
性传播疾病(sexually transmitted disease,STD)是以性接触为主要传播途径的一类传染性疾病。多数STD的口腔表征不仅具有特征性,且常常是其首发、早发、必发的临床表现。这就要求口腔医师必须熟悉STD的口腔表征,以利早期做出诊断,避免漏诊及误诊,并进行积极的治疗和监测,阻止STD的传播。同时,要求口腔医师在临床工作中做好自身防护。本文着重介绍艾滋病、梅毒、淋病、尖锐湿疣的流行病学特点、口腔表征、实验室检查、诊断和治疗。
版权归中华医学会所有。
未经授权,不得转载、摘编本刊文章,不得使用本刊的版式设计。
除非特别声明,本刊刊出的所有文章不代表中华医学会和本刊编委会的观点。
经全国继续医学教育委员会批准,本刊开设继教专栏,2022年从第2期至第8期共刊发10篇继教文章,文后附5道单选题,读者阅读后可扫描标签二维码答题,每篇可免费获得Ⅱ类继教学分0.5分,全年最多可获5分。
性传播疾病(sexually transmitted disease,STD)也称性病,是以性接触为主要传播途径的一类传染性疾病[1]。此类疾病不仅能引起泌尿生殖器官病变,还可经血液、淋巴系统入侵全身组织和器官,严重影响患者身心健康。目前被世界卫生组织(World Health Organization,WHO)列入STD的病种已达20余种,根据《性病管理防治办法》(卫生部令第89号),我国重点监测的性病有艾滋病、梅毒(syphilis)、淋病(gonorrhea)、尖锐湿疣(condyloma acuminata)、生殖器疱疹、生殖道沙眼衣原体感染,其中艾滋病、梅毒、淋病属于乙类传染病。近10年来,STD的流行状况呈现出发病年龄降低、无症状或轻微症状患者增多、耐药菌株数增多、发病率上升的特点。
STD的病原体种类繁多,包括病毒、衣原体、支原体、细菌、螺旋体、寄生虫和原虫等。STD的传播途径除性接触(经生殖器、口腔、肛门)传播外,还有间接接触传播、母婴垂直传播、血液传播、医源性传播、器官移植和人工授精传播等。STD的预防、监测、诊断、治疗、报告、健康教育、咨询及性伴侣通知等一直是性病管理的重点[2]。多数STD的口腔表征不仅具有特征性,且常常是其首发、早发、必发的临床表现。这就要求口腔医师必须熟悉STD的口腔表征,早期做出诊断,避免漏诊及误诊,并进行积极的治疗和监测,阻断STD的传播;同时要求口腔医师在临床工作中做好自身防护。本文着重介绍艾滋病、梅毒、淋病、尖锐湿疣的流行病学特点、口腔表征、实验室检查、诊断和治疗。
艾滋病,即获得性免疫缺陷综合征(acquired immune deficiency syndrome,AIDS),是由人类免疫缺陷病毒(human immunodeficiency virus,HIV)引起的以CD4+T淋巴细胞减少为特征的进行性免疫功能缺陷,可继发各种机会性感染、恶性肿瘤和中枢神经系统病变的综合征,严重者可导致死亡[1]。
1.流行病学特点
(1)流行概况:艾滋病具有传播速度快,波及范围广,死亡率高的特点。截至2020年底,联合国艾滋病规划署报告全球现存活HIV/AIDS患者3 770万,当年新发HIV感染者150万,新增相关死亡病例约68万例[3]。根据中国疾病预防控制中心性病艾滋病预防控制中心信息,自1985年我国发现首例AIDS患者起,截至2021年10月底,我国报告的现存AIDS患者114万例。尽管我国AIDS疫情总体处于低流行趋势,但在重点地区和特定人群中呈现高流行态势,防控形势不容乐观。新报告HIV感染病例持续增多、晚发现、HIV耐药传播等问题仍突出,AIDS合并慢性病的发病率和死亡率依然呈上升趋势,且新冠肺炎疫情给AIDS防控也带来新的挑战[4]。
