
探讨拇指掌指关节绞锁的发病机制,对现有治疗方法做出改良。
回顾性分析北京积水潭医院2007年3月—2014年10月收治的18例拇指掌指关节绞锁患者的临床资料,其中男17例、女1例,年龄19~41岁,右侧15例、左侧3例。手术治疗4例,根据手术中发现的解剖特征,推断发病机制;保守治疗14例,其中改良复位手法治疗3例,传统复位手法治疗11例。观察患者治疗后拇指掌指关节的主、被动活动度、疼痛、稳定性以及和关节绞锁是否复发等。
(1)4例手术治疗患者术中观察到桡侧籽骨近侧缘撞击掌骨头关节面导致出现软骨缺损,籽骨嵌于软骨缺损内致使拇指掌指关节绞锁。在近节指骨基底处部分松解拇短展肌和拇短屈肌腱止点,可以很容易地解除关节绞锁。术后随访3~6个月,所有患者拇指掌指关节未见不稳定和疼痛,未见绞锁复发。患者术前拇指掌指关节主动活动度平均为-31.8°~-19.3°,被动活动度平均为-32.5°~30°;术后关节主、被动活动度一致,平均为-3.8°~52.5°;患者对手术疗效的主观评价均满意。(2)14例保守治疗患者均复位成功,其中改良复位手法3例,传统复位手法11例。复位前拇指掌指关节活动度平均为-28.6°~-15.2°,被动活动度为-30.4°~26.5°;复位后关节主、被动活动度一致,平均活动度为-15.8°~47.5°。随访6~8周,末次随访双侧拇指掌指关节活动度一致,未见关节不稳定和疼痛,未见绞锁复发。
拇指掌指关节绞锁的发病机制为拇指过伸时桡侧籽骨向远端和桡侧移位,其近侧缘在掌骨头关节面上刻划出一沟槽状软骨缺损,在拇短展肌和拇短屈肌腱的张力作用下,籽骨嵌于软骨缺损中而导致关节发生绞锁。根据这一损伤机制,改良复位手法可被用于治疗拇指掌指关节绞锁。
版权归中华医学会所有。
未经授权,不得转载、摘编本刊文章,不得使用本刊的版式设计。
除非特别声明,本刊刊出的所有文章不代表中华医学会和本刊编委会的观点。
拇指掌指关节绞锁是一种临床比较少见的损伤,由较小的暴力导致,较大的暴力则导致关节脱位或半脱位[1]。临床表现为患者受到一个使拇指过伸的较小暴力后,拇指掌指关节绞锁于轻到中度的过伸位,主、被动屈曲受限并伴掌侧疼痛[2]。此类损伤的发生可能与掌骨头骨形态异常、扳机指嵌顿、掌板或籽骨嵌顿[3,4,5,6,7]、骨折碎片或游离体嵌顿[8,9],以及断裂的侧韧带嵌顿[10]等有关。因为目前并没有在实验室状态下成功复制此损伤,所以所有对发病机制的探讨仍然只是理论假说,争论仍较大。在临床手术治疗过程中,我们发现,桡侧籽骨近侧缘撞击掌骨头关节面致使沟槽状软骨缺损,籽骨嵌于软骨缺损内导致拇指掌指关节绞锁;部分松解拇短展肌和拇短屈肌止点使籽骨脱离软骨缺损区后,关节绞锁即得以解除。本研究探讨拇指掌指关节绞锁可能存在的一种新发现的发病机制,以指导临床对该病的治疗措施做出改良。
纳入标准:(1)诊断为急性或亚急性拇指掌指关节绞锁的患者;(2)术后随访资料完整。排除标准:(1)患有精神系统疾病,无自主能力的患者;(2)合并其他手部损伤。
