
先天性胆管囊肿这一胆管畸形病变会导致胆管系统长期处于炎症状态,因此患者并发胆管结石、囊肿癌变的风险较高。外科手术是治愈先天性胆管囊肿的唯一治疗手段,其治疗要点是尽可能彻底切除囊肿病灶以及彻底实现"胆胰分流"。非规范化的外科手术治疗会给患者带来胆肠吻合口狭窄、残余胆管囊肿甚至囊肿癌变等难以处理的术后并发症,严重影响患者生活质量,威胁患者生命。笔者团队基于东方肝胆外科医院的先天性胆管囊肿大样本回顾性研究结果,围绕先天性胆管囊肿的病理解剖学特点,提出一种新的分型系统,将胆管囊肿分为"三类五型",即肝外胆管囊肿肝门型、主干型、末端型;中央型胆管囊肿;肝内胆管囊肿局限型、弥漫型,以期能够更为精确地指导外科治疗方案的设计和实施,并降低术后远期并发症风险。
版权归中华医学会所有。
未经授权,不得转载、摘编本刊文章,不得使用本刊的版式设计。
除非特别声明,本刊刊出的所有文章不代表中华医学会和本刊编委会的观点。
先天性胆管囊肿,又称为先天性胆管囊状扩张症,是一种可发生于肝内、肝外的"节段性"孤立或多发的胆管囊状扩张状态[1]。胆管囊肿多合并慢性胆管炎,长期慢性炎症状态可继发胆管结石、胆管癌变。因此,基于"炎-癌"转化机制,胆管囊肿属于一种胆道系统癌前病变,应重视胆管囊肿的规范化外科诊疗。
胆管囊肿的外科治疗需要实现切除病灶、缓解症状和预防癌变三个重要目标[2,3,4]。因而外科治疗策略的要点为尽可能彻底切除囊肿病灶和彻底实现胆胰分流[2,5]。部分类型的胆管囊肿需兼顾大范围肝切除、胆管切缘的合理化选择、胆管整形与胆肠系统重建等多个方面,技术难度较大。此外,由于胆管囊肿往往导致肝胆系统长期慢性炎症状态,外科治疗还需充分考量患者的身体状况、营养状况、肝功能、肝储备功能等因素[3]。因此,胆管囊肿特别是特殊类型胆管囊肿的规范化外科治疗仍是当下临床治疗的难点,非合理化的治疗可能会给胆管囊肿患者带来复杂而难以处理的并发症。
胆管囊肿有多种分型系统。1977年Todani等[6]依据37例临床病例观察研究建立的Todani分型系统,目前仍是临床指导胆管囊肿外科治疗应用最为广泛的分型系统。但在长期的临床实践中,笔者发现对于某些影像学表现相近但手术处理要点相异的胆管囊肿,Todani分型未能准确描述及区分。笔者对东方肝胆外科医院2010年1月至2016年12月收治的875例胆管囊肿患者资料分析发现,其中268例患者因未得到合理诊疗而继发胆管结石、胆管残余囊肿、胆肠吻合口狭窄等远期不良后果,部分患者甚至由于囊肿或残余囊肿癌变,丧失治愈疾病的机会[7]。基于在临床工作中对胆管囊肿规范化外科治疗的要点和Todani分型局限性的理解,笔者建立了胆管囊肿"三类五型"分型系统,总结如下。
通过对东方肝胆外科医院大样本病例的回顾性分析,笔者认为,对特殊类型胆管囊肿的正确诊断、以合理的手术方案实现囊肿病灶的最大化切除以及规避胆肠吻合口狭窄的发生是胆管囊肿规范化外科治疗需要把握的三个要点。
Todani Ⅰ型胆管囊肿是临床最为常见的胆管囊肿类型。对于Ⅰa型和Ⅰb型胆管囊状扩张较为明显的患者,依据磁共振胆胰管造影等影像学检查作出正确诊断并不困难。由于Ⅰc型囊肿多表现为肝外全程梭形扩张,扩张胆管可延及左、右肝管汇合部,当合并胆总管结石时往往难以得到正确诊断。因此,具有肝外胆管梭形扩张表现和不明原因的反复肝外胆管结石复发病史者,应警惕为Ⅰc型囊肿。Todani等[8]发现,Ⅰa型、Ⅰc型及Ⅳa型囊肿多合并有胆胰管汇流异常。因此,如果影像学检查发现肝外胆管呈梭形扩张且胆胰管汇流异常者,可进一步证实合并胆管囊肿的存在(图1A)。


