
探讨CT检查三段公式法判断食管胃结合部腺癌(AEG)Siewert分型的临床价值。
采用回顾性描述性研究方法。收集2019年1月至2021年1月国内2家医学中心收治的62例(北京大学肿瘤医院33例、陆军军医大学第一附属医院29例)AEG患者的临床病理资料;男53例,女9例;年龄为(66±9)岁。患者行CT检查获取冠状位和轴位图像,确定肿瘤上下缘及食管胃结合部3个层面,导入公式进行Siewert分型。观察指标:(1)CT检查和病理学检查结果。(2)医师间CT检查结果一致性判断。(3)CT检查结果与病理学检查结果一致性判断。病理学检查结果为大体病理学检查和术后组织病理学检查结果。正态分布的计量资料以x±s表示,计数资料以绝对数或构成百分比表示。一致性系数Kappa(κ)评价阅读者间诊断的一致性,κ≥0.75为一致性非常好,0.40<κ<0.75为一致性良好,κ≤0.40为一致性差。Wilcoxon秩和检验评价CT检查三段公式法与病理学检查结果之间是否具有统计学差异,以组织病理学检查结果为标准,计算CT检查三段公式法诊断的灵敏度、特异度和准确率及其95%可信区间。
(1)CT检查和病理学检查结果:62例患者均顺利进行CT检查,获得冠状位和轴位图像确定肿瘤上下缘及食管胃结合部层面并进行Siewert分型。62例患者经北京大学肿瘤医院判定Siewert Ⅰ型3例,Ⅱ型47例,Ⅲ型12例;经陆军军医大学第一附属医院判定Siewert Ⅰ型3例,Ⅱ型49例,Ⅲ型10例;仲裁后CT检查三段公式法判定Siewert Ⅰ型2例,Ⅱ型48例,Ⅲ型12例。病理学T分期:T1期7例,T2期10例,T3期24例,T4a期14例,T4b期7例。62例患者病理学检查结果为Siewert Ⅰ型2例,Ⅱ型48例,Ⅲ型12例。(2)医师间CT检查结果一致性判断:2位医师运用CT检查三段公式法判定Siewert分型一致性良好(κ=0.74,P<0.001)。(3)CT检查结果与病理学检查结果一致性判断:以病理学检查的Siewert分型为参照,CT检查三段公式法判断Siewert分型准确率为90.3%,一致性良好(κ=0.73,P<0.001)。CT检查三段公式法判断Siewert Ⅰ型的灵敏度为66.7%(95%可信区间为20.8%~93.9%),特异度为100.0%(95%可信区间为93.9%~100.0%);判断Siewert Ⅱ型的灵敏度为97.7%(95%可信区间为88.2%~99.6%),特异度为72.2%(95%可信区间为49.1%~87.5%);判断Siewert Ⅲ型的灵敏度为73.3%(95%可信区间为48.0%~89.1%),特异度为97.9%(95%可信区间为88.9%~99.9%)。
CT检查三段公式法可用于判断AEG的Siewert分型,具有较高准确率。
版权归中华医学会所有。
未经授权,不得转载、摘编本刊文章,不得使用本刊的版式设计。
除非特别声明,本刊刊出的所有文章不代表中华医学会和本刊编委会的观点。
食管胃结合部腺癌(adenocarcinoma of esopha-gogastric junction,AEG)位于胸腹交界,其中心点位置、累及长度范围等指标评估,影响手术方式与路径选择、肿瘤分期以及疗效评价。Siewert分型是AEG术前常规使用分型方法[1, 2, 3]。不同Siewert分型具有不同的致病原因及淋巴结转移途径,从而导致分期及手术方式不同[4, 5, 6, 7, 8]。其中Siewert Ⅱ型AEG的归属仍存在争议[9, 10, 11, 12, 13, 14]。美国癌症联合会(AJCC)第8版TNM分期、美国国立综合癌症网络(NCCN)胃癌指南和《中国临床肿瘤学会(CSCO)胃癌诊疗指南》均推荐增强CT检查作为胃癌首选的影像学检查手段[15, 16, 17, 18]。但目前指南均未明确规定如何在增强CT检查中判断Siewert分型。本研究回顾性分析2019年1月至2021年1月国内2家医学中心收治的62例(北京大学肿瘤医院33例、陆军军医大学第一附属医院29例)AEG患者的临床病理资料,探讨CT检查三段公式法判断AEG Siewert分型的临床价值。
采用回顾性描述性研究方法。收集国内2家医学中心收治的62例AEG患者(2019年3月至2020年11月北京大学肿瘤医院收治AEG患者33例、2019年1月至2021年1月陆军军医大学第一附属医院收治AEG患者29例)的临床病理资料;男53例,女9例;年龄为(66±9)岁。本研究通过北京大学肿瘤医院医学伦理委员会审批,批号为2020KT71,豁免患者知情同意书。
