
探讨多层螺旋CT(MSCT)多平面重建(MPR)无下肢症状的髂静脉压迫人群的髂静脉压迫特征和分型。
采用回顾性横断面研究方法。收集2018年6月—10月浙江中医药大学附属第一医院全腹部或下腹部MSCT增强扫描中发现存在髂静脉压迫的200例无下肢疾病症状受检者,其中男92例、女108例,年龄18~92岁。分析受检者的左、右侧髂静脉的压迫类型、压迫点个数、最大压迫部位及发生率;测量最大压迫部位髂静脉短径、面积、近远端1 cm髂静脉面积、压迫范围、髂总静脉与下腔静脉的夹角,计算最大压迫部位髂静脉狭窄率。应用SPSS 25.0软件,采用独立样本t检验、秩和检验和χ2检验对数据进行统计分析。分析指标:(1)比较左、右侧髂静脉压迫的部位及定量指标测量值;(2)左侧及右侧髂总静脉压迫的不同年龄、性别、面积、狭窄率的差异;(3)左、右侧髂总静脉不同狭窄程度时的性别差异;(4)髂静脉压迫分型的基本特征及各型之间定量特征。
(1)最大压迫部位:位于左髂总静脉180例、右髂总静脉56例、下腔静脉分叉处10例、左髂外静脉7例、左髂总静脉分叉处3例和右髂外静脉1例;左髂总静脉受压占比(90.0%)较右髂总静脉(28.0%)高,差异有统计学意义(χ2=158.909, P<0.01),但不同年龄段(<65岁与≥65岁)间差异无统计学意义(χ2=0.058, P>0.05);左、右侧髂静脉压迫的面积、狭窄率比较,差异无统计学意义(P值均>0.05);正交断面上左、右侧髂总静脉最大压迫部位短径分别为(6.0±2.6)、(8.3±2.8)mm,压迫范围分别为(11.2±2.1)、(10.0±2.4)mm,同侧髂总静脉与下腔静脉延长线的夹角分别为38.8°(20.2°)、17.7°(9.2°),差异均有统计学意义(P值均<0.01)。(2)在<65岁和≥65岁年龄段者的女性的左、右侧髂总静脉受压面积均小于男性,差异均有统计学意义(P值均<0.05),而狭窄率差异均无统计学意义(P值均>0.05)。(3)左、右侧髂总静脉狭窄程度≥25%和≥50%时,男女性别构成差异均无统计学意义(P>0.05)。(4)髂静脉压迫分型:Ⅰ型,左髂总静脉单一压迫占20.5%(41/200);Ⅱ型,左髂总静脉双重压迫,占36.5%(73/200);Ⅲ型,左右髂总静脉双侧压迫,占23.5%(47/200)、Ⅳ型,其他压迫类型,占19.5%(39/200)。各型间年龄、性别、狭窄率构成比较,差异均无统计学意义(P值均>0.05),压迫点个数比较差异有统计学意义(P<0.01)。
无下肢症状的髂静脉受压人群MSCT多平面重建显示髂静脉受压部位不固定,左侧髂总静脉受压发生率最高,其次是右侧髂总静脉受压,可将髂静脉受压情况分为四种类型(Ⅰ~Ⅳ型),其中以Ⅱ型左髂总静脉双重压迫最为常见。
版权归中华医学会所有。
未经授权,不得转载、摘编本刊文章,不得使用本刊的版式设计。
除非特别声明,本刊刊出的所有文章不代表中华医学会和本刊编委会的观点。
髂静脉压迫是指髂静脉受到前方横跨的髂动脉和后方腰骶椎的共同压迫,进而引起下肢静脉回流障碍的征象;若压迫程度较重并存在其他危险因素(外伤、手术、长期制动等)时,会继发一系列临床症状和体征,可发展为髂静脉压迫综合征(iliac vein compression syndrome, IVCS)[1,2]。现有的文献报道多关注有症状的髂静脉压迫患者,其髂静脉受压特征及程度与症状、治疗方法选择及预后之间的关系,但目前关于髂静脉受压程度阈值和腔内治疗指征仍未达成共识[3,4,5,6,7],关于髂静脉压迫分型的研究也相对较少。为此,本研究中,通过MSCT的MPR技术来观察无下肢症状人群的髂静脉受压情况,探讨压迫定量特征、定性特征及受压分型,以期为临床早期诊断IVCS及制定个体化治疗方案提供帮助。
纳入标准:(1)全腹部或下腹部MSCT增强扫描发现存在髂静脉受压变形;(2)无下肢疾病症状(水肿、胀痛、下肢沉重感、皮肤色素沉着等);(3)年龄≥18岁。排除标准:(1)图像质量不佳或采集不全;(2)CT扫描提示有髂静脉充盈缺损或周围存在侧支循环征象;(3)存在外因压迫或髂静脉侵犯,如腹部肿瘤、动脉瘤、血肿等;(4)存在外周血管疾病病史。
采用回顾性横断面研究方法。纳入2018年6—10月浙江中医药大学附属第一医院存在明显髂静脉压迫变形的受检者200例,其中男92例、女108例,年龄18~92(60.2±12.5)岁。本研究符合《赫尔辛基宣言》要求。
应用日本东芝Aquilion One多层螺旋CT扫描仪。受检者仰卧位,扫描方向从头到脚,以隔顶至盆底为扫描范围。扫描参数:管电压120 kV,自动管电流100~250 mA,准直0.5 mm×80,螺距因子PF 0.813/HP 65.0,机架旋转速度0.35 r/s,矩阵512×512,常规层厚5.0 mm、层间距5.0 mm,薄层重建层厚1.0 mm、层间距0.8 mm,重建算法为软组织算法。增强扫描:采用双筒高压注射器经肘静脉注射非离子型对比剂优维显(含碘320 mg/mL),按照体质量1.0 mL/kg注射(50~60 mL),注射速率3.0 mL/s。采用自动跟踪触发技术,在对比剂注射25 s后开始扫描,包括动脉期(延迟25~35 s)和静脉期(延迟50~60 s)双期扫描。图像重建:扫描所得动、静脉期薄层原始数据传送至GE AW 2.0工作站(GE HealthCare,美国),采用MPR技术对图像进行处理、分析和测量。
所有数据信息采集均在工作站上进行,应用MPR方法重建正交断面,即在髂动脉跨越处垂直于髂静脉长径的断面,用于观察和测量左、右侧髂静脉压迫部位及定量指标。
联合观察正交断面和沿髂静脉长径重建的矢状面以判断髂静脉是否受压迫,要求显示髂静脉前方的髂动脉和后方腰骶椎。压迫点个数指正交断面上髂静脉受压变形点的个数。压迫包含左、右侧髂静脉所有受压迫部位。
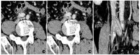
于正交断面髂静脉最大压迫部位处测量:短径指髂静脉受压最窄处管腔前后径;面积指髂静脉受压最窄处管腔面积;近远端髂静脉面积指受压髂静脉上下1 cm处未受压髂静脉的管腔面积(图1A);压迫范围指于垂直于髂动脉长径断面测量髂动脉压迫髂静脉最大压迫部位的短径(图1B)。


