
观察零切迹颈前路椎间融合系统(Zero-P)内固定术治疗脊髓型颈椎病的临床疗效。
回顾性研究。纳入2014年4月—2018年4月郑州市第一人民医院脊柱外科行手术治疗的32例单节段脊髓型颈椎病患者的临床资料。其中男18例、女14例,年龄36~63岁。按手术方式不同分为2组,采用颈椎前路Zero-P固定融合术16例为Zero-P组,采用传统Cage联合钛板内固定融合术16例为Cage组。2组患者观察对比指标:(1)手术时间、术中出血量;(2)术前及术后神经功能情况,包括颈椎功能障碍指数(NDI)、日本骨科协会(JOA)评分法及SF-36生活质量评分;(3)术后影像学观察,包括植骨融合情况、内固定情况、椎间隙高度、颈椎生理曲度;(4)术后并发症的发生情况。
患者均手术顺利,术后伤口Ⅰ/甲愈合。2组患者性别、年龄及病变累及节段分布差异均无统计学意义(P值均>0.05)。2组32例患者均顺利完成手术。(1)Zero-P组患者的手术时间为(75.1±6.0)min,明显少于Cage组的(90.6±8.1)min,差异有统计学意义(t=6.15,P<0.001);2组术中出血量差异无统计学意义(t=0.39,P=0.698)。(2)患者术后均获随访6~18个月,平均12个月,均获得满意的临床效果。术后3个月及末次随访时,2组患者NDI评分、JOA评分及SF-36评分均较术前明显改善,差异均有统计学意义(P值均<0.05),而2组间各时间点的各项观察指标差异均无统计学意义(P值均>0.05)。(3)术后6个月随访时2组患者均达到椎间植骨区骨性融合,融合率达100%。Zero-P组患者的Zero-P融合器未发生松动、滑脱或断裂,椎体未发生骨折。术后3个月、末次随访时,Zero-P组椎间隙高度分别为(7.93±1.29)、(7.61±1.36)mm,Cage组分别为(7.93±1.29)、(7.80±1.25)mm,2组Cobb角分别为19.49°±3.61°和19.40°±3.67°、19.89°±3.82°和19.86°±3.77°,均较术前明显改善,差异均有统计学意义(P值均<0.001);组间差异均无统计学意义(P值均>0.05)。(4)患者术中及术后均未发生脑脊液外漏、声音嘶哑、饮水呛咳、伤口感染、下肢深静脉血栓形成等并发症;2组术后不同时间点吞咽困难发生情况差异均无统计学意义(P值均>0.05);Zero-P组的邻近节段退变发生率为6.3%(2/32),明显低于Cage组的28.1%(9/32),差异有统计学意义(χ2=5.38,P=0.020)。
与传统Cage联合钛板内固定融合术相比,Zero-P技术治疗脊髓型颈椎病能获得同样的临床效果,且操作简便、手术时间短,能有效降低邻近节段退变的发生,更具有优势。
版权归中华医学会所有。
未经授权,不得转载、摘编本刊文章,不得使用本刊的版式设计。
除非特别声明,本刊刊出的所有文章不代表中华医学会和本刊编委会的观点。
颈椎病是因颈椎间盘退变及其继发性改变刺激或压迫邻近组织,引起各种症状和体征的颈椎退变性疾病。而脊髓型颈椎病主要是颈椎退变结构压迫脊髓或供应脊髓的血管引起脊髓神经功能障碍,导致感觉、运动、反射与排便功能障碍,手术治疗以神经减压和重建颈椎稳定性为主要目的。颈前路椎间盘切除减压融合术(anterior cervical discectomy and fusion,ACDF)在椎管减压椎间融合器置入后辅以前路钛板固定,一直被认为是治疗单节段甚至多节段脊髓型颈椎病的金标准,该术式不仅能维持及重建颈椎矢状序列,还能防止椎间置入物脱落及下沉[1]。但是,ACDF也存在潜在风险及并发症,如吞咽困难、气道损伤、钢板松动及邻近节段退变等[2]。零切迹颈前路椎间融合系统(Zero-Profile implant,Zero-P)融合术是近年来新兴的一种固定方式,具有操作简便、吞咽困难发生率低、邻近节段退变发生少等优点,越来越受临床医生的青睐。本研究分析比较了2014年4月—2018年4月在郑州市第一人民医院采用Zero-P融合术或Cage联合钛板内固定融合术治疗的32例单节段脊髓型颈椎病患者的临床资料,旨在探讨Zero-P在颈椎病ACDF中的临床疗效。
