
异物吞食体内常无明显症状且可自行排出,但部分可能因误诊滞留体内而导致严重并发症。对于此类患者应综合不同诊断方式,一旦确诊应在必要时尽早治疗。笔者报道1例吞食木筷后滞留体内6年,致十二指肠穿孔后嵌入腰大肌并发腹腔脓肿的患者资料,在内镜辅助下行腹腔镜异物取出术,患者预后良好,旨在为该病的诊断与治疗提供参考。
版权归中华医学会所有。
未经授权,不得转载、摘编本刊文章,不得使用本刊的版式设计。
除非特别声明,本刊刊出的所有文章不代表中华医学会和本刊编委会的观点。
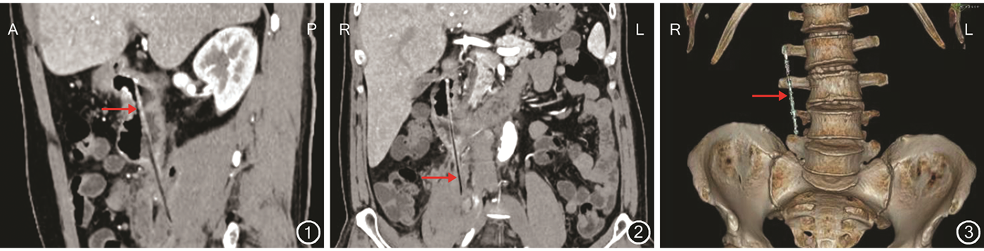
患者男,52岁。因右季肋区及腰背部疼痛10 d伴发热入院。患者10 d前无明显诱因出现右季肋区及右侧腰背部疼痛,伴恶心、呕吐,肛门排气、排便停止。曾于当地医院就诊,腹部X线片检查结果示部分肠道扩张,口服头孢哌酮后病情未好转,遂就诊于我科。患者有原发性高血压病史10年,无心脏病史、糖尿病史;自述6年前曾酒后吞食木筷,无明显症状,未予诊断与治疗。患者入院体格检查:体温38.0 ℃,心率78次/min,呼吸17次/min,血压150/100 mmHg(1 mmHg=0.133 kPa);腹部膨隆,轻度腹胀,右季肋区压痛、反跳痛、局部肌紧张;移动性浊音阴性,肠鸣音减弱;右肾区叩击痛,右输尿管走行区可疑压痛,其余体格检查均为阴性。患者入院辅助检查:WBC计数14.38×109/L,嗜中性粒细胞85%,C-反应蛋白20.44 mg/L。患者术前拒行胃镜检查。腹部增强CT检查结果显示:十二指肠降部条状高密度异物影,边界清晰,异物穿破十二指肠降部向下刺入右侧腰大肌,腹膜后少量积气伴周围脓肿形成,病灶局部与右侧输尿管中段分界不清晰。见图1, 2, 3。


王泽铭住院医师:结合患者病史、临床症状、体格检查和影像学检查,初步诊断为十二指肠异物穿孔并发腹腔脓肿形成、肠梗阻、局限性腹膜炎。
沈可欣主治医师:患者给予禁食、禁饮、胃肠减压、静脉营养支持治疗。根据临床症状及体征结合辅助检查结果,患者存在异物所致肠穿孔、梗阻、脓肿形成表现,且滞留体内时间较长,伴有腹膜炎症状,具备外科手术指征。与患者家属充分沟通,明确病情及手术风险,建议尽快行手术干预。积极完善术前准备,排查手术禁忌证。
谢忠士主任医师:十二指肠异物患者常不能提供明确异物吞服史,导致误诊、漏诊等情况发生。部分患者仅表现腹痛、腹部不适等症状,应注意与十二指肠憩室、胃肠炎、肠道肿瘤等鉴别诊断。十二指肠异物最常见并发症为消化道穿孔,合并腹膜炎体征,应与急性阑尾炎、胆囊炎、胰腺炎及结核性腹膜炎等进行鉴别诊断;部分患者仅有非特异性慢性炎症、腹部肿块或脓肿形成表现。因此,对不明原因发热、WBC计数升高等全身感染症状应考虑异物穿孔。本例患者自述病史达6年,症状不典型。异物穿孔后被局部组织包埋,导致腹膜炎体征不明显,至出现右季肋区及腰背部疼痛伴发热、梗阻表现时才就诊。结合患者影像学检查结果,异物滞留时间较长,嵌入腰大肌,局部脓肿组织与输尿管分界不清晰,有必要行腹腔镜手术探查,术中根据情况决定具体手术方式,取出异物。
患者及家属术前签署知情同意书。2020年8月20日患者于全身麻醉下行腹腔镜十二指肠异物取出术。术中游离大网膜,松解结肠肝曲与后腹膜愈着处,于右侧髂血管上方约1 cm处切开小肠系膜,见小肠系膜充血水肿,与周围组织粘连密切。继续分离至腰大肌内侧,见含大量黄色脓性物质窦道。完全清除积脓后,继续沿窦道分离显露十二指肠,根据术前CT检查结果提示异物应该处于该区域。但术中探查后只发现窦道与十二指肠降部后壁的连接,未发现异物,遂行胃镜检查定位异物位置。胃镜检查结果示十二指肠降部见黑色条形异物(图4),降部后壁发现一小凹,肠壁完整。胃镜下尝试取出异物失败。于幽门附近全层切开胃前壁约4 cm,将异物完整取出(图5),连续缝合胃壁并行浆肌层包埋。胃镜检查充气后未见漏气,且无异物残留。留置2根腹腔引流管监测术后吻合口漏。患者顺利完成手术,手术时间为315 min,术中出血量为300 mL,术中输注RBC悬液1.5 U。术后继续给予抗炎、抑酸、营养支持、对症治疗。患者术后恢复良好,体温恢复正常,术后第2天下床活动和肛门排气,第5天进流质食物,第7天拔除腹腔引流管,无并发症发生。患者术后第9天出院,随访至2021年11月,无不适主诉。


