
伴有多层菊形团的胚胎性肿瘤(ETMR)是2016年世界卫生组织(WHO)中枢神经系统肿瘤分类新提出的一类胚胎性肿瘤,主要见于婴幼儿,较为罕见,预后差。本文报道一例发生于后颅窝的ETMR。CT示左侧小脑半球7.9 cm×4.7 cm×5.3 cm大小等密度肿块,边界清,周围未见水肿,增强后强化不明显;MRI肿块呈长T1WI稍长T2WI信号,内见不规则斑片状短T1WI混杂T2信号;DWI扩散受限;增强后呈片状补丁样强化,病灶紧贴硬膜及左侧小脑幕,近硬膜处强化相对明显。当年龄较小患儿脑实质内出现较大实性为主占位,且DWI高信号与病灶强化不明显、周围轻水肿间"不匹配"时,要考虑到ETMR的可能,并需注意与其他胚胎性肿瘤的鉴别。
版权归中华医学会所有。
未经授权,不得转载、摘编本刊文章,不得使用本刊的版式设计。
除非特别声明,本刊刊出的所有文章不代表中华医学会和本刊编委会的观点。
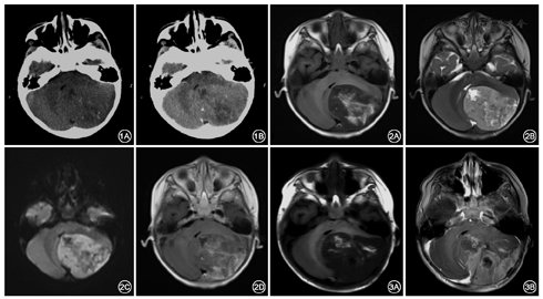
患儿男,2岁4个月,头向右侧歪斜伴呕吐半月余,步态不稳1周收住入院。查体:闭目难立征(+),指鼻实验不能配合,其余未见异常体征。CT示左侧小脑半球7.9 cm×4.7 cm×5.3 cm大小等密度肿块,内见片状低密度区及点条状高密度影,边界清,周围未见水肿,增强后强化不明显(图1);MRI示肿块呈长T1WI稍长T2WI信号,内见不规则斑片状短T1WI混杂T2信号,DWI扩散受限,ADC图等低信号;增强后呈不均匀斑片状轻中度强化,病灶紧贴硬膜及左侧小脑幕,近硬膜处强化相对明显(图2)。术前诊断:后颅窝占位伴出血,考虑:(1)非典型畸胎瘤样横纹肌样瘤(AT-RT);(2)髓母细胞瘤。手术切开后枕部硬脑膜,硬膜下见肿瘤组织色灰黑,质软,血供丰富,与小脑幕粘连,部分病变组织内为黄组织,血供少,予显微镜下全切肿瘤组织。病理结果示大体标本见灰白灰黄色组织,切面灰红色,实性,质软。镜下见低分化小到中等大小细胞,形成多层菊形团伴坏死。免疫组化:钙结合蛋白S100(-),胶原纤维酸性蛋白GFAP(-),波形蛋白Vim(+++),上皮膜抗原EMA(核旁点状+),P53(-),细胞增殖抗原Ki67(约50%+),突触素Syn(灶+),神经元特异核蛋白NenN(灶+),整合酶相互作用分子INI-1(+++)。病理诊断:高级神经源性肿瘤,WHO Ⅳ级,倾向胚胎性肿瘤伴多层菊形团,非特殊类型。术后出院5个月后原部位复发(图3)。


伴有多层菊形团的胚胎性肿瘤(embryonal tumors with multilayered rosettes,ETMR)是2016年WHO中枢神经系统肿瘤分类新提出的一类胚胎性肿瘤,包括伴有神经毡及真性菊形团的胚胎性肿瘤(embryonal tumor with abundant neuropil and true rosettes,ETANTR)、室管膜母细胞瘤及部分髓上皮瘤,既往曾归类于原始神经外胚层肿瘤中,后发现这三类肿瘤都显示有染色体19q13.42位点扩增的miRNA簇C19MC,故将其单独归为一类。其组织学特点为大小形态各异的多层细胞菊形团结构[1]。当C19MC基因座正常或未作分子检测时,与上述组织学特征一致的肿瘤诊断为伴有多层菊形团的胚胎性肿瘤,非特殊类型(NOS)。
EMTR非常罕见,主要见于婴幼儿,平均发病年龄2岁左右,临床多表现为进展性颅内高压。大部分发生于幕上额顶叶;其次为幕下小脑及脑干[2],四脑室少见。病理上其具有典型的双相结构[3],原始神经上皮样细胞形成特殊的多层细胞菊形团呈片状、小叶状分布组成密集区;细胞排列稀疏的分化区则呈少突胶质样细胞或神经细胞瘤样背景。蛋白质LIN28A强阳性为较具特异性的免疫标记产物。
影像学上主要表现为较大的实性肿块,可伴有囊性成分,既往文献十余例报道肿瘤累及硬脑膜;尸检发现肿瘤实体与周围脑组织有明显的分界[4],并非向周围浸润生长,故瘤周无或轻度水肿。Gessi等[5]报道29例ETANTR,表现为无强化、不均匀强化、或片状不完全强化,1例为均匀强化;从强化程度来看,血脑屏障破坏不明显,其多种强化形式可能与其不同比例的各细胞成分区及重新建构的血管床有关。Wang等[6]报道了7例ETMR,均为实性,4例基本无强化、3例轻度强化,认为其强化方式与和正常脑组织相似的大量的神经毡成分有关。本例ETMR发生于相对不常见的小脑半球,为较大的实性肿块,累及硬脑膜及小脑幕,DWI明显高信号,ADC低信号为典型恶性肿瘤征象,但强化不充分,呈片状不完全强化即补丁样强化且周围未见水肿,因对该类肿瘤认识不足术前误诊为AT-RT、髓母细胞瘤。其发病部位、年龄且伴较多出血与AT-RT相似,但后者常可见较大偏心囊变,且瘤周水肿明显,多可见明显条状或环状强化,INI-1阴性;髓母细胞瘤多位于中线结构,强化明显且相对均匀,出血少见,但位置及强化不典型者鉴别较困难,此外尚需与神经母细胞瘤鉴别,后者除脑实质外、脑室、脊髓、硬膜下及颅外均可累及,易囊变出血坏死、可伴有钙化,累及范围广,增强后呈中度或明显强化,但与ETMR类似,瘤周水肿相对较轻。当年龄较小患儿脑实质内出现较大实性为主占位,且DWI高信号与周围轻水肿、强化不明显间"不匹配"时,要考虑到ETMR的可能。
ETMR预后较差,早期即可有转移,多在发病后1年内死亡,本例术后5个月即原部位复发,两次MRI检查均可见瘤内片状出血,反映肿瘤恶性程度高、生长旺盛。肿瘤全切、放疗及高剂量化疗可提高生存期[7],但总体疗效不佳。
所有作者均声明不存在利益冲突





















