
版权归中华医学会所有。
未经授权,不得转载、摘编本刊文章,不得使用本刊的版式设计。
除非特别声明,本刊刊出的所有文章不代表中华医学会和本刊编委会的观点。
细针穿刺抽吸活检术(fine-needle aspiration,FNA)是甲状腺结节在治疗前获取病理诊断的重要手段,穿刺取材的质量和数量直接影响病理诊断结果的敏感性和准确性。当前,高频超声对于甲状腺结节不仅是首选检查方法与初诊手段,更是引导FNA实现微创化病理诊断的可靠技术。甲状腺结节组织结构特征(以超声影像特征加以展现)、穿刺活检器具性能(包括穿刺针具和引导穿刺的超声影像设备)、实施穿刺活检技能水平(包括穿刺操作人员和细胞涂片操作人员)直接影响着甲状腺结节穿刺活检的成败与取材的满意度,是实施高质量甲状腺结节FNA的关键,也是本指南编写组重点关注所在。编写本指南的初衷在于强调重视临床实践经验和操作技能,提倡多维度综合思考,聚焦超声影像特征,选用合适穿刺器具,熟练运用穿刺操作技术,恰当处理穿刺标本。本指南内容仅作为学术界经验交流和借鉴,不作为法律条款,并将根据具体情况适时更新。
本指南各项条款内容均有相应的文献支撑依据,或根据编写组专家们成熟的临床实践经验。依据惯例对不同等级的证据赋予相应的推荐强度(表1),以充分突出循证医学的科学理念。