纳入标准:(1)经MR、CT等影像学检查证实为单节段颈椎间盘突出,且符合脊髓型颈椎病的症状与体征,如四肢麻木、肌力下降、病理征阳性、躯干束带感、行走踩棉花感等;(2)存在颈前路手术指征,行Zero-P融合术或Cage联合钛板内固定融合术;(3)影像及随访资料完整。排除标准:(1)外伤造成的单节段颈髓损伤;(2)椎间隙感染、肿瘤等造成的单节段脊髓受压。
回顾性研究。纳入2014年4月—2018年4月郑州市第一人民医院手术治疗的32例单节段脊髓型颈椎病患者的临床资料。其中男18例、女14例,年龄36~63岁。依据手术方式不同分为2组,其中采用Zero-P固定融合术16例为Zero-P组,男9例、女7例,年龄38~61(48.5±6.7)岁;采用Cage联合钛板内固定融合术16例为Cage组,男10例、女6例,年龄36~63(52.4±7.2)岁。
本研究符合《赫尔辛基宣言》要求,患者及家属均已签署手术同意书。
Zero-P组:全身麻醉。仰卧位,颈部自然后伸。做颈前横切口,由颈血管鞘和内脏鞘之间钝性分离进入椎前间隙,拉钩牵开并保护内脏鞘和血管鞘。X线透视下明确手术节段后,切除手术节段间隙椎间盘前方纤维环,取出退变的髓核组织,刮除终板软骨,咬除退变突出的椎间盘组织及增生、肥厚的后纵韧带及椎体后缘骨赘。于术者同侧患者的髂嵴前1/3取适量自体髂骨并修剪成颗粒状。将大小合适的Zero-P假体填充已修剪好的髂骨骨粒,嵌入减压的椎间隙,分别在假体上、下孔道中钻孔并拧入合适长度的螺钉,C臂X线机透视确认内固定位置良好后,放置引流管,缝合切口。
Cage组:前期步骤同Zero-P组。彻底减压后取自体髂骨,并修剪成颗粒填塞于Cage假体,将Cage假体嵌入减压的椎间隙,选取长度适中的颈前路钛板置于Cage的前方,上下端各2枚合适长度的螺钉固定钛板,C臂X线机透视确认内固定位置良好后,锁紧各枚螺钉,放置引流管,缝合切口。
术后常规预防性应用抗生素,小剂量甲泼尼龙琥珀酸钠、甘露醇等治疗3~5 d,术后24~48 h根据引流情况适时拔除引流管。术后3天颈托保护下下地行走,于术后第3天复查颈椎正侧位X线片,术后第3天复查颈椎正侧位X线片,术后3、6、12个月复查颈椎正侧位X线片、CT和MR。
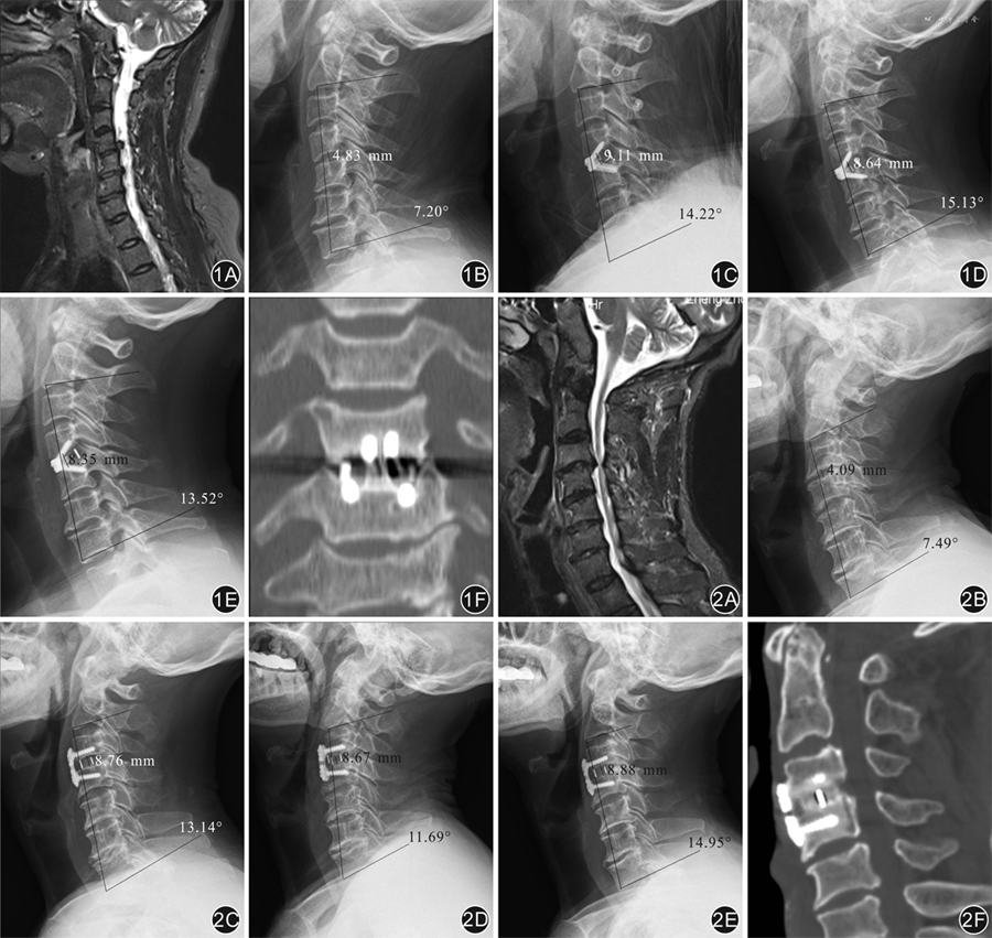
2组患者观察对比指标:(1)手术时间及术中出血量。(2)对患者术前和术后3个月及末次随访的神经功能情况进行评估:采用JOA评分(0~17分)[3]、SF-36生活质量评价量表(生理功能、生理职能、躯体疼痛、总体健康、精神健康、社会功能、情感职能及活力)[4]及颈椎功能障碍指数(neck disability index,NDI)评分[5]。(3)影像学评估:①判断颈椎植骨融合情况,植骨块重建融合,骨小梁长入;②观察置入物位置,内固定有无松动、滑脱或断裂等发生;③椎间隙高度,在中立位颈椎侧位X线片病变椎间隙上下终板中点间的距离;④颈椎生理曲度(Cobb角),中立位颈椎侧位X线片上测量第2颈椎下终板切线与第7颈椎下终板切线的夹角。椎间隙高度及颈椎生理曲度均由脊柱外科同一主任医师采用电脑专业测量工具测定,重复测量3次,取平均值。(4)术后并发症:①术后第1天、1周、3个月及末次随诊时,采用Bazaz吞咽困难评分法[6]评估吞咽困难的发生情况;②评估邻近节段退变情况[7];③观察切口感染、硬膜外血肿、脑脊液漏、声音嘶哑、饮水呛咳、下肢深静脉血栓形成等。