异物吞食主要发生于年龄为6个月至6岁的儿童及存在精神障碍、智力迟钝或酗酒的成年人[1]。各类异物中,以鱼骨和其他动物骨头占比最高,分别为9%~45%和8%~40%[2]。由于消化道本身肌肉层强健、蠕动功能强,且通常摄入异物体积较小,80%的患者不会表现出明显临床体征,异物能被自行排出体外;而20%的患者可能需内镜干预,仅约1%因尖锐物品于狭窄及急性成角区域滞留导致穿孔等情况发生[3]。而上消化道异物滞留发生区域中,食管和胃多见,十二指肠相对少见[4, 5]。十二指肠位置相对固定,大部分处于腹膜外位,其降部和水平部所形成的生理弯曲角度较大。且肠壁平滑肌为内环外纵结构,伸展空间相对较小。该解剖特点决定异物可滞留此处并导致穿孔等情况发生[6]。已有研究结果显示:长度>6 cm,直径>2.5 cm物体滞留在幽门或十二指肠生理弯曲处可能性较大,而质地坚硬、尖锐、形状细长的异物更容易造成穿孔等并发症[7, 8]。异物穿孔可导致化脓性十二指肠炎、腹膜炎、败血症等;甚至引起邻近脏器损伤、出血、瘘、腹腔脓肿等不良后果[9, 10]。因此,早期诊断并在必要时医疗干预是改善预后的关键。由于患者人群的特殊性,部分患者不能回忆甚至隐瞒异物吞食史,这需医师详询病史同时,完善必要辅助检查[11]。
X线片检查适用于所有怀疑吞咽异物患者。该检查可识别胃肠道中大部分不可透X射线异物,并监测后续并发症[12]。但部分木制、塑料、玻璃,以及动物骨质等可透射线类异物,不能很好地显现[13]。CT检查对木制异物高度敏感,呈高密度成像且能定位,还可运用后期图像重建更好地评估异物特点、与周围脏器的毗邻关系及穿孔、脓肿等相关并发症情况[14, 15]。超声检查可通过患者体位变换,多角度、实时动态评估异物位置。而内镜检查兼具诊断与治疗的双重价值,且能在直视腔内观察异物,同时诊断其他胃肠道疾病,本例患者术前拒绝行胃镜检查[16]。但上述检查方式都有局限性[17]。本研究中患者体内木筷滞留长达6年却无明显症状,影像学检查诊断困难。这可能与异物穿透肠壁后被腹膜后肌肉组织等包裹,且异物滞留于穿孔部位,导致肠腔内气体及液体外溢较少,使腹膜炎体征不明显有关[18]。因此,临床医师应综合全面评估病情,尤其当腹部X线片检查为阴性但存在腹痛、发热、WBC计数明显升高等不明原因的全身感染症状时,应警惕消化道异物可能,以防误诊、漏诊导致异物长期滞留体内[19]。
Wang等[5]的研究结果显示:体内异物滞留时间>24 h发生并发症的风险是滞留时间≤24 h的2.67倍,且随着患者年龄增长而增加,应尽早干预。多数异物都可先尝试内镜治疗,内镜治疗具有微创、操作简便、并发症少、费用低等优势,成功率可达78%~94%[20]。《中国上消化道异物内镜处理专家共识意见(2015年,上海》建议:(1)尖锐或腐蚀性异物、磁性异物合并金属或多个磁性异物,以及导致患者出现胃肠道梗阻、损伤表现的胃、十二指肠内异物应行急诊内镜处理。(2)单个磁性异物、异物直径≥2.5 cm或长度≥6 cm难以通过胃或十二指肠异物,以及经历观察期后自然排出失败的无症状异物,建议在24 h内尽快择期内镜诊断与治疗[21]。大多数无症状异物能在1周内,较少数需要4周自行通过胃肠道排出[22]。因此,欧洲胃肠内镜学会(ESGE)成人上消化道异物移除临床指南建议:对胃内观察滞留达4周或十二指肠远端>1周而无位置变化的无症状异物应行内镜取出,且观察期间应每周行X线片检查监测其位置[17]。
当胃镜对于十二指肠降部远端的异物观察受限或取出失败时,或异物导致穿孔、梗阻、出血和腹腔脓肿等情况及合并腹膜炎症状时,应选择手术治疗[14,23, 24, 25]。腹腔镜手术在高可视化狭小的腹腔空间进行精细操作,比开腹手术创伤小、患者疼痛程度轻,且术后恢复快[20]。而腹部炎症粘连严重或腹腔镜手术不成功时,应考虑行开腹手术。
本研究中患者异物滞留时间长,考虑周围组织水肿等情况,不利于十二指肠切口术后愈合,术中未直接行十二指肠切开,而是通过胃全层开口取出异物[26, 27]。患者疾病进展情况较特殊,异物刺破腰大肌并形成局部脓腔和周围组织的窦道,却于术前移位回十二指肠内。为确保手术安全,术中不造成额外损伤,术前仍需再次行相关检查以评估异物位置变化;术中内镜可使胃肠道内部可视化,实时定位异物,结合腹腔镜技术可被视为清除异物的有利措施。本研究中运用上述措施,安全去除十二指肠异物,患者术后恢复良好。
所有作者均声明不存在利益冲突





















