
介绍腹腔镜气膀胱改良乳头式输尿管膀胱再植术的手术方法,通过与开放手术和Cohen术的比较探讨这种术式的安全性、可行性。
回顾性分析山东大学齐鲁医院小儿外科2010年1月至2019年3月实施腹腔镜气膀胱改良乳头式输尿管膀胱再植术的病例资料,包括临床效果、膀胱造影检查结果、并发症等,与开放手术和Cohen术式对比,分析优缺点及应用前景。共收集到179例患儿资料,分三组进行比较。开放手术组63例,其中男44例,女19例。年龄<6个月32例,6个月至1岁23例,>1岁8例。左侧30例,右侧17例,双侧16例。输尿管末端狭窄58例,膀胱输尿管反流4例,狭窄伴反流1例,合并肾积水53例,泌尿系统感染33例,输尿管开口异位7例,输尿管末端囊肿3例。气膀胱Cohen组55例,其中男38例,女17例,年龄<6个月10例,6个月至1岁5例,>1岁40例。左侧27例,右侧13例,双侧15例。输尿管末端狭窄50例,膀胱输尿管反流3例,狭窄伴反流2例,合并肾积水44例,出现泌尿系统感染症状38例,输尿管末端囊肿3例,输尿管开口异位2例。气膀胱改良乳头式再植组61例,其中男36例,女25例,年龄<6个月22例,6个月至1岁28例,>1岁11例。左侧33例,右侧19例,双侧9例。输尿管末端狭窄50例,膀胱输尿管反流7例,狭窄伴反流4例;均出现肾积水,出现泌尿系统感染症状56例,输尿管末端盲端1例,输尿管开口异位不与膀胱相通2例,开口膀胱憩室1例。
三组均无死亡病例,气膀胱Cohen组有2例中转开放,气膀胱改良乳头式再植均在腹腔镜下顺利完成;气膀胱Cohen组与气膀胱改良乳头式再植组之间,手术时间[(97.2±49.4)min比(77.4±37.0) min, P>0.05]、出血量[(3.7±1.5)ml比(2.9±1.8) ml,P>0.05]及住院时间[(6.8±2.3)d比(6.2±1.3)d,P>0.05]的差异均无统计学意义,抗反流效果相当,术后未见严重并发症,肾盂及输尿管积水均有明显减轻。气膀胱的两组手术时间略长于开放手术(P<0.05),血量明显减少(P<0.05),住院时间明显缩短(P<0.05),并发症少。
腹腔镜气膀胱改良乳头式输尿管膀胱再植术符合生理特点,抗反流效果可靠,是治疗输尿管末端狭窄以及反流引起巨输尿管的一种应用前景广阔的术式。
版权归中华医学会所有。
未经授权,不得转载、摘编本刊文章,不得使用本刊的版式设计。
除非特别声明,本刊刊出的所有文章不代表中华医学会和本刊编委会的观点。
儿童巨输尿管是小儿泌尿外科常见疾病之一,可以分为梗阻性巨输尿管、反流性巨输尿管及原发性非梗阻非反流性巨输尿管[1],目前常用的外科治疗术式是Cohen输尿管膀胱再植术[2]。虽然此术式不易成角、抗反流效果好,但严重改变了输尿管的生理走行,将来行膀胱镜逆行造影及输尿管镜检查时较困难[3]。我们采用腹腔镜气膀胱改良乳头式输尿管膀胱再植术治疗巨输尿管61例,该术式符合生理,临床随访至今疗效好、抗反流效果肯定,现报告如下。
对于儿童巨输尿管的治疗,2010年1月至2012年11月我们是采用开放手术,2012年11月至2015年6月是采用气膀胱Cohen术,2015年6月至今是采用气膀胱改良乳头式再植术。本研究回顾性分析2010年1月至2019年3月,我院小儿外科179例行输尿管再植术治疗巨输尿管患儿的术前、术中、术后临床资料。通过三种术式的疗效比较,探讨气膀胱改良乳头式再植术的安全性、可行性。本研究均获得患儿家属的知情同意,并经山东大学齐鲁医院伦理委员会批准(编号:KYLL-2019-2-121)
179例患儿,男118例,女61例。年龄1个月至10岁3个月。按采用手术方法的不同分为三组。
63例患儿,男44例,女19例。年龄1个月至4岁,其中,<6个月32例,6个月至1岁23例,> 1岁8例。左侧30例,右侧17例,双侧16例(表1)。输尿管末端狭窄58例,膀胱输尿管反流4例,狭窄伴反流1例。合并肾积水53例,泌尿系统感染33例,输尿管开口异位7例(其中1例异位开口于后尿道),输尿管末端囊肿3例(表2)。实施手术:Cohen术60例,Lich-Gregoir术1例,Politano-Leadbetter术2例。

