
人疱疹病毒6型感染所致脑膜脑炎常见于获得性免疫缺陷综合征患者或移植术后患者,罕见于免疫正常成人。该病临床表现为头痛、嗜睡、昏迷、癫痫发作、精神症状和神经系统定位体征等,抗病毒治疗有效,治疗不及时则预后不良。文中总结分析了天津市海河医院2019年10月收治的1例人疱疹病毒6型感染所致脑膜脑炎患者的临床资料。患者反复发病,临床表现无特异性,不易诊断,脑脊液二代测序可提高其检测率。
版权归中华医学会所有。
未经授权,不得转载、摘编本刊文章,不得使用本刊的版式设计。
除非特别声明,本刊刊出的所有文章不代表中华医学会和本刊编委会的观点。
病毒性脑膜炎以往传统诊断方法有限,大多数的患者不能明确其病原学。近年来随着脑脊液病原学诊断手段的日趋进步,尤其是脑脊液病原学二代测序(next generation sequencing)方法推广以来,脑膜炎的病原学诊断阳性率大幅提高。国外报道的成人人疱疹病毒6型(human herpes virus 6,HHV-6)感染病毒性脑膜炎或脑膜脑炎非常少见,国内亦鲜有报道。现将我院1例经脑脊液二代测序检测出HHV-6感染引起的病毒性脑膜脑炎报道如下。
患者男性,40岁,主因“头痛伴间断意识障碍7 d”于2019年10月 30日就诊于天津市海河医院神经内科。患者于入院前7 d无明确诱因出现头痛不适,为左半侧头痛,程度轻时为局部疼痛,程度重时整个左侧头痛,不伴发热,伴有间断意识障碍2次:第1次表现为双眼发直、意识不清,不伴肢体抽搐、大小便失禁、舌咬伤,症状持续约半小时缓解;第2次表现为头晕伴视物旋转,继之出现意识丧失,持续约10 min后恢复意识,但仍不能顺畅沟通,词不达意,自述能认人,但说不出其名字。期间伴有恶心,呕吐1次,呕吐物为胃内容物。不伴肢体活动障碍,不伴肢体抽搐。症状持续约3 h缓解。患者遂就诊于天津市环湖医院,行腰椎穿刺提示颅内压250 mmH2O(1 mmH2O=0.009 8 kPa),脑脊液化验提示白细胞轻度增高,单核细胞为主,蛋白轻度增高,葡萄糖、氯化物正常(表1),考虑“颅内感染”转入我院。约20年前,患者曾2次患“结核性脑膜脑炎”,表现均与此次发病类似,未遗留后遗症。

人疱疹病毒6型感染脑膜脑炎患者入院后腰椎穿刺结果
Lumbar puncture results of the patient with human herpesvirus type 6 after admission to hospital
人疱疹病毒6型感染脑膜脑炎患者入院后腰椎穿刺结果
Lumbar puncture results of the patient with human herpesvirus type 6 after admission to hospital
| 检测日期 | 颅压(mmH2O) | 白细胞 (×106/L) | 单核细胞 比例 | 蛋白(g/L) | 葡萄糖(mmol/L) | 氯化物(mmol/L) | 腺苷脱氨酶(U/L) | 乳酸 (mmol/L) |
|---|---|---|---|---|---|---|---|---|
| 10月29日 | 250 | 84 | 0.59 | 0.58 | 3.5 | 124 | 1.8 | 2.60 |
| 10月31日 | 180 | 103 | 0.90 | 0.42 | 3.1 | 126 | 1.4 | 1.96 |
| 11月7日 | 170 | 77 | 0.95 | 0.38 | 3.1 | 126 | 1.8 | 2.05 |
| 11月13日 | 165 | 40 | 0.95 | 0.31 | 3.3 | 126 | 1.3 | 2.08 |
| 11月28日 | 140 | 11 | 未检出 | 0.27 | 3.5 | 130 | 2.2 | 2.08 |
注:1 mmH2O=0.009 8 kPa
