
胎盘功能之一是保护胎儿免受感染。母体和胎儿炎性反应引起的胎盘炎性改变应被准确记录和诊断,这是胎盘最常见的病理改变,包括由感染因素引发的感染性炎性病变以及无明确感染病因的特发性/免疫性炎性病变。胎盘炎性病变分为绒毛膜羊膜炎、绒毛炎、绒毛间隙炎等。本篇综述将从分类、病理特征及临床意义三个方面进行系统的描述。
版权归中华医学会所有。
未经授权,不得转载、摘编本刊文章,不得使用本刊的版式设计。
除非特别声明,本刊刊出的所有文章不代表中华医学会和本刊编委会的观点。
经全国继续医学教育委员会批准,本刊开设继教专栏,2021年从第1期至第10期共刊发10篇继教文章,文后附5道单选题,读者阅读后可扫描标签二维码答题,每篇可免费获得Ⅱ类继教学分0.5分,全年最多可获5分。
胎盘位于外部环境及抗原性不同的生物体这两个界面之间,既要保护母体和胎儿免受感染,又要耐受外来组织侵入子宫,这使得胎盘在炎性改变与免疫防御方面的作用非常复杂而且重要[1]。不同种类炎性细胞(中性粒细胞、淋巴细胞、浆细胞、组织细胞),出现在胎盘组织不同部位(胎膜脐带、绒毛间质、绒毛间隙、底板),其发生机制和临床意义可能不同。
1.定义及诊断:绒毛膜羊膜炎是以胎盘绒毛膜、羊膜炎性改变和/或感染为特征的病变,大部分病例与羊膜内感染或羊水感染综合征有关。组织病理学诊断的绒毛膜羊膜炎可能与临床诊断不一致。以胎盘、羊膜、绒毛膜或羊水中出现炎性改变和/或微生物则为诊断的金标准进行评价,临床诊断可能是不准确的[2]。2015年美国国家儿童健康和人类发展学院(NICHD)工作组提出的“宫内炎性改变和/或感染”(临床绒毛膜羊膜炎,Intrauterine Inflammation or Infection or Both,3I)的诊断条件,为母体发热且伴有1个或多个以下特征:胎心过速,母体白细胞>15 000/mm3,宫颈管脓性分泌物,羊水感染的生化或微生物证据。发热和伴有任一特征为可疑3I,如羊水证实感染或病理提示感染,则为肯定的3I[3]。绒毛膜羊膜炎分为急性、亚急性和慢性3类。急性绒毛膜羊膜炎是指母体中性粒细胞出现在羊膜、绒毛膜或绒毛膜板下,胎儿对感染的反应表现在中性粒细胞进入绒毛膜板血管和脐血管壁,母体与胎儿反应常共同存在。亚急性绒毛膜羊膜炎指退变的中性粒细胞和单核细胞混合浸润,尤其在羊膜下明显。慢性绒毛膜羊膜炎是指淋巴细胞在绒毛膜与蜕膜交界处浸润,常呈斑片状,很少累及绒毛膜板。
2.发病率:绒毛膜羊膜炎的发病率与妊娠月份直接相关,在足月妊娠的发生率为2%~10%,28~36周妊娠约为15%,小于27周妊娠为40%~50%[4, 5],Kim等[5]报道在21~24周妊娠的发病率大约为94%。绒毛膜羊膜炎发生率大约是经羊水培养确诊的临床诊断的3倍[6],而应用培养、分子技术、微生物方法诊断的临床绒毛膜羊膜炎,有29.2%的绒毛膜羊膜炎漏诊[7]。因此,绒毛膜羊膜炎的发生率并不十分准确,一方面,显然和诊断方法有关,另一方面,并非所有胎盘都会送病理检查。
