
肠道溃疡性病变临床多见,但病因多种多样,确诊常存在困难,尤其在疾病早期。克罗恩病、肠结核、贝赫切特综合征、淋巴瘤的内镜下表现均可见肠道溃疡,临床上容易被误诊。本文介绍1例疑难肠道溃疡性病变,该病例的诊治过程曲折,充分体现了克罗恩病的诊断与鉴别诊断要点,以及病程中不同时期的治疗方案与策略。
版权归中华医学会所有。
未经授权,不得转载、摘编本刊文章,不得使用本刊的版式设计。
除非特别声明,本刊刊出的所有文章不代表中华医学会和本刊编委会的观点。
肠道溃疡性病变病因复杂多样,常难以鉴别,特别是在疾病初期溃疡形态不典型,如克罗恩病、肠结核、淋巴瘤等疾病的肠道溃疡形态往往难以区分。本文分享1例由解放军总医院第七医学中心消化内科诊治的难治性克罗恩病患者的资料,期望为临床提供更多的诊治经验。
患者女,56岁,汉族,因"间断左下腹痛、腹泻半年"于2013年1月15日第1次入住解放军总医院第七医学中心消化内科。患者半年前无明显诱因出现左下腹阵发性钝痛,腹泻,排便频率为4次/d,粪便性质呈黄色稀糊样、无黏液脓血,伴午后低热(体温最高达38 ℃)、盗汗,无腹胀、恶心、呕吐和乏力等。于当地医院行结肠镜检查示直肠溃疡(未提供报告),给予美沙拉秦(具体剂量不详)口服治疗无效,遂在2013年1月15日就诊于解放军总医院第七医学中心消化内科。患者病程中无咳嗽、咳痰,无口腔溃疡、关节疼痛、肛周脓肿等,体重下降约5 kg。既往史:阑尾切除术后30余年;右侧卵巢切除术后30余年;支气管扩张和结核性胸膜炎病史20余年,曾接受系统抗结核治疗。否认吸烟、饮酒等不良嗜好。否认输血史。家族中1名兄长因直肠癌去世,余兄弟姐妹身体健康。
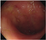
全身浅表淋巴结未扪及;心肺无异常;腹部平坦,无压痛和反跳痛,肝脾肋下未扪及。入院后24 h内完善相关实验室检查,中性粒细胞占比为0.739,血红蛋白为96 g/L,C反应蛋白为74.6 mg/L、红细胞沉降率(erythrocyte sedimentation rate,ESR)为87 mm/1 h,结核感染特异性T细胞检测(T-spot.TB)B抗原阳性[以每1×106个外周血单个核细胞(peripheral blood mononuclear cell,PBMC)中斑点形成细胞(spot forming cell, SFC)的数目计,为120 SFC/106PBMC],抗酿酒酵母抗体呈弱阳性;EB病毒免疫球蛋白M(immunoglobulin M,IgM)、巨细胞病毒DNA、粪便细菌培养均为阴性。2013年1月25日行结肠镜检查示回盲部回盲瓣对侧见一大溃疡型肿物,表面糜烂且有白苔附着、凹凸不平;直肠见多发裂隙状纵行溃疡,表面有白苔附着;诊断为回盲部溃疡、直肠多发溃疡(图1、图2);镜下取活体组织进行病理检查,结果示(回盲部)黏膜组织中重度急慢性炎,淋巴组织增生,局部固有腺体减少,可见隐窝炎,间质可见肉芽组织形成,结合临床病史符合炎症性肠病(图3)。2013年1月26日行胸部计算机断层扫描(computed tomography,CT)检查示双肺支气管扩张伴感染,右肺为著,右侧胸膜增厚。


结肠多发溃疡,性质待定:肠结核?克罗恩病?
