
应用CT影像资料研究外耳道闭锁组与狭窄组之间颞骨发育程度的差异及面神经垂直段位置的变异特征。
收集71例先天性外中耳畸形142侧颞骨CT影像资料。按照外耳道骨性段最宽处直径大小分为外耳道闭锁组、狭窄组和正常的对侧耳为对照组。比较3组颞骨Jahrsdoerfer(Js)评分值、面神经垂直段位置及乳突气房容积等的差异。
耳道闭锁组的颞骨Js评分为7.26±2.02,耳道狭窄组为8.92±1.02,耳道正常组为10±0。3组间比较差异有统计学意义(P<0.05)。在面神经垂直段起点层面,闭锁组、狭窄组分别与正常组比较,面神经向前、向外移位明显,差异有统计学意义(P<0.05);在面神经垂直段终点层面,闭锁组与正常组比较,垂直段面神经向前、外移位明显,差异有统计学意义(P<0.05),狭窄组与对照组、闭锁组与狭窄组相比,其差异无统计学意义(P>0.05)。3组间乳突气房容积比较,差异无统计学意义(P>0.05)。闭锁组和狭窄组内的Js评分与乳突气房容积、乳突气房容积与面神经至棘孔和乳突距离、Js评分与面神经至棘孔距离间关系,均成正相关。
颞骨总体发育情况与外耳道的发育基本一致,闭锁组Js评分最低,其颞骨发育相对最差。畸形外耳道(闭锁或狭窄)相对于正常外耳道而言,面神经垂直段位置变化较大,其前移、外移程度与颞骨发育情况、乳突气化大小密切相关。
版权归中华医学会所有。
未经授权,不得转载、摘编本刊文章,不得使用本刊的版式设计。
除非特别声明,本刊刊出的所有文章不代表中华医学会和本刊编委会的观点。
先天性小耳畸形是耳科常见的出生缺陷,常合并存在畸形的耳廓、耳道与中耳,故称之为先天性外中耳畸形。外耳的畸形程度与中耳的畸形密切相关,通常外耳发育越好中耳发育也越好[1]。
由于针对先天性外耳道闭锁与狭窄的治疗方式有明显不同,尤其是手术技术的差异[2],直接影响手术效果。故本研究将先天性外耳道畸形根据外耳道骨性段最宽处直径大小分为闭锁组、狭窄组与对照组。外耳道狭窄定义为骨性耳道最宽处直径<4 mm[3],包括耳道膜性闭锁,先天性外耳道狭窄伴或不伴外耳道胆脂瘤,对胆脂瘤进入鼓室的排除在外。耳道闭锁定义为外耳道的完全骨性闭锁。分别研究其颞骨发育及面神经垂直段位置变异特征,为闭锁外耳道与狭窄外耳道的手术治疗提供重要的参考。
本研究为回顾性分析。收集2008年1月~2012年12月就诊的71例先天性外中耳畸形患者的颞骨CT影像资料,共142耳。男性42例,女性29例,平均年龄11.9岁。入组标准为:临床诊断为先天性外中耳畸形患儿,颞骨高分辨率CT检查资料完备,无中耳炎病史或是其它中耳乳突病变,无外中耳手术史。外耳道闭锁定义为先天性外耳道的完全骨性闭锁,本组55耳,归入闭锁组;外耳道狭窄定义为骨性外耳道最宽处直径小于4 mm,包括外耳道的膜性闭锁或伴胆脂瘤,涉及鼓室的除外,本组41耳,归入狭窄组;对照组46耳,均为患者的正常对侧耳。3组一般情况见表1。