三组患儿基本信息比较(例)
三组患儿基本信息比较(例)
| 分组 | 例数 | 性别 | 年龄(月) | 侧别 | |||||
|---|---|---|---|---|---|---|---|---|---|
| 男 | 女 | <6 | 6~12 | >12 | 左 | 右 | 双 | ||
| 开放手术组 | 63 | 44 | 19 | 32 | 23 | 8 | 30 | 17 | 16 |
| 气膀胱Cohen组 | 55 | 38 | 17 | 10 | 5 | 40 | 27 | 13 | 15 |
| 气膀胱改良乳头式再植组 | 61 | 36 | 25 | 22 | 28 | 11 | 33 | 19 | 9 |
| 合计 | 179 | 118 | 61 | 64 | 56 | 59 | 90 | 49 | 40 |

三组患儿病因与伴随症状比较(例)
三组患儿病因与伴随症状比较(例)
| 分组 | 病因 | 伴随症状 | ||||||
|---|---|---|---|---|---|---|---|---|
| 狭窄 | 反流 | 狭窄伴反流 | 末端盲端 | 开口异位 | 末端囊肿 | 肾积水 | 感染 | |
| 开放手术组 | 58 | 4 | 1 | 0 | 7 | 3 | 53 | 33 |
| 气膀胱Cohen组 | 50 | 3 | 2 | 0 | 2 | 3 | 44 | 38 |
| 气膀胱改良乳头式再植组 | 50 | 7 | 4 | 1 | 3 | 0 | 61 | 56 |
| 合计 | 158 | 14 | 7 | 1 | 12 | 6 | 158 | 127 |
开放手术及气膀胱Cohen输尿管膀胱移植术按常规方式进行[4],气膀胱改良乳头式输尿管膀胱再植术手术操作介绍如下(视频1)。
操作者:李爱武;视频制作:李爱武
取仰卧位,常规消毒、铺无菌巾,经尿管注入生理盐水使膀胱膨胀,膀胱镜监视下于膀胱顶部用1-0可吸收线悬吊膀胱顶部,置入第一个Trocar(5 mm或3 mm);腹腔镜进入膀胱,于两侧膀胱顶部分别置入第2、3个Trocar,放水、充入CO2,建立气膀胱。
先经尿道将3F输尿管导管分别插入左右输尿管作为标记,缝合患侧输尿管留置牵引线防止输尿管脱入腹腔内。气膀胱下沿患侧输尿管口周围2 mm电钩切开黏膜层、肌层,解剖出输尿管膀胱壁内段,进一步游离膀胱外输尿管、拖入膀胱内4~5 cm,男性患儿要注意保护好输精管。
先将患侧输尿管悬吊于对侧膀胱壁或者直接从腹壁外刺入针线悬吊,牵引输尿管,显露更加清晰(图1A)。用5-0可吸收线间断缝合输尿管浆肌层与膀胱浆肌层,固定点在输尿管开口近端4~5 cm处,一般缝合4~6针(图1B);然后再距此吻合处远端1.0~1.5 cm缝合输尿管浆肌层与膀胱黏膜层,使输尿管包埋在膀胱壁内1.0~1.5 cm(图1C);然后剪去输尿管末端病变(图1D),使输尿管游离、旷置于膀胱内2.0~2.5 cm,走行方向顺原先输尿管走行,并将游离输尿管后壁与膀胱黏膜缝合2针固定。


4.逆行置入双J管、尿管,拔出Trocar,缝合皮下、皮肤。
5.如果遇到患侧输尿管是盲端、没有进入膀胱,膀胱内找不到输尿管口,则放出膀胱内气体(Trocar不动),经脐部植入Trocar建立气腹,腹腔镜下找到、游离输尿管;膀胱充气,在膀胱内从与健侧输尿管口对称位置切开膀胱壁,将输尿管拖入膀胱内,后续操作同上。
6.绝大部分病例按规范于术后4~8周膀胱镜下拔出双J管,对于少数扩张较重病例为预防术后吻合口瘢痕狭窄,拔管时间延长至术后2~3个月,拔管后接着行膀胱造影检查,看有无反流。
所有数据均采用SPSS 10.0软件进行分析,χ2检验应用于计数资料间的比较,t检验用于两组计量资料之间的比较,P<0.05认为差异有统计学意义。