注:MRCP.磁共振胆胰管造影
Todani Ⅱ型囊肿是指肝外胆管憩室样扩张(图1B)。对于憩室样扩张的畸形发育胆管,笔者认为如果仅实施部分憩室切除、胆管修补术,会残留异常发育的胆管组织,术后仍有囊肿癌变的风险。因此,对Todani Ⅱ型囊肿实施肝外胆管切除、胆肠吻合术,更符合胆管囊肿合理化治疗的要义。
Todani Ⅲ型囊肿是指胆总管末端囊性脱垂(图1C)。由于囊肿位于胆总管末端,且往往胆胰管汇合情况较为复杂,因此术前对胆管囊肿类型以及胰管与胆管或囊肿的解剖关系做出正确诊断,是Todani Ⅲ型囊肿切除手术成功的关键。当发现实施胆管囊肿切除可能难以避免损伤胰管时,应做好胰十二指肠切除的手术预案,避免因术前准备不充分,术中被迫放弃囊肿根治性切除。
Todani Ⅳa型囊肿是指肝内、外胆管系统多部位存在囊状扩张。笔者团队发现,Ⅳa型囊肿主要以肝外胆管囊状扩张并发肝门部一级胆管(左、右肝管)、二级胆管分支囊状扩张为主。超过三级胆管分支的肝内胆管囊状扩张以及左、右肝管无扩张但肝内二级胆管分支以上胆管扩张病例均极为罕见。这种现象表明,当肝内、外胆管系统同时发生囊状扩张时,主要围绕胆道系统中央区域的胆管主干畸形发育,且不同部位胆管交界处的囊腔内往往存在狭窄环样结构(图1D)。对于此类囊肿,为实现"尽可能彻底切除囊肿、解除胆管腔内狭窄"的目标,需要采取大范围肝切除联合肝外胆管囊肿切除的手术方案。
笔者研究发现[7],依据囊肿好发部位的不同,手术后发生胆管残余囊肿的主要部位是胰腺段胆管囊肿和肝门部中央区域胆管囊肿。
胰腺段胆管囊肿是Ⅰ型及部分Ⅳ型胆管囊肿处理的难点。胆管囊肿多导致胆管炎和胰腺炎等囊肿周围组织炎症,当游离深入胰腺内远端胆管囊肿时有可能会出血较多、局部解剖不清,被迫放弃切除远端胆管囊肿,导致胆管囊肿残留(图2A)。此外,腹腔镜下因肝外胆管囊肿而实施胰腺段囊肿切除时,发生残留胆管囊肿的可能性较开腹手术更高[9]。


注:MRCP.磁共振胆胰管造影
针对因炎症明显而难以切除的胰腺段胆管囊肿,笔者团队提出了"胰腺段外胆管囊肿囊外全切除、胰腺段内胆管囊肿囊内黏膜剥除"联合"彻底胆胰分流"的手术治疗策略[2]。如果胰腺段囊肿炎性水肿较重、囊肿腔内剥离胆管囊肿黏膜面仍较困难时,可以放弃实施胰腺段内囊肿切除,仅作囊肿黏膜面的"烧烁"破坏处理,并在胆管囊肿末端实施囊腔内荷包缝合,完成较为彻底的"胆胰分流"措施(图2B、图2C)。这样在提高手术安全性的同时,可以有效减少残留的胆管囊肿壁组织发生癌变的几率。
对于同时合并有肝内、外胆总管扩张的Ⅳa型囊肿,患者多合并有长期反复发作的肝内胆管炎症,大范围肝切除后发生感染、肝功能衰竭等的风险较高,实施"计划性肝切除"能够有效地实现囊肿切除并降低术后肝功能衰竭等并发症的风险,对此笔者团队已有多例成功的临床实践[3]。
如果仅有肝内胆管发生囊状扩张,Todani分型归为Ⅴ型囊肿。笔者发现,还可以将肝内胆管囊肿分为局限型(图3A)和弥漫型(图3B),前者可以通过切除囊肿所在肝段或肝叶得到治愈,后者则无法通过常规手术获得治疗。当发生反复炎症迁延不愈导致肝纤维化时,唯有通过肝移植才能获得根治。