先天性外中耳畸形患者的一般资料
The clinic characteristic of congenital aural atresia and microtia
先天性外中耳畸形患者的一般资料
The clinic characteristic of congenital aural atresia and microtia
| 项目Item | n | 年龄(岁)Age(years) | 右侧/左侧Right/Left | 男/女Male/Female |
|---|---|---|---|---|
| 闭锁组Atresia group | 55 | 12.67±6.97 | 35/20 | 34/21 |
| 狭窄组Stenosis group | 41 | 11.58±6.96 | 18/23 | 24/17 |
| 对照组Control group | 46 | 11.30±5.69 | 18/28 | 26/20 |
颞骨高分辨率CT(西门子10,德国),以听眦线为基线,行颅底水平位扫描。扫描参数:连续层厚0.75 mm,层间距0.5 mm,140 KV,100 mAS,矩阵512×512,窗位700 HU,窗宽4000 HU。扫描所得连续断层数据图像重建成DICOM格式输出刻存于光盘中,每侧耳约80~100幅图像,后导入Mimics 10.0软件(Materialise Group,比利时)进行评估及测量。所有颞骨Jahrsdoerfer(Js)评分及影像测量均由笔者完成。
采用Js评分系统[4]对3组的颞骨CT分别进行总体评分,具体标准如下[5]。圆窗、卵圆窗开放各1分,圆窗及卵圆窗闭锁、明显狭窄或周围结构阻塞计0分;镫骨清楚看到(镫骨脚可见)计2分,以某种形式存在1分,完全缺如0分;锤砧复合体存在计1分,存在严重畸形(如锤骨柄、砧骨长脚缺失)为0分;砧磴关节存在计1分,明确存在分离0分;面神经计1分,术前已知面神经功能受损、面神经位于卵圆窗或是其他影响手术入路的位置0分;乳突气化好、超过迷路(完全气化的鼓室上隐窝和鼓室窦至少延伸到乳突)计1分,鼓室腔未气化或是不透明0分;耳廓轻度畸形计1分,严重畸形(如外耳缺失或是仅剩皮肤或软骨)计0分。
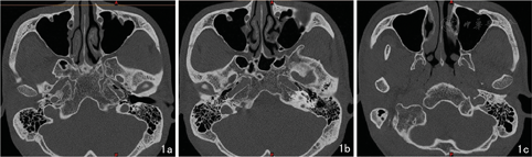
先在颞骨轴位层面准确定位解剖位置恒定的棘孔位置(图1a),作一条过棘孔中点的水平线,确定为过棘孔中点的冠状面。保持这条水平线不变,寻找面神经垂直段的起点(第二膝末端)和终点(茎乳孔层面)。在面神经垂直段起点和终点层面,分别测量面神经垂直段至棘孔及面神经至乳突的距离(图1b、图1c)。测量数据分别可以准确反映面神经前、后方向的位移改变。颞骨轴位层面上,准确定位面神经垂直段起点和终点后(图1b、图1c),在这两个层面,分别作一条过乳突最凸点的前后方向切线,测量面神经垂直段至过乳突切线的距离。这个距离可以一定程度反映面神经垂直段是否外移。


颞骨CT影像数据导入Mimics 10.0软件后,先用阈值分割功能对气体组织进行分离,后用区域增长和三维重建技术对乳突气房系统进行三维重建,可以准确、客观地计算出乳突气房系统的容积值。阈值分割的下限阈值为-1 024 Hu,上限阈值为-221 Hu。
使用Stata 10.0(StataCorp LP)软件进行统计分析。成组t检验用于闭锁组、狭窄组和对照组之间各测量值的两两比较;Spearman秩和相关检验用于各参数之间的相关性分析,以P<0.05为差异有统计学意义。
3组间Js评分、乳突气房容积及面神经垂直段位置两两比较,除了乳突气房容积外,其余各参数之间差异均有统计学意义(P<0.05),见表2、表3。

