
比较分析肠型壶腹周围癌(IPAC)与胰胆管型壶腹周围癌(PPAC)的磁共振成像(MRI)征象特点,探讨最优诊断方案。
回顾性分析南京鼓楼医院2017年1月至2020年7月,经手术病理确诊为壶腹周围癌(PAC)59例患者(男32例,女27例,年龄37~80岁)的术前MRI图像,将病灶根据组织病理结果分为IPAC组21例(男 11例,女10例)和PPAC组38例(男 21 例,女17例)。纳入分析的MRI常规平扫图像征象包括:病灶形态、病灶最大径、病灶位置、十二指肠乳头形态、平扫病灶信号(以正常胰腺信号作为参照)、弥散加权成像(DWI)信号。磁共振胰胆管水成像(MRCP)图像征象包括:胆总管及主胰管是否扩张及管径定量分析、胆总管远端内有无类圆形充盈缺损、胆总管狭窄形态、梗阻胰管周围是否有扩张侧支、管征、截断胆总管末端到十二指肠乳头距离、截断胰管末端到十二指肠乳头距离和胰胆管角度。采用受试者工作特征(ROC)曲线评价有意义单因素的诊断效能。依据有意义的单因素指标,总结PAC的MRI征象特点,将PAC的MRI征象特征归纳为影像5分型。并采用ROC曲线评价该分型标准对PAC病理亚型的诊断效能。采用DeLong 检验比较多种诊断方法的ROC 曲线下面积(AUC)。
在单因素分析中,IPAC与PPAC在病灶位置、十二指肠乳头形态、胆总管远端内类圆形充盈缺损、截断胰管末端到十二指肠乳头距离、胰胆管角度和平扫T 2加权成像(T2WI)脂肪抑制图像上病灶信号特点间的差异均有统计学意义(均P<0.05)。在MRI影像5分型中,IPAC多表现为十二指肠乳头结节型(15/21,71.4%),PPAC更多表现为胰腺肿块型(18/38,47.4%)、胆总管壁增厚型(9/38,23.7%)或壶腹部肿块型(9/38,23.7%),IPAC(2/21,9.5%)与PPAC(0,0)均较少表现为胆总管腔内结节型。在有意义单因素指标(病灶位置、十二指肠乳头形态、胆总管远端内类圆形充盈缺损、截断胰管末端到十二指肠乳头距离、胰胆管角度、平扫T2WI脂肪抑制图像上病灶信号特点)与MRI影像5分型的DeLong 检验中,MRI影像5分型的AUC为0.932(95%CI:0.867~0.997),高于任一有意义单因素指标(均P<0.05)。另外,MRI影像5分型与logistic回归分析模型具有同等高的诊断效能(P>0.05)。
MRI影像5分型可以在术前提高鉴别诊断IPAC及PPAC的准确率,其诊断效能优于任一单因素有意义指标,且可与logistic回归分析模型的诊断效能相媲美。
版权归中华医学会所有。
未经授权,不得转载、摘编本刊文章,不得使用本刊的版式设计。
除非特别声明,本刊刊出的所有文章不代表中华医学会和本刊编委会的观点。
壶腹周围癌(periampullary carcinoma,PAC)是指起源于十二指肠壶腹2 cm 范围内包括壶腹癌、十二指肠癌、远端胆管癌、胰头癌四种类型的恶性肿瘤。近年来学者们提出了一种新的组织学分类方法,将PAC分为肠型PAC(intestinal-type periampullary adenocarcinoma,IPAC)和胰胆管型PAC(pancreatobiliary-type periampullary adenocarcinoma,PPAC)。研究发现,在PAC的治疗和预后上,组织学类型可能比来自于起源部位的解剖学分型更为重要,IPAC患者的预后好于PPAC,术后生存期更长[1, 2, 3],且两种病理分型对不同的化疗方案有不同的反应[4]。因此,PAC组织学分型的准确判断,对于指导治疗以及预测预后都具有重要意义,而如何术前鉴别这两种组织学病理亚型已成为新的研究热点。