笔者对东方肝胆外科医院收治的268例胆管囊肿患者资料分析后发现,在39例既往曾接受囊肿切除的Ⅰa型囊肿患者中有38例(97.4%)术后发生了胆肠吻合口狭窄。而Ⅰc型和Ⅰb型囊肿切除术后胆肠吻合口狭窄率明显低于Ⅰa型,分别为34.5%(17/54)和11.1%(1/9)。为追求"彻底切除囊肿",外科医师会倾向性选择囊肿上方正常胆管壁作为胆管切缘,而内径细小的胆肠吻合口术后发生狭窄的几率也相应增高。此外,由于胆肠吻合口位置较高,往往会导致再次手术失败或术后吻合口再次狭窄,多次发生胆肠吻合口狭窄又会反复发生胆管炎、胆管结石,甚至会导致肝硬化、肝叶萎缩等难以处理的远期并发症。
笔者发现,Ⅰa型胆管囊肿在肝门部胆管(正常的左、右肝管)与胆管囊肿(畸形胆管)交界部,往往存在胆管内径相对狭窄的环形解剖结构。部分患者还表现为左肝管、右肝管、尾状叶胆管支等肝门部胆管以非典型解剖形式汇入胆管囊肿。上述表现在Ⅰb型胆管囊肿中少见。对于Ⅰa型和Ⅰb型胆管囊肿患者,应在胆总管最为扩张处切开囊腔,在胆管腔内对肝门部胆管汇合情况进行探查,根据探查情况及胆管囊肿部位,在临近胆管囊肿上端的环形狭窄位置下方约3~5 mm确定胆管上切缘,以形成一"喇叭口"样胆管上切缘开口,可方便实施胆肠吻合,有效规避术后胆肠吻合口狭窄。由于囊肿切除后已实现"胆胰分流",可以最大程度杜绝术后胆肠吻合口胆管侧保留的极少部分囊肿壁组织发生炎症、癌变的风险。
笔者还发现,部分Ⅰc型胆管囊肿表现为胆总管、肝总管及左肝管和(或)右肝管(一级胆管)起始部均有柱状扩张(图4),而肝内二级胆管以上部位胆管系统无异常,且此类型囊肿部分患者的肝总管腔内或左、右肝管起始部位有腔内狭窄表现。2003年Todani等[8]亦对此种现象有描述。由于此类Ⅰc型胆管囊肿主要位于左、右一级胆管及肝总管、胆总管区域,笔者认为可定义为肝门型肝外胆管囊肿,手术时如胆管腔内探查明确有狭窄环的存在,应尽可能剖开胆管狭窄处及柱状扩张的左、右肝管起始部,形成一个较大的胆道开口后进行胆肠吻合,而不应选择左、右肝管汇合部下方作为胆管囊肿上切缘,以避免胆肠吻合后胆管腔内狭窄处上方扩张胆管反复炎症及癌变发生。如果此类囊肿腔内探查肝总管与左、右肝管间无腔内狭窄环,胆管囊肿上切缘可选择左、右肝管汇合部下方。


在Todani分型系统中,对于肝外胆管扩张合并左、右肝管扩张的类型,分别归为Ⅰc型和Ⅳa型,导致对此类肝门区域胆管囊肿的分类和手术方案存在困扰和争议。Todani等[8]在其2003年的文章中对二者的区别进一步描述,将Ⅰc型囊肿描述为肝外胆管梭形扩张、弥漫形扩张或圆柱状扩张,且伴有胆胰管汇合异常,扩张胆管往往延续至肝内胆管。Todani认为Ⅰc型囊肿并发左、右肝管扩张是由于远端囊状扩张,胆管末端的压力升高导致"被动性扩张",实施肝外胆管囊肿切除后扩张的左、右肝管能够恢复至正常状态。Ⅳa型是指肝内、外胆管系统多部位并发囊性扩张。Todani认为依据肝内和肝外囊肿对应的生长形态,Ⅳa型囊肿又可分为"囊状扩张-囊状扩张"、"囊状扩张-梭状扩张"、"梭状扩张-梭状扩张"三种类型[8]。但对于Ⅰc型囊肿如何与Ⅳa型囊肿中的"梭状扩张-梭状扩张"类型相鉴别?Todani描述的"延续至肝内胆管囊状扩张的Ⅰc型囊肿"该如何与Ⅳa型囊肿相鉴别?二者的手术处理方案该如何抉择?笔者认为应对上述两种类型的囊肿清晰界定,以明确对应不同的手术方案。
此外,Todani Ⅳa型囊肿的定义,涵盖了"左、右一级肝管和胆总管、肝总管的囊状扩张"的囊肿类型,而上述胆管均属于肝外胆管系统,因此并非严格符合肝内、外胆管囊肿的定义,其外科治疗原则也应与同时伴发肝外及肝内胆管囊状扩张者作出区分。
