
探讨大剂量盐酸氨溴索治疗婴儿严重百日咳的有效性及安全性,为急性期严重痉挛性咳嗽的重症百日咳的救治提供新思路。
回顾性分析汕头大学医学院第二附属医院2019年3月至4月收治的2例确诊重症百日咳患儿,在2017年百日咳诊疗指南常规治疗的基础上,加用大剂量盐酸氨溴索[10 mg/(kg·次),每天2次]治疗。并文献复习国内外重症百日咳的治疗现状,总结大剂量盐酸氨溴索在急性期严重痉挛性咳嗽的重症百日咳中实施的有效性和安全性。
2例重症百日咳患儿均在月龄6个月以下、合并严重的痉挛性咳嗽、反复发绀、呕吐、且百日咳核酸PCR确诊阳性。病例1中,患儿加用大剂量盐酸氨溴索治疗后,痉挛性咳嗽症状明显缓解,效果显著。病例2中,患儿予大剂量盐酸氨溴索治疗后痉挛性咳嗽明显改善,予反复多次停用静脉大剂量氨溴索,并改用口服盐酸氨溴索片常规剂量后,严重痉挛性咳嗽症状再次出现,而重新加用大剂量盐酸氨溴索痉挛性咳嗽症状再次缓解。
应用大剂量氨酸氨溴索治疗婴幼儿严重百日咳在国内首次报道,且在改善其痉挛性咳嗽症状方面疗效显著。
版权归中华医学会所有。
未经授权,不得转载、摘编本刊文章,不得使用本刊的版式设计。
除非特别声明,本刊刊出的所有文章不代表中华医学会和本刊编委会的观点。
百日咳是由百日咳鲍特菌感染引起的一种传染性极强的急性呼吸道传染病[1,2]。当前世界范围的百日咳再现(Resurgence of Pertussis)[3]已成为国际学术界关注的公共卫生事件,尤其是重症百日咳,可引起婴幼儿呼吸暂停、百日咳脑病、肺动脉高压、心肺功能衰竭而死亡。然而国内外最新百日咳诊治指南及专家共识所推荐的治疗方法中,对改善急性期严重痉挛性咳嗽的症状未有推荐的有效治疗方法。百日咳杆菌致病机制在于破坏呼吸道上皮细胞的柱状纤毛,使呼吸道炎症所产生的黏稠分泌物排除障碍,滞留的分泌物不断刺激呼吸道末梢神经引起痉挛性咳嗽,直至分泌物排出为止,当分泌物排出不净,可导致不同程度的呼吸道阻塞,以至引起肺不张、肺气肿、支气管扩张剂感染等肺部相关并发症[4]。盐酸氨溴索注射液为一种新型的黏液动力剂,通过调节呼吸道浆液和黏液的分泌,使纤毛摆动频率及强度增加,有利于纤毛的功能发挥,运输能力增强,痰液因而更易排出[5],可应用于急慢性肺部疾病的祛痰治疗。由于其药物说明书上有提到大剂量盐酸氨溴索注射液[30 mg/(kg·d)]应用治疗婴儿呼吸窘迫综合征,因此我们尝试用大剂量氨溴索治疗2例婴幼儿百日咳的严重痉挛性咳嗽,并取得显著效果,现报告如下。
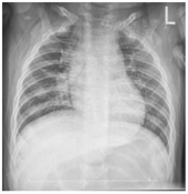
病例1 患儿,男,6个月5 d(纠正胎龄4个月),因"咳嗽2周,加重伴发绀6 d"于2019年4月25日入院。入院2周前开始出现零星咳嗽,6 d前咳嗽加重,呈痉挛性鸡鸣样咳,剧咳时面色潮红,偶有口周发绀,曾外院住院6 d(予阿奇霉素抗感染、雾化、祛痰止咳等治疗),咳嗽无好转,遂来我院。患儿系第1胎第1产,因胎膜早破于29+2周早产,出生体重1.55 kg,出生至今未接种百白破疫苗。患儿父母、奶奶同期均有咳嗽(与患儿有密切接触)。查体:T 36.8 ℃,P 126次/min,R 32次/min,体重8.0 kg。精神尚可,前囟平软,无鼻煽及点头呼吸,三凹征阴性,肺部呼吸音粗,闻及少许湿啰音;心腹查体无阳性体征。入院3 d前在外院辅助检查:血常规:WBC 22.78×109/L,N 22.3%,L 60.1%,Hb 133 g/L,PLT 513×109/L;CRP 6.78 mg/L;X线胸片(图1)提示:双肺多发性病变,并右肺上叶节段性含气不全;查百日咳DNA定性(+)。入院诊断:百日咳肺炎。