
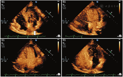
患者男,46岁,主因左上肢无力2个月余,加重1 d入院。既往高血压病史10年,高脂血症病史2个月。头颅MRI:右侧基底节、放射冠及额叶急性梗死灶。颅颈动脉CTA:轻度动脉硬化,以双侧颈总动脉分叉处为著。初步诊断:脑梗死(急性期),高血压1级,很高危,高脂血症。患者曾在外院行经胸超声心动图检查未见异常,为除外卵圆孔未闭右向左分流所致脑卒中,申请行右心声学造影检查。静息下左上肢静脉注入激活生理盐水,右心显影后左心内未见显影,随后行Valsalva动作激发试验,发现注射激活生理盐水后左房先于右房显影,且左房内微泡浓度短暂高于右房(图1)。更换为右上肢静脉注射激活生理盐水,静息下及Valsalva动作后均右心显影,左心未显影。鉴于上述结果,考虑左侧静脉连接异常,行经胸超声心动图检查,重点扫查胸骨上窝切面。在降主动脉左侧可测及异常静脉,宽约8 mm,与左无名静脉相通,汇入右侧上腔静脉,彩色多普勒血流显像示静息时异常静脉血流流入左无名静脉,Valsalva动作后可见异常静脉内血流短暂逆流,结合右心声学造影表现,考虑异常静脉为永存左上腔静脉,直接或通过左肺静脉汇入左房(图2)。患者行左房肺静脉CT证实永存左上腔静脉经左上肺静脉汇入左房(图3)。
版权归中华医学会所有。
未经授权,不得转载、摘编本刊文章,不得使用本刊的版式设计。
除非特别声明,本刊刊出的所有文章不代表中华医学会和本刊编委会的观点。
患者男,46岁,主因左上肢无力2个月余,加重1 d入院。既往高血压病史10年,高脂血症病史2个月。头颅MRI:右侧基底节、放射冠及额叶急性梗死灶。颅颈动脉CTA:轻度动脉硬化,以双侧颈总动脉分叉处为著。初步诊断:脑梗死(急性期),高血压1级,很高危,高脂血症。患者曾在外院行经胸超声心动图检查未见异常,为除外卵圆孔未闭右向左分流所致脑卒中,申请行右心声学造影检查。静息下左上肢静脉注入激活生理盐水,右心显影后左心内未见显影,随后行Valsalva动作激发试验,发现注射激活生理盐水后左房先于右房显影,且左房内微泡浓度短暂高于右房(图1)。更换为右上肢静脉注射激活生理盐水,静息下及Valsalva动作后均右心显影,左心未显影。鉴于上述结果,考虑左侧静脉连接异常,行经胸超声心动图检查,重点扫查胸骨上窝切面。在降主动脉左侧可测及异常静脉,宽约8 mm,与左无名静脉相通,汇入右侧上腔静脉,彩色多普勒血流显像示静息时异常静脉血流流入左无名静脉,Valsalva动作后可见异常静脉内血流短暂逆流,结合右心声学造影表现,考虑异常静脉为永存左上腔静脉,直接或通过左肺静脉汇入左房(图2)。患者行左房肺静脉CT证实永存左上腔静脉经左上肺静脉汇入左房(图3)。






永存左上腔静脉(persistent left superior vena cava,PLSVC)是最常见的主干静脉畸形,在正常人群中发病率为0.1%~0.3%[1]。PLSVC始自左无名静脉和左颈总静脉的交界处,90%以上通过扩张的冠状静脉窦引流入右房,少数通过无顶冠状静脉窦引流入左房,直接引流入左房或通过左肺静脉引流至左房比较罕见[2]。PLSVC一般不引起血流动力学改变,但会影响静脉操作如中心静脉置管、起搏器植入以及射频消融等;PLSVC引流入左房可导致左向右以及右向左分流,可能引起发绀、矛盾栓塞、感染性心内膜炎、播散性感染等。血栓和菌栓一般来源于左上肢,临床进行左上肢静脉操作时需注意防止此类并发症发生。
右心声学造影经常用于卵圆孔未闭及肺动静脉瘘的诊断,也可用于诊断先天性心血管畸形,如PLSVC。左上肢静脉注射激活生理盐水后,如冠状静脉窦先于右房显影,提示左上腔静脉与冠状静脉窦相通;如左心显影而右心不显影,提示左上腔静脉与左肺静脉或左房相通,与右上腔静脉无相通;如左心先于右心显影,提示左上腔静脉与左肺静脉或左房相通,同时与右上腔静脉有交通。右上肢静脉注射激活生理盐水不可用于诊断PLSVC[3]。对于不典型的病例可进一步行左房肺静脉CT检查。有文献指出,由于患者右心声学造影检查体位为左侧卧位,为了不影响静脉回流,建议激活生理盐水由右上肢静脉注入[4],但考虑到PLSVC的发生率,且左上肢静脉注射操作方便,更重要的是通过实践证实左上肢静脉注射对静脉回流影响较小,笔者建议行右心声学造影检查时应常规左上肢静脉注射激活生理盐水。但对于个别左上肢静脉血管细小的患者仍然建议右上肢静脉注射。当然必要时可进行双上肢静脉注射或下肢静脉注射以得出正确诊断,但由于下肢静脉穿刺困难且并发症较高,一般不常规推荐[5]。
PLSVC连接左肺静脉或左房的患者分流量不大时,心腔大小一般没有明显变化,无需特殊治疗,如出现矛盾栓塞等并发症时,可行经导管封堵或外科矫正[6],目前国内罕见类似病例的报道。结合头颅MRI等影像表现,考虑本例患者此次发病与动脉粥样硬化相关,并未发生矛盾栓塞,患者未行心导管检查或外科手术,诊断未得到进一步证实,存在一定的缺憾。
所有作者均声明不存在利益冲突





