证据等级与推荐强度
证据等级与推荐强度
| 证据等级 | 推荐强度 |
|---|---|
| A | 强烈推荐:循证证据肯定,能够改善临床结局,利大于弊 |
| B | 推荐:循证证据良好,能够改善临床结局,利大于弊 |
| C | 推荐:基于专家意见 |
| D | 反对推荐:基于专家意见 |
| E | 反对推荐:循证证据良好,不能改善临床结局或弊大于利 |
| F | 强烈反对推荐:循证证据肯定,不能改善临床结局或弊大于利 |
| I | 不推荐或者不作为常规推荐:推荐或反对的循证证据不足、缺乏或结果矛盾,利弊无法评估 |
确定甲状腺结节FNA的适应证和禁忌证应重点考虑三个方面,即穿刺的必要性、可行性以及风险性。当结节具备穿刺必要性和可行性,且经评估确认风险性不高或者风险可以有效防范与化解,FNA的适应证即可成立。反之,虽有穿刺的必要性,但不具备可行性,或者风险性极大且缺乏有效的防范或化解措施,即可认为FNA禁忌证成立。
2.1.1 临床诊治工作中根据国际上相关实践指南认为有必要快速、微创地获取甲状腺结节病理学诊断证据者,无论是在治疗前、治疗中或在治疗后的随访过程中。
2.1.2 超声影像高度疑似甲状腺乳头状癌(papillary thyroid carcinoma,PTC)、髓样癌(medullary thyroid carcinoma,MTC)或未分化癌(anaplastic thyroid cancer,ATC)等恶性肿瘤,需在外科切除手术前或超声引导下经皮消融治疗前明确病理性质者[3]。
2.1.3 甲状腺结节检查初期无明显的超声和(或)临床恶性证据,但超声随访观察显示结节的实性区域动态增大、血流信号动态增多、出现砂砾样钙化或断续的环状钙化灶等征象者。
2.1.4 超声影像诊断虽倾向于良性甲状腺结节,但患方要求获得病理诊断结论者。
2.1.5 有必要经FNA行进一步甲状腺肿瘤基因检测者。
2.1.6 超声影像高度疑诊甲状腺相关的颈部恶性淋巴结或者不能排除恶性可能者。
专家意见:条款内容充分尊重了临床医师、超声医师、患者本人的主客观判断,重视穿刺操作者的经验与技能自评。对最大径小于5 mm,特别是位置特殊,穿刺困难的结节,FNA可由或在细针穿刺经验丰富的医师指导下实施,或请求院外专家会诊支持。
推荐强度:B.推荐。循证证据良好,能够改善临床结局,利大于弊。
2.2.1 患者存在严重出血倾向,如合并未治愈的凝血功能障碍性疾病,或停止抗凝治疗未达相关药品说明书规定时长者(即使检验报告显示凝血功能指标正常)。
2.2.2 患者存在尚未纠正的高凝血倾向,有发生颈内静脉血栓潜在风险者。
2.2.3 患者存在不稳定型颈动脉斑块,斑块有脱落的风险者。需防范斑块脱落与FNA操作时机上存在巧合关联的潜在医疗风险。
2.2.4 患者因意识障碍或颈部伸展障碍,或发生持续剧烈咳嗽,难以有效配合穿刺操作者。
2.2.5 甲状腺结节的超声影像特征高度趋于滤泡性结节,且经治医院病理科医师对滤泡性结节细胞学标本缺乏诊断经验者。
2.2.6 对最大径小于5 mm的结节,穿刺操作者不能确信可准确命中目标者。
2.2.7 超声影像不能清晰显示拟穿刺的结节。
专家意见:条款内容充分考虑到来自患者自身的风险性、穿刺者操作方法或操作技能的风险性、病理医师诊断能力的风险性。
推荐强度:F.强烈反对推荐。循证证据肯定,不能改善临床结局或弊大于利。
重点关注患者是否有利多卡因过敏史、缺血性心脏病史、高凝血病史(下肢静脉血栓、脑梗死等)、出血性疾病史,是否长期使用阿司匹林、波利维、华法林、复方丹参滴丸等抗凝血或活血化瘀药物[4]。纠正凝血功能障碍或停用抗凝药物至少7天以上方可实施穿刺。
常规选用彩色多普勒超声诊断仪和高分辨率线阵探头进行扫查,对于引导微小结节穿刺宜选用较高频率(如10 MHz以上)探头。在结节较大和(或)突入胸骨后较深位置等特殊情况时,可选用小凸阵探头引导穿刺。术前由穿刺操作者对甲状腺左、右叶及峡部分别行自上而下全面扫查,确定拟穿刺目标结节是否真正来源于甲状腺[5,6,7,8]或是否来自异位的甲状腺[9,10];确定甲状腺结节尤其是拟穿刺目标结节的数量、位置、血供、重要毗邻结构,并存储动态和(或)静态图像。同时,仔细行双侧颈动脉检查,明确是否有斑块形成,评估斑块的性质及脱落风险。
根据结节的超声影像特征,准备好不同长短(针长5~10 cm)和不同粗细(外径22G~25G)规格的穿刺活检针(图1),以及负压抽吸辅助用品(图2)等。25G、23G、22G的穿刺针分别与国内5号注射针、6号注射针和7号注射针外径相近。有经验表明,对于富血供结节,穿刺针越细,标本中血液成分与结节细胞的构成比越低,即血液成分少,对涂片的光镜下判读干扰小。反之,穿刺针越粗,标本中血液成分与结节细胞的构成比越高,即血液成分多,对涂片的判读干扰大[11,12,13]。术者可根据拟穿刺结节的血供状态及所具条件灵活配置选用穿刺针具。遇多个结节需要穿刺的情形,需一个结节对应使用一根穿刺针,不可用一根针穿刺多个结节,以免不同结节间标本混杂,影响细胞学诊断准确性。




根据经治医院病理医师的要求准备好载玻片(交由穿刺现场技术人员直接涂片)或液基细胞保存液容器(交由病理医师处置标本与涂片)。
术者充分告知患者或其家属穿刺活检的价值、风险、预期结果、术中和术后的注意事项。如需将穿刺标本送外院病理科检查亦须明确告知。如需同时行超声造影检查,则须告知造影的价值和风险。各项内容均须取得患者的完全自愿与同意,医患双方签署规范、有效的知情同意书。
专家意见:条款内容体现了穿刺操作者务须亲自参与穿刺前准备,包括规范化超声扫查、存图,熟知患者情况,尊重患者知情同意等核心要求。
推荐强度:A,强烈推荐。循证证据肯定,能够改善预后,利大于弊。
常规取仰卧位穿刺,患者颈部轻度过伸,充分暴露颈部及乳头连线以上的胸部皮肤。对合并心肺疾病者应行心电、血压、血氧监测,并予吸氧(图3)。


