
版权归中华医学会所有。
未经授权,不得转载、摘编本刊文章,不得使用本刊的版式设计。
除非特别声明,本刊刊出的所有文章不代表中华医学会和本刊编委会的观点。
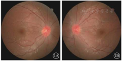
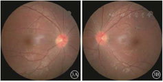
患者女,24岁。因双眼视力下降10余天,伴脚麻、手麻数天于2020年7月在山西爱尔眼科医院就诊。2个月前患者因"结核性脑膜炎、血型播散性肺结核"于结核病医院住院治疗,病情好转后出院,并继续口服利奈唑胺片0.6 g /d、异烟肼片0.9 g/d、利福平片胶囊0.45 g/d、吡嗪酰胺片1.5 g/d及丙硫异烟胺肠溶片0.2 g (3次/d)。眼部检查:双眼最佳矫正视力均为0.06,双眼红绿色觉消失;双眼眼前节均无异常。眼底检查,双眼视盘充血,边界不清,视网膜静脉血管轻度纡曲扩张(图1)。视野检查,双眼中心暗点(图2)。双眼黄斑光相干断层扫描检查未见异常。视觉诱发电位检查,双眼P100波潜伏期正常,振幅降低。结合患者长期使用抗结核药物病史以及眼部发病后伴有脚麻、手麻症状,诊断:双眼中毒性视神经病变(利奈唑胺可能性大)。建议患者到结核病医院调整用药,遂停用利奈唑胺片,异烟肼片减量至0.6 g/d,其他治疗不变。7 d后复诊,患者主诉视力好转,手脚麻木症状减轻。右眼视力0.4,左眼视力0.3;双眼色觉基本恢复。眼底检查,双眼视盘充血较前明显减轻。半个月后复查,双眼视力均为0.8,双眼色觉恢复。眼底、视野检查均正常(图3,图4)。患者自诉仍有轻度手脚麻木症状。随访3个月后,患者眼部及全身情况稳定,仍在继续使用其他抗结核药物。








本例患者因结核性脑膜炎、血型播散性肺结核长期服用抗结核病药物,在考虑利奈唑胺致中毒性视神经病变诊断时,我们首先需要对结核感染性视神经病变和结核感染相关性视神经病变进行鉴别。结核感染性视神经病变是由于结核杆菌直接侵犯视神经所致,很少单独发生,在眼部常合并葡萄膜炎、视网膜血管炎等。结核感染相关性视神经病变是眼部对结核菌蛋白的变态反应所致,对糖皮质激素治疗有效[1]。(1)本例患者视力下降出现在结核性脑膜炎病变控制以后;(2)患者继眼部症状出现以后,发生脚麻、手麻症状,提示患者全身多部位神经损害;(3)患者除视盘水肿外,无葡萄膜炎等表现;(4)患者停用利奈唑胺后,视力很快得到明显的改善,且未用糖皮质激素治疗。因此,可以排除结核感染性或感染相关性视神经病变,利奈唑胺中毒性视神经病变诊断明确。
利奈唑胺是人工合成的一种新型噁唑烷酮类抗生素药,临床上主要对耐药的革兰氏阳性菌敏感[2]。由美国食品与药品安全管理局批准,多数情况下,利奈唑胺的用药时限为28 d[3],有良好的耐受性,其不良反应报道鲜见;但部分患者由于病情复杂、病程较长,用药时间往往会超过时限。这样就会出现很多严重的不良反应,如乳酸中毒、血小板减少、骨髓抑制、周围神经和视神经病变等,眼科不可忽视的是对视神经的毒性作用。
利奈唑胺具有较高的中枢神经系统和眼内渗透性,这可能会引起神经毒性[4],其视神经病变的特点是缓慢进展的、无痛的、双眼对称性视觉受损,影响中心视力。Joshi等[5]报道1例患者应用利奈唑胺16 d后出现视力下降,色觉障碍,眼底检查见双侧视神经水肿,停药6周后恢复。McKinley和Foroozan[6]采用利奈唑胺联合乙胺丁醇治疗2例肺结核患者,用药后引起色觉、视力障碍及中心暗点等相关的视神经病变,在乙胺丁醇及时停药后,患者视力仍持续下降,考虑利奈唑胺是引起患者视神经损害的主要原因。Karuppannasamy等[7]联合应用利奈唑胺和乙胺丁醇治疗1例耐药性结核患者,其逐渐出现双眼无痛性视功能损害,停用利奈唑胺后,视力恢复。
检索国内外相关文献,单独报道利奈唑胺中毒性视神经病变文献较少。2020年,法国一项回顾性调查研究调查了2011年至2016年使用利奈唑胺片(600 mg/d)的57例患者,为期13个月的随访观察,32%的患者发生周围神经病变,25%的患者发生视神经病变;停用利奈唑胺片12个月后,仍有78%的患者周围神经病变不可逆,14%的患者视神经病变完全恢复[8]。Nambiar等[9]纳入2000年4月至2009年4月的儿童利奈唑胺相关周围神经和视神经病变患者进行分析,其中8例确诊为利奈唑胺相关性神经病变,包括5例周围神经病变,1例视神经病变,2例同时发生周围神经病变及视神经病变。有研究发现,神经系统病变不良反应出现在使用利奈唑胺治疗的10 d~36个月,平均7.9个月[10]。视神经不良反应可完全或部分康复,在停药后几个月中视力和色觉会明显恢复,但周围神经病变的恢复较为有限[10]。
本例患者在抗结核治疗过程中,使用了利奈唑胺、异烟肼、丙硫异烟胺肠溶片,虽然均有神经毒性,但几乎未查阅到单独应用异烟肼引起视神经病变的病例报告[11,12],通常与乙胺丁醇联合应用才可以加重球后视神经炎的发作。丙硫异烟胺肠溶片引起视神经病变的不良反应极少见。本例患者在使用利奈唑胺片2个月后出现的眼部症状,停药半个月后眼部症状好转,但手脚麻木感觉仍存在。
抑制线粒体蛋白质的合成可能是利奈唑胺中毒性神经病变的不良反应机制[13]。眼组织主要通过线粒体内膜氧化磷酸化合成,视网膜、视神经均高度依赖其氧化代谢,长时间应用利奈唑胺可抑制线粒体氧化代谢,产生不良后果[2]。
利奈唑胺具有较高的神经毒性,尚未确定最佳治疗持续时间;因此,对于使用利奈唑胺进行治疗的患者,应定期随访,及时发现其引起的视神经毒性表现,以防误诊或漏诊而影响及时治疗,早期确诊和停药可以恢复患者的部分视觉功能。
所有作者均声明不存在利益冲突





