应用SPSS 22.0软件进行数据统计学分析。服从正态分布的计量资料以±s表示,组间比较采用独立样本t检验,组内不同时间点比较采用重复测量资料方差分析;分类资料采用Fisher确切概率法或χ2检验;测量数据的一致性检测采用ICC,> 0.75为一致性好,0.45~0.75为一致性较好,<0.45为一致性差。以P<0.05为差异有统计学意义。
2组患者的性别、年龄、病变节段分布比较,差异均无统计学意义(P值均>0.05),见表1。32例患者手术顺利,术后伤口Ⅰ/甲愈合。患者术后均获随访6~18个月,平均12个月。

Zero-P组与Cage组单节段脊髓型颈椎病患者一般资料比较
Zero-P组与Cage组单节段脊髓型颈椎病患者一般资料比较
| 组别 | 例数 | 性别(例) | 年龄 (岁,±s) | 病变节段(例) | ||||
|---|---|---|---|---|---|---|---|---|
| 男 | 女 | C3/4 | C4/5 | C5/6 | C6/7 | |||
| Zero-P组 | 16 | 9 | 7 | 48.5±6.7 | 2 | 5 | 7 | 2 |
| Cage组 | 16 | 10 | 6 | 52.4±7.2 | 1 | 4 | 6 | 5 |
| t值 | 1.59 | |||||||
| P值 | 1.000a | 0.123 | 0.666a | |||||
注:Zero-P为零切迹颈前路椎间融合系统;a为Fisher确切概率法
Zero-P组患者的手术时间为(75.1±6.0)min,明显少于Cage组的(90.6±8.1)min,差异有统计学意义(t=6.15、P<0.001);Zero-P组和Cage组术中出血量分别是(61.9±9.9)、(60.3±12.6)mL,差异无统计学意义(t=0.39、P=0.698)。
2组患者术后3个月及末次随访的JOA评分、SF-36评分较术前明显提高,NDI评分较术前明显降低,差异均有统计学意义(P值均<0.001);2组间各时间点各项观察指标比较差异均无统计学意义(P值均>0.05)。见表2。

Zero-P组与Cage组单节段脊髓型颈椎病患者不同时间点JOA、NDI及SF-36评分比较(分,±s)
Zero-P组与Cage组单节段脊髓型颈椎病患者不同时间点JOA、NDI及SF-36评分比较(分,±s)
| 观察时间 | JOA评分 | NDI评分 | SF-36评分 | |||||||||||
|---|---|---|---|---|---|---|---|---|---|---|---|---|---|---|
| Zero-P组 | Cage组 | t值 | P值 | Zero-P组 | Cage组 | t值 | P值 | Zero-P组 | Cage组 | t值 | P值 | |||
| 例数 | 16 | 16 | 16 | 16 | 16 | 16 | ||||||||
| 术前 | 6.9±1.3 | 7.1±1.2 | -0.27 | 0.790 | 45.1±3.2 | 44.6±3.1 | 0.51 | 0.619 | 32.4±7.4 | 32.5±7.5 | -0.02 | 0.985 | ||
| 术后3个月 | 12.8±1.9a | 12.9±1.7a | -0.20 | 0.840 | 20.7±4.1a | 20.6±3.7a | 0.05 | 0.961 | 77.3±8.3a | 76.6±8.5a | 0.25 | 0.802 | ||
| 末次随访 | 14.9±1.5a | 15.4±1.3a | -1.03 | 0.312 | 9.9±3.2a | 8.9±4.0a | 0.82 | 0.401 | 86.5±8.2a | 83.4±7.8a | 1.103 | 0.279 | ||