3组间Js评分值大小、乳突气房容积大小及面神经垂直段位置的比较
The comparative results for Js grading scores, mastoid cell volume and the position of vertical facial nerve among the three groups
3组间Js评分值大小、乳突气房容积大小及面神经垂直段位置的比较
The comparative results for Js grading scores, mastoid cell volume and the position of vertical facial nerve among the three groups
| 项目(Item) | A(Mean±SD) | S(Mean±SD) | C(Mean±SD) |
|---|---|---|---|
| Js评分(Js grading system) | 7.26±2.02^* | 8.92±1.02^^* | 10.00±0.00△* |
| 乳突气房容积(Mastoid cell volume,ml) | 3.57±1.88^** | 3.83±2.37^^** | 4.28±1.60△** |
| 起点FN-SF距离(Distance from FN to SF in start point,mm) | 14.41±1.96^* | 15.47±2.31^^** | 17.56±2.12△* |
| 终点FN-SF距离(Distance from FN to SF in end point,mm) | 20.74±2.92^* | 20.36±2.91^^** | 18.92±3.04△** |
| 起点FN-MP距离(Distance from FN to MP in start point,mm) | 18.91±2.95^* | 20.35±2.93^^** | 20.74±2.92△* |
| 终点FN-MP距离(Distance from FN to MP in end point,mm) | 16.58±2.75^* | 16.84±3.05^^** | 17.55±2.90△** |
注:A闭锁组,S狭窄组,C对照组。FN面神经垂直段,SF棘孔,MP过乳突最凸点的切线。FN-SF面神经垂直段中心点至棘孔中心点距离,FN-MP面神经垂直段中心点至乳突切线的距离;^A与C相比,^^S与A相比,△S与C相比,*P<0.05,**P>0.05(Note: A represents the atresia group, S represents the stenosis group, C represents the control group. FN-SF represents the distance from facial nerve to the spinous foramen, FN-MP represents the distance from facial nerve to the mastoid process, ^A versus C,^^S versus A,△S versus C,*P<0.05,**P>0.05)

三组内面神经垂直段位置改变大小的两两比较
The position changes of the vertical facial nerve among atresia, stenosis and control groups
三组内面神经垂直段位置改变大小的两两比较
The position changes of the vertical facial nerve among atresia, stenosis and control groups
| A与C(A versus C) | S与C(S versus C) | A与S(A versus S) | |
|---|---|---|---|
| 前移(起点)(mm)Anter-displacement (Starting point,mm) | 3.1* | 2.1* | 1.1* |
| 前移(终点)(mm)Anter-displacement (End point,mm) | 1.82* | 1.44** | 0.38** |
| 外移(起点)(mm)Lateral-displacement (Starting point,mm) | 1.83* | 0.39* | 1.44* |
| 外移(终点)(mm)Lateral-displacement (End point,mm) | 0.97* | 0.71** | 0.26** |
注:A闭锁组,S狭窄组,C对照组。*P<0.05,**P>0.05, 3.1是指闭锁组与正常组相比,闭锁组面神经前移3.1 mm,其它数值类似(Note: A represents the atresia group, S represents the stenosis group, C represents the control group.*P<0.05,**P>0.05. 3.1 the distance of facial nerve anteriorly displaced is 3.1mm atresia group compared with normal group. Other numbers are the same meaning)
Spearman秩相关检验发现,闭锁组与狭窄组内Js评分与乳突气房容积、面神经至棘孔、乳突的距离成正相关。见表4、表5。

闭锁组内Js评分分别与乳突气房容积、面神经垂直段位置的相关性检验
The rank correlation results for Js grading system with mastoid cell volume and the position changes of the vertical facial nerve in atresia group
闭锁组内Js评分分别与乳突气房容积、面神经垂直段位置的相关性检验
The rank correlation results for Js grading system with mastoid cell volume and the position changes of the vertical facial nerve in atresia group
| 参数(Parameters) | r | P | |
|---|---|---|---|
| 乳突气房容积(ml)Mastoid cell volume(ml) | 0.38 | <0.01 | |
| FN-SF距离(mm)Distance from FN to SF(mm) | FN垂直段起点Start point of VFN | 0.33 | <0.05 |
| FN垂直段终点End point of VFN | 0.07 | >0.05 | |
| FN-MP距离(mm)Distance from FN to MP(mm) | FN垂直段起点Start point of VFN | 0.36 | <0.01 |
| FN垂直段终点End point of VFN | 0.36 | <0.05 |
注:VFN垂直段面神经(Notes: VFN The vertical facial nerve)

