
本文报道1例芬兰型淀粉样变性合并膜性肾病,53岁女性,肾病综合征起病,血抗磷脂酶A2受体(PLA2R)抗体阳性,肾活检提示肾淀粉样变性合并膜性肾病,肾组织多种物质染色不能明确淀粉样变性分型,基因检测提示凝溶胶蛋白(GSN)基因c.640G>A杂合突变,最终明确为芬兰型淀粉样变性。对于分型不明的淀粉样变性,基因检测可以辅助诊断。
版权归中华医学会所有。
未经授权,不得转载、摘编本刊文章,不得使用本刊的版式设计。
除非特别声明,本刊刊出的所有文章不代表中华医学会和本刊编委会的观点。
芬兰型淀粉样变性是一种罕见常染色体显性遗传疾病,又称为凝溶胶蛋白(GSN)淀粉样变性。该病常见临床表现为颅神经病变、格子状角膜营养不良及皮肤松弛症,首发表现为肾脏受累少见。本文报告1例以肾脏受累为首发表现的芬兰型肾淀粉样变性,该患者同时合并特发性膜性肾病。国内外未见相关报道,现将诊治经过报告如下。
患者,女,53岁,因"体检发现尿检异常伴血肌酐升高2年"于2019年5月入院。2017年6月患者因头晕乏力于当地医院就诊,查尿蛋白阳性,血肌酐临界(具体数值不详),未诊治。2018年1月体检测血压130/80 mmHg,尿检阴性,血红蛋白107 g/L,白蛋白38 g/L,肌酐103 μmol/L,仍未诊治。患者渐出现双下肢水肿,2018年8月就诊于当地医院,血压125/78 mmHg,查尿蛋白2+(定量1.82 g/d),尿红细胞阴性,血清白蛋白36.9 g/L,肌酐98.5 μmol/L,肾穿刺活检提示膜性肾病合并肾淀粉样变性,骨髓穿刺正常,骨髓流式细胞学检查未见异常浆细胞。给予"金水宝胶囊"治疗,尿蛋白升高至4.78 g/d,患者来本院进一步就诊。病程中患者无消瘦,无皮肤松弛,无眼睑下垂,无吞咽困难,无听力和视力异常,无肢体乏力及运动障碍,精神、食欲、睡眠良好。既往史:2年前测血压140/90 mmHg,未予降压药物及监测血压。个人史、婚育史、家族史无特殊。体格检查:血压158/98 mmHg,体重指数(BMI)24.84 kg/m2,贫血貌,无巨舌,全身皮肤无出血点;双下肺听诊呼吸音低,未闻及干湿啰音;心率82次/min,律齐,各瓣膜听诊区未闻及杂音;腹部柔软,肝脾肋下未触及,移动浊音阴性;双下肢对称性中度水肿。实验室检查:尿蛋白量8.43 g/24 h,尿红细胞6.3个/高倍视野(HPF),多形型。血常规检查:白细胞3.69×109/L,血红蛋白77 g/L,血小板正常,网织红细胞0.96%。生化:脑利钠肽前体25.32 pmol/L(参考值≤106.2 pmol/L),肌钙蛋白T 0.012 μg/L(参考值0~0.014 μg/L),肌钙蛋白I 0.02 μg/L(参考值<0.06 μg/L),谷丙转氨酶20 U/L,谷草转氨酶32 U/L,碱性磷酸酶37 U/L,白蛋白19 g/L,球蛋白16.5 g/L,肌酐144.4 μmol/L,电解质正常。免疫血检查:抗磷脂酶A2受体(PLA2R)抗体84.22 RU/ml(参考值<20 RU/ml),补体C3、C4正常,抗中性粒细胞胞质抗体(ANCA)谱阴性,血游离κ轻链68.7 mg/L(参考值3.3~19.4 mg/L)、λ轻链84.9 mg/L(参考值5.71~26.30 mg/L)、κ/λ0.81(参考值0.37~3.10);免疫固定电泳阴性。心电图示窦性心律,T波改变;胸部CT示双侧胸腔积液;超声检查示腹水,肝胆胰脾未见占位,左肾100 mm×45 mm×50 mm,右肾106 mm×49 mm×53 mm,皮质回声增强;心脏见室间隔厚度9 mm,左心室舒张末内径43 mm,左室后壁厚度9 mm,左室射血分数(LVEF)60%。
