
硬膜外麻醉是椎管内分娩镇痛最常用的一种方式,常以体表可触及的骨性标志和脊柱解剖学结构为定位依据,但在某些合并肥胖症或严重的脊柱侧弯畸形患者中,难以触及的骨性标志和异常解剖学结构使得传统的定位方法失效,此时盲目地放置硬膜外导管可能困难并且不安全。本文报道1例脊柱侧弯矫形术后产妇在超声引导下行硬膜外分娩镇痛,运用超声辅助定位穿刺椎间隙,减少了硬膜外腔插入尝试的次数,改善了分娩镇痛的质量,提高了产妇的满意度,可为脊柱侧弯术后产妇实施椎管内分娩镇痛提供良好的指导价值。
版权归中华医学会所有。
未经授权,不得转载、摘编本刊文章,不得使用本刊的版式设计。
除非特别声明,本刊刊出的所有文章不代表中华医学会和本刊编委会的观点。
患者女,30岁,孕1产0(G1P0)。因“妊娠39+2周,要求待产”入四川大学华西第二医院。体重70 kg,身高157 cm。16年前诊断为“特发性脊柱侧弯畸形”,于外院行经前路T12~L3椎体植骨融骨术,胸椎仍呈现向右侧明显侧突,腰椎呈现向左侧侧突。患者孕29周查出抗凝脂抗体阴性,孕33周查出狼疮抗凝物阳性,开始肝素抗凝治疗。
本次入院后停止肝素治疗。其他检查未见异常。入院诊断为“妊娠合并非典型抗磷脂抗体综合征,脊柱侧弯矫形术后,G1P0,39+2周宫内孕,头位,单活胎,待产”。经产科和骨科医生评估,认为患者有顺产的条件,且患者及家属有较强的顺产意愿,计划先顺产。产前拟行腰椎MRI检查,但因患者不能明确脊柱植入物的材质,暂不行脊柱MRI检查。麻醉科计划在超声引导下为患者实施硬膜外麻醉,以满足分娩镇痛需求。
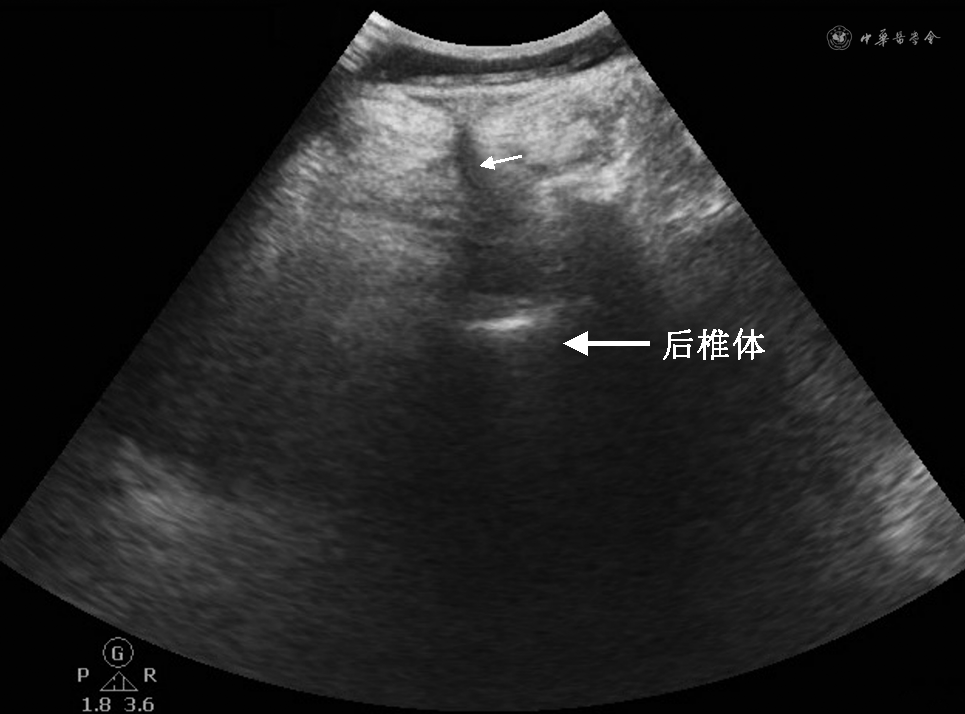
患者于入院后第5天凌晨出现规律宫缩,常规监测心率、血压及氧饱和度(SpO2),鼻导管吸氧(3 L/min),开放静脉通路。入室血压117/64 mmHg(1 mmHg=0.133 kPa),心率81次/min,SpO2 100%。采取左侧卧位,屈膝屈髋位,采用飞利浦CX50可移动实时三维超声系统行超声检查,探头频率 1~5 MHz。超声探头平行于脊柱,在矢状位可见腰1~腰4(L1~L4)棘突向左倾斜,L1~L4椎间隙超声显示不清楚。经矢状位和冠状位反复扫查后,在正中线向左0.5 cm处可见腰4~腰5(L4~L5)椎间隙,在冠状位超声图像下未见明显黄韧带,仅可见椎体,在此处做好标记(图1)。选择L4~L5间隙为穿刺间隙,从标记处置入18 G硬膜外穿刺针,向患者右侧稍微调整进针方向,硬膜外针在距皮肤4.5 cm左右时到达硬膜外腔,并向头侧置入带有钢丝的20 G硬膜外导管,导管深度3 cm,回抽无血液和脑脊液,固定导管。平卧后经硬膜外导管给予试探剂量1.5%利多卡因3 ml(内含1∶200 000肾上腺素),5 min之内患者未出现头晕、耳鸣、舌头发麻等局部麻醉药中毒反应以及低血压等全脊髓麻醉表现,硬膜外腔给予0.1%罗哌卡因和舒芬太尼0.5 μg/ml混合液5 ml,10 min后利用针刺法测定麻醉平面,双侧均为T12,双下肢无发麻和运动障碍,再次追加混合液7 ml,10 min后测定麻醉平面,双侧均为T8,患者诉双下肢麻木,但无运动障碍及其他不适。