
甲状腺癌是最为常见的内分泌系统恶性肿瘤,近年来在国内外的发病率呈不断上升趋势,部分学者认为是超声的广泛应用导致甲状腺癌发现率不断提高。影像学检查如超声、CT、MRI是精准诊断甲状腺癌的基础。超声是甲状腺病变定性诊断的首选检查方法,但对胸骨后甲状腺病变和颈部淋巴结转移的诊断能力不足,且其诊断准确率与操作者的个人技术和临床经验密切相关。CT和MRI的扫描范围广,可清晰显示甲状腺病变与周围结构的关系,便于精确评估肿瘤侵犯和淋巴结转移范围,是甲状腺病变定性、定量诊断的重要检查方法。本文中对甲状腺癌及其转移淋巴结的常见CT和MRI征象进行归纳总结,希望为医务工作者提供一定帮助。
版权归中华医学会所有。
未经授权,不得转载、摘编本刊文章,不得使用本刊的版式设计。
除非特别声明,本刊刊出的所有文章不代表中华医学会和本刊编委会的观点。
经全国继续医学教育委员会批准,本刊开设继教专栏,每年从第1期至第10期共刊发10篇继教文章,文后附5道单选题,读者阅读后可扫描标签二维码答题,每篇可免费获得Ⅱ类继教学分0.5分,全年最多可获5分。
作为最常见的内分泌系统恶性肿瘤,近年来甲状腺癌在世界范围内的发病率呈逐渐上升趋势,在我国城市地区女性人群中位居恶性肿瘤发病率的第4位[1, 2]。根据2017年WHO的甲状腺肿瘤分类[3],甲状腺癌主要包括乳头状癌、滤泡状癌、髓样癌、嗜酸细胞癌、低分化癌和未分化癌,其中乳头状癌最常见,占所有甲状腺癌的85%~90%,其次为滤泡状癌,约占10%,其余病理类型少见,约各占1%。在临床诊断过程中,甲状腺结节的误诊率较高,需要综合超声、CT和MRI征象进行精确影像诊断。
CT可清晰显示甲状腺癌的位置、大小、形态、边缘、密度等,还能明确病灶与周围结构的关系及有无淋巴结转移,常用于评估甲状腺癌的术前分期及术后复发情况,对甲状腺癌不同病理类型的鉴别也具有重要价值[4, 5, 6, 7, 8]。
1.甲状腺乳头状癌:起源于甲状腺滤泡上皮细胞的分化型恶性肿瘤,为最常见的甲状腺癌组织学亚型,一般认为辐射是其危险因素。大多数分化良好,恶性程度低,预后较好,5年生存率可达95%以上,部分低危乳头状癌的5年生存率甚至接近100%。多为单发病灶,部分也有多中心发病特征,包括单侧叶多发和双侧叶多发。女性好发,男女比例约为1∶3,发病年龄多为20~60岁,其发生发展过程缓慢,患者多无自觉症状,常在体检时偶然发现[9]。
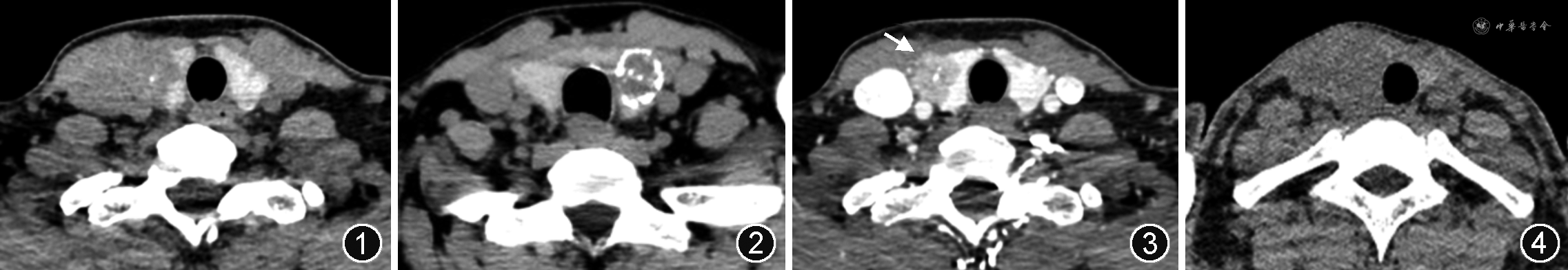
形态不规则、微钙化、增强后边界模糊或缩小、“咬饼征”是诊断甲状腺乳头状癌的主要CT征象[6,10, 11]。(1)钙化。微钙化是指最大径≤2 mm的钙化(图1),随着微钙化数量的增加,尤其是分布集中的簇状微钙化,甲状腺癌的可能性明显升高,而弥漫性微钙化几乎均为甲状腺乳头状癌[12, 13]。对于环状钙化,钙化环中断被认为是甲状腺恶性结节的重要依据(图2),完整的钙化环多见于甲状腺良性结节,这是由于恶性结节常呈侵袭性生长,会破坏钙化边界,导致钙化环的连续性中断[14]。(2)增强后瘤体边界模糊或缩小。是指增强后甲状腺组织与瘤体间的密度差异小于平扫时两者间的密度差异,造成增强后结节边缘更模糊、范围缩小。此征象诊断乳头状癌的灵敏度和特异度均可达80%以上[6]。(3)“咬饼征”。又称“甲状腺边缘中断征”,泛指瘤体边缘与甲状腺边缘具有一定的接触面,接触面较平直,并非杯口状表现,其病理基础为瘤体接近或累及甲状腺被膜(图3)。此征象诊断甲状腺乳头状癌的特异度可达94%,灵敏度74%[6]。


