
版权归中华医学会所有。
未经授权,不得转载、摘编本刊文章,不得使用本刊的版式设计。
除非特别声明,本刊刊出的所有文章不代表中华医学会和本刊编委会的观点。
爱泼斯坦-巴尔病毒(Epstein-Barr virus,EBV)感染所致的中枢神经系统损害包括脑炎、脑膜炎、急性脊髓炎、多发脊神经根炎以及格林巴利综合征等。这些损害可以单独发生,也可以合并出现,其中以EBV感染性脑膜炎和急性脊髓炎多见,少部分为EBV感染性脑膜脑脊髓炎,但同时累及脑干、软脑膜、脊髓及脊神经根者罕见。笔者现将郴州市第一人民医院儿童神经内科收治的1例EBV感染致脑膜脑脊髓炎及脊神经根炎患者的诊治经过报道如下,旨在提高对该病的认识。
患儿 男,9岁,因"发热头痛5 d"于2019年3月8日入院。患儿母亲代诉患儿于入院前5 d无明显诱因出现发热、头痛,热型不规则,体温最高达38.9 ℃,头痛呈阵发性前额部疼痛,发热时明显,热退后疼痛稍缓解。于当地医院诊治后仍有反复发热,遂转至我院进一步治疗。患儿既往体质一般,否认特殊病史,个人史和家族史均无特殊,否认蚊虫叮咬、动物抓咬伤和传染性疾病接触史,生长发育状况与正常同龄儿童相仿。内科体检:体温36.4 ℃,脉搏95次/min,呼吸频率22次/min,血压95/58 mmHg(1 mmHg=0.133 kPa),咽红,咽峡部未见明显疱疹,双侧扁桃体Ⅱ度肿大,心肺腹无异常,手足无皮疹,双下肢无水肿。神经系统体检:神志清楚,精神反应稍差,体检欠配合,双侧瞳孔等大等圆,对光反射灵敏,颅神经征(-);四肢肌力、肌张力及浅感觉均正常,四肢反射对称,腱反射(++),颈抗阳性,双侧Kernig征、Brudzinski征阴性,病理征未引出。辅助检查:血常规示单核细胞比例增高(14.6%,正常值3.0%~10.0%)。电解质示钾离子减低(3.05 mmol/L,正常值3.50~5.30 mmol/L)、钠离子减低(132.1 mmol/L,正常值135.0~145.0 mmol/L)。大小便常规、肝肾功能、心肌酶、C反应蛋白、血沉、术前抗体三项均大致正常,呼吸道病毒七联检均阴性。腰椎穿刺脑脊液常规检查示其外观无色、透明,压力未测,白细胞计数增高[220×106/L,正常值(0~10)×106/L],单个核细胞比例增高达99%;脑脊液细胞学检查示白细胞计数高度增高(213.0×106/L),以淋巴细胞为主;脑脊液生化示蛋白水平升高(1562 mg/L,正常值150~450 mg/L),其余糖、氯化物水平均正常。颅脑及脊髓MRI增强扫描示双侧大脑半球及脑干表面柔脑膜稍增厚强化,C2~T11椎体水平脊髓内异常信号,增强后可见强化,部分脊膜及双侧脊神经强化,并可见脑干异常信号(图1)。对患儿予以抗感染、脱水等对症支持处理,1周后患儿逐渐出现胡言乱语、意识障碍及大小便障碍,双上肢肌力下降至4级,右下肢肌力下降至3级,左下肢肌力下降至2级。复查腰穿脑脊液结果较上次变化不大,脑脊液及血清抗水通道蛋白4(AQP4)、髓鞘碱性蛋白(MBP)、髓鞘少突胶质细胞糖蛋白(MOG)抗体阴性;脑脊液及血清N-甲基-D-天冬氨酸受体(NMDAR)型抗体、α-氨基-3-羟基-5-甲基-4-异恶唑丙酸(AMPA)1型抗体、AMPA2型抗体、抗富亮氨酸胶质瘤失活蛋白抗体、抗接触蛋白关联蛋白2(CASPR2)、抗γ-氨基丁酸B型(GABAB)受体抗体IgG阴性;脑脊液病原微生物高通量基因检测发现EBV,诊断为EBV感染性脑膜脑脊髓炎。对患儿予以加用阿昔洛韦抗病毒、大剂量甲强龙冲击治疗以及脱水、维持水电解质平衡等对症支持处理,患儿症状高峰期持续4 d后病情逐渐好转,1个月后基本恢复正常,仅遗留双下肢肌力稍差(4级)。9个月后复查患儿头颅及脊髓MRI,示恢复至正常(图2)。


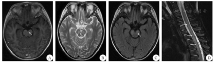