(2)传播途径:主要包括性接触传播、血液及血制品传播以及母婴垂直传播[5]。其中性接触传播是主要途径,包括不安全的同性、异性和双性性接触。
2.发病机制:HIV主要侵犯人体免疫系统,包括CD4+T淋巴细胞、单核巨噬细胞和树突细胞等,主要表现为CD4+T淋巴细胞数量不断减少,最终导致人体免疫功能缺陷,引起各种机会性感染和肿瘤的发生。
3.口腔表征:大多数HIV/AIDS患者均有口腔表征,且通常发生在HIV感染早期,与CD4+T淋巴细胞数量下降有关,可作为预测和评估免疫状态的临床指标[6, 7]。此外,抗反转录病毒治疗可有效降低HIV相关的口腔损害[8]。因此,口腔表征是早期诊断HIV感染、监测病情进展及治疗反应的重要依据[8, 9]。
(1)口腔念珠菌病:口腔念珠菌病在HIV感染者的口腔损害中最常见,且常在疾病早期发现,是免疫抑制的早期征象[6]。口腔念珠菌病在临床上常表现为假膜型、红斑型和口角炎3种类型(图1),其中假膜型最常见[5]。假膜型的临床表现为多发性浅表乳白色斑块,可擦掉,无痛,常累及舌、腭、颊、咽等部位(图1A);红斑型表现为大小不一的弥散性红色斑片,伴烧灼性疼痛,多发生于舌背和腭部(图1B);口角炎表现为口角萎缩、皲裂,伴疼痛(图1C),常与假膜型或红斑型同时出现。


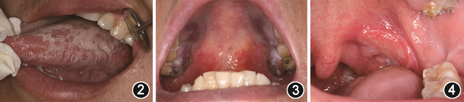
(2)毛状白斑(hairy leukoplakia):毛状白斑是患者全身免疫严重抑制的征象之一,主要见于HIV感染者,少数可见于血液恶性肿瘤、骨髓或器官移植、长期使用糖皮质激素的患者[10]。毛状白斑的发生与EB病毒感染有关[5],最初多见于男性同性恋者。临床表现为双侧或单侧舌缘无症状的白色斑块,表面粗糙或呈皱褶状,不能被擦去(图2)。在少数情况下,颊、软腭、咽部或食道也可受累。


(3)单纯疱疹(herpes simplex):单纯疱疹主要由Ⅰ型单纯疱疹病毒引起,是HIV感染者常见的疱疹病毒损害。临床表现为口腔黏膜成簇小水疱,水疱破溃形成糜烂,可发生在口腔任何部位,往往病情重,病程长,可持续1个月以上。
(4)卡波西肉瘤(Kaposi sarcoma):卡波西肉瘤是HIV感染者中最常见的口腔恶性肿瘤,是AIDS的临床诊断指征之一,其发生主要与人类疱疹病毒8型(human herpes virus,HHV-8)感染有关[11]。好发于腭和牙龈,呈单个或多个褐色或紫色的斑块或结节,可有分叶,伴溃烂或出血(图3)。该病发病部位广泛,进展迅速,恶性程度高,其预后取决于机体的免疫功能、疾病所处的阶段、有无机会性感染等因素[9]。
(5)HIV相关性溃疡:HIV感染者可发生无明确原因的非特异性口腔溃疡,病损范围较大,不易愈合[5]。HIV相关性复发性阿弗他溃疡表现为口腔黏膜出现单个或多个反复发作的圆形或椭圆形疼痛性溃疡(图4),占HIV相关性口腔病损的7%左右[6]。
(6)HIV 相关性牙周病:HIV相关性牙周病包括线形牙龈红斑、坏死性溃疡性牙龈炎、坏死性溃疡性牙周炎[6]。线形牙龈红斑表现为游离龈上界限清楚的火红色充血带,宽2~3 mm。常规治疗疗效不佳,其发生可能与龈下念珠菌的定植有关[9]。坏死性溃疡性牙龈炎表现为龈缘、龈乳头溃疡、坏死脱落,易出血、疼痛。坏死性溃疡性牙周炎可能为坏死性溃疡性牙龈炎侵犯牙周附着进展而来,表现为牙周软硬组织破坏所致,牙松动甚至脱落。在免疫抑制的情况下,可进一步进展为坏死性口炎,表现为广泛的组织坏死。