纳入标准:(1)术前胃镜活组织病理学检查确诊为AEG。(2)腹部CT检查增强扫描,均获得轴位和冠状位重建图像。(3)CT检查后1个月内手术治疗。(4)完整的术后组织病理学资料,包括病理学T分期及Siewert分型。
排除标准:(1)行新辅助治疗(放化疗、靶向治疗及免疫治疗)。(2)CT检查中胃腔充盈差或图像伪影重,影响指标测定。(3)CT检查图像无法清晰显示或定位病变,或病变边缘无法判断。(4)临床病理资料缺失。
患者检查前空腹6~8 h。检查前10~15 min肌肉注射盐酸消旋山莨菪碱10 mg,采用气充盈或水充盈充分扩张胃腔。气充盈者检查开始前口服产气粉6 g,之后迅速转为仰卧扫描体位,减轻气体对贲门口的压力,嘱患者勿嗳气。水充盈根据患者耐受能力,口服温纯水500~1 000 mL,因病变在近段胃邻近贲门口,不强求大量饮水以免造成患者不适。快速呼吸训练1~2次,保证吸气末屏气效果。严格低张、充盈及呼吸训练质控流程管理。
扫描设备采用64层螺旋CT(美国GE公司Lightspeed系列、德国Siemens公司SOMATOM Definition系列、荷兰Philips公司产品)行常规仰卧位扫描,扫描范围上起左膈顶上方>5 cm水平,下缘至少到达腹主动脉分叉水平且全胃必须包括在扫描范围之内。经肘正中静脉注射非离子型碘对比剂,根据患者体质量调整注射剂量(2 mL/kg,浓度300 mgI/mL),注射速率为3.5 mL/s,于注射后35~40 s及70 s行动脉期及门静脉期扫描。扫描参数:球管电压为120 kV,球管电流采用自动毫安技术,探测器准直为64.000 mm×0.625 mm,螺距为0.984,扫描层厚为5.000 mm,重建层厚为0.625~1.500 mm。重组冠状位、轴位图像。
图像传输至PACS工作站。2位放射科医师(北京大学肿瘤医院1位,放射诊断经验3年和陆军军医大学第一附属医院1位,放射诊断经验8年)联合冠状位和轴位图像,设置3个步骤,顺次、盲法进行肿瘤Siewert分型。当2位医师分型结果不一致时,由第3位医师进行仲裁(北京大学肿瘤医院医师,放射诊断经验17年)。
CT检查三段线法计算依据:联合冠状位和轴位图像获得肿瘤上下缘及食管胃结合部(esophago-gastric junction,EGJ)层面,获取肿瘤中心与EGJ以上1 cm或EGJ以下2 cm的相对距离。见图1。


注:α线为食管胃交界线,β线为胃侧2 cm线,σ线为食管侧1 cm线,*为肿瘤中心
第一步,在门静脉期冠状位CT图像上找到角切迹A点,即食管和胃大弯解剖交界点,沿胃底大弯外壁连线逆时针向小弯侧延伸,跨过EGJ与胃体小弯的交点设为B点,两点之间的柔滑弧线即为食管胃交界线(α线)。之后通过定位线找到冠状位AB连线中点所对应的轴位层面,作为食管胃交界层面(“零点层面”)。
第二步,轴位图像公式法区分Siewert Ⅲ型与Siewert Ⅰ/Ⅱ型(区分食管或胃来源)。其中,肿瘤的上下缘层面均利用CT多平面定位进行确定:
上述公式中前半部分为肿瘤中心点的图像序号计算值,后半部分为食管交界线胃侧2 cm线的图像序号计算值。公式计算值即为肿瘤中心距食管胃交界线胃侧2 cm线的相对值。若计算值为正值则判定为Siewert Ⅲ型;若为负值,则为Siewert Ⅰ型或Ⅱ型。
第三步,轴位图像公式法判断肿瘤为Siewert Ⅰ型还是Ⅱ型:
若计算值为正值,则判定为Siewert Ⅱ型,若为负值,则为Siewert Ⅰ型。
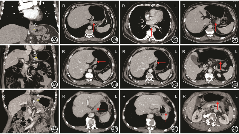
Siewert Ⅰ、Ⅱ、Ⅲ型患者实例展示见图2, 3, 4。


观察指标:(1)CT检查和病理学检查结果包含2家医学中心Siewert分型判定结果、仲裁后Siewert分型判定结果、病理学检查结果。(2)医师间CT检查结果一致性判断。(3)CT检查结果与病理学检查结果一致性判断。
评价标准:病理学检查结果为大体病理学检查和组织病理学检查结果。