狭窄组内Js评分分别与乳突气房容积、面神经垂直段位置的相关性检验
The rank correlation results for Js grading system with mastoid cell volume and the position changes of the vertical facial nerve in stenosis group
狭窄组内Js评分分别与乳突气房容积、面神经垂直段位置的相关性检验
The rank correlation results for Js grading system with mastoid cell volume and the position changes of the vertical facial nerve in stenosis group
| 参数(Parameters) | r | P | |
|---|---|---|---|
| 乳突气房容积(ml)Mastoid cell volume(ml) | 0.25 | >0.05 | |
| FN-SF距离(mm)Distance from FN to SF(mm) | FN垂直段起点Start point of VFN | 0.25 | >0.05 |
| FN垂直段终点End point of VFN | 0.13 | >0.05 | |
| FN-MP距离(mm)Distance from FN to MP(mm) | FN垂直段起点Start point of VFN | 0.33 | <0.05 |
| FN垂直段终点End point of VFN | 0.29 | >0.05 |
注:VFN垂直段面神经(Notes: VFN The vertical facial nerve)
Spearman秩相关检验发现,闭锁组与狭窄组内乳突气房容积与面神经垂直段至过棘孔冠状面、乳突切线距离成正相关,即乳突气化越好,面神经至棘孔、乳突切线距离越大。见表6、表7。

闭锁组内面神经垂直段位置改变与乳突气房容积的相关性检验
The rank correlation results between the position changes of the vertical facial nerve and mastoid cell volume in atresia group
闭锁组内面神经垂直段位置改变与乳突气房容积的相关性检验
The rank correlation results between the position changes of the vertical facial nerve and mastoid cell volume in atresia group
| 参数(Parameters) | r | P | |
|---|---|---|---|
| FN-SF距离(mm)Distance from FN to SF(mm) | FN垂直段起点Start point of VFN | 0.10 | >0.05 |
| FN垂直段终点End point of VFN | 0.05 | >0.05 | |
| FN-MP距离(mm)Distance from FN to MP(mm) | FN垂直段起点Start point of VFN | 0.10 | >0.05 |
| FN垂直段终点End point of VFN | 0.04 | >0.05 |
注:VFN-垂直段面神经(Notes: VFN-The vertical facial nerve)

狭窄组内面神经垂直段位置改变与乳突气房容积的相关性检验
The rank correlation results between vertical facial nerve position and mastoid cell volume in stenosis group
狭窄组内面神经垂直段位置改变与乳突气房容积的相关性检验
The rank correlation results between vertical facial nerve position and mastoid cell volume in stenosis group
| 参数(Parameters) | r | P | |
|---|---|---|---|
| FN-SF距离(mm)Distance from FN to SF(mm) | FN垂直段起点Start point of VFN | 0.23 | >0.05 |
| FN垂直段终点End point of VFN | 0.09 | >0.05 | |
| FN-MP距离(mm)Distance from FN to MP(mm) | FN垂直段起点Start point of VFN | 0.31 | >0.05 |
| FN垂直段终点End point of VFN | 0.14 | >0.05 |
注:VFN-垂直段面神经(Notes: VFN-The vertical facial nerve)
先天性外耳道闭锁病人,面神经第二膝经常前移,可前移至圆窗龛层面(图2),面神经垂直段甚至前移至颞下颌关节所在区域[7]。