结合患者既往有结核病史,病程中有午后低热、盗汗,T-spot.TB阳性,不能排除肠结核,故给予异烟肼+利福平+乙胺丁醇三联诊断性抗结核治疗,3个月后患者腹痛、腹泻明显缓解,无发热。2013年5月7日来院复查,实验室检查示T-spot.TB阴性,C反应蛋白为68 mg/L,ESR为115 mm/1 h;结肠镜检查示回盲瓣和直肠溃疡较前无明显好转;嘱患者继续抗结核治疗,至治疗6个月时复诊。患者未按期复诊,继续抗结核治疗11个月后症状消失,自行停药。停药3个月后症状复发,2014年4月12日第2次就诊于解放军总医院第七医学中心消化内科。入院后24 h内复查相关实验室检查指标,白细胞计数为23.47×109/L,中性粒细胞占比为0.925,C反应蛋白为125 mg/L,ESR为91 mm/1 h;T-spot.TB阴性;EB病毒IgM、巨细胞病毒DNA、粪便细菌培养均阴性。2014年4月15日复查结肠镜示回盲部溃疡和直肠溃疡较前无改善。由于诊断性抗结核治疗近1年,炎症指标和内镜下表现均无好转,且症状反复,基本排除肠结核,考虑克罗恩病可能性大。2014年4月17日完善巯基嘌呤甲基转移酶检测提示突变型,综合各项检查结果,给予醋酸泼尼松片30 mg/d口服,甲氨蝶呤15 mg肌内注射1次/周。醋酸泼尼松片口服8周后开始每周减量5 mg,减至15 mg/d时改为每周减量2.5 mg至停药。患者口服醋酸泼尼松片约1周时腹痛、腹泻明显缓解,其间多次复查ESR、C反应蛋白均在正常参考值范围内。2014年11月4日复查结肠镜示回盲部瘢痕样改变,直肠多发短条状溃疡,溃疡范围和程度较前明显改善,考虑治疗有效,继续甲氨蝶呤维持治疗(持续治疗2年)。
2016年5月15日患者无明显诱因再次出现腹痛、腹泻,伴便血,于当地医院抗感染治疗无效,第3次就诊于解放军总医院第七医学中心消化内科。入院后24 h内复查血常规示白细胞计数为20.37×109/L,中性粒细胞占比为0.963,中性粒细胞绝对值为19.6×109/L,血红蛋白为96 g/L,血小板计数为316×109/L;查C反应蛋白为125 mg/L;查ESR为91 mm/1 h。2016年5月18日复查结肠镜示升结肠、乙状结肠和直肠多发小片状纵行溃疡,横结肠见大片状溃疡;取活体组织行病理检查示(横结肠、乙状结肠、直肠)大肠黏膜组织中重度慢性炎伴中度急性炎和糜烂,部分腺体呈腺瘤样增生,可见隐窝脓肿和肉芽组织。经多学科协作讨论认为发病初期不除外肠结核,诊断性抗结核治疗无效,结合病史和结肠镜、病理检查结果,临床诊断为克罗恩病,改用醋酸泼尼松+甲氨蝶呤治疗后,症状、实验室检查指标和内镜下表现均好转,此次再发,考虑为克罗恩病控制欠佳,升级为英夫利昔单抗(ifliximab,IFX)治疗2次后(按标准0、2、6、8周间隔用药)患者临床症状缓解;第5次IFX治疗前(2016年11月2日)复查结肠镜示升结肠、乙状结肠和直肠散在小片状溃疡,有薄白苔附着,周边黏膜充血(图4),较前明显好转。2016年11月5日再次复查T-spot.TB示A抗原阳性(54 SFC/1×106 PBMC),B抗原阳性(60 SFC/1×106 PBMC),结合既往有结核病史,不除外结核复发可能,给予异烟肼、利福平预防性抗结核治疗。第7次IFX输注前(2017年3月8日)复查相关实验室检查,T-spot.TB示A抗原阳性(480 SFC/1×106 PBMC),B抗原阳性(720 SFC/1×106 PBMC),A、B抗原定量均较前明显升高;C反应蛋白为37.7 mg/L,ESR为90 mm/1 h,EB病毒IgM、巨细胞病毒DNA、粪便菌培养均为阴性。不除外结核复发,联系结核专科医院会诊,建议患者停用IFX并于2017年3月20日转至结核专科医院进一步治疗。