可取两种站位方式[14]:①"头侧朝向位"即穿刺操作者站位于患者颈部右侧或左侧,面向患者头侧(图4)。该站位方式与常规甲状腺超声检查所取站位方式相同。其优点是穿刺声像图与常规检查声像图方位显示保持一致,有利于穿刺操作者准确判别甲状腺结节的上、下和左、右方位,不易发生穿刺结节识别错误;缺点是穿刺操作者站位偏于患者颈部的右侧或左侧,距离甲状腺相对较远,容易造成穿刺者上臂肌肉和腰部肌肉疲劳。②"足侧朝向位"即穿刺操作者站位于患者头端,面向患者足侧(图5)。此站位方式与常规甲状腺超声检查所取站位方式相反。其优点是穿刺操作者站位于患者头端,因站位居中,故穿刺操作距离甲状腺较近,易于术者便捷、有效掌控进针方向和深度,且上臂肌肉和腰部肌肉不易疲劳。缺点是穿刺时声像图与常规检查声像图方位显示相反,易造成穿刺操作者对甲状腺结节的方位误判,发生穿刺结节识别错误。但是,通过加强针对性适应训练,可有效提升此站位的声像图方位识别能力。




专家意见:首选"足侧朝向位"穿刺,且操作者宜取坐位穿刺,以保持身体重心稳定,平稳穿刺操作,减轻疲劳,但须注意防范图像方位识别错误。
推荐强度:C.推荐。基于专家意见。
⑴熏蒸消毒法:在封闭的箱体中,上层放置超声探头,下层放置容器用于盛放福尔马林溶液和高锰酸钾粉末,二者混合后迅即产生雾状气体充斥于箱体中,消毒探头。因这种气体对呼吸道、眼结膜具有较强刺激性且有致癌风险,现本法已不再提倡使用。
⑵浸泡消毒法:将探头浸泡于消毒液(如戊二醛溶液)中消毒,因本法消毒耗时较长,效率较低,不能满足短时间内连续实施多名患者穿刺的需要,现已少用。
⑶灭菌套隔离法:使用经消毒灭菌处理的菲薄塑料灭菌套,将探头和电缆线放入灭菌套内进行包裹隔离,再向灭菌套内注入少量生理盐水,驱除灭菌套与探头晶片匹配层间气体,封闭探头端灭菌套即可(图6)。本法简便、实用,为目前常用方法之一。另一种灭菌套隔离法是使用灭菌手套包裹探头,更为方便,但是因手套尺寸仅能满足包裹探头,未灭菌的探头缆线仍处于暴露状态(图7),可造成术野污染,不符合严格的无菌操作要求。




穿刺者佩戴无菌口罩、帽子、手套后,对穿刺操作区域皮肤(术野)进行消毒。推荐参照甲状腺外科手术的消毒要求,最小消毒范围应为穿刺点旁开7~10 cm[15](图8A,图8B),以确保穿刺者在有效的消毒术野内进行无菌操作。如此推荐术野消毒范围,缘于以下几种客观情形:①用于引导甲状腺结节穿刺的高频超声探头,其宽度通常不小于6 cm,皮肤穿刺进针点通常需旁开探头约1 cm(端侧式穿刺入路),因此最小消毒范围直径应保持10 cm为宜(图8C);②双侧甲状腺结节需同时实施FNA和(或)甲状腺结节与颈部淋巴结需同时实施FNA者,消毒范围应充分覆盖多个皮肤穿刺进针点,尽量避免术中因临时扩充消毒而造成的诸多不利;③部分甲状腺结节患者选择在热消融治疗术中进行FNA,消融术的术野消毒范围需参照甲状腺外科手术执行。消毒完毕后铺无菌手术巾单(图9)。




专家意见:甲状腺结节FNA过程须严格遵守消毒、隔离和无菌操作要求。
推荐强度:A.强烈推荐。循证证据肯定,能够改善预后,利大于弊。
使用1%利多卡因溶液5 ml,行皮肤穿刺点和皮下进针路径局部麻醉,以减少穿刺引起的疼痛与不适。
专家意见:除患者对常用局部麻醉剂过敏或者患者拒绝使用麻醉剂外,均应实施局部麻醉。在超声引导下注射局部麻醉剂,可提高穿刺路径及甲状腺前包膜处的镇痛效果,亦可避免麻醉剂被注射入血管腔内。
推荐强度:C.推荐。基于专家意见。
全程超声监护引导是实施甲状腺结节FNA取材安全、成功的基本要求。根据穿刺过程中是否使用探头导针器(needle-guide),超声引导分为有导针器(needle-guide)和无导针器(free-hand)两种方法[16,17]。