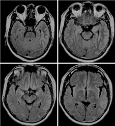
本次入院体检:体温36.6 ℃,脉搏83次/min,呼吸18次/min,血压140/93 mmHg(1 mmHg=0.133 kPa),心肺腹未见异常,意识清楚,言语流利,精神可,脑神经正常,高级神经活动正常,四肢肌力Ⅴ级,肌张力正常,两侧肢体触觉、痛觉、位置觉无减退,指鼻试验、跟膝胫试验稳准,四肢腱反射(++),左侧Babinski征可疑阳性,右侧Babinski征未引出,颈抵抗,颏下约2横指,Kernig征、Brudzinski征阴性。辅助检查:尿便常规、血糖、电解质、凝血功能、心肌标志物、甲状腺功能、免疫全项、肿瘤系列、红细胞沉降率均正常,输血四项(乙肝表面抗原、丙型肝炎抗体、梅毒螺旋抗体、人类获得性免疫缺陷病毒)均阴性,直接胆红素4.1 μmol/L(正常值0~3.4 μmol/L),谷氨酰转移酶106 U/L(正常值0~60 U/L),尿酸451 μmol/L(正常值208~428 μmol/L),血白细胞计数12.81×109/L[正常值(4~10)×109/L],中性粒细胞绝对值9.2×109/L[正常值(2~7.5)×109/L],C反应蛋白13.4 mg/L(正常值0~8.0 mg/L)。风湿抗体:抗链“O”试验697 IU/ml(正常值0~200 IU/ml),余项均正常,抗中性粒细胞胞质抗体阴性。脑脊液结核分枝杆菌DNA、RNA检测均阴性。脑脊液结核抗体、隐球菌抗原检测均阴性。脑脊液结核分枝杆菌培养、真菌培养、普通菌培养均阴性。脑脊液革兰染色、墨汁染色、结核菌涂片均阴性。脑脊液猪囊虫抗体、布鲁杆菌抗体均阴性。送检天津市儿童医院结果示:脑脊液风疹病毒IgM、柯萨奇病毒IgM+IgG、巨细胞病毒IgM、EB病毒抗体、单纯疱疹病毒1型抗体、单纯疱疹病毒2型抗体均阴性;风疹病毒、巨细胞病毒、单纯疱疹病毒、肺炎支原体、结核杆菌DNA均阴性。送检北京协和医院结果示:血和脑脊液自身免疫性脑炎抗体(抗N-甲基-D-天冬氨酸受体抗体、抗接触蛋白相关蛋白2抗体、α氨基-3-羟基-5-甲基-4-异噁唑丙酸1型受体抗体、α氨基-3-羟基-5-甲基-4-异噁唑丙酸2型受体抗体、富亮氨酸胶质瘤失活1蛋白抗体、γ-氨基丁酸B型受体抗体、抗谷氨酸脱羧酶65抗体)均阴性。送检北京海思特医学检验实验室结果示:脑脊液抗水通道蛋白4抗体IgG阴性,血和脑脊液抗胶质纤维酸性蛋白抗体IgG阴性,血抗髓鞘少突胶质细胞糖蛋白抗体IgG阴性。头颅MRI示左侧颞枕顶叶脑回略肿胀,左枕顶叶脑回及部分脑沟炎性改变(图1)。头颅MRV增强扫描未见明显异常。


本次诊疗经过:入院后给予阿昔洛韦抗病毒、头孢曲松抗炎,甘露醇脱水降颅压治疗。入院后行腰椎穿刺提示颅压180 mmH2O,脑脊液化验结果见表1;入院第14天复查腰椎穿刺颅压为165 mmH2O。脑脊液送检天津华大医学检验所进行二代测序检测,对样本中的核酸进行检测,鉴定样本中存在的可疑致病微生物,可检测范围包括基因组序列已知的6 350种细菌(其中包括174种分枝杆菌和137种支原体/衣原体/立克次体)、1 798种DNA病毒、1 064种真菌和234种寄生虫。采用高通量测序技术,对样本中微生物核酸序列进行分析,通过与数据库中已有微生物的核酸序列进行比较,从而对微生物进行鉴定。检测结果提示人类β疱疹病毒6A型,检出序列数200(图2)。明确诊断为HHV-6感染脑膜脑炎,遂将阿昔洛韦更改为更昔洛韦抗病毒治疗,停用头孢曲松,4周后患者症状好转出院。随访2个月患者症状稳定,无头痛、癫痫发作。