(7)涎腺疾病:多累及腮腺,其次为下颌下腺。表现为单侧或双侧大涎腺的弥漫性肿胀,质地柔软,常伴有口干症状。抗核抗体、类风湿因子阴性。
(8)口腔黏膜色素沉着:关于HIV相关的口腔黏膜色素沉着的报道逐年增加,其可作为全身免疫抑制的临床标志,与CD4+T淋巴细胞数量下降相关[6,12]。临床表现为单个或多发的棕色或棕黑色不对称斑片,大小形状不一,界限清楚或不清楚,可发生于口腔黏膜的任何部位,通常无症状[12]。
(9)乳头状瘤:乳头状瘤是一种口腔疣状损害,表现为口腔黏膜的外生性乳头状赘生物,其发生与HPV-2、6、11、13、16、32相关[9]。
(10)非霍奇金淋巴瘤:非霍奇金淋巴瘤是第二大常见的HIV相关性肿瘤,与EB病毒和HHV-8感染有关。该病的主要好发部位是咽淋巴环(Waldeyer),包括鼻咽、口咽、扁桃体、软腭以及舌根在内的环状分布的淋巴组织,可出现咽喉疼痛和吞咽困难[9]。也可累及牙龈、颊、口底、前庭沟等部位,表现为固定而有弹性的红色或紫色肿块,伴或不伴有溃疡[9]。
(11)带状疱疹:带状疱疹由水痘带状疱疹病毒引起,是HIV感染的早期表现及AIDS免疫抑制状态的先兆[13]。临床表现为沿单侧三叉神经分布,累及单侧颜面部及单侧唇、颊、舌、腭、牙龈等的簇集状水疱,易破溃、结痂,常伴有明显的神经痛。多发生在40岁以内,病情严重,持续时间长,甚至为播散型,预后不良。
(12)组织胞浆菌病:组织胞浆菌病是由荚膜组织胞浆菌引起的一种全身性真菌感染[14]。表现为发生于舌、腭、颊部的慢性肉芽肿或较大的溃疡、坏死[5]。
4.实验室检查:主要包括HIV抗体检测、HIV核酸定性和定量检测、CD4+T淋巴细胞计数、HIV耐药检测等。HIV抗体检测是HIV感染诊断的金标准,HIV核酸检测(定性和定量)可用于HIV感染诊断。HIV抗体检测包括筛查试验和补充试验,HIV补充试验包括抗体补充试验(抗体确证试验)和核酸补充试验(核酸定性和定量检测)。HIV核酸定量检测和CD4+T淋巴细胞计数是判断疾病进展、临床用药、疗效和预后的两项重要指标。HIV耐药检测可为抗反转录病毒治疗方案的选择提供指导[3]。
5.诊断和治疗:诊断需结合流行病学史、临床表现和实验室检查等进行综合分析,慎重作出诊断。HIV/AIDS缺乏特效治疗方法,目前常用方法包括抗病毒治疗、免疫调节治疗、支持与对症治疗、社会心理综合关怀以及HIV感染的口腔疾病治疗。一旦确诊HIV感染,应立即开始抗病毒治疗。目前国际上共有6大类30多种药物(包括复合制剂),分别为核苷类反转录酶抑制剂、非核苷类反转录酶抑制剂、蛋白酶抑制剂、整合酶抑制剂、膜融合抑制剂及趋化因子受体5辅助受体抑制剂[3]。国内现有抗病毒药物包括前5大类(包含复合制剂)[3]。
梅毒是由苍白螺旋体(treponema pallidum)引起的一种慢性系统性性传播疾病,可分为后天获得性梅毒和胎传性梅毒(先天梅毒)。后天获得性梅毒又分为早期和晚期梅毒。获得性梅毒的临床表现多种多样,常为非特异性,被称为“大模仿家”。口腔病损常是各期梅毒的首要临床表现,也可以是唯一表现[15, 16]。梅毒属于经典的性传播疾病之一,已被WHO列为严重危害人类健康的全球性公共卫生问题[17]。