本法使用导针器(即俗称穿刺架),对于初学者而言不仅有助于稳定控制穿刺针的进针方向和进针深度,而且是提高穿刺精准度的重要保障。其缺点是导针器的穿刺角度可选择范围有限,穿刺过程中不利于按需、灵活调整进针方向。


本法不使用导针器,穿刺针和探头均处于相对自由状态,穿刺中不受导针器的束缚。其优点:一是根据穿刺目标的位置及其变化,操作者可自由、精细地调整穿刺进针角度和方向;穿刺过程中可灵活进行"S"形路径变换,以规避原定穿刺入路上的严重干扰,然后重新回到原入路方向;二是当穿刺过程中,因患者突然吞咽或咳嗽导致甲状腺大幅度位移时,可有效避免穿刺所致的器官撕裂伤。但是,穿刺者需要经过一定的学习训练方能熟练掌握本法操作技巧。
专家意见:穿刺操作经验丰富者可首选无导针器法引导穿刺;初学者宜选择有导针器法引导穿刺。
推荐强度:C.推荐。基于专家意见。
所谓穿刺入路(puncture approach)或称穿刺路径,即指超声引导下穿刺针进入皮肤、皮下组织到达穿刺目标所经过的途径。不同的穿刺入路其穿刺效果和安全性差别较大。操作者应根据穿刺目标及其周围解剖结构特点,充分利用探头声束与穿刺针空间位置交互关系予以不同组合,设计安全、有效的穿刺入路。当穿刺针进入人体到达穿刺目标前和进入穿刺目标后,穿刺操作者需确保穿刺针尖始终处于超声影像清晰显示状态,并确认穿刺入路是否规避了危险区域、穿刺针是否准确命中目标、是否滑脱出目标、是否伤及目标后的重要结构等。
指穿刺进针点选择在探头一端外侧进针(图12),端侧式入路有利于穿刺全过程中清晰显示针尖、针体,穿刺操作安全性高,针尖位置显示确切,穿刺取材有效,可较好地提高操作者穿刺信心,是所有穿刺均适用的进针方式。


穿刺进针点选择在探头一侧中部的外侧进针(图13),边侧式入路有时穿刺针显示不够清晰,以下情形均不宜选用该穿刺入路:①穿刺目标较小,特别是小于5 mm者;②穿刺目标位置过浅或过深;③穿刺目标深部有重要的结构,如颈总动脉、颈内静脉、气管等。


专家意见:穿刺时全程清晰、连续地显示针尖实时位置是实现安全、准确、有效FNA的关键。"端侧式入路"优势较多,应予首选。
推荐强度:C.推荐。基于专家意见。
FNA是借助针腔内负压吸引力而完成的,标本均是在负压作用下被吸入针腔。细针刺入目标病灶拔除针芯后,细针针腔内压力低于外界大气压,处于自然负压状态,针腔产生毛细现象,提针时针腔内负压更加明显,负压将标本吸进针腔内。遇结节质地较致密、或伴有钙化时,针腔内自然负压不足以吸入足量的标本,需要在穿刺针针座连接上可造成更大负压的抽吸装置,如常用的注射器。在人工回抽注射器持续提升针腔负压过程中,提插穿刺针可吸取较多标本。因此,FNA可分为非抽吸法(自然负压吸引法)和抽吸法(人工增压吸引法)两种方式。两者获得标本的充足性、满意度和诊断效能仍存在争议[18,19,20]。
穿刺针不连接抽吸用注射器。穿刺针进入结节后,穿刺操作者来回提插穿刺针,并可配合来回捻转穿刺针,当穿刺针座处见有吸出物时即可停止操作,退出穿刺针(图14)。本法的优点是标本中血性成分相对较少,有利于细胞学病理检查。


穿刺针连接注射器。穿刺针进入结节后,将注射器保持在连续抽吸状态,穿刺操作者往复提插穿刺针至少3~5次[13],当穿刺针座处见有吸出物时即可停止操作,退出穿刺针(图15)。本法的优点是可获取足量标本,缺点是标本中易混入血性成分,直接涂片检查容易干扰细胞学病理检查。