辅助检查:入院当天血常规:WBC 33.8×109/L,L 92.1%,Hb 130 g/L,PLT 577×109/L;CRP 0.3 mg/L;肝肾心功能基本正常;痰培养及血培养阴性。入院第5天血常规:WBC 22.8×109/L,L 76.2%,Hb 131 g/L,PLT 547×109/L。入院第16天血常规:WBC 14.1×109/L,L 67.0%, Hb 130 g/L,PLT 404×109/L;CRP 1.6 mg/L。入院第24天血常规:WBC 13.4×109/L,L 46%, Hb 124 g/L,PLT 661×109/L;CRP 0.32 mg/L。治疗:入院后予阿奇霉素[10 mg/(kg·次)×3 d]抗感染、布地奈德联合异丙托溴铵雾化每8小时1次、肺力咳合剂止咳治疗,患儿入院第1天痉挛性咳嗽仍明显,20~30阵/d,剧咳时20余声/阵,伴口周发绀1~2次/d,无发热。入院第2天,经家长签字同意后,予加用大剂量盐酸氨溴索注射液10 mg/(kg·次) 每天2次(上海勃林格殷格翰药业有限公司,注册证号H2150468,国药准字20140032,规格2 ml:15 mg),并加入5%葡萄糖水50 ml静脉滴注。大剂量盐酸氨溴索治疗第3天患儿痉挛性咳嗽较前缓解(24 h痉挛性咳嗽10~20阵,每阵5~10声,无再发绀及呕吐);治疗第7天痉挛性咳嗽明显缓解(24 h痉挛性咳嗽5~10阵,每阵5~10声,无伴发绀及呕吐);治疗第10天予口服常规剂量氨溴索片(15 mg/次,每天3次)带药出院。患儿出院第2天咳嗽再次加重(24 h痉挛性咳嗽20余阵,每阵10~20声不止,无伴发绀及呕吐),出院第3天再次住院治疗,并再次予大剂量盐酸氨溴索[10 mg/(kg·次),每天2次×13 d]祛痰、布地奈德联合异丙托溴铵雾化每6小时1次治疗。再次住院第4天患儿痉挛性咳嗽缓解(24 h痉挛性咳嗽10~20阵,每阵8~15声,无再发绀及呕吐),再次住院第7天咳嗽明显改善(24 h痉挛性咳嗽5~10阵,每阵5~10声,无伴发绀及呕吐),治疗第13天零星咳嗽,无呈痉挛性咳嗽,好转出院,两次住院期间无全身皮疹、腹泻、休克等过敏表现,出院诊断:百日咳肺炎。出院后2周后电话随访:患儿偶有间断单声咳嗽,5~6次/d,3~5声/阵,期间无阵发性痉挛性咳嗽及呼吸困难,一般情况可。


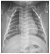
病例2 患儿,男,2个月9 d,因"咳嗽12 d"于2019年3月6日第1次入院。入院12 d前出现零星咳嗽,予口服中草药(具体不详)处理后,症状未见好转,并逐渐加重,呈痉挛性鸡鸣样咳嗽,1周前来我院急诊予雾化、口服阿奇霉素治疗后,咳嗽无好转,并查百日咳DNA检测回报(+),予收住我院。好转出院1周后,患儿痉挛性咳嗽再次加重(24 h痉挛性咳嗽20余阵,每阵约10~20声,剧咳时伴呕奶数次,无发绀),于2019年3月25日第2次住院治疗。第1次入院查体:T 36.5 ℃,P 127次/min,R 32次/min,体重7.0 kg。精神尚可,前囟平软,无鼻煽及点头呼吸,三凹征阴性,肺部呼吸音粗,未闻及干湿性啰音;心腹查体无阳性体征。入院2 d前查血常规:WBC 11.7×109/L,N 15.9%,L 69.8%,Hb 104 g/L,PLT 244×109/L;百日咳DNA检测(+)。入院诊断:百日咳。辅助检查:入院当天血常规:WBC 13.7×109/L,N 14.9%,L 73.9%,Hb 104 g/L,PLT 244×109/L;CRP 0.8 mg/L;肝肾心功能基本正常。X线胸片(图2)提示:拟支气管肺炎X线征。