3.感染途径和发病机制:微生物可以通过4种途径进入羊膜腔,包括经宫颈阴道上行性、血源性、邻近器官直接蔓延及羊水穿刺等医源性途径。经血源性途径感染的微生物常常是链球菌、李斯特菌、梅毒螺旋体等。胎盘绒毛合体滋养细胞具有阻挡病原微生物的作用,但早中期妊娠细胞柱上不成熟的细胞滋养细胞和绒毛外滋养细胞不能完全阻挡母血中的微生物容易进入绒毛间质而感染胎儿[8]。上行性感染是最常见的感染途径,孕期宫颈黏液栓是解剖和功能性屏障,阴道有100多种细菌可以引起绒毛膜羊膜炎,最常见的是解脲支原体、革兰阴性类杆菌和阴道加德纳菌等[1]。感染的具体机制仍不清楚,但羊膜破裂并非必要条件,已有实验证明细菌可以通过完整的胎膜进入羊膜腔[9]。非妊娠妇女子宫内膜腔不是无菌的,如果存在致病性的细菌[10],它可以通过蜕膜进入羊膜腔引起感染。宫颈-阴道菌群进入羊膜腔后首先引起母体炎性反应(maternal inflammatory response,MIR)。来自游离胎膜的蜕膜小静脉和/或来自绒毛间隙的母体中性粒细胞,逐渐向羊膜腔迁移并浸润绒毛膜板(6~12 h)、羊膜(12~36 h)。MIR几小时或几天后,释放细胞介素引起胎儿炎性反应(fetal inflammatory response,FIR),引起脐静脉炎、脐动脉炎,最后进入华通胶内[11];如果脐带表面羊膜下方局灶性出现中性粒细胞聚集,则称为脐带周围炎(peripheral funisitis)。急性绒毛膜羊膜炎既包括羊膜腔感染引起的炎性改变,也包括胎粪的化学刺激或胎儿运动引起的“无菌性”炎性改变[12],后者可能更为常见。研究发现足月妊娠低级别绒毛膜羊膜炎的羊水培养阳性率低,这部分可能是“无菌性”的[13]。
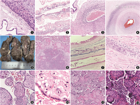
4.绒毛膜羊膜炎的分期和分级:国际上最常采用阿姆斯特丹共识中提出的绒毛膜羊膜炎分期和分级方法,急性绒毛膜羊膜炎的母体和胎儿炎性反应(图1, 2, 3, 4)分为3期2级。母体炎性反应分期,1期(早期):急性绒毛膜板下炎/绒毛膜炎;2期(非特指):急性绒毛膜羊膜炎;3期(长期):坏死性绒毛膜羊膜炎。母体炎性反应分级,1级:轻度、中度炎性改变;2级:>10×20中性粒浸润或合并绒毛膜板下微脓肿。胎儿炎性反应分期,1期:绒毛膜板血管炎或脐静脉炎;2期:累及脐静脉和1条或2条脐动脉;3期:伴有坏死性脐带炎/环脐血管周围炎。胎儿炎性反应分级,1级:轻度、中度炎性改变;2级:重度炎性改变伴有血管平滑肌坏死。慢性绒毛膜羊膜炎组织学分为2期2级[14],1期淋巴细胞局限于绒毛膜滋养细胞层,2期位于绒毛膜羊膜层,1级呈斑片状分布,2级呈弥漫分布。分期体现了炎性改变持续的时间,分级体现了炎性改变的严重程度,英国Hockney等[15]研究表明胎膜细菌载量与炎性病变分期和炎性标志物呈正相关。


5.临床意义:急性感染是新生儿早发型败血症的危险因素之一,小于34周妊娠的可疑3I和肯定3I新生儿需要抗生素治疗,大于34周妊娠可疑3I的正常新生儿进行评估观察[16]。急性绒毛膜羊膜炎的分期与新生儿预后结局不完全一致,但2期以上的母体炎性反应和所有的胎儿炎性反应都需要加强临床关注和护理。炎性改变累及脐动脉时,新生儿脑瘫发病率升高[17, 18]。伴有绒毛膜羊膜炎经阴道分娩的产妇大约5%出现产褥期感染[19]。亚急性绒毛膜羊膜炎多见于念珠菌、解脲支原体感染,常在感染后2周出现,可引起新生儿慢性肺病,但很少导致急性呼吸窘迫的发生[20]。慢性绒毛膜羊膜炎是晚期自发性早产最常见的胎盘病变,在原因不明的死亡胎儿中比较常见[21]。Kim等[22]的研究表明,慢性胎盘炎性改变与极低出生体重儿的视网膜病变有关。
特殊微生物引起的胎盘感染和炎性改变,多为血源性感染,少部分为上行性感染,主要引起绒毛炎、间隙炎或绒毛膜羊膜炎。