MRI由于软组织分辨率高,且磁共振胰胆管水成像(magnetic resonance cholangiopancreatography,MRCP)可以展示胆道系统的整体性和连续性,以及弥散加权成像(diffusion-weighted imaging,DWI)能够在分子水平提供人体组织器官的功能信息等优势,已成为壶腹区全面精确且无创的影像学诊断方法之一[5]。但目前对PAC病理亚型的MRI研究相对较少,本研究回顾性分析了IPAC和PPAC在MRI常规平扫、MRCP以及DWI图像上的不同征象,提出了一种MRI分型方法,旨在提高术前PAC组织学亚型的诊断准确率,从而为临床治疗和预后评估提供帮助。
通过南京鼓楼医院影像和病理PACS系统回溯,收集2017年1月至2020年7月间PAC患者的全部入院资料。从2017年1月至2020年7月接受根治性胰十二指肠切除术并且病理证实为PAC的患者共152例,其中排除(1)术前两周内未在本院行MRI检查或MRI检查资料不完整72例;(2)行MRI检查前接受过侵入性治疗或化疗10例;(3)图像质量差8例;混合型3例。最终入组59例患者(男32例,女27例,年龄37~80岁),将病灶根据组织病理结果分为IPAC组21例(男 11例,女10例)和PPAC组38例(男 21 例,女17例)。本研究为回顾性研究,符合《赫尔辛基宣言》对伦理的一般要求,豁免知情同意。
患者均在术前采用荷兰飞利浦INGENIA 3.0 T MRI扫描仪进行检查,检查前禁食 6~8 h,并进行呼吸训练。检查取仰卧位,扫描范围为肝脏膈顶部至十二指肠水平部。扫描主要序列及具体参数见表1。

MRI扫描序列参数
MRI扫描序列参数
| MRI序列 | TR(ms) | TE(ms) | 层厚(mm) | 层间距(mm) | FOV(mm) | 矩阵 | 翻转角(度) | NEX(次) |
|---|---|---|---|---|---|---|---|---|
| 横断位T1WI脂肪抑制平扫 | 3.2 | 1.5 | 4.4 | -2.2 | 400×352×220 | 268×235 | 10 | 1 |
| 横断位T2WI脂肪抑制平扫 | 724 | 70 | 5 | 1.5 | 400×328×206 | 288×208 | 90 | 1 |
| 冠状位T2WI平扫 | 515 | 70 | 5 | 1 | 300×354×143 | 200×208 | 90 | 1 |
| DWI | 1 446 | 59 | 5 | 1.5 | 310×365×206 | 116×128 | 90 | 2 |
| 3D MRCP | 2 500 | 556 | 2 | -1 | 260×291×80 | 260×291 | 80 | 1 |
注:TR为重复时间;TE为回波时间;FOV为视野;NEX为激励次数;DWI序列为b=0、1 000 s/mm2
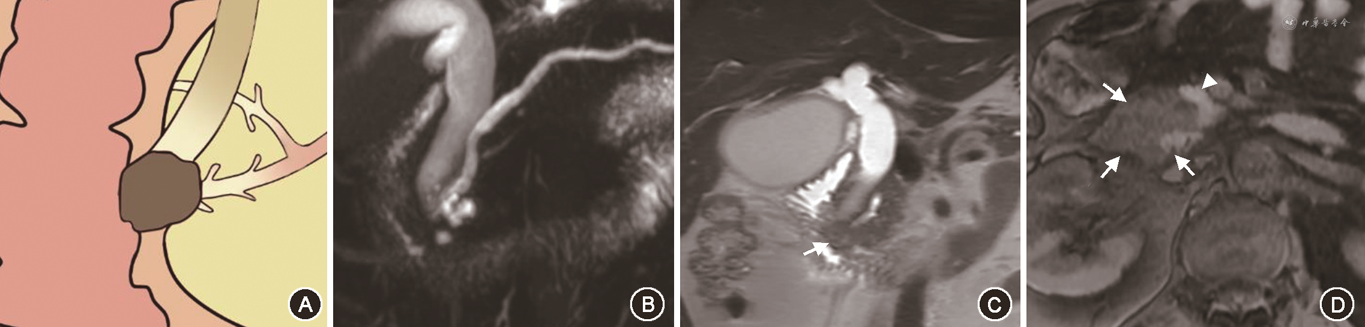
由2名经验丰富的放射科诊断医师采用盲法独立分析MRI图像,若对结果有异议,则由第3名高年资诊断医师给出最终判断。每一项指标取2名医师测量的平均值。评价指标及具体评价内容请见表2、3。根据MRI平扫及MRCP图像特征将病变分为5种类型:十二指肠乳头结节型、胰腺肿块型、胆总管壁增厚型、壶腹部肿块型及胆总管腔内结节型,详见图1, 2, 3, 4, 5示意图。

IPAC与PPAC患者MRI常规平扫图像比较
IPAC与PPAC患者MRI常规平扫图像比较
| 项目 | IPAC (n=21) | PPAC (n=38) | t/χ²值 | P值 |
|---|---|---|---|---|
| 病灶形态[例(%)] | 2.227 | 0.136 | ||
肿块型 | 20(95.2) | 29(76.3) | ||
浸润型 | 1(4.8) | 9(23.7) | ||
| 最大径(cm,) | 1.73±0.50 | 2.05±0.89 | 1.508 | 0.137 |
| 位置[例(%)] | 29.769 | <0.001 | ||
十二指肠腔内 | 15(71.4) | 2(5.3) | ||