三组均无死亡病例,气膀胱Cohen手术组2例术中漏气无法维持气膀胱中转开放,气膀胱改良乳头式输尿管膀胱再植手术全部气膀胱下实施。其中1例重复肾输尿管膀胱黏膜开口分离、而黏膜下共壁、下肾段输尿管反流,两根输尿管同时完成改良乳头式输尿管膀胱再植;其中1例膀胱内未见输尿管开口,建立气腹腹腔镜下分离输尿管末端见输尿管末端呈条索状闭锁。
气膀胱Cohen组与气膀胱改良乳头式输尿管膀胱再植组之间,手术时间、出血量及住院时间差异无统计学意义。气膀胱的两组手术时间长于开放手术组(P<0.05);出血量较开放手术组少(P<0.05),三组病例均未输血;气膀胱的两组住院时间少于开放手术组(P<0.05)。(表3)

三组患儿手术资料比较
三组患儿手术资料比较
| 分组 | 例数 | 手术时间(min,Mean±SD) | 出血量(ml,Mean±SD) | 住院时间(d,Mean±SD) | 刀口感染(例) | 尿外渗(例) | 中转开腹(例) | 术后泌尿系感染(例) |
|---|---|---|---|---|---|---|---|---|
| 开放手术组 | 63 | 73.3±29.0 | 14.9±1.4 | 12.1±2.2 | 2 | 4 | - | 3 |
| 气膀胱Cohen组 | 55 | 97.2±49.4a | 3.7±1.5a | 6.8±2.3a | 0a | 0a | 2 | 3c |
| 气膀胱改良乳头式再植组 | 61 | 77.4±37.0ab | 2.9±1.8ab | 6.2±1.3ab | 0ab | 0ab | 0b | 2bc |
注:与开放手术组相比,aP<0.05;与气膀胱Cohen组相比,bP>0.05;与开放手术组相比,cP>0.05
开放手术组术后留置耻骨上膀胱造瘘管(6.6±1.2)d,切口引流管(3.4±2.3)d,尿管(8.5±1.9)d;术后出现切口感染2例,尿外渗1例,血尿(6.2±1.6)d,术后泌尿系感染3例。气膀胱的两组术后无留置膀胱造瘘管及引流管病例;术后血尿(2.5±1.3)d,无尿外渗、切口感染发生;气膀胱Cohen组术后泌尿系感染3例,气膀胱改良乳头式再植组2例。术后泌尿系感染均发生于双J管留置期间,考虑原因与双J管留置相关,控制感染拔除后泌尿系感染未再复发,无需长期服用抗生素病例。术后2~3个月拔除双J管,术后随访肾盂及输尿管积水明显减轻。
术后双J管拔除后立即行膀胱造影:气膀胱Cohen组术后造影25例,1例双侧反流病例有轻度反流,观察2年无症状,家属未同意再行造影检查;61例气膀胱改良乳头式再植术后拔管时均行造影,2例有轻度反流,无症状,3个月后复查膀胱造影反流消失。两组术后造影再反流发生率差异无统计学意义(P>0.05)。
在小儿泌尿外科中,巨输尿管病例常见,多为输尿管末端狭窄或者输尿管反流引起,也有病因不明的原发性巨输尿管[1]。手术治疗切除远端病变并不困难,但必须同时建立抗反流机制。输尿管末端本身有环肌层、纵肌层,而且输尿管膀胱壁内段斜行进入膀胱壁,膀胱肌层、黏膜层与输尿管本身肌层协同收缩共同建立抗反流机制[5,6]。
巨输尿管治疗方法目前主要是Cohen输尿管膀胱再植术[2,7]:要点是将患侧输尿管通过黏膜下隧道移到对侧输尿管开口上方,优点是大弧形走行不会形成梗阻,通过黏膜层与肌层压迫抗反流,效果获得认可[8]。但缺点是改变了输尿管走行方向,将来实施输尿管检查以及治疗、输尿管逆行造影等困难[3,9,10],成人泌尿外科医师亦有较多反对意见。