结核专科医院予患者抗结核治疗4个月后多次复查T-spot.TB、结肠镜下活体组织检查病理+抗酸染色、结核分枝杆菌DNA均阴性,医师认为结核病情稳定,但患者腹痛、腹泻加重,排便频率为10次/d,粪便性质呈黄色稀糊样,伴发热,最高体温达39 ℃,自2017年3月8日至7月20日体重下降3 kg。2017年7月20日复查相关实验室检查,白细胞计数为20.42×109/L,中性粒细胞占比为0.739,血红蛋白为96 g/L,血小板计数为490×109/L;粪便常规示白细胞(满视野),红细胞计数为6~8个/高倍镜视野;粪便隐血试验阳性;C反应蛋白为122 mg/L;ESR为93 mm/1 h;EB病毒IgM、巨细胞病毒DNA、肿瘤标志物、T-spot.TB检测均阴性。2017年8月1日复查胸部CT示双肺支气管扩张伴感染,左肺下叶不规则结节,邻近胸膜牵拉,右肺下叶体积缩小,左肺上叶小肺大疱,纵隔淋巴结肿大,右侧胸膜局限性增厚,少量胸腔积液不除外。2017年8月24日完善腹盆部CT检查示升结肠、降结肠、乙状结肠、直肠多发管壁增厚,升结肠壁增厚较明显,邻近系膜增厚,腹部和盆腔内肠管周围多发淋巴结肿大,脾脏肿大。2017年8月25日复查结肠镜示进镜40 cm处见乙状结肠、直肠多发条状和片状深溃疡灶,有厚白苔附着,周边黏膜充血、水肿,触之易出血(图5);取活体组织行病理检查示淋巴样细胞浸润伴细胞异型性,细胞中等大小且大小一致,细胞质淡染,可见核分裂和凋亡细胞,上皮内有异型淋巴样细胞累及(图6);免疫组织化学染色示CD3(弥漫+)、CD2(+)、CD30(+)、T细胞胞质内抗原(+)、粒酶B(+)、CD56(局部少许+)、EB病毒(-);诊断为①非霍奇金淋巴瘤(成熟性T细胞淋巴瘤);②克罗恩病;③结核潜伏感染;④支气管扩张症;⑤右侧卵巢切除术后;⑥阑尾切除术后。经血液科、病理科、普外科多学科协作讨论,考虑患者一般情况较差,手术风险较大,与患者和家属充分沟通后,选择先行内科化学治疗,择期手术治疗。患者在化学治疗过程中出现严重精神症状,终止化学治疗和其他治疗措施,2017年11月3日于家中死亡,死亡原因不明。


解放军总医院第七医学中心消化内科李世荣主任医师:该患者为中老年女性,以反复发作腹痛、腹泻为主要临床症状,肠镜下主要表现为回盲部、升结肠、乙状结肠、直肠反复发作的溃疡。多次病理检查提示中重度慢性炎伴轻度急性炎,可见隐窝炎,局部固有腺体减少,诊断炎症性肠病不能除外,但由于既往有结核性胸膜炎病史,病程早期T-spot.TB阳性,不能完全排除肠结核。根据《炎症性肠病诊断与治疗的共识意见(2018年,北京)》[1],建议应先予抗结核治疗。经抗结核治疗11个月后,患者症状虽然减轻,但炎症指标和内镜下肠道溃疡并无好转,基本排除肠结核。考虑到患者结肠镜下见节段性病变、纵行溃疡,抗酿酒酵母抗体弱阳性,病理检查示炎症性肠病改变,临床诊断为克罗恩病。检测巯基嘌呤甲基转移酶为突变型,予醋酸泼尼松联合甲氨蝶呤治疗达到临床缓解,内镜下表现好转。患者病程中腹痛、腹泻症状再次反复出现,除外结核复发后,升级为IFX治疗,3次IFX治疗后临床症状消失,内镜下表现明显缓解,但第5次IFX治疗后复查T-spot.TB A、B抗原均进行性升高,考虑结核复发,停用IFX并转结核专科医院治疗。后期病情加重,出现持续高热、便血,复查内镜见不规则深大溃疡,病理诊断为成熟性T细胞淋巴瘤。回顾病例的病情演变过程,尤其是病情发生变化时需质疑诊断,并反复进行鉴别诊断。对于既往有明确结核病史的炎症性肠病患者,在免疫抑制剂和生物制剂的应用过程中,除监测症状的变化外,也要定期复查T-spot.TB、胸部CT等,高度警惕结核复发可能。该患者后期出现淋巴瘤,是否与药物或疾病进展相关,还是两者均相关,目前尚无法明确。分析国内外研究,部分免疫抑制剂的应用会增加淋巴瘤的发生风险,且与生物制剂联用时也会增高淋巴瘤的发病率,单药应用相较于双重用药(2种免疫抑制剂联用或免疫抑制剂与生物制剂联用)更安全[1,2,3]。