专家意见:采取何种取材方法,需综合分析结节的血供丰富程度、质地硬度、是否合并钙化等超声影像特征,并结合穿刺者的经验与习惯。对于血供丰富的结节,建议"非抽吸法"取材。对于乏血供、质地致密较硬或伴有粗大钙化的结节,建议"抽吸法"取材。
推荐强度:B.推荐。循证证据良好,能够改善临床结局,利大于弊。
提插穿刺针时应保持足够大的针尖移动幅度,而非足够快的针尖移动速度。
在目标结节内针尖须作较大幅度来回提插移动,最理想的幅度是从目标结节的近穿刺点达其远穿刺点(图16),以获取穿刺针道上最大量的标本。


在目标结节内针尖近似原地快速、小幅度"颤动式"提插是不合适、不可取的操作方式(图17)。取材结束时,穿刺针退出结节时的速度亦不宜过快。


提插穿刺针时,声像图针尖显示务必保持清晰可见,始终坚持"不见针尖不动针",尤其是要坚持"不见针尖不进针"的原则。
专家意见:穿刺针尖移动幅度贯穿整个结节可最大程度提高单次穿刺操作标本获得量,清晰显示针尖实时位置是确定有效穿刺和确保安全穿刺的前提。
推荐强度:A,强烈推荐。循证证据肯定,能够改善临床结局,利大于弊。
准确取材、优质取材和足量取材直接关系到FNA病理诊断的效能与真实性。标本的质量和数量,除了受到负压吸引力影响外,还受到结节内部不同区域组织特性差异的影响。不同区域肿瘤细胞的分布密集程度、坏死程度、含胶质多寡程度均可能存在差异。因此,穿刺取材应尽可能包罗目标病灶的最广泛区域,以避免取材质量和数量的局限性而影响诊断的准确性。增加穿刺次数能有效减少穿刺标本不足发生率。一般认为穿刺次数应不少于3次,因为3次穿刺能获得足够标本,且诊断符合率较高。必要时一个结节的穿刺针数可多达11次[21,22,23]。以下有两种方法可增加穿刺标本量。
实践中,对于较大结节我们提倡采用基于"一针技术"的"9+X针道"穿刺模式,以最大化、全面化获取目标结节的穿刺标本。所谓"一针技术"是指穿刺针进入结节后,针尖仅在结节内作多次往复提插运动,穿刺针保持位于甲状腺内,不退出到腺体包膜外。在此基础上完成"9+X针道"穿刺取材。
"9+X针道"穿刺模式是指在甲状腺纵切面声像图上,将目标结节分为上、中、下三个分区,然后在横切面上对每个分区再分为前、中、后三个小分区,使用同一根穿刺针对9个小分区相继、连续穿刺取材,故整个病灶一次进针,便可从9个针道上吸取标本。"X"指不确定针数,若目标病灶内有微小钙化、血流信号异常丰富或无信号、弹性超声应变比值较大等特殊声像表现区域,则对其额外增加穿刺取材(targeted biopsy),吸取物涂布于另一张载玻片上,此即"9+X针道"穿刺模式的概念(图18)。


"9+X针道"穿刺模式在取材部位的全面性和均衡性、取材数量的充足性、取材质量的优化性、特征声像图表现对应性方面均体现出FNA当前的规范性和严谨性。
穿刺针进入体内、退出体外,计为一次穿刺。多针次穿刺指穿刺针多次进入体内并多次退出体外,本法亦可增加标本总量。显而易见,多针次穿刺将增加穿刺路径、甲状腺包膜、甲状腺实质的机械性损伤,亦容易增加出血并发症。
专家意见:穿刺时必须当场确认标本量充足、达标,以免标本不足造成的二次穿刺手术。"9+X针道"穿刺模式既能获取较为全面、充足的标本,又可减少多针次穿刺造成的损伤,对于较大结节可首选应用。
推荐强度:A,强烈推荐。循证证据肯定,能够改善临床结局,利大于弊。
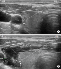
如图19所示,对于气管近旁尤其是2~5点钟位(以甲状腺横切面为参照表盘,于对侧腺体则应是7~10点钟位)的目标结节,穿刺操作宜选用由内向外穿刺法,同时操作者可使用液体隔离技术使目标病灶向外侧移位,增大端侧式穿刺进针的角度,以规避气管壁对穿刺针尖的阻碍,并改善穿刺针尖的显示清晰度。如图20所示,对于位于7~10点位(对侧腺体应是2~5点位)邻近颈总动脉的病灶,也宜选用由"内向外"穿刺法。同样,操作者也可采用液体隔离方法使得颈总动脉向外侧移位,增大目标病灶与颈总动脉之间的距离,避免误伤颈总动脉。