在平行于下腔静脉长径所建冠状面上测量夹角(α),要求显示下腔静脉和两侧髂总静脉及其汇合处(图1C)。
所有图像由2名经验丰富的放射科医师独立进行分析和测量,意见分歧由双方协商一致,测量结果取平均值。
Ⅰ型,左髂总静脉单一压迫;Ⅱ型,左髂总静脉双重压迫;Ⅲ型,左右髂总静脉双侧压迫;Ⅳ型,其他压迫类型。
(1)髂静脉压迫的部位及定量特征比较。包括年龄、性别,压迫点个数,最大压迫部位,最大压迫部位的短径、面积及狭窄率,压迫范围,髂总静脉与下腔静脉延长线之间的夹角。


(2)左、右侧髂静脉压迫的面积、狭窄率的年龄(<65岁和≥65岁)、性别差异。
(3)分别以左、右侧髂总静脉狭窄率≥25%和≥50%为界限进行性别的比较。
(4)髂静脉压迫分型的基本特征及各型之间定量特征比较。
应用SPSS 25.0软件进行数据的统计学分析。计量资料服从正态分布的用
±s表示,偏态分布的用M(QR)。计量资料之间比较,若为正态性分布则采用独立样本t检验,若为非正态性分布则采用秩和检验。分类资料之间比较则采用χ2检验。采用组内相关系数(intraclass correlation coefficient,ICC)检测2名医师测量结果的一致性:>0.75为一致性优,0.40~0.75为一致性良好,<0.40为一致性差。以P<0.05为差异有统计学意义。
2名医师对图像分析和数据测量的一致性较好,ICC值≥0.80。
200例受检者双侧髂静脉影像资料显示,最大压迫部位:左髂总静脉90.0%(180/200)、右髂总静脉28.0%(56/200)、下腔静脉分叉处5.0%(10/200)、左髂外静脉3.5%(7/200)、左髂总静脉分叉处1.5%(3/200)、右髂外静脉0.5%(1/200)。左髂总静脉受压发生率较右髂总静脉高,差异有统计学意义(χ2=158.909,P<0.01)。13例因最大压迫部位位于下腔静脉分叉处和左髂总静脉分叉处而未测量其定量特征,左、右侧髂外静脉因例数较少未进行统计学分析。
发生左、右侧髂静脉压迫者中:≥65岁者分别占33.9%(61/180)和32.1%(18/56),<65岁者分别占66.1%(119/180)和67.9%(38/56),差异无统计学意义(χ2=0.058,P>0.05);髂静脉的最大压迫部位短径、压迫范围和髂总静脉与下腔静脉延长线之间的夹角比较,差异均有统计学意义(P值均<0.01);压迫面积和狭窄率比较,差异无统计学意义(P>0.05)。见表1。

