与组织学特征全貌,可为诊断提供重要的信息。本文通过介绍克罗恩病活检中具有诊断价值的组织学特征、早期克罗恩病的组织学特征、克罗恩病与肠结核、肠白塞病、肠血管病及淋巴瘤等的鉴别诊断,阐明病理在克罗恩病诊断中的价值。
版权归中华医学会所有。
未经授权,不得转载、摘编本刊文章,不得使用本刊的版式设计。
除非特别声明,本刊刊出的所有文章不代表中华医学会和本刊编委会的观点。
克罗恩病的病理形态多样,且每个独立病灶多不具备诊断特异性。但是,掌握克罗恩病病理的基本核心与组织学特征全貌,可为临床提供重要的诊断信息。本文通过介绍克罗恩病活检中具有诊断价值的组织学特征、早期克罗恩病的组织学特征、克罗恩病与肠结核、肠白塞病、肠血管病及淋巴瘤等的鉴别诊断,阐明病理在克罗恩病诊断中的价值。
克罗恩病活检诊断典型组织学特征包括多部位局灶性炎症反应、慢性炎性细胞浸润伴黏膜结构损伤、回肠末端幽门腺化生、回肠末端杯状细胞增生和上皮样肉芽肿。活检组织具有这些形态特征,再结合相应的临床表现及影像学特征,即可诊断克罗恩病。
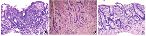
多部位局灶性炎症反应是克罗恩病的组织学病变分布特征,表现为病变分布不连续,呈局灶性,不同或相同活检部位炎症程度不一致。慢性炎症是克罗恩病的组织学病变基本特征,最早期表现为多部位局灶增强性炎症反应(图1),后期黏膜结构反复破坏,无法完全再生修复,造成隐窝结构变形。此外,回肠末端幽门腺化生也是慢性肠炎的表现之一,即回肠末端黏膜内出现黏液性腺体(幽门型腺体)(图2)。正常小肠上皮中散在分布杯状细胞,但克罗恩病患者回肠末端的杯状细胞数量增多,常可见小肠上皮杯状细胞占上皮细胞数量90%以上。上皮样非坏死性肉芽肿是由上皮样组织细胞构成的结节,对诊断克罗恩病有重要帮助,但检出率仅在30%左右(图3)。


需要强调的是,内镜下单一部位活检很难达到诊断克罗恩病的目的。需要多点活检,综合分析组织学特征、病变的分布方式、程度及范围,病理才能提供具有诊断价值的信息。
克罗恩病早期组织学改变主要为累及多个部位的局灶增强性炎症反应,在正常黏膜背景中出现慢性炎性细胞呈局灶性浸润、破坏单个或数个腺体。此时,隐窝尚未出现明显结构改变,内镜仅见红斑等轻微改变。局部增强性炎症反应常同时累及上下消化道多个部位,如胃、十二指肠、回肠、结肠等。多部位同时存在局部增强性炎症反应,这具有重要的克罗恩病诊断和鉴别诊断价值,也要求内镜必须系统性多点活检,病理医生才能观察到炎症反应呈多部位分布的特征。
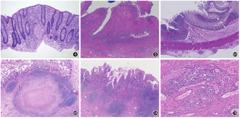
当然,累及多部位的局灶增强性炎症反应,如伴有肉芽肿,对确定早期克罗恩病的诊断具有更重要意义(图4)。但也要注意感染性肠炎可能具有相似的组织学特征,需要结合临床、病原学检测、免疫组化、组织化学染色等进行诊断。


在临床上克罗恩病常常需要与肠结核、肠白塞病、淋巴瘤、肠血管病以及其他慢性感染等相鉴别,病理对鉴别诊断有非常重要的作用。另外,少见的结肠型克罗恩病也需要与溃疡性结肠炎鉴别。
克罗恩病与肠结核都是以形成肉芽肿为特征的疾病,在内镜和活检组织学上难鉴别,而临床常用的检测方法,如结核菌素试验、结核菌感染T细胞斑点试验(T-SPOT)阴性预测值高,阳性预测值低,鉴别诊断作用有限[1,2]。若能从克罗恩病与肠结核的病变本质,理解其核心病理改变的差异,则多数病例可明确诊断。