专家意见:液体隔离法技术可促使甲状腺结节或甲状腺周围毗邻结构移位,优化穿刺路径,营造安全操作空间。
推荐强度:A,强烈推荐。循证证据肯定,能够改善临床结局,利大于弊。
使用清洁、干燥的注射器抽吸空气后与退出体外的穿刺针连接,将针腔内穿刺标本快速喷涂至清洁载玻片上(图21)。注射器中不可含有水分,以免稀释或有损标本。载玻片需事先标记好患者识别和取材部位信息,并保持清洁、无油渍和污垢,以免穿刺标本与载玻片黏附不牢固而剥脱,或者因污垢而影响显微镜下观察。


专家意见:载玻片应标注患者和标本识别重要信息,以免发生标本混淆造成识别错误。载玻片需保持干燥、清洁,防范标本剥脱现象,以免发生诊断困难或不能诊断。
推荐强度:C,推荐。基于专家意见。
标本越新鲜越有利于细胞学评估的准确性,故穿刺取材后需立即制作涂片。
⑴推片法涂片:将穿刺标本置于载玻片的一端,取另一载玻片以与之约30°的夹角轻柔推动穿刺物(图22)。制备涂片时,操作要轻柔,防止用力过度而挤压和损伤细胞(图23)。涂片要均匀,厚薄适度,使样本在显微镜下呈现出平铺、单层、完整的细胞形态。




⑵拨散法涂片:用注射针针体将载玻片上的穿刺物轻柔地拨散开(图24),尽可能保持涂片厚度均匀。对较大的颗粒物可轻轻按压载玻片予以压散、摊平。但是,不可用针尖戳散穿刺物,以免损伤细胞。


专家意见:需尽量保持标本原有的结构完整性,避免标本处理不当使细胞受损,降低诊断质量。
推荐强度:C,推荐。基于专家意见。
将针腔内标本喷注至事先标记好患者识别和取材部位信息的液基细胞保存液容器内(图25),交由病理科医师完成后续处置和评估过程。操作者应注意观察散布于保存液容器内颗粒状标本是否丰富,如颗粒物较少则宜追加穿刺。


专家意见:TCT技术可避免红细胞的干扰,显著改善甲状腺癌细胞核特征的镜下表现。
推荐强度:C,推荐。基于专家意见。
常规方法取出针腔内标本后,针腔内壁上仍可能有穿刺物残留的细胞液或组织液成分,使用1 ml生理盐水或特定试剂予以冲洗针腔,盛放于试管内,即可制成细针穿刺物洗脱液(FNA eluent)。检测穿刺物洗脱液中的有关分子或基因,可有助于分析目标结节的起源以及判断其恶性肿瘤的类型[25]。
专家意见:制备细针穿刺物洗脱液可以物尽其用,珍惜穿刺标本,拓展诊断手段。
推荐强度:C,推荐。基于专家意见。
遇标本内血液成分较多时(图26),可以采取以下措施减轻红细胞对镜下观察标本效果的干扰。①将标本分散至数张载玻片,避免单张涂片标本过厚,削弱红细胞对其它细胞的覆盖程度。②穿刺操作时,根据具体情况在抽吸法和非抽吸法之间灵活转换应用。抽吸法穿刺获得标本含血液较多时,可以改为非抽吸法再次穿刺;非抽吸法穿刺获得标本含量较少时,可以改为抽吸法再次穿刺。③采用TCT细胞采集技术,消除红细胞的影响,提高甲状腺结节细胞的观察效果。


