
肺乳头状腺瘤是肺部罕见的良性肿瘤,该文报道1例。患者女,56岁。镜下观察肿瘤细胞由具有血管轴心的真性乳头构成,细胞大小一致,核圆形或卵圆形,染色质细腻,可见核仁,细胞异型性不明显,未见核分裂象及坏死。免疫组织化学表达细胞角蛋白(CK)7、甲状腺转录因子1(TTF1)、Napsin A,不表达CK20、CK5/6、p63、p40和p53,Ki-67阳性指数很低。肺乳头状腺瘤的诊断依赖病理组织学,其形态学特点极易误诊,需与肺乳头状腺癌及转移性甲状腺乳头状癌等肿瘤鉴别,临床予局部手术切除治疗。
版权归中华医学会所有。
未经授权,不得转载、摘编本刊文章,不得使用本刊的版式设计。
除非特别声明,本刊刊出的所有文章不代表中华医学会和本刊编委会的观点。
患者女,56岁。因“体检发现右上肺结节1年余”于2018年12月10日入院。胸部CT示:右上肺叶见一圆形小结节影,较致密,边缘清晰光整,无胸膜凹陷征,无分叶,不伴有空泡征。行胸腔镜下右上肺楔形切除术。患者血清肿瘤标志物筛查均阴性。
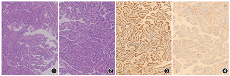
病理检查:右上肺楔形切除标本,大小7.5 cm×3.0 cm×1.5 cm,肺组织切面见一淡棕灰白结节,直径0.65 cm,质中等,边界清楚,无包膜,未累犯脏层胸膜。病变结节较小,间隔2~3 mm全部取材,常规制片。光镜下肿瘤细胞呈紧密分支乳头状生长,乳头表面被覆分化好的柱状或单层立方上皮细胞(图1, 2),细胞大小一致,异型性不明显,细胞质中等,胞质嗜酸,胞核卵圆形或圆形,核染色质细而均匀,核膜清楚,核仁不明显,柱状上皮细胞核位于基底而立方上皮细胞核居中央,无核分裂及坏死,乳头间隙见嗜伊红分泌物,乳头轴心间质内见淋巴细胞、浆细胞及组织细胞浸润。免疫组织化学标记:肿瘤细胞强表达细胞角蛋白(CK)7、甲状腺转录因子1(TTF1,图3)、Napsin A,不表达CK20、CK5/6、p63、p40和p53,肿瘤细胞Ki-67阳性指数约2%(图4)。


病理诊断:(右上)肺乳头状腺瘤。
随访:术后随访14个月,患者健康状况良好,无复发和转移。
讨论:肺乳头状腺瘤(papillary adenoma of the lung)是一种罕见的肺部良性肿瘤。目前为止,检索到英文文献报道不足30例[1, 2, 3, 4, 5, 6, 7, 8],国内报道12例[9, 10, 11, 12, 13],加上本例共13例。肺乳头状腺瘤临床发病年龄从2个月到70岁不等, 平均年龄35岁[9];男女无明显差异,男性略多于女性;肿瘤多位于肺外周部,个别报道见于中央[8];左肺下叶多见,其次为右肺上叶及下叶;常表现单发结节,偶尔可为多发结节[6];无特殊临床症状,多在体检或其他肺部检查时偶然发现[10]。在影像学胸部X线或CT中肺乳头状腺瘤多表现为肺边缘部的孤立性类圆形或球形结节,边缘光滑,密度均匀,无分叶、毛刺及胸膜牵拉、凹陷。大体肿瘤直径0.2~6.0 cm,平均2.0 cm;肿瘤与周围肺组织边界清楚,有/无包膜,偶有局部包膜侵犯[1, 4, 5];组织学形态:肿瘤呈分支乳头状生长,乳头表面被覆柱状上皮,可见纤毛细胞,乳头间质呈炎性纤维血管轴心改变,Fukuda等[3]和Kondo等[7]发现纤维血管轴心缺乏弹性纤维,认为是其特征性改变;免疫组织化学标记:TTF1、CK7、Napsin A、上皮细胞膜抗原(EMA)等强表达,CK5/6、p63不表达,Ki-67阳性指数在2%左右;肺乳头状腺瘤的病理诊断仍然是在形态学基础上结合免疫标记,基因检测用于科学研究,临床尚无明确靶向分子标志物检测。