A:增强扫描示脑干表面柔脑膜稍增厚强化;B:T2WI示脑干弥漫性高信号;C:液体衰减反转恢复序列示脑干弥漫性高信号;D:T2WI示长节段脊髓病变;箭头所示为病变


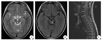
A:T2WI示脑干弥漫性高信号消失;B:液体衰减反转恢复序列示脑干弥漫性高信号消失;C:T2WI示长节段脊髓病变消失;箭头所示为原病变处
EBV又称为人类疱疹病毒4型,属于疱疹病毒科嗜淋巴细胞病毒属。人类是EBV的感染宿主,人群当中感染率高达90%以上[1]。通常来说,EBV感染人体后一般是无症状性的或仅表现为呼吸道症状及传染性单核细胞增多症,EBV感染致中枢神经系统损害较为少见。例如Tselis[2]的研究显示,只有0.37%~7.30%的EBV感染患者会出现与中枢神经系统相关的并发症;另外2项大样本的相关研究则显示其发生率分别仅为5.2%、9.7%[3,4]。
然而,EBV感染一旦累及中枢神经系统,其临床类型及表现则复杂多样,可导致的疾病谱非常广泛,包括急性脑炎、脑膜炎、脊髓炎、多发性脊神经根炎及周围神经麻痹等[3,4,5,6,7]。其中,同时累及颅脑和脊髓者比较罕见。笔者通过检索PubMed数据库,对EBV感染同时引起颅脑和脊髓损害的病例进行了资料收集,发现截止到2020年7月时仅有17例EBV性脑脊髓炎患者被报道,且在这17例患者中,只有4例患者与本例患者一样,脊神经也同时受累[8,9,10,11,12,13,14,15,16,17,18,19,20,21,22,23,24]。此类患者的临床表现多样,主要包括头痛、发热(17例,100%)、肢体无力(10例,58.8%)及括约肌功能障碍(8例,47%)三大方面;影像学表现无特异性,可累及中枢神经系统的多个部位(脊髓13例、软脑膜7例、脊神经4例、大脑皮层3例、脑干2例、基底节2例、脑室周围2例、胼胝体1例、丘脑1例、皮层下白质1例),其中长节段脊髓炎是最常见的影像学表现,发生率高达76.4%。另外,对上述文献的复习结果也显示,当EBV感染同时累及颅脑和脊髓时往往提示预后不良,后遗症发生率可高达47.1%。目前,EBV感染引起中枢神经系统损害的机制尚不清楚,包括病毒直接入侵中枢神经系统、病毒潜伏感染再激活以及免疫介导继发性损害等假说均有报道[5]。在治疗方面,现有的文献报道表明,早期使用阿昔洛韦抗病毒和大剂量糖皮质激素治疗可能会减轻症状及改善预后[10,25]。
本例患儿最初表现为发热、头痛等非特异性感染症状,病情在短期内逐渐进展,腰穿脑脊液检查提示颅内感染,影像学检查示包括脑干、软脑膜、长节段脊髓及脊神经根在内的中枢神经系统多部位损害,同时排除了中枢神经系统脱髓鞘病变及自身免疫性脑炎,最后行病原微生物高通量基因检测确诊为EBV感染。至于本例患儿的中枢神经系统多发损害究竟是EBV直接感染所致还是感染后诱发的诸如急性播散性脑脊髓炎(acute disseminated encephalomyelitis,ADEM)样表现,目前还无法完全区别开来。但ADEM是一种以损伤脑和脊髓白质为主的急性炎性脱髓鞘性疾病,而本例患儿的病变主要是以脑实质、脑脊膜、脊神经根为主。因此,从上述特点来看笔者更倾向于是EBV直接感染所致。另外,本例患儿的脑脊液蛋白较普通病毒性脑炎明显增高,考虑与EBV感染累及脑脊膜和脊神经根有关。
总之,结合本例患儿的诊治经过及上述文献复习结果,提示我们遇到合并颅内感染的长节段脊髓病变时需考虑EBV感染的可能,及时使用抗病毒联合糖皮质激素治疗可能对预后有帮助。当然,由于目前总结的病例数过少,EBV感染相关中枢神经系统损害的发病机制以及规范化诊疗等问题还需进一步探索。
所有作者均声明不存在利益冲突





