第2次入院第1天血常规:WBC 10.1×109/L,N 11.6%,L 68.2%,Hb 123 g/L,PLT 239×109/L;CRP 0.8 mg/L;肝肾心功能未见异常;第2次入院第24天血常规:WBC 11.6×109/L,N 28.3%,L 73.5%,Hb 114.0 g/L,PLT 255×109/L;CRP 7.0 mg/L。第1次入院治疗:予阿奇霉素抗感染、布地奈德联合异丙托溴铵雾化每6小时1次治疗,入院当天经家长签字同意后予加用大剂量盐酸氨溴索注射液10 mg/(kg·次)每天2次(药物生产厂家同病例1),并加入5%葡萄糖水50 ml静脉滴注。住院第7天痉挛性咳嗽明显缓解(24 h痉挛性咳嗽5~10阵,每阵5~10声,无发绀及呕吐);住院第10天改用口服盐酸氨溴索片(15 mg/次,每天3次)。住院第12天痉挛性咳嗽症状好转出院(24 h痉挛性咳嗽小于5阵,每阵3~4声,无发绀及呕吐)。第2次入院后再次予加用大剂量盐酸氨溴索[10 mg/(kg·次),每天2次]祛痰。再次住院第7天后患儿痉挛性咳嗽再次明显缓解;住院第11天予盐酸氨溴索减量至[5 mg/(kg·次),每天2次];治疗2周后再次改用口服盐酸氨溴索片(15 mg/次,每天3次);住院第20天患儿痉挛性咳嗽再次加重(24 h痉挛性咳嗽20余阵,每阵约10余声,剧咳时伴呕奶数次,无发绀)。予口服盐酸氨溴索片增加至(30 mg/次,每天3次),痉挛性咳嗽仍无缓解。治疗第22天再次予加用大剂量盐酸氨溴索[10 mg/(kg·次),每天2次]祛痰,并予丙种球蛋白(2.5 g)调节免疫止咳后,痉挛性咳嗽明显好转(24 h痉挛性咳嗽5~7阵,每阵5~6声,无发绀及呕吐)。治疗第36天零星咳嗽,无呈痉挛性咳嗽,好转出院,两次住院期间无全身皮疹、腹泻、休克等过敏表现,出院诊断:百日咳肺炎。出院后2周后电话随访:患儿零星咳嗽,1~2声/d,无再痉挛性咳嗽,一般情况可。


目前全球儿童百日咳发病率逐年升高,据估计,全球每年发生1 600万例病例,约20万人死亡[6]。2014年世界卫生组织最新数据显示全球报道了139 786例百日咳,其中婴儿病死率达4%[7]。
据世界卫生组织统计2016至2018年近3年中国百日咳发病数分别为5 584例、10 390例、22 057例,美国该3年百日咳发病例数分别为17 972例、18 975例、18 439例[8]。过去20年中,百日咳在全球范围内发病率出现了明显上升趋势,称为百日咳再现[9]。百日咳复发流行的原因一直有众多争议,主要有以下几种观点[10]:(1)疫苗广泛长期使用的选择性压力下可使百日咳流行菌株,出现了菌株基因变异以及产生对大环内酯类耐药菌株:Mooi等[11]发现1989至2004年期间荷兰百日咳流行株的百日咳毒素基因启动子区域发生变异,2004年100%分离株均为变异株;Yang等[12]对西安市儿童医院2012年1月至2013年分离的19株百日咳杆菌对红霉素的耐药性检测发现,红霉素的耐药率高达87.5%;(2)疫苗本身不能提供长时间的保护,一般认为全细胞疫苗(DTwP)的免疫持续时间为4~12年,无细胞疫苗(DTaP)保护力为6年左右[13,14];(3)百日咳是全球性疾病,具有固有流行,流行周期3~5年[15,16],疫苗使用并没有改变百日咳的流行周期,而我国自计划免疫开展之后百日咳发病率呈直线下降,流行周期已不再明显,但一些局部地区仍有暴发或疫情反弹。百日咳病情的严重程度与患者年龄、免疫状态和是否存在混合感染有关,临床表现可从轻微呼吸道症状到危及生命[17]。由于目前国内出生3个月才接种百白破疫苗,且缺乏对7岁以上儿童、青少年和孕妇接种Tdap加强免疫,因此6个月以下患儿百日咳发病率高,国外多篇文献报道多数百日咳患儿病初接触有咳嗽症状的家庭成员,多为母亲[1,18]。