200例受检者多层螺旋CT多平面重建髂静脉最大压迫部位的定量特征比较
200例受检者多层螺旋CT多平面重建髂静脉最大压迫部位的定量特征比较
| 压迫部位 | 例数 | 男/女(例) | 年龄(岁, ±s) | 短径(mm, ±s) | 面积(mm2, ±s) | 狭窄率[%,M(QR)] | 压迫范围(mm, ±s) | 同侧髂总静脉与下腔静脉延长线夹角[°,M(QR)] |
|---|---|---|---|---|---|---|---|---|
| 左髂总静脉 | 180 | 81/99 | 60.2±12.4 | 6.0±2.6 | 111.2±47.7 | 22.4(28.3) | 11.2±2.1 | 38.8(20.2) |
| 右髂总静脉 | 56 | 30/26 | 61.7±10.7 | 8.3±2.8 | 119.0±44.6 | 22.1(20.4) | 10.0±2.4 | 17.7(9.2) |
| 统计值 | χ2=1.260 | t=0.812 | t=5.500 | t=1.081 | Z=0.509 | t=3.451 | Z=9.451 | |
| P值 | >0.05 | >0.05 | <0.01 | >0.05 | >0.05 | <0.01 | <0.01 |
女性的左、右髂总静脉压迫面积均较男性小,差异有统计学意义(P<0.05)。不同性别的左、右侧髂总静脉狭窄率,以及不同年龄(≥65岁和<65岁)左、右侧髂总静脉压迫面积、狭窄率比较,差异均无统计学意义(P值均>0.05)。表2、表3。

180例受检者多层螺旋CT多平面重建左髂总静脉压迫的面积、狭窄率在不同性别、年龄之间比较
180例受检者多层螺旋CT多平面重建左髂总静脉压迫的面积、狭窄率在不同性别、年龄之间比较
| 性别 | 面积(mm2) | 狭窄率(%) | ||||||||||
|---|---|---|---|---|---|---|---|---|---|---|---|---|
| <65岁 | ≥65岁 | t值 | P值 | <65岁 | ≥65岁 | Z值 | P值 | |||||
| 例数 | ±s | 例数 | ±s | 例数 | M(QR) | 例数 | M(QR) | |||||
| 男性 | 56 | 126.4±47.1 | 25 | 131.8±56.6 | 0.451 | >0.05 | 56 | 22.4(23.3) | 25 | 20.3(24.0) | 0.859 | >0.05 |
| 女性 | 63 | 98.0±42.5 | 36 | 96.5±39.2 | 0.169 | >0.05 | 63 | 25.7(29.1) | 36 | 13.2(33.5) | 1.651 | >0.05 |
| 统计值 | t=3.454 | t=2.881 | Z=0.059 | Z=0.792 | ||||||||
| P值 | <0.01 | <0.01 | >0.05 | >0.05 | ||||||||

56例受检者多层螺旋CT多平面重建右髂总静脉压迫的面积、狭窄率在不同性别、年龄之间比较
56例受检者多层螺旋CT多平面重建右髂总静脉压迫的面积、狭窄率在不同性别、年龄之间比较
| 性别 | 面积(mm2) | 狭窄率(%) | ||||||||||
|---|---|---|---|---|---|---|---|---|---|---|---|---|
| <65岁 | ≥65岁 | t值 | P值 | <65岁 | ≥65岁 | Z值 | P值 | |||||
| 例数 | ±s | 例数 | ±s | 例数 | M(QR) | 例数 | M(QR) | |||||
| 男性 | 21 | 133.9±46.4 | 9 | 138.2±54.1 | 0.225 | >0.05 | 21 | 21.9(14.6) | 9 | 20.3(15.6) | 0.339 | >0.05 |
| 女性 | 17 | 104.8±33.3 | 9 | 91.9±29.9 | 0.972 | >0.05 | 17 | 20.9(29.8) | 9 | 32.9(21.1) | 1.806 | >0.05 |
| 统计值 | t=2.169 | t=2.249 | Z=0.250 | Z=1.898 | ||||||||
| P值 | <0.05 | <0.05 | >0.05 | >0.05 | ||||||||
左、右侧髂总静脉狭窄率≥25%和≥50%时,男女性别构成差异均无统计学意义(P值均>0.05),见表4。

