
并殖吸虫病是由并殖吸虫引起的急性或慢性的地方性寄生虫病,多由进食未经煮熟的带有囊蚴的淡水蟹和蝲蛄而得病,此类患者缺乏特异性的临床症状和体征,往往容易误诊漏诊,诊断明确后吡喹酮治疗常有效。本文2例患者早期均未得到确诊,后经免疫学检查而明确诊断。提示加强健康教育、改变生活习惯及饮食习惯是预防并殖吸虫病的关键,提高医务人员对本病的认识是降低误诊率的关键。
版权归中华医学会所有。
未经授权,不得转载、摘编本刊文章,不得使用本刊的版式设计。
除非特别声明,本刊刊出的所有文章不代表中华医学会和本刊编委会的观点。
病例1,男,34岁,浙江仙居人,因"发热、腹痛40 d,咳嗽、咳痰1个月"于2019年7月17日收治浙江大学医学院附属第一医院感染科。患者40 d前出现发热,高达39℃,伴腹痛及腹泻,为黄色稀便。至当地医院就诊,诊断为急性胃肠炎,予以静脉输液治疗,体温恢复正常,但仍有腹痛、胀痛,程度较前减轻,未再腹泻。2周前出现咳嗽、咳痰,咳嗽剧烈时伴气促,并伴发热38℃,体温可自行降至正常。再次至当地医院就诊考虑"肺部感染",予以补液及激素治疗,效果不佳。遂至我院门诊以"发热待查"收入。体格检查:体温37.2℃,脉搏101次/min,呼吸19次/min,血压127/92 mmHg(1 mmHg=0.133 kPa)。神志清,精神可,皮肤黏膜及巩膜无黄染,无皮疹,双下肺呼吸音低,未闻及啰音,心律齐,无杂音。腹软,无压痛及反跳痛。双下肢无水肿,病理征未引出。入院诊断:肺部感染。入院后查血常规:白细胞计数22.6×109/L,嗜酸性粒细胞占比0.687,嗜酸性粒细胞15.51×109/L。红细胞沉降率(ESR)63 mm/1 h,C-反应蛋白(CRP)24.1 mg/L。粪便常规正常。头颅CT未见明显异常,腹部CT示腹膜弥漫性增厚,盆腔少许积液、脾大。肺部CT示两侧胸腔积液伴两肺下叶萎陷,显示感染(图1)。追问病史发现48 d前曾生食野生螃蟹史,查血寄生虫抗体示并殖吸虫抗体阳性。诊断:并殖吸虫病(腹型+肺型)。予吡喹酮片25 mg/kg,2次/d,口服3 d,腹痛消失,咳嗽咳痰缓解后出院。出院后2周当地医院复查患者无不适,血常规:白细胞计数14.9×109/L,嗜酸性粒细胞占比0.468,嗜酸性粒细胞6.98×109/L,血红蛋白144 g/L,血小板计数332×109/L。肺部CT示两肺感染性病变较前明显吸收。


注:右上肺可见斑片状高密度影,边缘不清,内密度不均匀(箭头示)
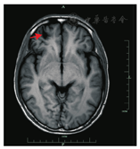
病例2,男,28岁,浙江仙居人,与病例1系朋友,因"反复发热、腹痛1月余,咳嗽3 d"于2019年7月17日与病例1一同入院。患者1个月前出现发热,体温约38℃,有腹痛,部位不固定,游动于上腹、下腹部,症状持续10 d不能缓解,于当地医院就诊,予头孢和青霉素抗感染治疗,体温正常,腹痛稍缓解,5 d前再次出现发热,体温达39.6℃,伴有多汗,曾有腹泻,无恶心、呕吐,3 d前出现咳嗽,稍感气急,无咳痰、咯血,为进一步治疗来我院就诊,门诊拟"发热待查"收治入院。体格检查:体温38.8℃,脉搏102次/min,呼吸20次/min,血压112/67 mmHg。神志清,精神可,皮肤巩膜无明显黄染,未见皮疹及皮下出血,浅表淋巴结未及,双肺呼吸音清,未闻及干湿啰音。心肺听诊未闻及病理性杂音。腹部平坦,上腹部压痛、无反跳痛。肝脾肋下未及,移动性浊音阴性。四肢肌力及张力正常,神经系统查体阴性。血常规示白细胞计数13.3×109/L,嗜酸性粒细胞占比0.454,嗜酸性粒细胞6.03×109/L,血红蛋白115 g/L,血小板344×109/L。超敏CRP 121.0 mg/L,ESR为4 mm/1 h。胸部CT示右肺及左肺下叶炎症,两肺数枚小结节,右侧气胸。