2.甲状腺滤泡状癌:以滤泡状结构和血管或包膜侵犯为主要组织学特征的分化型甲状腺癌,是甲状腺第2常见恶性肿瘤,约占甲状腺癌的10%。本病多见于碘缺乏地区,因此其发病可能与碘营养状态有关[15]。甲状腺滤泡状癌多为形态规则的圆形或椭圆形,这点与乳头状癌有很大不同,且其包膜较厚,CT平扫不能很好地分辨包膜,增强CT对瘤周的低强化或无强化包膜显示更清晰。结节性甲状腺肿伴腺瘤样增生和滤泡状腺瘤也具有包膜,病灶表现为包膜不完整时更支持滤泡状癌的诊断[4,16]。滤泡状癌CT密度可均匀或不均匀(图4),增强后一般呈低强化或等强化,瘤体内部出现低强化或无强化的星芒状瘢痕或坏死是较为特征性的表现,坏死明显者呈厚壁囊肿状,壁厚薄不均。
3.甲状腺髓样癌:起源于甲状腺滤泡旁C细胞的恶性肿瘤,发病年龄大多45岁以上,分为散发性和家族性两类,其中散发性约占80%,家族性约占20%,家族性髓样癌属常染色体显性遗传病,主要是由于原癌基因RET的遗传突变[17]。散发性髓样癌以单侧单发为主,偶可见双侧叶发病;家族性髓样癌多为双侧发病,故对于双侧叶发病的髓样癌,需进一步判断是否为家族遗传性。约90%的髓样癌可分泌降钙素,部分还可分泌其他多种生物活性物质,如癌胚抗原(carcinoembryonic antigen,CEA)、促肾上腺皮质激素、前列腺素、5-羟色胺等,并引起一系列内分泌综合征,如腹泻、心悸、面色潮红、色素增多等症状,其中血清降钙素和CEA是甲状腺髓样癌的术前辅助诊断及术后监测指标,若两者同时升高则高度提示髓样癌[18]。髓样癌早期即可发生淋巴结转移,病程中易向肺、骨、肝等远处器官转移,预后不如乳头状癌及滤泡状癌,但较未分化癌好。
甲状腺髓样癌CT平扫多表现为均匀低密度,增强后不均匀轻度强化,形态规则,边界清晰,部分可见假包膜[19, 20]。病灶多呈膨胀性缓慢生长,越大形态越趋于规则,长期压迫周围组织形成完整或不完整的纤维假包膜,有时与良性病变难以鉴别,常引起误诊。钙化是甲状腺髓样癌的常见征象之一,多为微钙化,与乳头状癌的钙化征象相似。
4.甲状腺未分化癌:又称甲状腺间变性癌,较为罕见,是甲状腺癌中恶性程度最高、预后最差的一种组织学亚型,约占甲状腺癌的1%,中位生存期短仅5个月左右,1年生存率约为20%。本病多见于老年人,发展迅猛,确诊时多已侵犯周围组织或器官,颈部淋巴结转移早且常见,可远处转移至肺、骨、肝、脑等。
CT平扫多呈稍低或混杂密度,单侧单发为主,瘤体较大,常>4 cm,边界模糊,大多呈浸润性生长,病灶容易坏死从而表现为囊实性,少部分可伴有粗钙化或环形钙化,增强呈轻中度强化或明显强化[5,8,21]。甲状腺未分化癌易发生颈部淋巴结转移,60%~75%确诊时已有淋巴结转移,Ⅵ区是最常发生转移部位,其影像学表现多与原发灶类似。
MRI软组织分辨率高、无辐射,可清晰显示甲状腺结节形态、位置及对邻近组织结构的侵犯情况,对结节内出血、囊变敏感,但对钙化不敏感。目前颈部MRI多采用传统的头颈联合容积线圈,对甲状腺、颈部淋巴结等软组织的成像质量欠佳,影响诊断效果。研究表明,表面线圈用于颈部浅表软组织成像可以获得比容积线圈更好的图像均匀度和信噪比[22, 23]。也有文献指出,颈部表面线圈能够获得高质量的甲状腺诊断图像[24],对于甲状腺结节的检出能力几乎可与超声保持一致[25],尤其是对于5 mm以上的甲状腺结节。
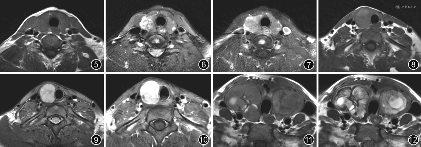
甲状腺癌MRI表现多为单发、形态不规则、瘤周不连续包膜样低信号、T2WI信号不均匀、囊变少[26],其中瘤周不连续包膜样低信号是甲状腺癌的特征性表现(图5~10)。


