
探讨成人病毒性脑炎后自身免疫性脑炎(PVEAE)的临床特点。
回顾性收集2014年11月至2019年10月在北京协和医院神经科收治的10例PVEAE患者资料,分析症状学、脑脊液学、免疫学、神经影像学等特点及治疗方案。
男5例,女5例,年龄44(18,66)岁。9例两次脑炎发作间隔37(24,60)d,1例无明显间隔。病毒性脑炎峰期改良Rankin评分(mRS)4.5(4.0,5.0)分,恢复期mRS 2.0(1.0,3.0)分。自身免疫性脑炎(AE)峰期mRS 4.0(3.0,5.0)分。AE期症状包括:精神行为异常10例(10/10),记忆力下降10例(10/10),运动障碍5例(5/10),自主神经功能障碍5例(5/10),言语障碍4例(4/10),癫痫发作2例(2/10),意识水平下降2例(2/10),症状数4(2,6)个/例。AE期,脑脊液抗N-甲基-D-天冬氨酸受体(NMDAR)抗体阳性率为8/10,血清抗体阳性率为2/10。神经影像学显示AE期8例病灶范围增大,1例病灶缩小,1例无明显变化。AE期10例均给予一线治疗,2例加用长程免疫治疗,9例患者病情明显缓解,mRS为2.0(1.0,4.0)分,随诊mRS为1.0(0,2.0)分。
PVEAE可呈典型双峰脑炎表型、假单峰表型或单峰表型,在AE阶段脑脊液抗体由阴转阳。需重视该病的识别与诊断,确诊后积极免疫治疗。
版权归中华医学会所有。
未经授权,不得转载、摘编本刊文章,不得使用本刊的版式设计。
除非特别声明,本刊刊出的所有文章不代表中华医学会和本刊编委会的观点。
病毒感染作为自身免疫性脑炎(AE)的主要诱因备受关注。病毒性脑炎是AE的诱因之一。2018年Armangue等[1]研究发现单纯疱疹病毒脑炎(HSE)后继发抗N-甲基-D-天冬氨酸受体(NMDAR)脑炎等类型AE的发病率为27%。目前国内缺少成人病毒性脑炎后AE(PVEAE)的病例组报道,本研究回顾性分析10例成人PVEAE的临床特点,以提供PVEAE的诊治经验与建议。
2014年11月至2019年10月北京协和医院收治的脑炎病例。入组标准:AE符合《中国自身免疫性脑炎诊治专家共识》[2]的AE确诊标准和(或)Gruas等[3]的自身免疫性边缘性脑炎标准。病毒性脑炎的诊断标准:流行性乙型脑炎确诊主要依据为血清或者脑脊液(CSF)抗流行性乙型脑炎病毒IgM阳性。HSE确诊主要依据为CSF单纯疱疹病毒1型(HSV-1)DNA,或者CSF HSV-1-IgM阳性,或者HSV-1-IgG阳性并在恢复期滴度升高。所有的患者或其监护人签署知情同意书(北京协和医院伦理委员会的伦理审核编号:JS-891)。
本研究为横断面研究,采用北京协和医院《脑炎与副肿瘤综合征登记项目》流程对患者进行评估、登记[4]。(1)症状学:主要症状包括:精神行为异常、记忆力下降、语言障碍/缄默、癫痫发作、运动障碍、意识水平下降、自主神经功能障碍、中枢性低通气,改良Rankin评分(mRS);(2)病程特点:记录病情演变的重要时间节点、达峰时间;(3)常规性实验室化验检查;(4)脑脊液学与AE抗体谱检测等;(5)神经影像学;(6)肿瘤学;(7)治疗:包括一线免疫治疗、二线免疫治疗和长程免疫治疗[2]。统计学处理采用Microsoft Excel 2016进行统计分析。偏态分布的计量资料采用[M(Q1,Q3)]进行统计描述;计数资料用绝对值比表示。
共10例,年龄44(18,66)岁,其中HSE患者9例,年龄为23~66岁,流行性乙型脑炎患者1例,18岁。男女比为1︰1。既往史:除病例2既往有子宫肌瘤病史,其余病例均无肿瘤病史。全部病例均未合并畸胎瘤等AE相关肿瘤。