回顾性分析2007年3月—2014年10月北京积水潭医院手外科治疗的18例拇指掌指关节绞锁患者的临床资料。其中男17例,女1例;年龄19~41岁;右侧15例,左侧3例。18例患者均为拇指掌指关节过伸位损伤,表现为拇指肿胀、疼痛、掌指关节屈曲受限并处于轻度过伸位、指间关节处于轻微屈曲位,掌指关节不能主动屈曲,但存在部分被动屈曲活动度(图1)。本研究符合《赫尔辛基宣言》的要求。


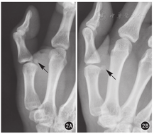
所有患者常规拍摄拇指正、侧位X线片。侧位X线片可见拇指掌指关节过伸,桡、尺侧籽骨均向远端移位,但桡侧移位程度更大,且桡侧籽骨与掌骨头关节面出现不匹配(图2)。术前均行CT检查。CT三维重建显示尺侧籽骨和掌骨头之间有正常的关节间隙,而桡侧籽骨骑坐于掌骨头上,二者之间的关节间隙消失;CT矢状位重建显示桡侧籽骨掌骨关节间隙消失,并可见桡侧籽骨除近侧缘外均由软组织包绕(图3)。




对保守治疗复位失败的患者选择手术治疗。局部麻醉。选择拇指掌指关节桡侧的侧中线切口,牵开鱼际肌,显露关节囊并纵行切开,找到桡侧籽骨,在桡侧籽骨远端,近节指骨基底处部分剥离拇短展肌和拇短屈肌止点,籽骨得以顺利复位,随之掌指关节绞锁解除。
传统保守治疗方法:在局部麻醉下进一步被动背伸拇指掌指关节,并同时被动轻微尺偏,可反复操作直至绞锁解除。
改良保守治疗方法:让患者模拟使用指甲剪修剪指甲的动作,鼓励患者反复进行拇指外展和屈曲动作,直至关节绞锁解除。
术后或复位成功后即刻使用背侧阻挡支具固定3周,术后第2天即鼓励患者在支具保护下主动活动患侧掌指关节。
观察术中解剖结构。测量并记录患者治疗前后拇指掌指关节主被动活动度,观察疼痛、关节稳定性、是否发生绞锁复发等。
4例手术患者术中发现,桡侧籽骨近侧缘撞击掌骨头关节面导致出现沟槽状软骨缺损,籽骨嵌于软骨缺损内致使拇指掌指关节绞锁。在近节指骨基底处部分松解拇短展肌和拇短屈肌腱止点,复位籽骨后,可以很容易地解除关节绞锁。绞锁解除后被动屈伸掌指关节,此缺损并不能被指骨基底完全覆盖(图4)。


手术治疗患者4例,随访3~6个月。术后未见拇指掌指关节绞锁复发或出现不稳定表现,无局部疼痛。4例术前拇指掌指关节主动活动度平均为-31.8°~-19.3°;被动活动度平均为-32.5°~30°;术后关节主、被动活动度一致,平均为-3.8°~52.5°。术后所有患者拇指掌指关节未见不稳定和疼痛,未见绞锁复发。患者对手术疗效的主观评价均为满意。
保守治疗患者14例,随访6~8周。其中改良复位手法成功3例,传统复位手法成功11例。14例闭合复位患者复位前拇指掌指关节平均主动活动度为-28.6°~-15.2°,被动活动度为-30.4°~26.5°;复位后关节主、被动活动度一致,平均活动度为屈曲-15.8°~47.5°。末次随访时双侧拇指掌指关节活动度一致,未见关节不稳定和疼痛,未见绞锁复发。患者对治疗结果主观评价满意。
一些学者认为,籽骨的嵌顿阻挡了拇指掌指关节的屈曲活动,是导致关节绞锁的主要原因[1,2,3,8,9]。本组4例手术治疗患者术中虽然发现籽骨嵌顿确实是拇指掌指关节绞锁的主要原因,但并未完全阻挡近节指骨基底的活动,因此患侧拇掌指关节才会存在一定范围的被动屈曲活动度。