应用SPSS 26.0统计软件进行分析。正态分布的计量资料以x±s表示,计数资料以绝对数或构成百分比表示。一致性系数Kappa(κ)评价阅读者间诊断的一致性,κ≥0.75为一致性非常好,0.40<κ<0.75为一致性良好,κ≤0.40为一致性差。Wilcoxon秩和检验评价CT检查三段公式法与病理学检查之间是否具有统计学差异,以病理学检查结果为标准,计算CT检查三段公式法诊断的灵敏度、特异度和准确率及其95%CI。P<0.05为差异有统计学意义。
62例患者均顺利进行CT检查,获得冠状位和轴位图像确定肿瘤上下缘及EGJ层面并进行Siewert分型。62例患者经北京大学肿瘤医院判定Siewert Ⅰ型3例,Ⅱ型47例,Ⅲ型12例;经陆军军医大学第一附属医院判定Siewert Ⅰ型3例,Ⅱ型49例,Ⅲ型10例;仲裁后CT检查三段公式法判定Siewert Ⅰ型2例,Ⅱ型48例,Ⅲ型12例。病理学T分期:T1期7例,T2期10例,T3期24例,T4a期14例,T4b期7例。62例患者病理学检查结果为Siewert Ⅰ型2例,Ⅱ型48例,Ⅲ型12例。
2位医师运用CT检查三段公式法判定Siewert分型一致性良好(κ=0.74,P<0.001)。
以病理学检查的Siewert分型为参照,CT检查三段公式法判断Siewert分型准确率为90.3%,一致性良好(κ=0.73,P<0.001)。CT检查三段公式法判断Siewert Ⅰ型的灵敏度为66.7%(95%CI为20.8%~93.9%),特异度为100.0%(95%CI为93.9%~100.0%),判断Siewert Ⅱ型的灵敏度为97.7%(95%CI为88.2%~99.6%),特异度为72.2%(95%CI为49.1%~87.5%),判断Siewert Ⅲ型的灵敏度为73.3%(95%CI为48.0%~89.1%),特异度为97.9%(95%CI为88.9%~99.9%)。
目前临床主要通过X线气钡双对比造影、EUS和CT检查进行Siewert分型[19, 20, 21]。与术后病理学检查结果比较,各影像学检查分型效能不甚满意,尤其是对于Siewert Ⅱ、Ⅲ型的区分。Pedrazzani等[22]的研究结果显示:EUS检查区分Siewert Ⅱ、Ⅲ型AEG时特异度极低(44%)。Parry等[23]的研究结果显示:EUS检查判断Siewert Ⅱ型AEG的准确率为66%,而CT检查仅为57%。Curtis等[24]利用EUS及CT检查进行术前Siewert分型,有42%经病理学检查结果证实的Siewert Ⅲ型AEG被误判为Ⅱ型。究其原因,Siewert分型的主要依据是肿瘤中心与EGJ交界线的距离,而大多数患者难以在一个方位或断层显示肿瘤走行全程,CT检查多平面重建图像(冠状位、矢状位、轴位)难以准确测量肿瘤上下界距肿瘤中心的距离、EUS传感器可视范围有限等问题影响分型的准确率[25]。
针对上述复杂情况,结合文献[16,26, 27],本研究通过CT检查轴位和冠状位双平面联合,设计Siewert分型三段公式法,其结果显示:CT检查三段公式法仅需联合冠状位、轴位图像确定肿瘤上下缘及EGJ 3个层面,操作简洁、计算简便。该方法能够引入智能胃癌结构式影像报告系统,阅片医师输入层号及层厚,即可得到分型结果。该方法首先判断Siewert Ⅲ型,进一步再区分Ⅰ型和Ⅱ型,有利于提高工作效率。本研究结果显示:以病理学检查结果的Siewert分型为参照,CT检查三段公式法判断Siewert分型准确率达90.3%,优于既往研究报道的CT检查多平面重建及EUS检查结果[20, 21]。
本研究存在局限性。研究样本量较小,CT检查三段法公式的设计基础是假定肿瘤长径沿垂直长轴生长,而仰卧位扫描时,胃远端相对前倾,更接近于水平方向,而EGJ的胃腔长轴更接近于垂直方向,故胃浸润范围的计算值较实际情况偏短,导致Siewert Ⅲ型误判为Siewert Ⅱ型(图5)。未来需扩大样本量,结合轴冠状位图像的联合修正,得到更精确的计算方法。Siewert分型仅基于肿瘤中心的位置,不能完全反映肿瘤的长径及远端食管的浸润范围,而食管浸润长度对手术入路的选择、淋巴结清扫范围等至关重要,与患者的生存和预后也相关[28, 29, 30]。如何准确地测量上述2项指标并制订临床上易于推行的分型方案,后续研究将联合曲面重建技术以及薄层MRI检查进行深入探索。


综上,CT检查三段公式法可用于AEG的Siewert分型,具有较高准确率。
所有作者均声明不存在利益冲突





















