
版权归中华医学会所有。
未经授权,不得转载、摘编本刊文章,不得使用本刊的版式设计。
除非特别声明,本刊刊出的所有文章不代表中华医学会和本刊编委会的观点。
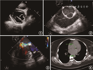
患者 女性,22岁,因“房间隔缺损修补+二尖瓣成形术后8年,活动后胸闷不适2个月余”于2020年4月11日至我院门诊就诊。8年前因“发现心脏杂音10余年”在外院就诊,诊断为二孔型房间隔缺损、二尖瓣前叶脱垂并重度关闭不全,于2013年4月3日行房间隔缺损补片修补+二尖瓣瓣环成形+双孔成形术。2013年5月6日外院超声心动图提示房间隔未见分流,二尖瓣关闭对合欠佳,轻度反流,左心房内径32 mm,左心室舒张末内径47 mm,射血分数54%,主动脉窦部内径32 mm。后定期随访,无不适主诉。近2个月患者自觉活动后胸闷、气促不适,无咳嗽、咳痰、胸痛、夜间不能平卧、端坐呼吸,否认发热史,双下肢未见水肿,遂至我院就诊。患者母亲33岁时猝死。体检:蜘蛛指,胸椎、腰椎侧弯,屈光不正-4.00 D,一般情况可,心前区可见陈旧性手术瘢痕,心尖部可及3/6级收缩期杂音。我院超声心动图提示为房间隔缺损修补术后,心房水平未见残余分流,二尖瓣成形术后呈双口状且后叶脱垂伴中重度二尖瓣反流,主动脉窦部明显增宽(48 mm),左心房内径37 mm,左心室内径51 mm,射血分数62%(图1~3)。胸部CT检查结果提示主动脉窦部增宽(图4)。入院诊断为马方综合征,房间隔缺损和二尖瓣成形术后,二尖瓣关闭不全,主动脉根部瘤,心功能(纽约心脏病协会分级)Ⅱ级。


患者入院后完善术前检查,于2020年4月15日行手术治疗。术中经食管超声心动图证实术前检查结果,见主动脉瓣不增厚,瓣膜形态正常,主动脉瓣轻微反流。仔细评估后决定行二尖瓣再次成形术+David手术。术中探查见患者二尖瓣A2-P2缘对缘缝合,P1和前瓣环行瓣环成形术,瓣环在位,未见缝线撕脱,瓣叶质地尚可,注水试验提示反流呈两束;遂拆除缘对缘缝合,楔形切除P2部分瓣叶,5-0聚丙烯缝线连续缝合瓣叶,注水试验提示C1处仍有反流束;予折叠C1-P1处瓣叶,取Edward C型二尖瓣成形环作P2和P3处瓣环成形,注水试验提示二尖瓣无瓣叶对合良好,无反流。游离主动脉窦壁至左心室流出道水平,切除扩张的窦部,纽扣式游离左、右冠状动脉开口,3针4-0聚丙烯缝线带毡片褥式悬吊3个主动脉瓣交界,用3 F测瓣器测量主动脉瓣环直径,并参考术前超声心动图测得窦管交界直径,选择28号带Valsalva窦人工血管,6针2-0瓣环线间断水平褥式缝合锚定主动脉瓣环与人工血管,再用悬吊的3针4-0聚丙烯缝线将瓣膜交界和保留的主动脉瓣管壁组织连续缝合固定至人工血管内壁,5-0聚丙烯缝线连续吻合左、右冠状动脉开口,注水试验结果提示主动脉瓣对合良好,再将人工血管吻合至远端健康的升主动脉。术后经食管超声心动图提示二尖瓣和David手术后未见异常。手术时间280 min,心肺转流时间171 min,主动脉阻断时间148 min;术后6 h拔除气管插管,17 h返回普通病房,术后第3天拔除心包纵隔引流管,总引流量600 ml。术后第7天患者恢复良好出院,住院期间未滴注血制品,术后华法林抗凝治疗6个月。
二尖瓣成形术后再反流的常见原因有技术和瓣膜两个方面,前者包括瓣叶或瓣环缝合撕脱、人工腱索断裂、缘对缘技术欠佳等,后者包括瓣叶病变进展、感染性心内膜炎等[1]。本例患者前次术后1个月超声心动图即显示二尖瓣前后瓣叶对合欠佳,仍有轻度反流,提示A2-P2缘对缘缝合未能取得满意效果,这可能是患者术后8年出现缘对缘处后瓣叶脱垂及中重度反流的原因。本次术中探查见A2-P2缘对缘缝合两侧仍有两束反流,且二尖瓣瓣环缝合位置有误,未缝合至后瓣环,故拆除原缘对缘缝线。考虑到前次手术置入的成形环无瓣环撕脱等情况,拆除后可能损伤瓣环、影响David手术实施,故保留原成形环,在剩余未做环缩的P2和P3瓣环处水平褥式缝合7针,行二尖瓣瓣环成形。术后超声心动图提示二尖瓣无反流。
根据2010年修订版Ghent诊断标准,患者为马方综合征,主动脉窦部扩张(根部内径为48 mm),需考虑是否同期处理主动脉根部病变。患者有猝死家族史,理应更积极地采取手术处理,但患者为年轻女性,有生育要求,经与患者充分沟通,我们选择了David手术,切除病变的主动脉组织,保留主动脉瓣,以避免Bentall手术置入机械瓣后抗凝治疗引起的并发症风险[2]。术后超声心动图提示主动脉瓣未见反流,手术效果满意。根据我们的经验,David手术后主动脉根部出血风险不高于Bentall手术[3],止血并不困难。本例患者为第二次手术,但术后止血时间不到半小时,术中出血量仅400 ml,术后总引流量600 ml,住院期间未滴注血制品,手术效果满意。David手术对术者技术、经验要求较高,而再次手术时主动脉根部黏连等更增加手术难度,因此,病例选择应更为谨慎,术者应具备大量David手术和再次瓣膜手术的经验后方可尝试。本例患者为年轻未婚女性,有生育要求,且主动脉根部内径<50 mm,二尖瓣成功修复也为后续David手术提供了条件;如二尖瓣修复失败,需行二尖瓣机械瓣置换术,如患者主动脉根部>50 mm或瓣环明显扩张,则推荐直接行Bentall手术。
所有作者均声明不存在利益冲突





