HHV-6具有疱疹病毒的典型形态学特征。该病毒是由1986年Salahuddin等[1]首次从艾滋病和淋巴增生性疾病患者的外周血单个核细胞中分离出一种新型的疱疹病毒。HHV-6分为HHV-6A和HHV-6B两型,其同源序列在96%以上。成人的初次感染是相对罕见的,而潜伏感染或重新激活往往发生在免疫缺陷患者,特别是在人类免疫缺陷病毒感染的患者。免疫低下潜伏感染的再激活可引起发热、皮疹、肺炎、肝炎,而脑膜脑炎则罕见。虽然HHV-6引起的中枢神经系统感染曾有报道,甚至有报道过死亡病例[2, 3],但是既往大部分学者均认为在免疫功能正常的成人中HHV-6的致病性不能确定。
HHV-6所致脑膜脑炎患者的临床症状和脑脊液化验无特异性,常见的临床表现有头痛、嗜睡、昏迷、癫痫发作、癫痫持续状态、精神症状和神经系统定位体征(如颈抵抗)等。目前研究发现HHV-6感染可直接影响大脑,导致在没有发烧的情况下出现抽搐。在原发性感染或复发性惊厥患者的脑脊液中都曾检测到HHV-6 DNA的存在[4]。有文献报道如果早期不及时治疗,患者可能出现复发或遗留轻度神经系统后遗症[5]。神经系统的并发症很可能是由HHV-6直接感染中枢神经系统所致。
对于病毒性脑膜炎,以往传统诊断方法包括病毒学检测、血清学诊断、分子生物学检测。病毒学检测培养法非常费时,敏感度差,病毒抗原的检测标本采集困难,不宜作为病毒的快速诊断方式。血清学检测疱疹病毒抗体,一般在感染开始的10~12 d出现,同时可与其他的病毒感染产生交叉反应,导致诊断的敏感度和特异度大大降低[6],不适用于早期诊断,因脑脊液疱疹病毒抗体产生太迟,对于早期的诊断及治疗常常无指导作用,因此只能作为回顾性诊断[7, 8, 9]。分子生物学包括各种核酸杂交技术和PCR技术,具有快速、敏感度高以及样本采集容易的优点,可作为检测的手段,但PCR检测脑脊液病原学方面仍有一定的局限性,仍有大多数患者不能明确其病原学。
随着近年来脑脊液病原学诊断手段的进步,特别是脑脊液病原学二代测序方法推广以来,脑膜炎的病原学诊断阳性率明显提高[10]。国内外研究表明,脑脊液二代测序可以提高中枢神经系统感染,尤其是病毒性脑膜炎/脑炎的诊断率和准确性[11]。有学者建议,在感染早期或者应用抗病毒药物之前应采样进行脑脊液二代测序[12]。本例患者20年前曾有2次脑膜炎病史,均被诊断为“结核性脑膜炎”。此次发病症状均与前2次发病表现相似,以头痛、癫痫为主要症状,不伴有发热,脑脊液检查提示白细胞轻度增高,细胞以单核为主,蛋白轻度增高,葡萄糖、氯化物正常,脑脊液革兰染色、抗酸染色、墨汁染色均阴性,脑脊液细菌培养、真菌培养、结核分枝杆菌培养均阴性,脑脊液结核分枝杆菌DNA、RNA均阴性。脑脊液病毒抗体及病毒DNA均阴性。最终经二代测序明确诊断为HHV-6感染所致脑膜脑炎。该病例的诊疗经过也表明,脑脊液二代测序对于病原学的检出率高于传统检测方法。
鉴于HHV-6型脑膜炎在免疫功能正常成人中的罕见性,目前尚无公认的标准治疗指南。美国传染病学会的临床实践指南建议用膦甲酸钠或更昔洛韦作为HHV-6脑炎的一线治疗方法[13]。现在临床上常用的抗HHV-6药物有膦甲酸、更昔洛韦、阿昔洛韦、西多福韦等。研究显示在体外更昔洛韦、西多福韦和膦甲酸对都有活性,而阿昔洛韦却没有;另外,西多福韦在体外是HHV-6最强的抑制剂[14]。但这些药物的研究多是离体实验,其结论无法对体内药物的敏感性做出准确的预测。且本病尚无有效的疫苗。本例患者入院时给予阿昔洛韦抗病毒治疗,头孢曲松抗炎治疗,甘露醇脱水降颅压治疗。后在脑脊液二代测序提示HHV-6感染且患者仍有癫痫发作症状的情况下,调整阿昔洛韦为更昔洛韦,停用头孢曲松抗炎治疗。经更昔洛韦治疗14 d后患者临床症状明显缓解,复查脑脊液大致正常后出院。随访2个月症状无反复,且脑脊液化验恢复良好。
总之,HHV-6是引起免疫功能正常成人感染脑膜炎的罕见病因,临床症状也不典型,容易误诊或漏诊,如不及时治疗影响预后,且可留有神经功能障碍后遗症,脑脊液病原学二代测序方法可以明显提高对脑膜炎的病原学诊断阳性率。
所有作者均声明不存在利益冲突
None declared





