解放军总医院第七医学中心病理科王鲁平主任医师:该患者病程较久,最后结肠镜下病理诊断为成熟性T细胞淋巴瘤,该患者是否在起病早期存在淋巴瘤可能?该患者多次结肠镜检查均在解放军总医院第七医学中心消化内科完成,资料相对完整,通过系统分析患者在解放军总医院第七医学中心病理科的全部病理检查结果,发现该患者2013年首诊时的病理检查示大量淋巴细胞增殖,但未见明确的异常核分裂象,为了进一步明确有无淋巴瘤依据,进行了一系列免疫组织化学染色检测,结果仅见局灶淋巴细胞增殖,并无淋巴瘤证据。除最后一次病理检查明确淋巴瘤改变外,其余多次活体组织病理检查均提示中重度慢性炎,伴固有腺体减少、隐窝炎等慢性炎症表现,未见明确裂隙样溃疡、全层炎、非干酪性肉芽肿等典型炎症性肠病改变。该病例血EB病毒阴性,不考虑自然杀伤细胞/T细胞淋巴瘤,结合免疫组织化学染色结果,最后诊断为成熟性T细胞淋巴瘤。
浙江大学医学院附属邵逸夫医院病理科姜支农主任医师:首先,该患者每次活体组织病理检查均见活动性慢性结肠炎改变,黏膜全层见浆细胞浸润,部分黏膜隐窝扭曲明显,直肠也有慢性肠炎改变,结合病史与结肠镜检查示节段性病变、纵行溃疡,可以考虑炎症性肠病的诊断。其次,该患者使用过糖皮质激素、免疫抑制剂和生物制剂,但多次血EB病毒阴性,考虑淋巴瘤系药物继发可能,与EB病毒感染无关。最后,复习以前病理切片,局灶可见淋巴组织增生,后期加做免疫组织化学染色均无明确的淋巴瘤证据,考虑患者淋巴瘤为继发可能性大。具体病因仅根据目前的病理结果无法明确。
解放军总医院第七医学中心血液科陈鹏主治医师:外周T细胞淋巴瘤是起源于胸腺后成熟T细胞和自然杀伤细胞的一组异质性肿瘤。李小秋等[4]开展的一项中国多中心研究共收集10 002例淋巴瘤患者,发现外周T细胞淋巴瘤占比达21.4%,其中以结外自然杀伤细胞/T细胞淋巴瘤鼻型最常见。在欧美国家,成人T细胞白血病/淋巴瘤和肠病相关T细胞淋巴瘤的发病率高达10%,而我国肠病相关T细胞淋巴瘤相对罕见[4]。该病发病人群多为中老年,中位发病年龄为55岁。此类患者往往在初诊时基本已达到原发肠道淋巴瘤Lugano分期Ⅲ~Ⅳ期。外周T细胞淋巴瘤的最佳治疗方案和策略仍在探索中,目前推荐的一线治疗方案有CHOEP方案(环磷酰胺+长春新碱+多柔比星+依托泊苷+泼尼松)、CHOP方案(环磷酰胺+长春新碱+多柔比星+泼尼松)等。外周T细胞淋巴瘤的总体预后较侵袭性B细胞淋巴瘤差。总体而言,外周T细胞淋巴瘤属于一种恶性程度高、预后差的疾病。
解放军总医院第七医学中心普外科东星副主任医师:克罗恩病患者发生并发症(如癌变、大出血、肠梗阻等)和内科治疗无效时需进一步行手术治疗。该患者在不断转换各种内科治疗方案后,仍不能有效控制病情,并最终合并淋巴瘤,从原则上讲可考虑进一步行手术治疗切除病灶后与内科联合行后续针对性治疗。患者因大量便血、发热、疾病消耗和应用大剂量糖皮质激素等而面临巨大的手术风险,给予强有力的营养支持和内科治疗仍无法改善患者的一般状况,从而一定程度上错过了最佳的手术时机。若在此时盲目进行手术治疗,会增加不必要的手术风险。所以炎症性肠病患者的围手术期处理十分重要。
原发性肠道淋巴瘤和克罗恩病的临床症状、内镜下表现均无特异性。淋巴瘤内镜下形态可表现为肿块型、息肉型和溃疡型。原发性肠道淋巴瘤以B细胞淋巴瘤多见,T细胞淋巴瘤少见。B细胞淋巴瘤多有发热,多为肿块型和息肉型;而T细胞淋巴瘤多为溃疡型,穿孔率较高,与克罗恩病的鉴别是临床上的难点[5]。克罗恩病患者高热并不常见,除非存在腹腔脓肿、蜂窝炎、瘘管形成。克罗恩病合并消化道大出血也较少见。肠道淋巴瘤的临床表现多样,早期表现较隐匿,需要高度重视。