婴幼儿的气门较为狭窄,弹性程度差、胸部轮廓菲薄,咳嗽无力等本身特殊生理解剖特点,继发性引起呼吸暂停、结膜下出血、脐疝、气胸等气压性损伤、百日咳脑病、肺动脉高压、心肺功能衰竭而死[4]。然而现有的国内外百日咳诊治指南及专家共识的治疗方法中指出,一线用药大环内酯类抗生素如果非在卡他期使用,只是降低其传染性,对缓解临床症状的效果并不理想[19];而对症治疗的药物包括糖皮质激素、支气管舒张药、抗组胺药和白三烯受体阻滞剂等,治疗百日咳效果不肯定 [20]。Tian等[21]总结了2004至2017年国外公开报道的56例换血治疗的重症百日咳合并高白细胞血症患儿,其患儿存活率为68%(38/56)。目前针对重症百日咳的祛痰治疗仍缺乏有效方法。
盐酸氨溴索注射液(沐舒坦)为一种新型的黏液动力剂,通过促进呼吸道黏膜浆液腺分泌、减少黏液腺分泌,使痰液稠度降低,降低气道分泌物的黏稠度,使纤毛摆动频率及强度增加,运输能力增强,从而使痰液更易排出[22]。近年来已有研究发现,氨溴索存在化痰相关作用之外的一系列肺保护效应。有研究表明,大剂量盐酸氨溴索可抑制体内细胞因子生成,抑制中性粒细胞、巨噬细胞等炎症细胞向肺组织内流和聚集,从而减轻肺部炎症[23];另一方面大剂量盐酸氨溴索有利于保持肺泡开放和气道通畅,有利于维持通气和氧合,同时抑制上皮细胞炎性坏死,有利于上皮细胞修复[24]。李群[25]证实联合采用机械通气、大剂量盐酸氨溴索注射液(300 mg)治疗小儿急性肺损伤的疗效确切;侯伟鹏等[26]应用大剂量氨溴索注射液[30 mg/(kg·d)]治疗小儿重症肺炎疗效显著,且其药物说明书上有提到大剂量盐酸氨溴索注射液[30 mg/(kg·d)]应用治疗婴儿呼吸窘迫综合征。上述报道均未出现过敏、腹泻等不良反应事件,为临床常用的安全、有效的化痰类药物。因此我们尝试用大剂量氨溴索治疗婴幼儿百日咳的严重痉挛性咳嗽并取得较好的疗效。
本病例1中,患儿处于严重痉咳期出现典型痉挛性咳嗽、白细胞增高并以淋巴细胞比例为主、且百日咳DNA阳性确诊百日咳,在参照2017年中国百日咳诊疗指南的基础上,加用大剂量盐酸氨溴索[10 mg/(kg·次) ,每天2次]治疗,并每天记录患儿24 h内痉挛性咳嗽次数、伴随的声数、发绀次数及相关伴随症状。可以观察到患儿痉挛性咳嗽症状明显缓解,效果显著。本病例2中,患儿出现典型的痉挛性咳嗽,且百日咳DNA阳性确诊百日咳,也予大剂量盐酸氨溴索治疗后痉挛性咳嗽明显改善,予反复多次停用静脉大剂量氨溴索,并改用口服盐酸氨溴索片常规剂量后,严重痉挛性咳嗽症状再次出现,而重新加用大剂量盐酸氨溴索痉挛性咳嗽症状再次缓解,证明了大剂量氨溴索治疗百日咳痉挛性咳嗽的有效性。大剂量盐酸氨溴索治疗百日咳的主要机制可能为[22]:(1)盐酸氨溴索能抑制气道内黏蛋白的分泌,降低痰液黏度,有利于痰液的排出;(2)促进气道浆液分泌,稀释痰液,有利于黏痰的溶解;(3)剂量上的增加促使纤毛摆动频率及强度增加,有利于纤毛的功能发挥,运输能力增强,痰液因而更易排出。(4)盐酸氨溴索通过抑制细胞因子的产生,抑制炎性细胞的激活及向肺组织的内流与聚集,起抗炎作用;抑制组胺、白三烯等炎性因子的释放,减少肺部炎性反应,降低水肿和渗出水平;(5)发挥与抗生素的协同作用,提高抗生素的生物利用度,以及抗生素在气道中的药物浓度,增强抗生素的杀菌能力。本文显示应用大剂量沐舒坦治疗百日咳在改善其痉挛性咳嗽症状疗效显著,目前国内外暂无相关报告。未来本课题组将通过开展多中心、大样本、前瞻性的对照研究,以进一步证实该治疗方法的有效性和安全性,为婴幼儿百日咳的救治提供新的思路。
所有作者均声明不存在利益冲突





