1.李斯特菌(listeria monocytogenes):李斯特菌为食源性感染,是为数不多的能穿过胎盘屏障对胎儿造成重大伤害的病原体之一。孕妇是易感人群,能够引起自然流产、死产、早产、胎儿感染,有研究报道胎儿和新生儿死亡的病例占20%~60%[23, 24]。镜下特点:胎盘实质内绒毛坏死形成大小不一的脓肿,累及多个绒毛,绒毛周围纤维素沉积,并伴有坏死性绒毛膜羊膜炎,银染或革兰染色通常在脓肿中心查见微生物(图5,6)。
2.链球菌:B族溶血性链球菌(GBS)可以通过血源性或上行性感染致病,研究报道15%~40%孕妇阴道有GBS定植,其中1%发生新生儿早发型败血症[25]。GBS的筛查与治疗明显降低早发型败血症的发生率,但严重的胎儿和新生儿发病率和病死率依旧存在[26]。镜下特点:单个孤立的急性绒毛炎,可见血管内微生物,常伴发高级别、高分期的急性绒毛膜羊膜炎(图7)。A族化脓性链球菌(GAS)是母体败血症性休克的主要原因,24 h内母儿病死率极高[27],易侵袭肌肉、结缔组织等软组织。镜下特点:胎盘中母体和胎儿炎性反应轻微,子宫呈化脓性平滑肌炎,于绒毛膜板下、绒毛间隙及子宫肌层血管中常发现菌落(图8)。
3.TORCH:先天性感染是新生儿死亡和患病的主要原因之一[28],多由TORCH病原体感染引起,包括弓形虫、风疹、疱疹、巨细胞病毒(图9,10)以及其他(梅毒、细小病毒B19、ZIKA病毒等)。胎盘滋养细胞感染可引起促炎反应、细胞死亡以及蜕膜动脉重塑不良[29]。病理诊断特点:感染常引起浆细胞性绒毛炎,微生物难以在HE切片中发现,但我们可以根据一些大体和组织学特征获得提示(表1),再通过免疫组织化学、特殊染色或者PCR的方法进一步确诊。

特异性微生物感染的大体和组织病理学特征
特异性微生物感染的大体和组织病理学特征
| 微生物 | 诊断特点 | 绒毛炎 | 免疫组织化学,特染 |
|---|---|---|---|
| 单纯疱疹病毒 | 浆细胞性脐带血管炎、伴胎儿血管灌注不良 | 浆细胞性 | 免疫组织化学 |
| 巨细胞病毒 | 绒毛中有含铁血黄素的无血管绒毛、霍夫包或内皮细胞中“鹰眼”样 包涵体、绒毛中嗜酸性核碎片 | 浆细胞性、肉芽肿性 | 免疫组织化学 |
| 梅毒 | 大却不水肿的胎盘,绒毛不成熟 | 急慢性混合型浆细胞性 | 银染,免疫组织化学 |
| 弓形虫 | 胎盘积液、坏死性脐带炎/绒毛膜板脉管钙化 | 肉芽肿性 | PAS,免疫组织化学 |
VUE是一种临床常见的胎盘病变,可见于5%~15%的晚期妊娠胎盘[30],近期有研究显示VUE的发生率存在季节性变化,秋冬季比夏季升高16%~17%[31]。目前有关VUE病因主要存在两种理论,一种是母体对胎儿抗原产生的免疫反应,合体滋养细胞屏障破坏,间质HLA抗原暴露,另一种是对尚不明确诊断的感染源的反应。
镜下特征:绒毛间质以CD8+的淋巴细胞浸润为主,有时可见少量中性粒细胞(图11)。根据炎性改变累及绒毛树不同部位分为3种模式:(1)终末绒毛受累常伴有绒毛周围纤维素沉积;(2)近端/干绒毛受累导致血管闭塞,下游呈无血管绒毛;(3)底板亚型是锚定绒毛受累,常伴有慢性蜕膜炎[32]。根据炎性细胞累及连续绒毛的数量进行分级,至少2个病灶小于10个绒毛为低级别VUE,大于10个绒毛为高级别VUE[30],底板亚型大多是低级别病变。对于鉴别诊断,如果绒毛间质内查见浆细胞或中性粒细胞浸润则要考虑感染性绒毛炎。