硬膜外导管连接装有以上混合液的自控硬膜外镇痛泵,设置背景剂量为8 ml/h,追加剂量为5 ml/次,锁定时间为20 min,极限量为20 ml/h。在整个分娩过程中,为保证分娩镇痛效果,实时评估并调整给药剂量和速度,产妇宫缩痛明显缓解,视觉模拟疼痛评分2~3分,无明显运动神经阻滞,镇痛期间持续进行心电、血压和胎心监护。产程进展顺利,最终顺产。婴儿1、5、10 min的Apgar评分均为10分。会阴切口缝合后顺利拔除硬膜外导管。术后随访未出现神经系统并发症及其他不适。


脊柱侧弯又称脊柱侧凸,其中青少年特发性脊柱侧弯(adolescent idiopathic scoliosis,AIS)是最常见的一种,其发病机制尚不明确,发病率为1%~3%[1, 2]。AIS畸形程度大多较轻,合并肺功能障碍多为轻度或正常,但重度脊柱畸形多合并以中重度限制性通气功能障碍为主的肺功能障碍[3],如果不治疗,会进展到肺动脉高压,甚至呼吸衰竭和死亡。通过手术矫正,心肺问题通常会得到缓解。本例产妇行脊柱侧弯矫正术后,心肺功能基本正常。
既往脊柱手术史常被认为是椎管内阻滞的相对禁忌证。在脊柱大手术后,解剖结构的改变可能使硬膜外腔定位和针头或导管的放置变得更加困难和复杂。同时手术造成的硬膜外腔瘢痕组织粘连或闭塞可能会增加硬脊膜刺破的发生率,或减少硬膜外腔内局麻药的扩散,产生不完整或失败的阻滞。但在一项对比有或没有脊柱手术史的既往椎管病变患者的回顾性研究中发现,两组之间在椎管内麻醉后神经系统并发症风险和阻滞效果上差异无统计学意义,认为脊柱手术史可能不会增加椎管内操作技术或神经系统并发症的风险,也不会影响阻滞成功率[4]。
已有少数病例报道证实超声可以用于脊柱侧弯矫正术后孕妇剖宫产术时椎管内麻醉[5, 6, 7],但仅见1例超声引导用于脊柱侧弯矫正术后孕妇行椎管内分娩镇痛的报道[8]。对于肥胖或严重侧弯畸形患者而言,超声具有明显优势,它不仅有助于定位穿刺椎间隙和估计硬膜外腔的位置及深度,提高硬膜外腔穿刺和置管的成功率,减少穿刺时间[9],甚至能够减少神经根的损伤及暂时的或永久的神经并发症[10]。本例产妇运用超声辅助定位穿刺椎间隙,减少硬膜外腔插入尝试的次数,改善分娩镇痛的质量,提高产妇的满意度,为脊柱侧弯术后产妇成功实施椎管内分娩镇痛提供了良好的指导价值。
对于脊柱侧弯矫正术后产妇行硬膜外分娩镇痛应注意:(1)脊柱侧弯矫正术后硬膜外腔的扭曲可能会阻碍局麻药在硬膜外腔的正常扩散,造成高平面或斑块状阻滞。需要反复多次测量麻醉平面以及评估双侧是否一致,实时调节麻醉药浓度和剂量,避免麻醉平面过高或过低,甚至出现双下肢无力;(2)若硬膜外麻醉失败或阻滞不全,可考虑行瑞芬太尼自控静脉分娩镇痛,但有发生过度镇静、呼吸抑制的风险,使用期间应确保一对一的监护和辅助供氧;(3)若硬膜外镇痛失败,剖宫产麻醉可以考虑超声引导下周围神经阻滞,如腹横平面阻滞、腰方肌阻滞等辅以静脉药物的麻醉方式,同时做好可视化插管和全麻的准备。
尽管大多数硬膜外麻醉的操作仍将继续采用传统的手法定位进行,但该案例说明超声引导下定位可为脊柱解剖结构异常患者实施椎管内麻醉带来益处,在产科麻醉中具有良好的前景,值得在临床上推广应用。
所有作者均声明不存在利益冲突





