跨壁生长 | 3(14.3) | 9(23.7) | ||
十二指肠腔外 | 3(14.3) | 27(71.0) | ||
| 十二指肠乳头形态[例(%)] | 16.750 | <0.001 | ||
扁平 | 2(9.5) | 23(60.5) | ||
半圆形 | 4(19.1) | 6(15.8) | ||
结节 | 15(71.4) | 9(23.7) | ||
| T1WI[例(%)] | 2.138 | 0.342 | ||
高 | 0(0) | 2(5.3) | ||
等 | 9(42.9) | 10(26.3) | ||
低 | 12(57.1) | 26(68.4) | ||
| T2WI[例(%)] | 8.517 | 0.013 | ||
高 | 2(9.5) | 13(34.2) | ||
等 | 19(90.5) | 20(52.6) | ||
低 | 0(0) | 5(13.2) | ||
| DWI[例(%)] | 0.271 | 0.602 | ||
受限 | 18(85.7) | 29(76.3) | ||
不受限 | 3(14.3) | 9(23.7) |
注:IPAC为肠型壶腹周围癌;PPAC为胰胆管型壶腹周围癌

IPAC与PPAC患者磁共振胰胆管水成像特征比较
IPAC与PPAC患者磁共振胰胆管水成像特征比较
| 项目 | IPAC(n=21) | PPAC(n=38) | t/χ²/Z值 | P值 |
|---|---|---|---|---|
| 胆总管扩张[例(%)] | - | 0.691 | ||
扩张 | 18(85.7) | 34(89.5) | ||
不扩张 | 3(14.3) | 4(10.5) | ||
| 胆总管管径(cm,) | 1.82±0.78 | 1.62±0.63 | 1.035 | 0.305 |
| 主胰管扩张[例(%)] | 0.914 | 0.339 | ||
扩张 | 10(47.6) | 23(60.5) | ||
不扩张 | 11(52.4) | 15(39.5) | ||
| 主胰管管径(cm,) | 0.52±0.38 | 0.52±0.27 | 0.780 | 0.938 |
| 胆总管远端内类圆形充盈缺损[例(%)] | 6.215 | 0.013 | ||
有 | 7(33.3) | 2(5.3) | ||
无 | 14(66.7) | 36(94.7) | ||
| 胆总管狭窄形态[例(%)] | 2.609 | 0.106 | ||
截断性 | 14(66.7) | 17(44.7) | ||
渐进性 | 7(33.3) | 21(55.3) | ||
| 梗阻胰管周围扩张侧支[例(%)] | 0.244 | 0.621 | ||
有 | 8(38.1) | 17(44.7) | ||
无 | 13(61.9) | 21(55.3) | ||
| 管征[例(%)] | 1.739 | 0.396 | ||
双管征 | 17(81.0) | 25(65.8) | ||
三管征 | 3(14.3) | 7(18.4) | ||
四管征 | 1(4.7) | 6(15.8) | ||
| 截断胆总管末端到十二指肠乳头距离[cm,M(Q1,Q3)] | 1.52(0.73,2.22) | 2.00(1.17,2.92) | -1.338 | 0.181 |
| 截断胰管末端到十二指肠乳头距离[cm,M(Q1,Q3)] | 0.83(0.74,1.61) | 1.41(0.97,2.66) | -2.628 | 0.009 |
| 胰胆管角度[°,M(Q1,Q3)] | 14.60(8.25,20.95) | 43.60(16.88,76.83) | -3.499 | <0.001 |
注:IPAC为肠型壶腹周围癌;PPAC为胰胆管型壶腹周围癌;-为采用 Fisher精确概率法,无统计值