| F值 | 122.86 | 95.74 | 301.41 | 322.74 | 160.10 | 159.96 | ||||||||
| P值 | <0.001 | <0.001 | <0.001 | <0.001 | <0.001 | <0.001 | ||||||||
注:Zero-P为零切迹颈前路椎间融合系统;JOA为日本骨科协会;NDI为颈椎功能障碍指数;a与术前比较,P<0.05
椎间隙高度及Cobb角测量数据的ICC值为0.898~0.950,一致性好。
术后6个月时,2组患者均达到椎间植骨区骨性融合,融合率达100%。Zero-P组患者的Zero-P融合器未发生松动、滑脱或断裂,椎体未发生骨折,Cage组患者出现4例颈前路钛板松动。2组患者术后3个月及末次随访时,椎间隙高度及Cobb角均较术前明显改善,差异均有统计学意义(P值均<0.05);组间比较差异均无统计学意义(P值均>0.05)。见表3。

Zero-P组与Cage组单节段脊髓型颈椎病患者不同时间点椎间隙高度及颈椎生理曲度比较(±s)
Zero-P组与Cage组单节段脊髓型颈椎病患者不同时间点椎间隙高度及颈椎生理曲度比较(±s)
| 观察时间 | 椎间隙高度(mm) | Cobb角(°) | |||||||
|---|---|---|---|---|---|---|---|---|---|
| Zero-P组 | Cage组 | t值 | P值 | Zero-P组 | Cage组 | t值 | P值 | ||
| 例数 | 16 | 16 | 16 | 16 | |||||
| 术前 | 3.9±0.8 | 3.7±0.9 | 0.49 | 0.628 | 9.8±2.3 | 9.8±2.3 | -0.05 | 0.961 | |
| 术后3个月 | 7.7±1.4a | 7.9±1.3a | -0.41 | 0.691 | 19.5±3.6a | 19.9±3.8a | -0.30 | 0.763 | |
| 末次随访 | 7.6±1.4a | 7.8±1.3a | -0.42 | 0.684 | 19.4±3.7a | 19.7±3.8a | -0.35 | 0.729 | |
| F值 | 36.76 | 49.10 | 32.59 | 33.38 | |||||
| P值 | <0.001 | <0.001 | <0.001 | <0.001 | |||||
注:Zero-P为零切迹颈前路椎间融合系统;a与术前比较,P<0.05
2组患者术中及术后均未发生脑脊液外漏、声音嘶哑、饮水呛咳、伤口感染、下肢深静脉血栓形成等并发症。根据Bazaz吞咽困难评分法,2组患者术后随访不同时间点吞咽困难发生情况差异均无统计学意义(P值均>0.05),见表4。末次随访发现,Zero-P组6.3%(2/32)的邻近椎体或间盘发生不同程度的退变,而Cage组为28.11%(9/32),明显高于Zero-P组,差异有统计学意义(χ2=5.38,P=0.020)。

Zero-P组与Cage组单节段脊髓型颈椎病患者术后不同时间点吞咽困难发生情况的比较(例)
Zero-P组与Cage组单节段脊髓型颈椎病患者术后不同时间点吞咽困难发生情况的比较(例)
| 组别 | 例数 | 第1天 | 1周 | 1个月 | 3个月 | 末次随访 |
|---|---|---|---|---|---|---|
| Zero-P组 | 16 | 12 | 7 | 3 | 2 | 1 |
| Cage组 | 16 | 14 | 9 | 5 | 5 | 3 |
| P值a | 0.654 | 0.724 | 0.685 | 0.394 | 0.599 |