低级别VUE 常发生于足月正常新生儿,高级别VUE易于复发并且可能与不良孕产结局相关,尤其伴有干血管闭塞和(或)无血管绒毛时,可能导致新生儿脑病和脑瘫等神经系统损伤[33]。
1.慢性蜕膜炎:慢性蜕膜炎是一种常见病变。在蜕膜中淋巴细胞是正常成分,但如果出现浆细胞常提示血源性感染在内的异常免疫反应[34]。镜下特点:底板蜕膜淋巴细胞背景下出现浆细胞,或者弥漫性淋巴细胞浸润,常伴有底板亚型VUE及慢性绒毛膜羊膜炎。
2.嗜酸性/T细胞绒毛膜血管炎(eosinophilic/T cell chorionic vasculitis, E/TCV):E/TCV常见于足月胎盘,是一种胎儿源性炎性细胞所致的病变,可能是对血管损伤的反应性改变,与感染无关。镜下特点:嗜酸性粒细胞和淋巴细胞累及单个或者多个绒毛膜表面血管,炎性细胞大多环绕血管或者朝向胎盘侧,通常可见到非闭塞性血栓。
3.慢性组织细胞性绒毛间隙炎(chronic histiocytic intervillositis,CHI):CHI是一种罕见却又严重的疾病。在早期流产中的发生率为0.80%~0.96%,中晚期妊娠中为0.06%~0.32%[35, 36],整个妊娠期间可能发生流产、发育迟缓、胎死宫内等不良结局,严重的发育迟缓可以高达70%[35]。目前发生机制尚不明确,有研究推测可能母亲自身免疫性疾病伴有绒毛间隙和底板调节性T淋巴细胞的升高有关[37]。镜下特点:胎盘多个区域绒毛间隙内可见密集、单一的单核巨噬细胞呈片状聚集,细胞核为典型的、均一的豆状核,可以伴有纤维素沉积(图12)。病变不累及绒毛,如同时伴有明显的慢性绒毛炎,则不能诊断CHI。研究发现约30%的病例出现血清碱性磷酸酶(ALP)高于600 IU/L[35],ALP有望成为CHI 的一个生物标志物应用于临床。其鉴别诊断主要是VUE伴发绒毛间隙炎,后者伴有绒毛炎,绒毛滋养细胞受累,引起绒毛周围纤维素沉积。
胎盘病理越来越受到临床医师的重视,当出现不良孕产结局、母体感染征象时,应在羊膜与绒毛膜之间取样培养并胎盘送检,必要时利用免疫组织化学、银染、革兰染色等方法辅助微生物的检出。作为病理医师需要准确识别胎盘炎性改变的生理性和病理性变化,对炎性病变定义和诊断标准进行统一,进行正确诊断和分类,给予母婴恰当的护理和治疗,并临床资料总结,以期更好地提高母婴健康水平。
所有作者均声明不存在利益冲突
1. 胎儿炎性反应2期是指( )
A.中性粒细胞在绒毛膜板纤维层聚集
B.中性粒细胞浸润脐静脉管壁
C.中性粒细胞浸润脐静脉和1条或2条脐动脉
D.坏死性脐带炎或脐带周围炎
2. 亚急性绒毛膜羊膜炎主要是哪种炎性细胞浸润( )
A.退变的中性粒细胞和单核细胞
B.浆细胞
C.淋巴细胞
D.嗜酸性粒细胞
3. 不是胎盘巨细胞病毒诊断特点的是( )
A.绒毛中有含铁血黄素及浆细胞浸润
B.急性绒毛炎伴有脓肿
C.霍夫包或内皮细胞中“鹰眼”样包涵体
D.绒毛中嗜酸性核碎片
4. 病因不明的绒毛炎(VUE)说法不正确的是( )
A.高级别VUE伴有干绒毛血栓可能导致新生儿脑瘫
B.绒毛间质以浆细胞浸润为主
C.底板亚型通常为低级别病变
D.绒毛间质以淋巴细胞浸润为主
5. 关于慢性组织细胞性绒毛间隙炎(CHI)说法正确的是( )
A.病因可能是与母亲自身免疫性疾病有关
B.病变常累及绒毛,伴有慢性绒毛炎
C.胎盘绒毛间隙内可见密集、单一的淋巴细胞呈片状聚集
D.CHI发生率罕见,对胎儿影响不大





