手术标本采用苏木素-伊红(HE)染色及免疫组织化学染色。由一名经验丰富的病理医师借助于镜下所见及免疫组化染色进行综合判断,将PAC分为IPAC组和PPAC组。
统计学分析使用SPSS 25.0及 Medcalc 19.5软件包。采用Shapiro-Wilk检验来验证本研究计量资料是否符合正态分布,符合正态分布的计量资料采用独立样本t检验进行分析,结果以表示;符合偏态分布的计量资料采用Mann-Whitney U检验进行分析,结果以M(Q1, Q3)表示。计数资料通过χ²检验或Fisher精确概率法进行比较分析,两两比较采用调整检验水准后的Bonferroni法。应用受试者工作特征(receiver operating characteristic,ROC)曲线计算有意义单因素指标及MRI影像5分型的 ROC 曲线下面积(area under curve,AUC)、灵敏度、特异度。各项指标的AUC比较采用 DeLong 检验。双侧检验,检验水准α=0.05。
1. IPAC组与PPAC组的MRI常规平扫图像比较:IPAC组与PPAC组在病灶位置、十二指肠乳头形态和病灶T2加权成像(T2-weighted image,T2WI)信号特点方面的差异均有统计学意义(均P<0.05),在病灶形态、病灶最大径、病灶T1加权成像(T1-weighted image,T1WI)信号特点和DWI信号特点方面的差异无统计学意义(P>0.05)(表2)。IPAC相对特征性的征象包括病灶较多位于十二指肠腔内,在T2WI上主要表现为等信号,较少表现为高信号和低信号,十二指肠乳头常表现为结节型。而PPAC病灶多位于十二指肠腔外,在T2WI上主要表现为等信号及高信号,十二指肠乳头常表现为扁平型。
2.IPAC组与PPAC组的MRCP图像比较:在MRCP图像上,IPAC与PPAC两组在胆总管远端内有无类圆形充盈缺损影、截断胰管末端到十二指肠乳头距离、胰胆管角度间的差异均有统计学意义(均P<0.05),在胆总管是否扩张及其管径、主胰管是否扩张及其管径、胆总管远端狭窄形态、管征、梗阻胰管周围是否有扩张侧支、截断胆总管末端到十二指肠乳头距离间的差异均无统计学意义(均P>0.05)(表3)。在MRCP图像上,IPAC胆总管远端更易出现类圆形充盈缺损,而PPAC截断胰管末端到十二指肠乳头距离及胰胆管角度均更大。
在对有意义单因素指标的分析中,笔者将PAC的MRI征象进行总结,最后归纳为十二指肠乳头结节型、胰腺肿块型、胆总管壁增厚型、壶腹部肿块型及胆总管腔内结节型5种表现类型。十二指肠乳头结节型MRI征象为位于十二指肠腔内的病灶,多为等信号,在十二指肠乳头形成突入腔内的结节,MRCP上胆总管及胰管扩张呈双管征,胰胆管角度较小,双管征走行呈平行或聚拢(图1)。胰腺肿块型MRI征象为胰腺内低信号肿块,MRCP上胆总管及胰管单独或同时狭窄截断可分别出现双管征、三管征、四管征,截断胰管周围可见扩张侧支,肿块引起胰胆管角度增大,管征呈分离走行(图2)。胆总管壁增厚型MRI征象为胆总管远段管壁增厚,近段胆管扩张,MRCP上胰管较少扩张,近段扩张胆管、梗阻下方远段胆总管与胰管呈三管征(图3)。壶腹部肿块型在MRI图像上表现为壶腹部跨壁生长的肿块,可与胰腺、十二指肠肠壁分界不清,但较少使十二指肠乳头表现为结节型,MRCP管征多为双管征(图4)。胆总管腔内结节型在MRCP图像上远端胆总管内见结节样充盈缺损伴胆道梗阻,远段胆总管、近段扩张胆总管及胰管呈三管征(图5)。
Fisher精确概率法结果显示,IPAC与PPAC在MRI影像5分型的差异具有统计学意义(P<0.001)(表4)。经调整检验水准后的 Bonferroni 法两两比较结果显示,十二指肠乳头结节型与胰腺肿块型、胆总管壁增厚型及壶腹部肿块型的差异均具有统计学意义(均P<0.005)。IPAC多表现为十二指肠乳头结节型(15/21,71.4%)(图1),PPAC更多表现为胰腺肿块型(18/38,47.4%)、胆总管壁增厚型(9/38,23.7%)或壶腹部肿块型(9/38,23.7%)(图2, 3, 4),IPAC(2/21,9.5%)与PPAC(0,0)均较少表现为胆总管腔内结节型(图5)。