注:Zero-P为零切迹颈前路椎间融合系统;a Fisher确切概率法


传统的颈前路Cage联合钛板术式存在吞咽困难、气道损伤等并发症风险;此外,由于椎体前方的不平整,包括颈椎退变导致椎体前方的骨赘及椎体向前的轻度滑脱,是导致颈前路钛板术后发生松动的重要原因,同时增加了邻近节段退变的风险[7]。而由聚醚醚酮椎间Cage和4枚螺钉组成的Zero-P,除具有Cage联合钛板的优点外,还能有效避免颈前路钛板的缺点。
Pitzen等[8]研究指出,Zero-P是颈前路融合术理想的内固定材料,接受Zero-P治疗的患者椎间融合更快,置入物相关并发症更低,并能更好地维持颈椎的生理前凸,且这种优势在术后2年内更突出。在本组病例中,Zero-P组和Cage联合钛板组患者术后生理曲度均得到明显恢复,差异无统计学意义(P>0.05),与刘光普等[9]报道相似。由于生理前凸维持与置入物大小、位置、接触面积、术中撑开高度等多种因素有关,笔者认为,要对比2种术式对术后颈椎生理前凸维持的有效性,还需要大量的临床观察。Barbagallo等[7]指出,Zero-P融合器并不需要过分追求椎体前方的平整,在进行椎管减压后,仅需处理上下椎体的软骨板,相对于颈前路钛板,能显著降低手术时间。Yin等[10]也指出Zero-P融合器在手术减压后置入椎间隙不突出于颈椎序列,可简化传统的Cage联合钛板手术过程,迅速提高手术节段的稳定性。本研究的结果亦显示,Zero-P组的手术时间明显少于Cage联合钛板组,差异有统计学意义。Barbagallo等[7]发现,接受Zero-P融合器治疗的患者术后都有理想的矢状位序列,椎间融合率94.5%、神经减压满意,多节段手术患者未因为同一个椎体上有4个螺钉而发生骨折。研究证实,Zero-P有着与Cage联合钛板相似的生物力学稳定性[10, 11]。本研究中,2组病例术后JOA评分、SF-36评分、NDI评分及椎间隙高度及颈椎生理前凸(Cobb角)都较术前明显改善,而2组间差异均无统计学意义,术后椎间融合均达到100%。另外本研究中,Zero-P组患者的Zero-P融合器未发生松动、滑脱或断裂,而Cage联合钛板组患者出现4例颈前路钛板松动。
邻近节段退变是ACDF术后的常见并发症之一,尤其发生在多节段颈椎病术后及术中使用过长的颈前路钛板的患者中[7,10],由于颈前路钛板上下端距离相邻椎间盘太近,会加速椎间盘的退变及椎体骨赘的形成,从而导致远期并发症的发生[12]。Zero-P融合器仅位于椎间隙内,在颈椎屈伸活动时不干扰邻近节段,能显著减低邻近节段退变的发生。本研究影像学观察结果显示,Zero-P组发生邻近节段退变的例数明显低于Cage组,与以上文献报道相吻合[7,10, 11, 12]。
吞咽困难也是ACDF术后的常见并发症,发生率2%~67%[13, 14]。研究发现,ACDF术式颈前路钛板的厚度与术后吞咽困难的发生呈正相关,此外,还应考虑手术节段高低与多少、食管回缩及水肿、食管静脉丛及喉上神经的损伤、椎前软组织肿胀、植骨块的突出等因素的影响,Zero-P融合器能显著降低术后吞咽困难的发生[13,15]。Zero-P融合器处于椎间隙内,一般不超过椎体前缘,可避免对食管周围软组织的直接刺激,是降低术后慢性吞咽困难的重要原因。Barbagallo等[7]随访85例Zero-P融合器治疗的患者,术后吞咽困难发生率为15.5%。而本组病例中,Zero-P组及Cage组术后吞咽困难发生人数差异无统计学意义,由于本研究样本量偏小,结果可能存在偏倚,尚需大样本研究进一步证实。
综上,与传统Cage联合钛板内固定融合术相比,Zero-P技术治疗脊髓型颈椎病能获得同样的临床效果,但操作更简便,手术时间短,有效降低邻近节段退变的发生,更具有优势。
所有作者声明不存在利益冲突

