甲状腺癌大多信号不均匀,其信号与瘤内成分密切相关,若以细胞成分为主,则T1WI多呈等信号(图5),T2WI呈不均匀稍高信号;若以纤维成分为主,则T1WI呈稍低信号,T2WI多呈不均匀等或稍低信号。增强后实性部分不均匀强化,坏死囊变区不强化。
甲状腺癌囊变少见,良性结节囊变率明显高于恶性结节,囊变原因可能与良性结节滤泡间微血管受压引起的退行性变和坏死形成胶样囊肿有关。既往研究表明,在甲状腺囊实性结节中,单发、乳头状壁结节多见于乳头状癌,多发、半环状或环状壁结节多见于囊性结节性甲状腺肿。
瘤周不连续包膜样低信号是甲状腺癌较为特征性的MRI表现。包膜样低信号位于瘤体与正常甲状腺之间,由瘤周的纤维结缔组织增生形成的假包膜构成,在T1WI和T2WI序列上均呈低信号,于T2WI上更易于清晰显示(图6,9)。
甲状腺癌易发生淋巴结转移,一般在原发灶的同侧、沿淋巴引流路径逐站转移,首先转移至甲状腺和气管旁淋巴结(Ⅵ区),然后引流至颈静脉链淋巴结(Ⅱ、Ⅲ、Ⅳ区)和颈后区淋巴结(Ⅴ区),或沿气管旁向下引流至上纵隔。颈Ⅵ区为最常见转移部位,随后依次为Ⅲ、Ⅳ区,较少转移至Ⅰ、Ⅱ、Ⅴ区。以多区转移为主,仅单区转移较少见。
淋巴结大小是判断转移的重要指标,既往有学者定义Ⅵ区发现淋巴结即视为转移,颈部其他区域淋巴结短径>0.5 cm视为转移,其缺点是Ⅵ区淋巴结存在较多假阳性,且侧颈部短径<0.5 cm的微小转移淋巴结并非少见,容易漏诊。正常淋巴结常呈条柱状或长椭圆形,可见淋巴门,若淋巴结呈圆形或不规则形,其内部肿瘤组织浸润充填的可能性大大增加,需警惕淋巴结转移。
淋巴结明显不均匀强化、囊变、囊壁内乳头状结节、细颗粒状钙化是转移淋巴结的特征性表现。约80%的甲状腺癌转移淋巴结呈明显不均匀强化,即CT增强后淋巴结强化幅度较平扫高40 HU以上;约18%转移淋巴结有囊变;约15%有囊壁内乳头状结节;约10%有细颗粒状钙化[27]。
1.结节性甲状腺肿:甲状腺最常见的良性病变,发病年龄较早,女性明显多于男性,影像表现多为甲状腺双侧叶不规则、非对称性增大,其内常见多发结节且结节大小不一,偶也可单发。病灶易出血、囊变、纤维化及钙化等,故CT密度及MRI信号常不均匀(图11,12)。约50%以上的结节性甲状腺肿可发生囊变,结节内囊性区域越大,良性可能性越大,完全囊变结节几乎均为良性结节。结节性甲状腺肿的钙化多为散在分布的条状、柱状、三角形或边缘弧形钙化;部分为孤立性粗钙化,钙化密实,边缘光整;部分为完整的钙化环。
2.甲状腺滤泡状腺瘤:起源于甲状腺滤泡细胞的最常见甲状腺良性肿瘤,以20~40岁多见,男女发病比例约1∶5,病程缓慢,临床症状不明显。约20%的滤泡状腺瘤属于自主性高功能腺瘤,可伴有甲亢。影像表现多为单发结节,呈圆形、卵圆形或沿甲状腺塑形分布,包膜完整,边缘光滑,密度均匀,少部分发生出血、囊变、坏死而密度不均。约2/3的腺瘤增强后呈高强化,此征象较为特异。
中华医学会放射学分会头颈学组对本栏目给予大力支持
所有作者声明无利益冲突
1.哪一种病理类型的甲状腺癌预后最差()
A.乳头状癌
B.未分化癌
C.滤泡状癌
D.髓样癌
2.哪一种病理类型的甲状腺癌最常见()
A.乳头状癌
B.滤泡状癌
C.未分化癌
D.髓样癌
3.下列哪一项是甲状腺癌最具特征性的MRI征象()
A.信号不均匀
B.DWI扩散受限
C.瘤周不连续包膜样低信号
D.动态增强曲线呈“流出型”
4.对于甲状腺乳头状癌的常见CT表现,不正确的是()
A.形态不规则
B.微钙化
C.“咬饼征”
D.增强后显著强化
5.甲状腺乳头状癌最容易出现淋巴结转移的区域是()
A.Ⅱ区
B.Ⅲ区
C.Ⅳ区
D.Ⅵ区





