IPAC与PPAC MRI影像5分型比较[例(%)]
IPAC与PPAC MRI影像5分型比较[例(%)]
| 项目 | IPAC (n=21) | PPAC (n=38) | χ²值 | P值 |
|---|---|---|---|---|
| MRI影像5分型 | 38.567 | <0.001 | ||
十二指肠乳头结节型 | 15(71.4) | 2(5.3) | ||
胰腺肿块型 | 0(0) | 18(47.4) | ||
胆总管壁增厚型 | 1(4.8) | 9(23.7) | ||
壶腹部肿块型 | 3(14.3) | 9(23.7) | ||
胆总管腔内结节型 | 2(9.5) | 0(0) |
注:IPAC为肠型壶腹周围癌;PPAC为胰胆管型壶腹周围癌
将有意义单因素指标(病灶位置、十二指肠乳头形态、T2WI病灶信号特点、胆总管远端内类圆形充盈缺损、截断胰管末端到十二指肠乳头距离、胰胆管角度)与MRI影像5分型的诊断效能进行比较(表5)。MRI影像5分型的AUC最大,为0.932(95%CI:0.867~0.997),其诊断效能高于任一有意义单因素指标(Delong 检验,P均<0.05)(图6)。

有意义单因素指标及MRI影像5分型对IPAC与PPAC的诊断效能
有意义单因素指标及MRI影像5分型对IPAC与PPAC的诊断效能
| 指标 | AUC(95%CI)值 | 灵敏度(%) | 特异度(%) |
|---|---|---|---|
| 病灶位置 | 0.865(0.755~0.974) | 94.7 | 71.4 |
| 十二指肠乳头形态 | 0.721(0.590~0.853) | 60.5 | 90.5 |
| T2WI信号特点(以正常胰腺信号为参照) | 0.640(0.496~0.785) | 47.4 | 81.0 |
| 胆总管远端内类圆形充盈缺损 | 0.603(0.446~0.761) | 92.1 | 28.6 |
| 截断胰管末端到十二指肠乳头距离 | 0.691(0.548~0.834) | 86.8 | 47.6 |
| 胰胆管角度 | 0.758(0.633~0.884) | 68.4 | 85.7 |
| logistic回归分析模型(病灶位置与胆总管远端内类圆形充盈缺损二者联合) | 0.934(0.856~1.000) | 86.8 | 95.2 |
| MRI影像5分型 | 0.932(0.867~0.997) | 94.7 | 81.0 |
注:IPAC为肠型壶腹周围癌;PPAC为胰胆管型壶腹周围癌;T2WI为T2 加权成像;AUC为受试者工作特征曲线下面积


前期关于MRI对PAC病理亚型诊断价值的研究结果显示,单因素中病灶位置[优势比(OR)=0.002;95%CI:0.001~0.220;P<0.001]和胆总管远端内类圆形充盈缺损(OR=0.016;95%CI:0.000~0.044;P=0.002)为鉴别IPAC和PPAC的独立预测指标,两者拟合的logistic回归分析模型(病灶位置与胆总管远端内类圆形充盈缺损二者的联合变量模型)对PAC病理亚型具有较高的预测价值[6]。本研究将MRI影像5分型与logistic回归分析模型的诊断效能进行Delong 检验,两者AUC之差为0.001,P值为0.946,两者在诊断价值间的差异无统计学意义。