克罗恩病是以慢性炎性细胞破坏黏膜和肠壁组织为特征。黏膜以隐窝或表面上皮改变为核心,常表现为黏膜隐窝结构破坏(隐窝分支、不规则扩张、缩短、延长、缺失等)、小肠绒毛萎缩变平、化生性改变(幽门腺化生、杯状细胞增生、结肠脾曲以后的结直肠黏膜潘氏细胞化生);肠壁组织表现为透壁性、节段性分布的慢性炎症反应,受累部位肉芽肿数量相对较少;手术标本中可见的肉芽肿的数量与肠壁炎症反应及其继发的纤维组织增生等不成比例,炎症反应分布不以肉芽肿为中心(图5)。
肠结核是结核分支杆菌被巨噬细胞吞噬,引起巨噬细胞增生反应、聚集形成肉芽肿性病变,肉芽肿中央一般出现干酪样坏死。肠壁炎症反应以肉芽肿为中心分布,肉芽肿旁可见大量炎性细胞浸润、伴或不伴纤维化等,但没有肉芽肿处,肠壁各层形态完全正常。多数情况下,尤其是早期,黏膜结构可正常,没有慢性肠炎改变(图6A、图6B);当肉芽肿过大且靠近或位于黏膜层,病变则可波及黏膜层,出现溃疡或隐窝结构改变、幽门腺化生等慢性肠炎改变,范围一般较局限,故肠结核中黏膜为"旁观受害者",而非病变主体。
克罗恩病的肉芽肿一般较少,散在分布,仅约30%病例在活检组织中可见肉芽肿,而肉芽肿体积较小,偶尔伴有多核巨细胞。肠结核的肉芽肿一般数量较多,且多个肉芽肿相互聚集融合形成体积较大肉芽肿,境界清楚,细胞排列密集,胞质较红,常可见Langhan′s巨细胞;肉芽肿中央可见坏死,包括典型干酪样坏死;在同一次送检的多块活检组织中均可见肉芽肿形成[3]。典型的肠结核肉芽肿大多位于黏膜下层,内镜下活检需达黏膜下层,才比较容易见到典型的结核肉芽肿,若取材仅至黏膜层,可能没有肉芽肿或仅有小肉芽肿,有可能造成误诊。
抗酸染色阳性对诊断肠结核有重要作用,但肠结核标本中的阳性检测率低,文献报道仅为8%,所以抗酸染色阴性不能作为排除肠结核的依据[4]。肠结核的抗酸染色阳性时,阳性菌数量也非常少,不易看到阳性菌,需要采用油镜非常仔细观察。经抗结核治疗后的手术切除标本,肉芽肿数量可显著减少,甚至完全消失,但遗留慢性肠炎、肠壁炎症、纤维化等病变,与克罗恩病非常相似,组织学形态上难以鉴别,所以临床病史及治疗前的活检组织对鉴别诊断非常重要。另外,肠结核一般不会出现多部位局灶性炎症反应、局灶增强性炎症反应等组织学特征,这些特征可以帮助排除肠结核。
肠白塞病是以累及静脉或动脉的淋巴细胞性血管炎为特征的慢性炎性病变,常伴口腔溃疡、生殖器溃疡,内镜可见以回盲部为主的单个或多个境界清楚的深溃疡,常常需要与克罗恩病进行鉴别[5]。
肠白塞病溃疡常较深,达黏膜下层甚至固有肌层。急性缺血时溃疡旁黏膜可见上半部隐窝枯萎,隐窝体积变小,上皮呈立方状或扁平,黏膜固有层炎性细胞很少,或以中性粒细胞为主的急性炎;慢性缺血时,溃疡旁黏膜可呈慢性肠炎改变,深溃疡旁肠壁也可见多少不等的炎性细胞浸润(图7A),但病变范围局限,距离溃疡较远处,黏膜及肠壁结构正常。血管炎改变常位于黏膜下层或浆膜层,动脉或静脉壁及其周围以淋巴细胞浸润为主(图7B)[6,7]。慢性期可见孤立静脉血管全部或部分闭锁。肠白塞病没有肉芽肿改变。克罗恩病炎症反应分布相对广泛,远离溃疡处,仍可见显著的慢性肠炎和透壁性炎症反应改变,一般不见血管炎。
活检标本一般取材较表浅,多没有典型血管炎改变,常以炎性肉芽组织为主,肉芽组织中的毛细血管周围炎性细胞较多,不能认为是有诊断意义的血管炎改变。若溃疡旁黏膜以缺血改变为主,有助于肠白塞病的诊断;若溃疡旁黏膜以慢性肠炎改变为主,单部位活检则很难与克罗恩病鉴别。系统性活检对鉴别有很大帮助,累及多部位的慢性肠炎,炎症反应分布不均匀,伴或不伴肉芽肿形成,则支持克罗恩病。