均急性起病。病毒性脑炎期与AE期的间隔时间:9例为37(24,60)d,1例(病例7)的两次脑炎发作之间无明显间隔。病毒性脑炎期的症状:发热9例,精神行为异常8例(8/10),记忆力下降4例(4/10),运动障碍1例(1/10),自主神经功能障碍1例(1/10,一过性低血压),言语障碍3例(3/10),癫痫发作4例(4/10),意识水平下降4例(4/10),中枢性低通气0例,病毒性脑炎期症状数(除发热外)为2.5(1.0,4.0)个/例。AE期的症状:精神行为异常10例(10/10),记忆力下降10例(10/10),运动障碍5例(5/10),自主神经功能障碍5例(5/10),言语障碍4例(4/10),癫痫发作2例(2/10),意识水平下降2例(2/10),中枢性低通气0例,AE期症状数4(2,6)个/例。
病毒性脑炎峰期,CSF白细胞数为[41(10,335)]×106/L,蛋白0.50(0.21,1.78)g/L。AE峰期,CSF白细胞数为[9.5(0,36.0)]×106/L,蛋白0.62(0.39,0.97)g/L,葡萄糖3.95(2.73,6.50)mmol/L,氯化物123.5(121,125)mmol/L,CSF特异性寡克隆区带(SOB)阳性者9例,余1例无数据。CSF抗NMDAR抗体阳性8例,余2例阴性;血清抗NMDAR抗体阳性3例,余7例阴性。其他类型抗神经元抗体检测均阴性。AE相关抗体谱中的其他抗体均阴性。
病例5在AE期及恢复期持续监测周围血T、B淋巴细胞亚群计数。AE初期:B细胞315×106/L,CD3+T细胞1 845×106/L,CD4+T细胞714×106/L,CD8+T细胞926×106/L;AE峰期:B细胞1 102×106/L,CD3+T细胞3 795×106/L,CD4+T细胞1 585×106/L,CD8+T细胞1 876×106/L;AE恢复期:B细胞282×106/L,CD3+T细胞1 855×106/L,CD4+T细胞795×106/L,CD8+T细胞809×106/L。可观察到免疫细胞在AE期上升达到峰值,而后回落的趋势。
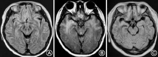
病毒性脑炎期头MRI异常信号范围累及颞叶、额叶、岛叶、扣带回,AE期病变范围较前扩大者8例,较前无明显变化者1例,较前缩小者1例(图1)。


诊断:8例诊断为HSE后抗NMDAR脑炎,1例诊断为HSE后可能的AE,1例诊断为流行性乙型脑炎后可能的AE。全部患者接受了一线免疫治疗,其中10例糖皮质激素,其中2例接受静脉甲泼尼龙冲击治疗,9例采用静脉注射免疫球蛋白(IVIg),2例接受吗替麦考酚酯的长程免疫治疗。转归:治疗后9例症状短期内缓解,所有患者长期症状均缓解。病程中mRS动态变化:病毒性脑炎峰期4.5(4.0,5.0)分,病毒性脑炎恢复期2.0(1.0,3.0)分;AE峰期4.0(3.0,5.0)分,AE短期恢复2.0(1.0,4.0)分,AE长期恢复1.0(0,1.0)分。所有患者在随访期间无复发。
抗NMDAR脑炎是一种以神经精神症状伴CSF抗NMDA受体GluN1亚单位抗体阳性为特征的免疫性疾病[5]。畸胎瘤是常见诱因,但中国人群该比例偏低[6,7]。女性患者合并卵巢畸胎瘤的比例为29.4%[6],而男性患者合并肿瘤者极罕见[8]。感染为抗NMDAR脑炎的诱因之一,26%~70%的抗NMDAR脑炎患者存在病毒感染样前驱症状或者前驱感染事件[9],其中HSE与AE的关系一直受到关注。所谓HSE之后"二次脑炎"的报道可追溯到Wang等[10]在1994年的儿童脑炎病例组报告。2012年Prüss等[11]证实在30%的HSE患者病程中可出现抗NMDAR抗体由阴转阳的动态变化。