1.流行病学特点
(1)流行概况:全球每年大约有600万15~49岁的新发病例。我国梅毒发病率逐年增长,2020年发病率为33.08/10万,年轻人群发病率较高[18]。梅毒感染可增加高危人群感染HIV的风险性[19]。
(2)传播途径:主要为性接触传播,少数患者可通过接触带有梅毒螺旋体的毛巾、被褥、内衣、剃刀、医疗器械以及哺乳、输血感染。一期、二期梅毒患者出现口腔或生殖器溃疡时,口交可增加梅毒口腔感染的风险[20]。先天梅毒主要通过胎盘感染。
2.发病机制:梅毒的发病与梅毒螺旋体在体内大量繁殖及其引起的宿主免疫反应密切相关。苍白螺旋体可以通过破损的皮肤黏膜传播,进入淋巴和血液循环,播散到各器官,且具有逃避宿主免疫清除的能力,可潜伏于体内形成慢性感染[21]。
3.口腔表征:
(1)一期梅毒——硬下疳(chancre):硬下疳为一期梅毒常见的口腔损害,表现为孤立、无痛性溃疡,表面黄色假膜,基底浸润,边缘隆起,常累及唇、舌、腭、颊[22]。唇硬下疳最常见,多由口交引起,表现为圆形或椭圆形单个斑块,表面光滑或上覆黄色薄痂,可形成溃疡,边界清楚,周边微隆,触之较硬,无痛,可伴下颌下淋巴结肿大(图5)[23]。


(2)二期梅毒——黏膜斑(mucous patches)和黏膜炎:黏膜斑是二期梅毒最常见的口腔损害,其次为黏膜炎。黏膜斑常为多个圆形或椭圆形灰白色斑块,光亮而微隆,边界清楚,可发生糜烂或浅表溃疡,可伴疼痛,多见于舌、腭、咽、扁桃体、唇、颊(图6)[15]。黏膜炎表现为黏膜充血、弥漫性潮红,可有糜烂,好发于颊、舌、腭、扁桃体、咽及喉。
(3)三期梅毒——树胶肿(gumma)、梅毒性舌炎、梅毒性白斑:树胶肿主要发生于硬腭,其次为舌、唇、软腭,表现为无痛性、局限性结节溃疡性病损,可造成腭穿孔[15]。梅毒性舌炎表现为萎缩性舌炎。舌背有时呈分叶状,表面光滑,伴沟裂,表现为间质性舌炎。梅毒性白斑多发生于舌背,易恶变为鳞状细胞癌。
(4)先天性梅毒:标志性损害为桑葚牙、哈钦森牙。哈钦森牙常与神经性耳聋和间质性角膜炎合称为哈钦森三联征(Hutchinson′s triad)。
4.实验室检查:包括暗视野显微镜检查、镀银染色检查、核酸扩增试验、梅毒血清学试验、脑脊液检查[24]。其中梅毒血清学试验为诊断梅毒所必需,包括非梅毒螺旋体抗原血清试验和梅毒螺旋体抗原血清试验。前者操作简便,用于病例筛查、疗效判定及后续随访,包括快速血浆反应素环状卡片实验、性病研究实验室实验、血清不加热的反应素玻片试验、甲苯胺红不加热血清实验。后者敏感性、特异性较高,用于证实非特异性试验的阳性结果,包括荧光密螺旋体抗体吸收试验、梅毒螺旋体血凝试验、梅毒螺旋体明胶凝集试验、梅毒螺旋体酶联免疫吸附试验。脑脊液检查是神经梅毒唯一的确诊方法。
5.诊断和治疗:梅毒的诊断应根据流行病学史、临床表现和实验室检查综合分析,作出诊断。梅毒的治疗依据梅毒分期不同而有所差异,主要推荐的药物有苄星青霉素、普鲁卡因青霉素,替代药物为头孢曲松。对青霉素过敏者采用多西四环素。
淋病是经典的性传播疾病,由淋病奈瑟菌(淋球菌)感染所致,主要表现为泌尿生殖系统黏膜的化脓性炎症[25]。男性最常见的表现为尿道炎,女性则为宫颈炎[25]。
1.流行病学特点:WHO报告全球范围内淋病发病率为8.69/10万[26],我国2020年淋病的发病率为7.49/10万。淋病主要通过性接触传播,也可因接触含淋球菌的分泌物及被污染的用具间接传染。
