
本文报道了蚌埠医学院第一附属医院收治的1例颅颌面多发性骨巨细胞修复性肉芽肿病例。患者女性,21岁,以面部不对称半年余入院,初步诊断为下颌骨囊肿,进一步影像学检查发现患者枕骨、蝶骨、颞骨、下颌骨体部和髁状突多发性海绵样改变,于全身麻醉下行下颌骨病灶刮治术,术后病理为巨细胞修复性肉芽肿。术后患者面型较前无明显变化,随访12个月影像学显示下颌骨病灶区较之前有新生骨质形成。
巨细胞修复性肉芽肿(giant cell reparative granuloma,GCRG)是一种来源于骨骼系统的非肿瘤性良性病变,其发病率低,约占良性骨肿瘤的7%,好发于青少年时期,以上、下颌骨区较为多见,常因局部骨膨胀型改变为首发症状,也可无明显临床症状。目前国内外对GCRG的报道一般为单发局限病灶为主[1, 2]。本文报道1例累及枕骨、蝶骨、颞骨、下颌骨体部和髁状突等颅颌面多发性骨巨细胞修复性肉芽肿,并结合以往相关文献报道对该疾病的临床表现、影像学特点和病理表现等进行回顾分析。
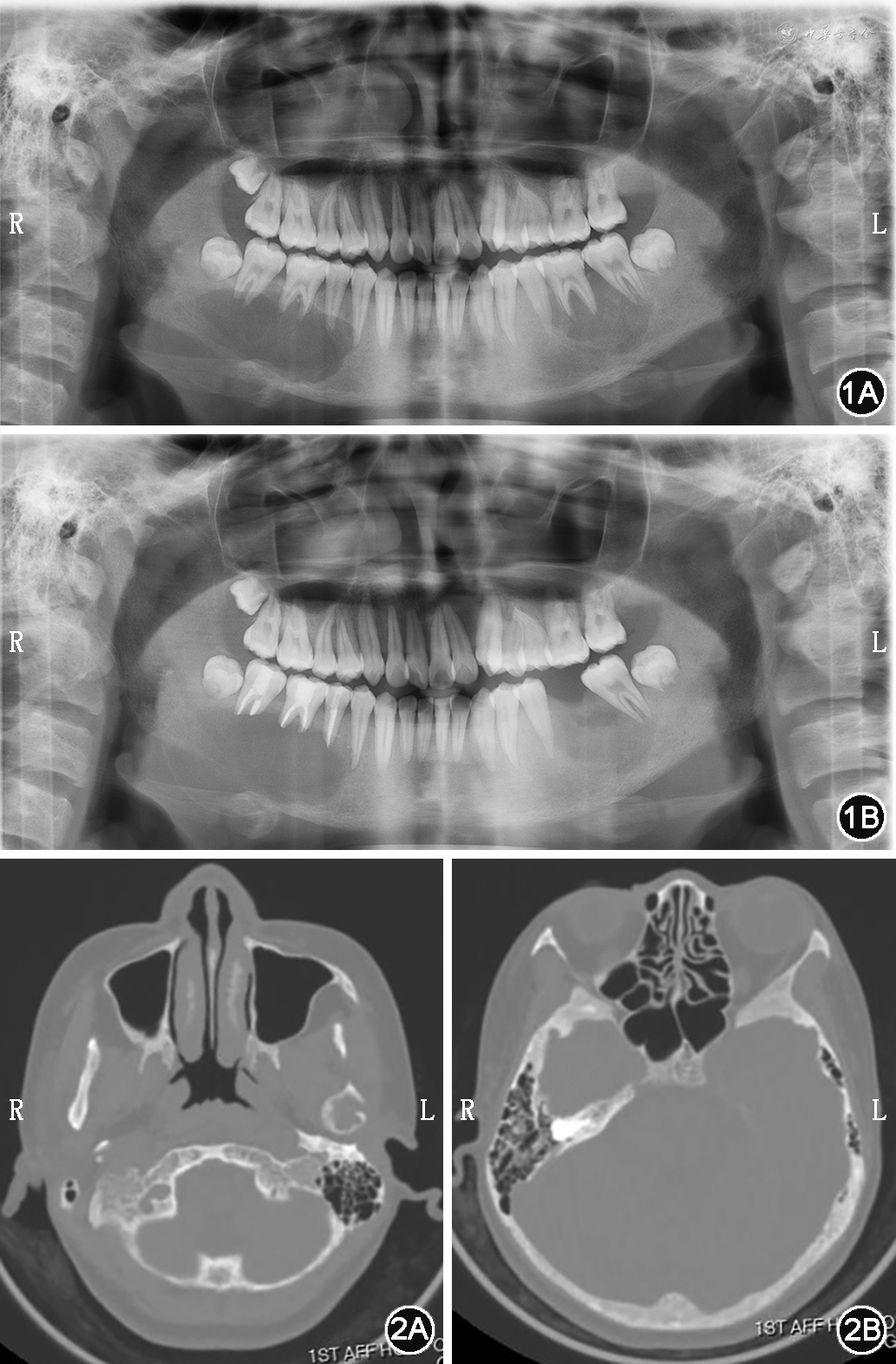
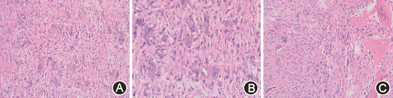
患者女,21岁,以“面部不对称半年余”为主诉于2019年2月10日就诊于蚌埠医学院第一附属医院口腔颌面外科。患者既往健康状况良好,无手术等特殊病史。专科检查示:颜面部不对称,右侧下颌角区可触及约3 cm×4 cm范围骨质膨隆,边界尚可,无压痛;左侧颞下颌关节区较右侧稍膨隆,无压痛;双侧颞下颌关节活动对称,开闭口运动时关节无弹响、压痛;下唇无麻木感,双侧颈部、颌下及颏下淋巴结未触及肿大;张口度3.6 cm,张口型正常。口腔内未见明显异常。曲面断层片显示:右髁状突及左、右下颌骨体部可见单房椭圆形囊状破坏区,边缘无切迹,透光区不明显(图1)。入院后行颌骨CT平扫时发现,双侧下颌骨体部、升支、髁状突、枕骨、蝶骨弥漫性骨质密度海绵质样增高伴多发骨质破坏(图2)。生化常规:总钙离子2.46 mmol/L,离子钙1.32 mmol/L,无机磷0.78 mmol/L。完善相关检查后,拟行下颌骨病变刮治术。术中右髁状突采用耳屏前切口,其他均采用口内下颌颊侧前庭沟切口。术中见病灶区骨质菲薄,内含巨大创腔,无明显分隔,内容物见大量息肉样物质,刮出部分内容物送冰冻检查,结果示梭形细胞增生性病变,倾向良性。而后彻底刮除肿物,并用稀碘液浸泡创腔。术后给予抗感染、消肿、止痛等对症治疗。术后1周出院,伤口一期愈合。病理示病变主要由增生的纤维结缔组织背景中散在多核巨细胞构成(图3A、3B)。间质为梭形纤维母细胞样细胞,并有成为结节的趋势。病灶内常有出血,周围可有骨样组织及骨小梁再生。破骨细胞样多核巨细胞多在新生骨周围或围绕出血区域分布(图3C)。两侧送检组织镜下图像一致。术后患者面型较前无明显变化,按照术后1、3、6、12个月随访,共随访12个月,术后12个月颌面部曲面断层片显示下颌骨病灶区较之前有新生骨质形成。