根据4例手术患者的术中所见,笔者认为,拇指掌指关节绞锁的发病机制可能是桡侧籽骨在掌骨头关节面上向远端和桡侧移位并嵌顿,这也通过术前的X线片和CT三维重建得以证实。但是关节绞锁却并非单纯的籽骨阻挡而导致,我们认为其病理解剖及发病机制可能为:(1)拇指掌指关节过伸位损伤导致桡侧籽骨向远端和桡侧移位。由于指骨基底的阻挡以及拇短展肌和拇短屈肌的张力增加,桡侧籽骨在矢状面上发生逆时针旋转,其锐利的近侧缘在掌骨头关节面上刻划出沟槽状软骨缺损,并使其嵌顿其中。(2)由于拇短展肌和拇短屈肌止点部分附着于桡侧籽骨,籽骨向远端移位并嵌顿后,籽骨近端的肌肉维持较高的张力,但远端的腱性部分则相对松弛,掌指关节出现过伸畸形。肌肉的收缩不能有效传导到近节指骨基底,导致拇指掌指关节主动屈曲受限。由于拇指近节指骨基底不能完全被嵌顿的籽骨阻挡,所以仍然有一定范围的被动活动度。
由于籽骨被腱性组织包裹,其锐利的近侧缘显露并不容易,在掌骨头关节面刻划沟槽状软骨缺损并嵌顿其中更为偶然,所以临床上过伸暴力导致拇指掌指关节绞锁的病例并不常见,复位后也不容易再次嵌顿。
籽骨近侧缘嵌顿和拇短展肌及拇短屈肌的张力是拇指掌指关节绞锁的两个重要因素,因此解决这两点便是治疗的关键。传统的保守治疗方法是在局部麻醉下进一步被动背伸拇指近节指骨并使之轻度尺偏,目的是将嵌顿的籽骨拉出沟槽状的软骨缺损区完成复位。我们改良的保守治疗方法为主动复位法,即模拟使用指甲剪修剪指甲的动作,鼓励患者反复进行拇指外展和屈曲动作,期望在拇短展肌和拇短屈肌的作用下将桡侧籽骨拉出"沟槽"。这种方法的灵感来源于本组中一位患者在麻醉前自己修剪指甲时绞锁的拇掌指关节得以自行复位,之后这种方法在另外2例患者中再次获得成功。
拇指掌指关节绞锁的治疗首选主动复位法。这种方法不需要麻醉,在诊室里即可完成;缺点是患者伴有一定程度的疼痛,多数患者可能难以忍受这种疼痛,所以主动复位成功的比例并不太高,本组患者中仅3/18成功。主动复位失败者可以在局部麻醉下尝试传统的保守治疗方法,本组患者中11/18成功。保守治疗失败者选择手术治疗,与保守治疗相比,手术治疗术后会导致拇指掌指关节主动背伸受限,这可能与术后瘢痕有关。
术中部分松解拇短展肌和拇短屈肌止点或单纯向近端牵拉肌腱使嵌顿的桡侧籽骨复位即可,不需要松解掌指关节侧韧带,因此对关节侧方稳定性没有影响。术后使用背侧阻挡支具可以有效防止籽骨再次移位嵌顿。无论保守治疗还是手术治疗,对局部组织结构的破坏都很小,因此治疗后的功能恢复都比较满意。
由于本组患者的病例数比较少,特别是手术患者仅有4例,因此临床中发现的致病因素可能存在遗漏,对这种少见损伤的发病机制依然是基于推理。拇短展肌和拇短屈肌的张力是维持籽骨嵌顿的重要因素,而实验室中由于标本肌肉已经失去张力因而难以复制此类损伤,这使得笔者推理得出的发病机制难以得到实践检验。桡侧籽骨近侧缘的锐利程度或许是该损伤的危险因素,但这需要进一步的研究加以证实。
所有作者均声明不存在利益冲突





