左、右侧髂总静脉不同狭窄程度时性别构成比较(例)
左、右侧髂总静脉不同狭窄程度时性别构成比较(例)
| 组别 | 狭窄率≥25% | 狭窄率≥50% | ||
|---|---|---|---|---|
| 男 | 女 | 男 | 女 | |
| 左髂总静脉 | 35 | 45 | 5 | 11 |
| 右髂总静脉 | 8 | 14 | 1 | 2 |
| χ2值 | 0.382 | |||
| P值 | >0.05 | 1.000a | ||
注:a为Fisher确切概率法
200例中各分型占比:Ⅰ型20.5%(41/200)、Ⅱ型36.5%(73/200)、Ⅲ型23.5%(47/200)、Ⅳ型19.5%(39/200)。见图2,图3,图4。各分型中占比最高的压迫类别:右髂总动脉压迫左髂总静脉占78.0%(32/41);左、右髂总动脉同时压迫左髂总静脉占72.6%(53/73);左、右髂总动脉同时压迫左髂总静脉伴右髂总动脉压迫右髂总静脉占27.7%(13/47);右髂总动脉压迫左髂总静脉伴左髂总动脉压迫左髂外静脉占30.8%(12/39)。Ⅰ~Ⅳ型髂静脉压迫者不同年龄段、性别、不同狭窄率间比较差异均无统计学意义(χ2值分别是1.396、0.716、5.907,P值均>0.05),压迫点个数比较差异有统计学意义(χ2=223.438,P<0.01),见表5。

200例受检者Ⅰ~Ⅵ型髂静脉压迫的临床基本特征的比较[例(%)]
200例受检者Ⅰ~Ⅵ型髂静脉压迫的临床基本特征的比较[例(%)]
| 基本特征 | Ⅰ型 | Ⅱ型 | Ⅲ型 | Ⅵ型 | |
|---|---|---|---|---|---|
| 例数 | 41 | 73 | 47 | 39 | |
| 年龄 | |||||
| <65岁 | 25(61.0) | 47(64.4) | 34(72.3) | 26(66.7) | |
| ≥65岁 | 16(39.0) | 26(35.6) | 13(27.7) | 13(33.3) | |
| 性别 | |||||
| 男 | 19(46.3) | 32(43.8) | 24(51.1) | 17(43.6) | |
| 女 | 22(53.7) | 41(56.2) | 23(48.9) | 22(56.4) | |
| 狭窄率 | |||||
| <25% | 21(51.2) | 40(54.8) | 55(60.4) | 26(66.7) | |
| 25%~50% | 14(34.1) | 27(37.0) | 32(35.2) | 10(25.6) | |
| >50% | 6(14.6) | 6( 8.2) | 4( 4.4) | 3( 7.7) | |
| 压迫点(个) | |||||
| 1 | 36(87.8) | 0 | 0 | 10(25.6) | |
| 2 | 5(12.2) | 73(100.0) | 11(23.4) | 18(46.2) | |
| 3 | 0 | 0 | 34(72.3) | 11(28.2) | |
| 4 | 0 | 0 | 2( 4.3) | 0 | |
注:不同年龄段、性别、不同狭窄率间比较差异无统计学意义(P>0.05);不同压迫点比较差异有统计学意义(P<0.01)