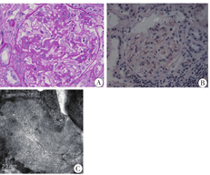
重复肾活检病理:(1)光镜:24个肾小球中2个肾小球球性废弃。系膜区轻度增宽,并见HE淡染、PAS弱阳性物质沉积。PASM-Masson:肾小球上皮侧较多嗜复红物沉积,节段袢"钉突"形成,系膜区沉积物质嗜亮绿。肾小管间质轻度慢性病变伴中度急性病变,动脉未见明确病变。肾组织刚果红染色示肾小球、间质多处阳性,偏振光下见苹果绿双折光,血管壁刚果红染色阴性。见图1,图2。(2)免疫荧光:IgG(2+)、IgA(+)、IgM(+)、C3(2+)、C1q(+),κ轻链(+)、λ轻链(2+),IgG亚型IgG1(2+)、IgG2(+)、IgG3(2+)、IgG4(3+);PLA2R染色阳性(图1B);A蛋白、载脂蛋白AI、溶菌酶、淀粉样前体蛋白、转甲状腺素蛋白、β2微球蛋白、白细胞衍生趋化因子2染色均为阴性。(3)电镜:肾小球上皮侧"钉突"形成;肾小球系膜区见排列紊乱、无分枝的细纤维丝,直径为7~11 nm,个别区域纤维丝呈平行束状、漩涡状排列,间质未见纤维丝。见图1,图2。全外显子基因检查提示患者GSN基因4号外显子c.640G>A(p.D241N天冬氨酸→天冬酰胺)杂合突变,见图3。


注:A:箭头示肾小球上皮侧嗜复红物沉积,节段袢"钉突"形成(Masson ×400);B:磷脂酶A2受体荧光染色(免疫荧光 ×400);C:肾小球上皮侧"钉突"形成(电镜 ×10 000)


注:A:肾小球系膜区轻度增宽,见PAS弱阳性物质沉积(PAS ×400);B:肾组织示肾小球、间质多处阳性,偏振光下见苹果绿双折光(刚果红 ×400);C:肾小球系膜区见排列紊乱、无分枝的细纤维丝,直径为7~11 nm,纤维丝呈平行束状、漩涡状排列(电镜 ×800 000)


综合患者临床病理及基因检测结果,最终诊断为芬兰型肾淀粉样变性合并膜性肾病。患者出院时给予泼尼松30 mg/d、FK506、替米沙坦等药物治疗。1个月后门诊复查尿蛋白12.6 g/d,白蛋白25.7 g/L,肌酐143 μmol/L(1.62 mg/dl),抗PLA2R抗体降至60.81 RU/ml。患者因出现心慌、手抖等症状停用泼尼松、FK506药物,予替米沙坦、百令胶囊及间断补充铁剂等治疗。5个月后门诊复诊,血压115/65 mmHg,复查尿蛋白仍12.1 g/d,血红蛋白85 g/L,白蛋白31.7 g/L,肌酐153 μmol/L(1.73 mg/dl)。
该患者为中年女性,慢性病程,临床表现为肾病范围蛋白尿、低蛋白血症、贫血、血肌酐升高、高血压,无肾脏病家族史。两次肾活检均提示膜性肾病,第2次肾活检肾组织PLA2R染色阳性,IgG亚型以IgG4为主,同时血清抗PLA2R抗体阳性,临床中排除感染、药物、肿瘤、中毒等继发因素,诊断为特发性膜性肾病。同时患者肾组织系膜区及内皮下大量HE、PAS均质淡染物质沉积,肾小球及间质多处刚果红染色阳性,偏振光下见苹果绿双折光,电镜下见淀粉样纤维丝结构,肾淀粉样变性诊断无疑。