目前肺乳头状腺瘤发病机制仍不清楚,肿瘤的病因及起源尚无定论,有学者认为源于多潜能干细胞,其具有向呼吸性纤毛上皮细胞、Clara细胞、Ⅰ型及Ⅱ型肺泡细胞分化的潜能,1980年Spencer等[1]回顾性分析了19例由支气管上皮引起的乳头状非侵袭性肿瘤,结果显示其中2例为Ⅱ型肺泡细胞或Clara细胞来源;1982年,Fantone等[2]将该类肿瘤命名为肺乳头状腺瘤;电镜下腺瘤上皮细胞胞质含嗜锇酸板层小体和膜包绕的高电子密度分泌颗粒,证实肿瘤向Ⅱ型肺泡上皮或Clara细胞分化[1, 2, 3, 4, 5],又有学者将其称之为Clara细胞腺瘤、细支气管腺瘤或Ⅱ型肺泡乳头状瘤[1, 8];还有研究认为该肿瘤可能与炎性病变刺激有关。学者们对该肿瘤生物学行为认识也各不相同,大多认为该肿瘤生物学行为良性,有学者认为其具有潜在侵袭性特点[4, 5],如Spencer等[1]报道1例肿瘤突破包膜至邻近肺泡;Mori等[4]报道1例侵犯细支气管、邻近肺组织及小静脉;Dessy等[5]报道2例中,1例侵犯肺实质及脏层胸膜、1例侵犯包膜;Nakano等[6]报道1例在实性部分细胞核有异型性并见个别核分裂象且p53标记阳性、Ki-67阳性指数约5%,术后随访3年未见复发;Kondo等[7]报道1例侵犯支气管,认为具有一定恶性潜能,但这些病例术后随访2~9年均显示无瘤生存。本例随访14个月未见肿瘤复发或转移。基因检测结果显示表皮生长因子受体(EGFR)基因和KRAS基因突变均阴性[6, 9],但乳头状腺瘤与腺癌之间是否存在潜在演变关系,仍需更长时间的数据收集和随访。目前临床治疗多采取肺叶切除、肺段切除或楔形切除,预后良好。
肺乳头状腺瘤主要与以下疾病鉴别。(1)肺乳头状腺癌:肿瘤细胞由多级分支乳头状结构组成,浸润性生长,肿瘤细胞围绕纤维血管轴心排列,细胞异型性明显,核分裂象多见,可伴有坏死,Ki-67阳性指数较高,肿瘤间质内常见促纤维组织增生;(2)转移性甲状腺乳头状癌:甲状腺乳头状癌呈乳头状结构,肿瘤细胞排列紧密,胞质嗜酸性细颗粒状,核重叠,呈毛玻璃样,并可见核沟及核内包涵体等特征性形态学特点,与肺乳头状腺瘤不同,免疫标记间皮细胞标志物、甲状腺球蛋白、TTF1等阳性表达也有助于鉴别诊断;(3)胎儿肺腺癌:肿瘤组织由类似胎儿肺小管的腺体构成,细胞富于糖原,无纤毛,可见核下和核上空泡,类似于子宫内膜样腺体,部分区域瘤细胞胞质丰富,细胞呈上皮样,形成小团状、圆形桑葚体,此与子宫内膜腺癌的桑葚体(鳞化)相似,可与肺乳头状腺瘤相鉴别;(4)硬化性肺细胞瘤:多见于年轻妇女,由表面立方细胞和圆形间质细胞构成,有分子研究结果证实,肺的硬化性肺细胞瘤也起源于原始呼吸道上皮细胞,肿瘤表面立方细胞胞膜强表达β-catenin,与肺乳头状腺瘤立方上皮细胞表达一致,这也提示两者有共同起源,但硬化性肺细胞瘤常有4种特征性结构(乳头状结构、硬化性结构、实性区及出血区),间质细胞表达TTF1、EMA、波形蛋白等;而肺乳头状瘤无间质细胞,无出血区及硬化性结构,有助鉴别诊断;(5)肺纤毛黏液结节性乳头状肿瘤(ciliated muconodular papillary tumour,CMPT):该病变境界清楚,肿瘤细胞由纤毛细胞、杯状细胞和基底细胞组成,排列成乳头状、腺管状结构,极少有坏死和核分裂象,部分学者认为CMPT是描述性诊断,将其归入细支气管腺瘤,免疫标记基底样细胞连续表达p40、TTF1,在缺少纤毛或黏液细胞时,需与肺乳头状腺瘤相鉴别;(6)肺泡性腺瘤:多发生于中老年女性,是起源于Ⅱ型肺泡上皮细胞的肺部良性肿瘤,由大小不等的囊腔组成,囊腔表面衬覆钉突状或立方状Ⅱ型肺泡上皮细胞,囊内含嗜酸性颗粒状物,囊腔间为厚薄不均的纤维性间隔,而乳头状腺瘤由紧密排列的乳头状结构组成,很少有囊腔形成;(7)肺混合性鳞状细胞和腺性乳头状瘤(pulmonary mixed squamous cell and glandular papilloma):为肺内罕见良性肿瘤,肿瘤具有纤维血管轴心的复杂分支多级乳头状结构,由底层的基底样细胞、鳞状细胞及被覆在乳头表面的腺上皮构成,细胞异型性较低,核分裂象罕见,乳头状腺瘤中没有鳞状上皮,有助于鉴别诊断。
综上所述,肺乳头状腺瘤生物学行为良性,增殖活性较低,依据病理形态学和免疫组织化学标记,再结合肿瘤的影像学特征,可明确诊断。治疗上主要手术局部切除,少见复发或转移,预后较好。目前报道该病例的数量有限,认识尚不足, 恶变的概率及危险因素有待深入研究。在日常工作中,尤其在术中冷冻切片检查及穿刺活检诊断时, 极易误判为恶性。此类病变建议广泛取材,诊断前结合影像学特征及临床资料,阅片时多与其他肿瘤相鉴别,可有效地避免误诊。
所有作者均声明不存在利益冲突





