早期肠道淋巴瘤在临床表现、影像学表现、内镜下表现方面均与炎症性肠病特别是克罗恩病相似。陈白莉等[2]发现被误诊为克罗恩病的18例原发性肠道T细胞淋巴瘤患者均死亡,中位生存期仅为2个月。克罗恩病合并淋巴瘤并不多见,根据文献报道,克罗恩病合并淋巴瘤的患者往往有较长的病程[6],并且淋巴瘤的发生常与应用免疫抑制剂有关[7]。5-氨基水杨酸类药物和糖皮质激素不会增加淋巴瘤的发生风险,而硫唑嘌呤和6-巯基嘌呤可使淋巴瘤的发生风险增加3~5倍[3]。且即使应用过硫唑嘌呤,停用后患者淋巴瘤发病率与从未服用过硫唑嘌呤的患者相比也没有明显增高。淋巴瘤的发生风险与硫鸟嘌呤核苷酸的血药浓度有关[8]。60%~70%的淋巴瘤患者与EB病毒感染有关[9]。免疫抑制是EB病毒感染介导的恶性转化疾病的重要危险因素[10]。EB病毒阴性的结外T细胞淋巴瘤发病率极低,相关报道大多是个案报道和小样本研究[11]。目前学术界对于此类EB病毒阴性的结外T细胞淋巴瘤的分类存在争议。在临床特点方面,大多数EB病毒阴性的结外T细胞淋巴瘤表现与EB病毒阳性病例大致相同;在发病人群方面,EB病毒阴性病例中女性多见[12]。
对于甲氨蝶呤在临床中的应用,有文献报道在类风湿关节炎的治疗中其会增加淋巴瘤的发病风险,但在炎症性肠病的治疗中其是否会增加淋巴瘤的发病风险尚缺乏足够的临床证据[13]。研究证实,IFX的长时间应用可能会增加淋巴瘤的发病风险(0.1/100人年)[3]。一项关于炎症性肠病合并淋巴瘤与其他淋巴增殖性疾病关系的回顾性研究指出,使用生物制剂的炎症性肠病患者淋巴瘤的发病风险是普通人群的3倍,但使用生物制剂的炎症性肠病患者淋巴瘤的发病风险低于使用硫唑嘌呤的患者[14]。炎症性肠病患者的肠黏膜活体组织检查提示,较多患者存在EB病毒阳性细胞,但无发热等全身症状,考虑可能是肠道局限性EB病毒机会性感染,建议尽量避免使用免疫抑制剂[15]。该患者在整个病程中EB病毒始终阴性,这在肠道淋巴瘤中比较少见。贾燕等[16]对比了76例克罗恩病患者与14例原发性肠道淋巴瘤患者的病例特点发现,发病早、病程长、腹痛,以及合并肠外表现等更加支持克罗恩病诊断,而原发性肠道淋巴瘤的诊断更加依赖黏膜活体组织检查。
该患者病程较长,且疾病发展过程曲折,起病初期结合病史、内镜下表现、病理和实验室检查结果,并在诊断性抗结核治疗无效后,综合诊断为克罗恩病。该患者经醋酸泼尼松、甲氨蝶呤、IFX等治疗后症状改善,内镜下表现好转,但后期疾病再次反复并加重,最后诊断为淋巴瘤。回顾整个病史发展与最后一次入院时患者的情况,发现此时疾病模式已经发生了改变,从以往的腹痛、腹泻转变为腹痛、腹泻、便血、发热、消瘦,这提示疾病的发生、发展并非一成不变,特别是针对疾病的每一次反复,均需重新审视以往的诊断,以免延误病情。该患者在克罗恩病的治疗过程中长期使用甲氨蝶呤和IFX,虽然目前关于甲氨蝶呤增加淋巴瘤发生风险的报道较少,但文献报道IFX可增加淋巴瘤的发病风险,由于肠道淋巴瘤的早期表现较隐匿,很难与克罗恩病鉴别,对于该患者是否早期发生淋巴瘤,2位病理学专家针对患者的多次病理切片进行系统分析并加做免疫组织化学染色,认为疾病早期并无淋巴瘤证据,加之EB病毒阴性,不支持EB病毒相关淋巴瘤。该病例资料提示,对于EB病毒阴性的患者,在免疫抑制剂和生物制剂使用过程中需严密监测,警惕淋巴瘤发生。该患者最终诊断考虑为在克罗恩病的基础上,合并结核潜伏感染,最后继发淋巴瘤。
所有作者均声明不存在利益冲突





