专家意见:对于富血供结节,标本中往往难以避免血液成分,应设法减轻红细胞对涂片显微镜下观察的干扰。
推荐等级:C,推荐。基于专家意见。
现场快速细胞学评估是一项由训练有素的细胞学技师或细胞学病理医师对穿刺标本当场立即涂片、染色和显微镜下观察分析的技术[26,27]。其价值主要体现在能及时评估所得穿刺标本的满意程度,对标本不满意者可现场指导重复穿刺,从而提高当次FNA的诊断效能,减少日后重复FNA。此外,现场涂片、染色和读片,可充分发挥标本新鲜度对诊断质量有利的优势。其缺点是因等待评估结论穿刺过程有所延长,费用也较高[28,29,30]。
专家意见:有快速细胞学评估条件的医院可开展。
推荐强度:C,推荐。基于专家意见。
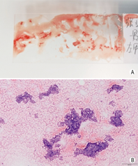
当不具备现场快速细胞学评估条件时,通过培训非细胞学医生对置于载玻片上的标本或液基保存液中的标本进行现场裸眼评估的技能,具有较高的可行性和一定的实际效果。现场观察发现标本稠厚,意味着标本中细胞数量更多、更充分,显微镜下的细胞学诊断效能更高(图27)。反之,标本稀薄则提示细胞量可能不足,影响细胞学诊断效能(图28)。标本中颗粒物丰富者,意味着镜下细胞量较多,易获得有效诊断,得到阳性结果的比例也更高(图29);颗粒物较少甚或无颗粒物者则反之。尽管现场裸眼评估不能代替镜下分析,但通过评估可合理调整穿刺针数,增强操作者穿刺成功的信心[31]。