目前国内外对该疾病的研究不多,绝大多数为个案报道。1953年由Jaffe报道1例位于下颌骨的GCRG,1974年Hirsch和Katz报道了来源于颞骨的GCRG,之后来源于蝶骨、筛骨、颅底、手足短骨和四肢长骨等的病例相继报道[3]。据统计,国内外共报道发生于下颌骨髁状突的GCRG有8例,发生于颅骨的也仅20余例[4, 5]。而多发部位的GCRG更是罕见报道。本例病变不仅在右侧髁状突和下颌骨体部,而且累及枕骨、蝶骨、颞骨等颅颌面多区域。目前GCRG的病因不明,由于术后病理常见出血和含铁血黄素沉积,所以早期研究者认为该病是骨腔内出血的组织修复性反应。但本例和以往报道的部分病例一样并未出现外伤史。还有学者提出该病可能与机体慢性炎症引起反应性增生有关[6]。
GCRG根据病变部位分为中心性和周围性,中心性一般是包含骨组织,而周围性一般只含有牙龈或黏膜等软组织。根据病变的形态学特征可分为侵袭性和非侵袭性,有研究表明,术后病理免疫组织化学有助于判断病变的生物学特性[7]。GCRG通常是结合发病年龄、临床检查、影像学检查、实验室检查和病理诊断等作出综合判断。GCRG的病理学特征主要是大量的梭形成纤维细胞增生,之间富含多核巨细胞,大小形态不一,间质伴出血,可有含铁血黄素沉着,与本例的病理切片结果高度一致。
由于发病率低和临床无特征性表现,所以此病极易误诊。其主要与以下疾病鉴别:(1)骨巨细胞瘤,又称为破骨细胞瘤,是一种交界性肿瘤,镜下间质中可见破骨细胞型多核巨细胞均匀分布,而且核分裂象常见。而GCRG中巨细胞一般较小,数量少且分布不均,无核分裂象;(2)甲状旁腺功能亢进症,是一种全身内分泌系统紊乱性疾病,在骨骼上表现为黄褐色病损,所以又称为“棕色瘤”,一般表现为多发性的骨质囊性变。因与内分泌系统相关,所以,生化检查血钙增高、血磷降低,而本例中患者术前生化检查无异常,对于排除此疾病具有重要意义;(3)动脉瘤样骨囊肿,镜下含较多的破骨细胞型巨细胞,海绵状腔隙内充满血液,本例临床表现和组织病理学均不支持。
GCRG的治疗主要以手术治疗为主。据报道,单纯刮除术术后复发率较高,约50%[8]。有学者提出对于刮治术术后复发局部注射类固醇激素、降钙素、干扰素α等抗血管生成的药物具有显著效果[9]。放射治疗是被一些学者认可的重要治疗方法,认为可采用小剂量、高电压放疗。但也有文献报道,放疗对此疾病无效,甚至有致疾病恶变的可能。目前报道病例中尚未出现恶变或远处转移的情况。
所有作者均声明不存在利益冲突





