肾淀粉样变性的分型诊断有利于确定正确的治疗方案。该患者肾组织进行多种淀粉样前体物质(κ轻链、λ轻链、A蛋白、载脂蛋白AI、溶菌酶、淀粉样前体蛋白、转甲状腺素蛋白、β2微球蛋白、白细胞衍生趋化因子2)染色,但均为阴性。通过基因检测提示患者GSN基因c.640G>A(p.D241N)杂合突变,明确诊断为常染色体显性遗传芬兰型淀粉样变性。本例是我国国内首例报道的遗传性芬兰型淀粉样变性,但患者独特之处在于同时合并特发性膜性肾病,国际上尚未见报道。
芬兰型淀粉样变性亦称凝溶胶蛋白淀粉样变性,是一种罕见的常染色体显性遗传淀粉样变性。GSN是钙敏感性肌动蛋白调节蛋白,在不同条件下控制肌钙蛋白的聚合和解聚,促使细胞质在凝胶态及溶胶态之间转化,调控细胞骨架重排,而细胞骨架重排是细胞运动的基础。GSN有细胞内及细胞外两种形式。细胞内GSN调节肌动蛋白的聚合和解聚,触发细胞的迁移。细胞外GSN清除受损组织中释放的肌动蛋白防止其聚合[1,2]。芬兰型淀粉样变性由于基因异常使正常构象的GSN发生变化被水解,导致错误折叠的GSN形成淀粉样原纤维或前淀粉样蛋白寡聚体,沉积在机体各个组织器官导致相应病变[3]。编码GSN的基因位于常染色体9q33.2位点[4],GSN基因c.640G>A、c.654G>A、c.654G>T突变导致芬兰型淀粉样变性[5,6,7]。美国新发现GSN基因(c.633C>A和c.580G>A)突变导致芬兰型肾淀粉样变性[8,9]。我们应用高通量测序平台对此患者进行医学外显子测序,提示GSN基因c.640G>A杂合突变。除此之外,还可行质谱分析检测,但价格昂贵,目前临床无法广泛开展。
芬兰型淀粉样变性1969年由芬兰眼科医生Meretoja[10]首先提出,好发于芬兰地区,此外欧洲、北美、南美、亚洲也有报道,典型表现为颅神经病变、格子状角膜营养不良及皮肤松弛症[3]。此外,该病还可以累及周围神经、肌肉、心脏导致相应组织器官损害,累及肾脏罕见。该病好发于25~30岁,以格子状角膜营养不良起病,随着年龄的增长,逐渐出现颅神经病变及皮肤松弛症。纯合型比杂合型发病年龄更早,且病变更严重。芬兰型肾淀粉样变性罕见[3]。Sethi等[11]统计12例芬兰型肾淀粉样变性,平均诊断年龄63.8岁,临床表现为肾病综合征,进展性肾功能不全。光镜下肾淀粉样物质主要位于肾小球,只有1例同时累及肾间质,所有患者无肾血管及肾髓质受累。电镜下淀粉样纤维丝可呈无规则、平行板状、漩涡状及束状排列,为其特征性改变。芬兰型肾淀粉样变性亦可以少到中等量蛋白尿起病[3]。本例中年女性患者,以肾病综合征起病,伴肾功能异常,未见肾外受累,基因检测提示杂合型突变。肾组织淀粉样物质沉积在肾小球及肾间质,无血管受累,电镜下可见淀粉样物呈漩涡状排列,与文献报道一致。
目前芬兰型淀粉样变性的治疗尚无特效药物。有个案报道终末期肾病芬兰型淀粉样变性患者行肾移植术,术后移植肾功能稳定,6年尿检均呈阴性[12]。芬兰型淀粉样变性可以增加肾脏并发症的风险,尤其是女性患者,但致命性肿瘤风险降低,患者寿命与普通人无异[13]。由于本例患者同时合并特发性膜性肾病,在确诊后短期给予泼尼松、FK506及替米沙坦等治疗,因药物不良反应未能观察到泼尼松及FK506的疗效。患者仅随访半年,无法评估长期疗效。
本例患者是国内首例报道的遗传性芬兰型淀粉样变性,该患者同时合并特发性膜性肾病,临床罕见。对于分型不明的淀粉样变性,可完善基因检测进一步明确分型。
所有作者均声明不存在利益冲突





