有多种血管病引起肠壁或肠系膜血管病变,导致受累区域黏膜慢性供血不良,组织学改变也常常表现为慢性肠炎、溃疡形成、肠壁纤维化等,与克罗恩病非常相似。
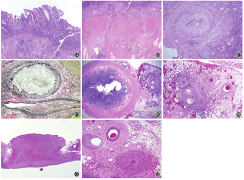
1.动脉纤维平滑肌异生(fibromuscular dysplasia of artery,FMD)是一类病因不明的非炎性、非动脉粥样硬化性血管病,多见于青中年女性,通常累及肾和颈内动脉,但某些病例也发生于肠系膜或肠壁内血管,引起类似于克罗恩病的临床表现[8,9]。肠壁及肠系膜中等大小动脉内膜或中膜纤维平滑肌增生,血管腔狭窄以及逐渐闭塞。弹力纤维染色可显示血管壁弹力膜与内皮细胞间增宽,纤维组织增生(图8)。免疫组化SMA可显示血管壁或周围平滑肌增生紊乱。肠黏膜常表现为显著慢性肠炎,伴溃疡形成,溃疡较深时,肠壁可出现透壁性炎症反应及纤维化。


2.肠道淋巴细胞静脉炎(enterocolic lymphocytic phlebitis,ELP):ELP是罕见的发生于肠道静脉的血管炎,不伴有系统性累及,也有被称为坏死和巨细胞肉芽肿性静脉炎、肠系膜静脉血栓形成、肠系膜炎症性静脉闭塞病等。部分病例可能与药物有关(如氟他胺等)[10,11,12]。病变可累及小肠和/或结肠,肠壁及肠系膜小静脉可见血管炎,管壁淋巴细胞浸润,可伴有血栓形成,也可见静脉纤维内膜增生,管腔闭塞。肠壁溃疡形成,伴程度不等的缺血改变(图9)。
3.特发性肠系膜静脉肌内膜增生(idiopathic myointimal hyperplasia of mesenteric veins,IMHMV):也称为特发性肠系膜静脉硬化(idiopathic mesenteric phlebosclerosis,IMP),是一种非血栓性、非炎性肠系膜静脉闭塞,由静脉壁内膜平滑肌增生所致[13,14],常为节段性病变,多见于年轻人,偶见于老年人,好发部位为直肠、乙状结肠,偶见于回肠。该病临床表现与克罗恩病相似,常由于对药物治疗反应不佳而行手术切除。肠系膜静脉壁平滑肌显著增生,管腔狭窄。肠壁广泛溃疡,溃疡旁黏膜可见慢性肠炎改变(图10),也可见大量静脉扩张、淤血。
以上肠壁或肠系膜血管病引起的慢性肠炎、透壁性炎、纤维化等病变多局限于溃疡旁,远离溃疡的肠壁则不会出现这些形态改变,且一般没有肉芽肿;若有肉芽肿形成,则不支持上述特发性血管病。诊断血管病的关键是观察肠壁及肠系膜动脉、静脉形态,标本的取材非常重要。手术大体标本包括肠壁、浆膜及肠系膜,取材充分,经仔细观察,一般都可明确诊断;内镜活检取材一般无法取到肠壁深层的病变血管,而且血管病的黏膜也常表现为慢性炎症反应,因此与克罗恩病鉴别困难。影像学可发现肠系膜血管异常,有助于术前的诊断与鉴别诊断[15,16],但无法显示许多限于肠壁的血管病变。
淋巴瘤表现为黏膜结构不同程度破坏,异型淋巴样细胞浸润。当黏膜结构破坏不明显,肿瘤细胞异型性不大的时候,有可能被误诊为慢性肠炎。但淋巴瘤在黏膜固有层浸润的细胞种类单一,而慢性肠炎黏膜固有层则由淋巴细胞、浆细胞、嗜酸性粒细胞、中性粒细胞等多种炎性细胞混合构成。淋巴瘤通过免疫组化可明确诊断。
综上所述,克罗恩病诊断在单个活检标本中缺乏金标准,需要我们在深入认识克罗恩病发病机制和各种病理改变全貌的基础上,充分理解组织学动态改变,掌握克罗恩病病理诊断及鉴别诊断的思路。我们需要多部位多点规范活检为首次病理诊断提供必要条件,以保证发现有诊断价值的组织学依据。
所有作者均声明不存在利益冲突





