头颅CT示两侧额叶软化灶(图2)。肝脏CT示肝脏肿大,肝内多发类圆形低强化区,多发炎性结节形成,盆腔积液。追问病史发现,与病例1曾于48 d前生食野生螃蟹,查血并殖吸虫抗体阳性。诊断:并殖吸虫病(腹型+肺型+脑型)。予吡喹酮片25 mg/kg,2次/d,口服3 d治疗后体温恢复正常,腹痛、咳嗽缓解出院。出院约1周后再次出现发热,继续使用吡喹酮治疗后3 d体温正常,于1个月后在当地医院复查血白细胞计数9.6×109/L,嗜酸性粒细胞占比0.349,嗜酸性粒细胞3.34×109/L,血红蛋白110 g/L,血小板计数369×109/L。肺部CT提示病灶较前吸收,气胸消失,双侧少量胸腔积液。2个月后再次复查,各指标均正常。


注:右侧额叶病灶(箭头示)
并殖吸虫病是由并殖吸虫引起的急性或慢性的地方性寄生虫病。并殖吸虫主要寄生在人的肺脏,其虫卵随痰液或粪便排出后先在水中发育成毛蚴,继而侵入第一宿主(淡水螺)发育成尾蚴,尾蚴又可侵入第二宿主(甲壳类动物)发育成囊蚴,人在进食未经煮熟的带有囊蚴的淡水蟹或蝲蛄,或食用半熟的被囊蚴感染的野生动物肉,或生饮被囊蚴污染的溪水后可被感染[1,2]。人体寄生的并殖吸虫,全世界报道共约50余种,在国内报道的约32种,主要为卫氏并殖吸虫和斯氏并殖吸虫两种[3]。卫氏并殖吸虫分布于浙江、台湾、辽宁、吉林及黑龙江等省。斯氏并殖吸虫分布于四川、江西、云南、福建、广东、贵州及陕西等省。
并殖吸虫病是以肺部病变为主的全身性疾病,临床表现复杂,症状轻重与入侵虫种、受累器官、感染程度及机体反应等多种因素有关。起病多缓慢,因准确感染日期多不自知,故潜伏期难以推断,长者10余年,短者仅数天,但多数为6~12个月。并殖吸虫病临床表现多样,且无特异性表现,可有低热、咳嗽、咳烂桃样痰和血痰、乏力、盗汗、食欲不振、腹痛、腹泻或荨麻疹等临床表现。血常规检查多有嗜酸性粒细胞升高。胸部CT主要有结节、磨玻璃样变、虫蚀样变、胸腔积液、"隧道"征及"月晕"征等,头颅CT和磁共振成像可见颅内出血灶及大范围"指套样"水肿,腹部CT呈肝脾包膜下蛇纹石样变、"隧道"征样变[4]。免疫学实验检查如皮内实验、酶联免疫吸附试验、斑点金免疫渗滤测定法阳性及病原学检查阳性或病理学检查见虫体、虫卵。根据侵犯的主要器官不同,临床上可分为4型:胸肺型、腹型、皮肤型和脑型。肺脏为卫氏并殖吸虫最常寄生的部位,斯氏并殖吸虫常引起皮下结节,部分有游走性[5]。
本文2例患者与另2位朋友共4人有同时生食野生螃蟹史,后分别出现发热等症状,另2人也在当地住院诊断为并殖吸虫感染,根据流行病学史,结合血常规、影像学检查、病原学检查或病理学检查,诊断为并殖吸虫病。由于人民生活水平提高,寄生虫病明显减少,而并殖吸虫病更不多见,临床医师对本病认识不足,临床首诊误诊率高达88.60%[6],增加了患者的痛苦及医疗费用[6]。因此,提高临床医师对本病的认识和警觉性十分必要。
本病确诊主要靠免疫学检查,本文2例患者经并殖吸虫血清抗体测定阳性而确诊。皮内试验也有重要的诊断价值,但难以区分是否为现症感染[7];痰涂片及粪便涂片肺吸虫卵阳性也是确诊的重要标准,但阳性率偏低[8],利用宏基因二代测序的方法也可进行并殖吸虫病的诊断[9],但价格较高。周围血象和胸水中嗜酸性粒细胞增高对于寄生虫感染具有重要的提示意义。本病一旦确诊,应用吡喹酮驱虫疗效显著,儿童及成人治疗剂量常为25 mg/kg,3次/d,连续口服3 d,脑型患者间隔1周可重复1个疗程[10]。
综上所述,加强对民众的健康教育,改变不良的生活习惯及饮食习惯,从源头减少并殖吸虫病的感染率是防治并殖吸虫病的关键。提高医务人员对本病的认识是降低误诊的关键,周围血中嗜酸性粒细胞明显增高有很强的诊断提示意义。
所有作者均声明不存在利益冲突





