采用Jahrsdoerfer评分系统[4]对颞骨总体发育情况进行分析,对比先天性畸形外耳道组内及其与正常耳道组的颞骨发育情况。评估发现先天性外耳道闭锁组的Js评分明显低于正常组,提示先天性外耳道闭锁患者的颞骨发育明显差于正常耳道者[6];Js评分耳道狭窄组高于闭锁组约1.66分,耳道正常组高于狭窄组1.08分、高于闭锁组约2.74分且3组相比差异有统计学意义(P<0.05)。可见外耳道狭窄的颞骨发育明显差于正常耳但好于闭锁耳,其颞骨发育介于闭锁组与正常组之间。耳道作为颞骨的一部分,其发育情况可以充分反映出颞骨的整体发育情况。对颞骨Js评分的研究,有助于对先天性外中耳畸形手术对象的选择及加深对不同耳道发育情况下颞骨发育的认识。
颞骨气化群包括乳突气房群、鼓室腔、咽鼓管和岩尖气房群。对手术而言,气化好的乳突,脑板下方可以有更多的手术空间,方便上鼓室和中耳腔区域的手术操作[7]。文献报道平均正常成年人的乳突气房容积约8 ml,平面面积约12 cm2[8]。本研究测量闭锁组、狭窄组和对照组的乳突气房容积分别为3.4 ml、3.8 ml和4.3 ml,与文献[9]和[10]的结果不尽相同,考虑与研究对象、人种不同[9]、研究所用测量方法及软件不同[10]有关。不同软件下阈值范围的限定对于精确地容积测定非常重要:阈值设定范围太高,容易包括低密度的软组织影,导致测量的容积值偏高;阈值范围设定太低,容易遗漏乳突内气体,造成测量的容积值偏低。本研究可以看出畸形耳道的乳突气房容积明显小于对照组,提示畸形耳道情况下,乳突气化比正常人明显变差,脑板下方手术空间相对减少,导致涉及上鼓室、中耳腔区域的手术难度增加。
先天性外中耳畸形患者的外耳道成形和或听力重建术充满挑战性,原因之一即先天性外中耳畸形患者多伴有不同程度的面神经走行异常,如面神经垂直段前移,甚至是覆盖于卵圆窗;面神经外移,甚至走形于鼓室外侧壁等,使得术前准确评估面神经的走行难度增加,手术风险大大增加[6]。Takegoshi报道,II度和III度耳廓畸形患者的面神经垂直段与I度耳廓畸形者相比,明显前移3 mm,可能为面神经第二膝发育不全导致[11]。本文发现,无论是在面神经垂直段起点还是终点层面,闭锁组与正常组、狭窄组相比,狭窄组与正常组相比,面神经明显前移、外移,提示畸形耳道相对于正常耳道,闭锁耳道相对于狭窄耳道,面神经垂直段都存在前移、外移走行,术中面神经损伤的风险,畸形耳道明显高于正常人的外中耳其它手术,闭锁耳道明显高于狭窄耳道,这种现象应该引起耳科医生的足够重视。
对畸形耳道(狭窄耳道和闭锁耳道)的Js评分、乳突气房容积及面神经垂直段位置变化进行相关研究发现:颞骨总体发育越好,乳突气化越好;面神经垂直段起点(第二膝)、终点层面,Js评分越高,面神经前移、外移越少,Js评分越低,面神经前移、外移越多;乳突气化越好,面神经垂直段前移、外移越不明显。提示颞骨总体发育越好,乳突气化越好,面神经畸形走行越少。因此,术前详细了解颞骨总体发育及乳突气化情况,对减少术中面神经损伤显得尤为重要。
总之,颞骨总体发育情况与耳道的发育基本一致,闭锁组Js评分最低,其颞骨发育相对最差。畸形耳道(闭锁耳道和狭窄耳道)相对于正常耳道而言,面神经垂直段位置变化较大,其前移、外移程度与颞骨发育情况、乳突气化大小密切相关。





