既往已有多位学者对Todani分型的合理性、复杂性提出质疑[10,11]。笔者团队多年来在临床实践中发现,肝内、外胆管囊肿主要发生于胆道系统中央区域的主干(肝外胆管、肝门区域左、右肝叶的一级胆管及肝内二级胆管),合并肝内三级胆管分支囊状扩张者已较为罕见。现已证实,肝内胆管囊肿(Caroli病或Caroli综合征)与肝外胆管囊肿在发病机制、病理特点等方面存在较大差异,两者应分属不同类型的胆道疾病[12,13]。笔者认为TodaniⅠ~Ⅳ型囊肿仅是发生于胆管不同部位的异常发育形态,但其发病机制相同,其中以肝外胆管系统囊状扩张为多见(Ⅰ~Ⅲ型、Ⅳb型);少部分病例的胆管异常发育范围,可沿肝外胆管轴向发展至肝门部及肝内中央区域的胆管主干(Todani Ⅳa型)。因此,对以肝外胆管及肝门部一级胆管(左、右肝管)囊状扩张、合并或不合并肝内二级胆管以上分支的囊状扩张,且不同区域的胆管囊肿间存在明显的狭窄环状结构为主要特征者,笔者认为定义为"中央型囊肿"较"肝内、外胆管囊肿"的描述更为合理。
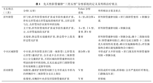
综上所述,笔者依据临床实践经验及大样本回顾性病例分析结果,根据胆管囊肿病理解剖学特点、规范化治疗的要义和手术操作要点,将先天性胆管囊肿分为:肝外肝门型、主干型及末端型;中央型胆管囊肿;肝内局限型和弥漫型等"三类五型",各种类型胆管囊肿分别对应明确的外科治疗要点(表1)。对此种分型方法指导临床治疗的价值,笔者团队将对临床相关实践病例进行持续随访观察及总结。

先天性胆管囊肿"三类五型"分型系统的定义及外科治疗要点
先天性胆管囊肿"三类五型"分型系统的定义及外科治疗要点
| 生长特点(三类) | 分型(五型) | Todani分型系统 | 外科根治方案及要点 |
|---|---|---|---|
| 肝外胆管 | 肝门型:肝外胆管梭形扩张或节段性囊状扩张,伴有左肝管或右肝管起始部梭形扩张,且肝总管与左、右肝管间存在狭窄环状结构 | Ⅰc型;部分Ⅳa型 | 肝外胆管囊肿切除+肝门部胆管整形+胆胰分流 |
| 主干型:肝外胆管梭形扩张或节段性囊状扩张,左、右肝管起始段无扩张 | Ⅰa型、Ⅰb型、Ⅱ型、Ⅳb型 | 肝外胆管囊肿切除+胆胰分流 | |
| 末端型:胆总管末端囊状扩张,胆总管中上段及肝总管无扩张 | Ⅲ型 | 肝外胆管囊肿切除+胆胰分流;胰十二指肠切除术(胆管囊肿切除后,难以完成主胰管-十二指肠乳头延续性的重建;难以实施胰肠吻合;评估胰肠吻合难以避免胰肠吻合口瘘时) | |
| 中央区域胆管 | 中央型:肝外胆管及肝门部一级胆管(左肝管及右肝管)囊状扩张,合并或不合并肝内二级胆管以上分支囊状扩张,不同区域的胆管囊肿间存在明显的狭窄环状结构,且无法通过肝门部胆管整形有效解除上述狭窄结构 | 部分Ⅳa型 | 半肝或扩大半肝切除+肝门部及肝外胆管囊肿切除+胆胰分流 |
| 肝内胆管 | 局限型:囊状扩张胆管局限于左半肝或右半肝内的单侧肝叶二级胆管分支以上部位 | Ⅴ型 | 肝段或肝叶切除;肝移植(合并严重的肝纤维化、门静脉高压者) |
| 弥漫型:双侧肝叶内多发肝段胆管囊状扩张 | Ⅴ型 | 肝移植 |
所有作者均声明不存在利益冲突





