2.口腔表征:
(1)淋菌性口炎(gonococcal stomatitis):主要发生在有口交史的患者,表现为口腔黏膜充血发红,可有糜烂或浅表溃疡,上覆白色假膜,可擦去,形成出血性创面。
(2)淋菌性咽炎(gonococcal pharyngitis):见于有口交行为者,90%以上的感染者无明显症状,少数患者有咽干、咽部不适、灼热或疼痛感。咽部黏膜充血、咽后壁有黏液或脓性分泌物。
3. 实验室检查:包括直接涂片显微镜检查、淋球菌培养和核酸检测[25]。淋球菌培养具有高度特异性,是淋病的确诊试验,核酸检测比培养更敏感。
4.诊断和治疗:根据流行病学史、临床表现和实验室检查进行综合分析,作出诊断。治疗应遵循及时、足量、规则用药的原则,推荐药物为头孢曲松、头孢噻肟。
尖锐湿疣是由HPV感染引起的以皮肤黏膜疣状增生性病变为主的性传播疾病。该病传染性强,容易复发,需长时间反复治疗。
1.流行病学特点:尖锐湿疣的全球发病率为(160~289)/10万。该病主要由低危型HPV-6、11引起,人类是HPV的唯一天然宿主。最主要的传播途径是性接触,口腔尖锐湿疣多由口交感染引起。少数患者也可能通过非性接触感染。此外,HPV可通过胎盘、阴道分娩等途径传播给新生儿。
2.口腔表征:好发于舌背、唇、牙龈、颊、腭等。表现为单个或多个小的结节,有蒂或无蒂,可逐渐增大或融合,形成菜花状、乳头状赘生物,呈苍白色或肉色[5](图7)。
3.实验室检查:
(1)病理学检查:典型表现为表皮乳头瘤样或疣状增生,表皮浅层可见灶状、片状及散在分布的空泡化细胞。
(2)核酸扩增试验:直接检测标本中的HPV DNA。
(3)醋酸白试验:更多应用于治疗过程中对可疑病损的甄别[27]。
4.诊断和治疗:尖锐湿疣的诊断应依据病史、临床表现和实验室检查综合分析。物理治疗包括冷冻治疗、电外科治疗、激光治疗、微波治疗、手术治疗和光动力疗法。药物治疗包括0. 5%鬼臼毒素酊、5%咪喹莫特乳膏、80%~90%的三氯醋酸溶液、茶多酚软膏、5-氟尿嘧啶、病损内干扰素注射治疗等[27]。
口腔医师必须加强院感防控意识,减少职业暴露、避免交叉感染。口腔医师自我防护的措施包括:①接触患者血液、体液时,医务人员须佩戴手套、口罩、防护眼镜,甚至穿防护服;②禁止对使用后的一次性针头复帽;③禁止用手直接接触使用过的针头、刀片等锐器;④使用后的锐器应直接放入利器盒内进行安全处置;⑤严格执行消毒制度。
所有作者声明不存在利益冲突
患者男性,38岁,以“口腔白色斑块1个月”为主诉就诊。现病史:1个月前,患者口腔无明显诱因出现白色斑块,平素无明显疼痛。否认咀嚼槟榔史、吸烟史、饮酒史,否认系统性疾病史、药物过敏史、家族遗传史,承认有冶游史。临床检查:下唇内侧黏膜、舌背、舌缘可见散在椭圆形灰白色光亮斑块,直径4~8 mm,表面微隆起、湿润。口内无残根、残冠、银汞合金充填物及其他不良修复体。
1.该患者最可能的诊断是()
A.一期梅毒
B.二期梅毒
C.三期梅毒
D.潜伏梅毒
2.该诊断疾病的致病病原体为()
A.HIV
B.HPV
C.HSV
D.TP
3.该病应首选的检查方法是()
A.梅毒血清学试验
B.病理检查
C.脑脊液检查
D.细菌培养
4.该病的口腔表现还包括()
A.硬下疳
B.树胶肿
C.梅毒性黏膜炎
D.梅毒性舌炎
5.该病首选的治疗药物是()
A.苄星青霉素
B.阿奇霉素
C.甲硝唑
D罗红霉素





