有学者采用插入式或者乳头式再植是将输尿管与膀胱壁全层缝合,旷置于膀胱内1~1.5 cm左右,操作简单,输尿管走行方向没有改变[11,12,13],但没有很好的包埋输尿管,仅依靠输尿管乳头抗反流而没有建立正常的抗反流机制,术后输尿管反流发生率高于Cohen术,所以没有广泛推广。Lich-Gregoir膀胱外逼尿肌修补术是从膀胱外将膀胱浆肌层切开,将输尿管置于膀胱黏膜层与肌层之间[14,15]。输尿管走行方向虽没有改变,但远端病变没有切除,适合于反流病例,对于末端狭窄病例术中需要切除输尿管末端,失去了该术式在处理反流病例时输尿管末端不需要处理、术后不需要膀胱造瘘及输尿管内引流等优势;而且腹腔镜下操作从膀胱后外侧切开膀胱浆肌层相对困难,相比膀胱内操作不容易实施,尤其是双侧患儿不容易同时处理且易损伤支配膀胱逼尿肌神经造成术后膀胱功能损伤;同时具有2%~4%的潜在术后梗阻的风险[3,16]。Politano-Leadbetter术式虽没有改变输尿管开口位置,但存在包埋长度不足术后反流率高,为保证包埋长度造成的输尿管走行改变、扭曲与成角等[3,16]。
所以理想的手术方式是既切除病变又符合生理的重新建立抗反流机制。我们根据多年的临床经验,结合输尿管膀胱正常的生理解剖结构,吸收Cohen术、Lich-Gregoir术与Politano-Leadbetter术隧道包埋抗反流、插入式/乳头式再植抗反流等优点,结合现代微创腔镜技术,设计出腹腔镜气膀胱改良乳头式输尿管膀胱再植术,优点如下:①输尿管走行方向没有改变,符合生理,不影响成年后遇到输尿管病变时各种检查及治疗的实施;②借鉴多种手术方法,符合生理建立抗反流机制,效果可靠;③利用现代腹腔镜气膀胱技术,不仅微创、美观,而且显露充分、视野清晰、操作较开放手术更易实施。
抗反流要点:①在输尿管开口近端4~5 cm处,输尿管浆肌层与膀胱浆肌层先缝合一层,再于远端1~1.5 cm处与膀胱黏膜层缝合一层,包埋在膀胱壁内1~1.5 cm,这样输尿管既不会形成梗阻又接近正常解剖,依靠膀胱壁收缩及输尿管壁本身抗反流(图2A、图2B);②远端输尿管旷置2 cm左右,术后膀胱黏膜覆盖输尿管形成乳头,具有抗反流作用(图2C、图2D);③将游离输尿管后壁固定于膀胱壁,膀胱内尿液压力将输尿管壁压迫于膀胱壁也有抗反流作用;④输尿管远端病变切除不是像Cohen为防止狭窄从最扩张处切断,开口常常大于10 mm,而是从移行段切除,保留开口3~4 mm,不会因开口过大引起反流。


与之前报道的乳头式再植不同,我们将膀胱壁浆肌层、膀胱黏膜层与输尿管进行双层吻合,使输尿管包埋在膀胱壁内1~1.5 cm,充分保证膀胱壁内输尿管的有效长度来有效提高抗反流的效果,这是该改良乳头式再植术的重要创新点之一;另外,我们将游离输尿管后壁固定于膀胱壁,膀胱内尿液压力升高时会将输尿管壁压迫于膀胱壁也具有抗反流作用,也是我们的创新点之一。
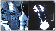
25例气膀胱Cohen组及全部改良乳头式再植术组病例,术后4~8周拔除双J管时同时行膀胱造影(图3)。改良乳头式再植组只发现2例有反流,但拔管前后并无泌尿系感染症状,查尿常规正常,而且3个月后再次造影检查均发现反流消失,考虑是大年龄儿童置入6F双J管,刚拔管时输尿管末端尚处于开放状态所致,而经过一段时间正常收缩后造影无反流。所有病例输尿管扩张均有减轻、部分恢复正常(图4),说明效果可靠,输尿管包埋在膀胱壁内1~1.5 cm没有梗阻表现。


气膀胱改良乳头式输尿管膀胱再植术成功关键首先是建立气膀胱,Trocar要一次性穿刺成功,并将Trocar固定于腹壁、膀胱壁上,一旦滑动漏气,手术难以实施。技术难点在于缝合输尿管与膀胱肌层时显露困难,由于容积有限,气膀胱一般只能打3个Trocar孔,不像气腹手术可以多打几个辅助孔,技巧是充分利用悬吊技术:将患侧输尿管悬吊于对侧膀胱壁或者直接从腹壁外刺入针线悬吊,相当于一个辅助孔助手帮助牵拉显露,缝合更顺利(图1A)。另外这种包埋一般不需要裁剪,包埋长度、游离旷置长度、输尿管末端切除长度都要视具体情况而定。
综上所述,腹腔镜气膀胱改良乳头式输尿管膀胱再植术美观、微创,视野清晰,治疗效果好,抗反流可靠,更符合生理,是一种值得推广的新术式。
所有作者均声明不存在利益冲突





