专家意见:充分发挥病理医师或受过专门训练的医护技人员的技术能力,于穿刺现场裸眼观察并初步判断标本中颗粒物是否丰富,以指导当场是否需要继续穿刺取材。但是,不应将标本的裸眼观察结果与其病理性质作等同关联。
推荐强度:C,推荐。基于专家意见。
穿刺后应向患者和家属详细说明注意事项,患者按压进针处皮肤至少10 min,避免颈部剧烈运动;门诊观察30 min,并再次超声检查确认穿刺部位无出血方可让患者离院。患者离院后,如出现颈部肿胀、持续疼痛等体征应及时就医检查处理。
专家意见:细针穿刺活检的主要并发症是局部出血,压迫止血法简单易行,效果确切。少数患者可存在迟发性活动性出血风险,术者应予高度重视。
推荐强度:C,推荐。基于专家意见。
出血是FNA术中最常见的并发症,发生率约8.6%[32]。血肿可出现于甲状腺周围间隙、甲状腺实质内、或穿刺路径上的肌肉内,通常症状轻微,吸收较快。在患者无明显呼吸困难的情况下,局部压迫止血20 min,可不作其他处理。若颈动脉管壁被刺伤,发生管壁内血肿时需局部压迫止血1~2 h,以防出血沿动脉壁大范围扩散。极少情况下,当出现大血肿或假性动脉瘤时[33,34],需留院观察,作进一步处置。FNA损伤结节滋养动脉尚可导致甲状腺结节内假性动脉瘤,须要外科干预[35]。
FNA导致皮肤穿刺点或穿刺路径感染者较为罕见,轻微感染者无需处理或仅作口服抗生素处理,感染较明显甚至形成脓肿时需外科处理。
FNA术后肿瘤细胞沿穿刺针道种植的发生率极低,文献报告其发生率约为1.2/106[36]。
极少数患者于穿刺时可发生"休克",其多数为"晕针"反应。此时,应立即停止操作,患者仰卧,吸氧,监测心率、血压,密切观察生命体征。必要时,应及时联系急诊科、麻醉科等相关科室紧急会诊,根据具体情况进一步处置。
FNA导致气管、食管及喉返神经等结构的损伤较罕见。
专家意见:FNA创伤微小,并发症少、症状轻,但仍应遵守无菌操作原则,保持安全意识,制定应急预案与措施,防范严重并发症。
推荐强度:C,推荐。基于专家意见。
目前,使用较广泛的甲状腺细胞学报告系统主要有意大利内分泌协会共识、英国皇家病理学家学会和甲状腺细胞病理学Bethesda报告系统(The Bethesda System for Reporting Thyroid Cytopathology,TBSRTC),其内容存在微小差异[37,38,39,40]。
推荐强度:A,强烈推荐。循证证据肯定,能够改善临床结局,利大于弊。
建议每隔6~12个月进行超声随访或重复FNA。如果超声疑似恶性结节,尤其是短期内结节的实性成分增大,建议3个月内再次行FNA[42,43,44,45]。若结节最大径<5mm或囊性部分>50%,再次穿刺的无诊断率依然较高,建议随访超声检查,根据具体情况进一步处置[46]。
推荐强度:B,推荐。循证证据肯定,能够改善临床结局,利大于弊。
一般无需进一步诊断和处理,按12~24个月的时间间隔作随访超声检查。但当结节大于4 cm时,建议行超声引导下粗针穿刺活检(core-needle biopsy,CNB)或外科诊治。对于结节实性成分增长>50%或结节出现疑似恶性超声影像特征时,建议再次FNA或加行基因检测。
推荐强度:B,推荐。循证证据良好,能够改善临床结局,利大于弊。
建议再次FNA,若多次FNA均无结果,根据结节超声影像疑似恶性的程度,提高随访检查频度。超声影像上出现明显恶性特征者可在FNA基础上行基因检测,也可经评估后实行超声引导下CNB或诊断性外科手术。
推荐强度:B,推荐。循证证据良好,能够改善临床结局,利大于弊。
一般建议积极处理。其中,可疑恶性者需结合临床危险因素、超声危险分类和基因检测结果。
推荐强度:B,推荐。循证证据良好,能够改善临床结局,利大于弊。
FNA穿刺物洗脱液可用于检测甲状腺癌特异性分子标记物。目前,研究比较成熟的分子标记物包括:RET/PTC、RAS、PAX8/PPARγ和BRAF,与甲状腺癌的发生相关[48,49,50,51,52,53,54]。其中,BRAF突变、RET/PTC重排与甲状腺乳头状癌高度相关;RAS突变、PAX8/PPARγ重排可能与甲状腺滤泡癌有关;甲状腺髓样癌可进行降钙素测定[55,56,57,58]。最近来自上海的一组病例发现,术前单纯FNA的敏感性和准确性分别为76%和79%,如联合应用术前BRAF基因检测,可分别上升至92%和91%[58]。
专家意见:分子标记物的检测能有效提高诊断的敏感性和准确性,尤其是在细胞学阴性、不能诊断或细胞学结果不典型结果中,阳性表达有助于诊断。
推荐强度:B,推荐。循证证据良好,能够改善临床结局,利大于弊。
9.1.1 相关医疗机构在其核准的执业诊疗科目中有超声诊疗登记许可,取得诊疗许可证。
9.1.2 相关科室的业务范围内应含有介入超声项目,超声引导下甲状腺结节穿刺技术管理符合上级主管部门或机构的相关管理规定要求。
9.1.3 穿刺操作者取得中华人民共和国《医师资格证书》和《医师执业证》,执业范围应为"医学影像和放射治疗专业"。穿刺操作者如系从事其它执业范围,则须参加相关培训并取得大型医用设备CDFI医师上岗合格证。
9.2.1 开展甲状腺结节细针穿刺需参加经国家级或省市级主管部门批准举办的介入超声和(或)甲状腺超声学习班培训学习,并经考核合格。
9.2.2 实施穿刺操作者需接受介入超声丰富经验、副高及以上医师,临床带教1年及以上培训学习经历,参与甲状腺结节细针穿刺50例及以上。
9.2.3 从事甲状腺穿刺辅助工作的护士应具备一定临床工作经验,接受介入超声专业培训学习,并经考核合格。
专家意见:介入超声技术属于外科手术操作范畴。为减少医疗差错与事故,保障医疗安全,开展甲状腺结节细针穿刺细胞学检查时必须严格执行准入与培训制度。
推荐强度:A.强烈推荐。循证证据肯定,能够改善临床结局,利大于弊。
执笔专家 沈理、章建全、周伟
编写组成员(按姓氏汉字拼音排序):陈磊(上海交通大学附属第六人民医院);崔峥(同济大学附属东方医院);方超(复旦大学附属中山医院徐汇医院);何峥(上海中医药大学附属曙光医院);季正标(复旦大学附属中山医院);李萍(上海交通大学医学院附属仁济医院);盛建国(上海中医药大学附属曙光医院);沈理(上海交通大学医学院附属新华医院崇明分院);孙丽萍(同济大学附属第十人民医院);施倩(上海中医药大学附属第七人民医院);王雷(上海交通大学附属胸科医院);徐彬(复旦大学附属上海市第五人民医院);徐辉雄(同济大学附属第十人民医院);詹维伟(上海交通大学医学院附属瑞金医院);章建全(海军军医大学附属长征医院、上海国际医学中心);周伟(上海交通大学医学院附属瑞金医院)
审校 沈理
文中插图由上海三月泉医院管理有限公司、江苏省苏州市立普医疗科技有限公司、上海交通大学医学院附属瑞金医院病理科制作、提供,谨致衷心感谢!
所有作者、相关学术委员会均声明不存在利益冲突





