随着对PAC新型病理分型认识的逐步提高,临床研究人员发现PAC不同组织学亚型的预后及治疗方法有着显著的不同[1, 2, 3],因此术前对PAC组织学亚型的准确判断对治疗方案的选择及预后的评估具有非常重要的意义。CT和MRI是侵袭性最小、应用最广泛的两种PAC术前影像学检查方法[5]。相对于CT检查,MRI结合MRCP、DWI等多种序列,不仅软组织分辨率高,而且能够更清晰地观察胰胆管精细的解剖结构并对病变进行定量分析,这使得磁共振多模态成像成为评价PAC的主要手段[5]。既往关于PAC术前诊断的MRI研究多是在PAC传统四分类中的应用[7],对PAC组织学亚型诊断的报道较少且多为单因素研究[8, 9],未有学者对PAC的MRI影像表现进行分型。本中心前期的相关研究建立了在MRI图像上鉴别IPAC与PPAC的logistic回归分析模型[6],本研究一种鉴别PAC组织学亚型的MRI影像学分型方法将PAC的MRI图像分为5种表现类型:十二指肠乳头结节型、胰腺肿块型、胆总管壁增厚型、壶腹部肿块型及胆总管腔内结节型。结果表明,IPAC与PPAC在MRI影像5分型间的差异具有统计学意义,MRI影像5分型能够区分IPAC和PPAC。
在MRI影像5分型中,IPAC在MRI影像5分型中以十二指肠乳头结节型为主,这种类型与十二指肠乳头癌中的结节肿块型表现相似。方三高等[10]发现位置靠近十二指肠的壶腹部浸润性腺癌在病理形态上多表现为息肉状外生型,其通常由绒毛状腺瘤或绒毛状管状腺瘤发展演变而来,在本组数据中,IPAC截断胰管末端到十二指肠乳头的距离较小,说明病灶位置更低,从而易在MRI图像上表现为十二指肠乳头处突入肠腔内的结节。
PPAC更多表现为胰腺肿块型、胆总管壁增厚型及壶腹部肿块型。在本研究中,PAC最常见的分型为胰腺肿块型,这与Williams等[2]的报道结果一致,PPAC在MRI图像上可出现类似于胰腺癌的影像征象。在本研究中,共有10例PAC表现为胆总管壁增厚型,其中9例为PPAC。Williams等[2]在PAC组织学亚型的病理分析中发现86%的远端胆管癌为胰胆管型;而方三高等[10]报道PAC中胰胆管型肿瘤的浸润性组织学特征高于肠型;而本研究数据显示,在MRI图像上PPAC中表现为浸润型的比例(23.7%)高于IPAC(4.8%),笔者考虑表现为胆总管壁增厚型的PPAC可能多起源于远端胆总管,并由于其浸润性的生长方式,从而在MRI图像上出现与远端胆管癌“围管性”浸润生长相似的形态特征。本研究结果也与文献相似。
IPAC和PPAC在MRI图像上均较少表现为胆总管腔内结节型,本研究中2例胆总管腔内结节型均为IPAC,但样本量较少,此分型在PAC两种组织学亚型间的差异无统计学意义。但需要注意的是,MRI胆总管腔内结节型仅包括病灶完全位于胆总管内的结节,未包括在胆总管远端形成结节样凸缘的其他来源肿块。
在MRI影像5分型与有意义单因素指标诊断价值的比较中,MRI影像5分型对鉴别IPAC和PPAC更具优势。MRI影像5分型的诊断价值较高,且大于任一有意义单因素指标,同时具有较好的灵敏度(94.7%)和特异度(81.0%)。笔者分析其原因,相对于单因素指标,MRI影像5分型较单因素分析更为细化,每种表现类型代表了肿瘤的不同生长形态及特点,同时可显示出单因素间的联系,能够全面观察病变影像特征。另外,笔者认为MRI影像5分型不仅拥有与logistic回归分析模型相媲美的诊断效能,而且对病灶的细节描绘更加丰富,在实际应用中更加直观可视,一目了然,所以笔者认为MRI影像5分型可操作性更强,临床应用价值更大,可以更好地帮助影像科医生对PAC组织学亚型做出术前判断。当然,这一观点有待于进一步研究验证。
然而,这项研究也存在不足之处:样本量偏少,未将MRI特征与病理形态进行对照,未结合PAC其他影像检查如CT进行分析。期望今后进行大样本、多中心研究验证,与病理科密切合作,且结合PAC其他影像检查如CT进行分析和对比研究。
综上所述,MRI影像5分型有助于术前诊断PAC组织学亚型,其诊断效能优于有意义单因素指标,且可与logistic回归分析模型的诊断效能相当。
所有作者均声明不存在利益冲突





