注:上排为容积再现(VR)图像;下排为对应上图压迫部位的CT增强扫描动脉期横断面图像;红色为动脉,蓝色为静脉,圆圈为压迫部位;1为腹主动脉;2为右髂总动脉;3为左髂总动脉;4为左髂内动脉;5为左髂总静脉;6为右髂总静脉
髂静脉受到前方髂动脉和后方腰骶椎共同压迫引起腔内粘连带样物质形成时,会引起下肢静脉回流障碍,而产生一系列临床症状和体征,即发展为IVCS,其临床病程分为无症状、腔内刺状物形成和深静脉血栓形成三个阶段[8]。本研究利用MSCT的MPR技术具有多方位重建图像的优点,研究无下肢症状人群的髂静脉受压情况,与尸体解剖研究相比,可以更为立体地呈现充盈的髂静脉、髂动脉和椎体之间的解剖关系[9,10],利于全面评估髂静脉受压迫的位置、类型及狭窄程度,进而为髂静脉压迫进行整体分型,为临床对IVCS的个体化诊疗提供帮助。
髂静脉狭窄程度是临床上用来诊断和评估IVCS的主要指标。国内外相关研究结果表明,髂静脉压迫IVCS的病理生理演变与髂静脉狭窄程度有一定相关性,髂静脉受压迫的程度越大,更容易出现腔内粘连和下肢深静脉血栓形成,但轻度狭窄的血管腔内也可发现纤维粘连成分[3,5,11,12]。与髂静脉正常解剖前后径最小值(即髂总静脉16 mm、髂外静脉14 mm、股总静脉12 mm)比较,存在髂静脉压迫的无下肢症状人群在影像学上均表现为管腔前后径变小的扁圆形,这表明髂静脉压迫属于一种正常的解剖变异。髂静脉因其管壁较薄,受到前方髂动脉压迫时管腔易受压变形,而血液回流可暂不受影响。本研究结果显示,在无下肢症状人群中,髂总静脉狭窄率在不同性别之间无明显差异,这可能与本院以中医治疗为特色,就诊者大多为中老年人,导致纳入的研究对象年龄均偏大有关。
本研究发现,无下肢症状人群的髂静脉受压迫部位多样,大多发生于左髂总静脉,其次为右髂总静脉,也可发生于髂内、外静脉等,且近端髂总静脉较远端髂外静脉更易受到前方髂动脉的压迫,这与其他学者对IVCS患者典型压迫部位和罕见压迫部位的报道结果相符[13,14,15,16,17,18]。以往认为,IVCS典型压迫类型为左髂总静脉受到右髂总动脉压迫;而本研究在观察无下肢症状人群的压迫特征后,发现最常见的髂静脉压迫类型为左髂总静脉同时受到右髂总动脉和左髂总动脉双重压迫,其次为左髂总静脉受到右髂总动脉单一压迫,以及左髂总静脉和左髂外静脉均受到压迫,如右髂总动脉压迫左髂总静脉的同时,左髂总动脉压迫左髂外静脉等。因为个体之间存在解剖差异,髂静脉压迫部位和压迫类别出现多样性,分析其具体原因可能为:左髂总动脉走行迂曲形成不同角度[9,19]、静脉汇合处和动脉分叉处的高度差异[15]、腹主动脉和下腔静脉发生解剖异位[16]、髂总静脉汇入下腔静脉的角度差异[20]、髂动脉局限性压迫或连续性长节段压迫后方髂静脉[18,21]等。
根据分析髂静脉的压迫特征,笔者将无下肢症状人群的髂静脉受压类型分为Ⅰ~Ⅳ型:本研究结果显示,以Ⅱ型左髂总静脉双重压迫占比(36.5%)最高。本次分型可为临床对髂静脉受压征象提供更整体、直观的认识,以期为精确诊断和个体化治疗IVCS的进一步研究提供理论依据。腔内治疗是目前IVCS治疗的首选治疗方法,较传统手术治疗具有创伤小、并发症少、远期通畅率高等优点[22,23,24],但腔内支架置入的指征仍未达成统一。因此,术前准确评估髂静脉压迫部位、狭窄程度及压迫范围,对减少术后并发症、保持通畅率尤为重要。
本研究的样本量较少,据此所建立的髂静脉压迫分型的代表性具有一定局限性;其次,本研究是基于无下肢症状人群MSCT的MPR影像分析髂静脉受压情况,可能与采用血管内超声、CT静脉造影或DSA等研究有一定差异。后续研究会通过增加扩大不同年龄的样本量、随访该批无下肢症状人群或设置有下肢症状的IVCS患者作为对照组以验证该压迫分型对于IVCS患者诊断和治疗的临床意义。
综上所述,本研究通过MSCT的多平面重建方法观察无下肢症状人群的髂静脉受压特征,发现髂静脉受压部位不固定,左侧髂总静脉受压发生率最高,其次是右侧髂总静脉受压,并据此将髂静脉受压情况分为四种类型(Ⅰ~Ⅳ型),其中以Ⅱ型左髂总静脉双重压迫最为常见,为临床IVCS患者的早期诊断和治疗提供理论参考依据。
所有作者均声明不存在利益冲突

±s)
±s)
±s)
±s)
±s
±s
±s
±s



