2014年伍妘等[12]报道儿童HSE后继发抗NMDAR脑炎的国内病例。Armangue等[1]的前瞻研究显示:27%的HSE患者可在起病后2~16周(中位32 d)内继发AE,以抗NMDAR脑炎为主,其余包括抗GABAA受体抗体及未知抗原等抗体[1,8]。在一些HSE患者中,随访期内血清或CSF中可检出AE抗体,但临床上无"二次脑炎"的症状,仅表现为单峰脑炎病程[1]。我们推测AE期的轻症表现可能顿挫或者自限,或者被病毒性脑炎的后遗症状掩盖。
本组病例多呈现典型的"双峰脑炎"病程,第一峰是以发热、精神行为异常、癫痫发作为主要症状的病毒性脑炎期,经抗病毒治疗后症状缓解;第二峰为AE期,以精神行为异常为最突出的表现,还包括记忆力下降,自主神经功能障碍,运动障碍等。我们的研究提示,在AE期,患者的脑炎主要症状数多于病毒性脑炎期,这可能与抗NMDAR脑炎弥漫性脑炎的特点有关,因此,如果病毒性脑炎患者在高峰期后陆续出现更多样的脑炎症状,要考虑到继发AE的可能性。AE的症状与年龄相关,舞蹈手足徐动症为幼儿的特征性临床表现,而儿童和成人则是以精神行为异常为主[1,7,9,12,13]。因此,幼儿二次AE的临床表现更易被识别和诊断。而儿童和成人的第二峰与第一峰在表现上相似,易误诊为HSE复发[7,8]。
抗NMDAR脑炎期与HSE期在时间上可部分重叠,呈现"假单峰"病程,如病例7在整个病程中精神神经症状持续存在,无缓解后复发的典型过程,但其CSF的白细胞数量逐渐下降,CSF的SOB由阴转阳,抗NMDAR抗体转为阳性,头MRI所示的额颞岛叶的异常信号区域逐渐泛化,提示病程由HSE向抗NMDAR脑炎的进展。"假单峰表型"同样存在于其他报道中[1]。可见HSE后AE的早期鉴别具有一定挑战性,因此建议对恢复期HSE患者密切随访[8]。
本病例组AE阶段的CSF白细胞数较病毒性脑炎期白细胞数下降,而AE期CSF抗NMDAR抗体转阳,但血清抗NMDAR抗体阳性率仅有2/10。另外,本研究中CSF的SOB阳性比例10/10,而在其他抗NMDAR脑炎队列中,血清抗体阳性率为71.4%,CSF的SOB阳性率仅为16%[6]。PVEAE的这种鞘内体液免疫反应与外周分离的现象提示,PVEAE的抗神经抗体合成可能在鞘内启动。另外,病例5的周围血T、B淋巴细胞绝对值在AE初期快速上升达峰的现象,提示免疫激活的过程。复发期CSF的SOB阳性,以及周围血B淋巴细胞异常升高,或可作为拟诊PVEAE的参考依据,可能对某些抗体阴性病例的诊断具有一定意义。
除HSV-1以外,流行性乙型脑炎病毒也曾被报道过可诱发AE[15,16]。2001年Pradhan等[17]报道62例乙脑患者中6例出现了双峰脑炎的病程。Ma等[18]报道63例乙脑患者中5例脑炎复发,其中3例CSF抗NMDAR抗体阳性,乙脑后AE常见表现包括手足舞蹈、口角抽动、烦躁、姿势异常、缄默。本研究的病例10为乙脑患者,在病程第32天出现"二次脑炎"的症状,头MRI提示病灶增大,CSF的SOB阳性,免疫治疗后症状缓解,MRI显示病变缩小,虽然该例AE抗体谱检查阴性,但达到《中国自身免疫性脑炎诊治共识》的"可能的AE"诊断标准。PVEAE在AE阶段的诊断应依据相关共识的诊断标准[2,3],抗神经抗体阴性者也可参考这些标准。
总之,PVEAE多数呈双峰脑炎的临床表型,少数因AE阶段轻症自限或者因缺少缓解间期(谷期)而呈单峰或假单峰表型。在AE阶段CSF抗神经抗体由阴转阳,并可见SOB阳性、周围血B淋巴细胞达峰等提示。PVEAE的免疫治疗以一线方案为主,总体预后良好。
所有作者均声明不存在利益冲突





















