
病毒性脑炎是神经科主要的急症和危重症之一。脑炎的临床分型是临床病因诊断的重要依据。脑脊液病毒核酸检测是病毒性脑炎主要的确诊实验,包括聚合酶链反应与宏基因组二代测序等检测方法。特异性抗病毒药物对某些特定类型的病毒性脑炎有效,新型的治疗方法有待进一步探索。
版权归中华医学会所有。
未经授权,不得转载、摘编本刊文章,不得使用本刊的版式设计。
除非特别声明,本刊刊出的所有文章不代表中华医学会和本刊编委会的观点。
经全国继续医学教育委员会批准,本刊开设继教专栏,2022年从第3期开始共刊发10篇继教文章,文后附5道单选题,读者阅读后可扫描标签二维码答题,每篇可免费获得Ⅱ类继教学分0.5分,全年最多可获5分。本年度继教答题得学分活动于10月31日结束。
脑炎是脑实质的弥漫性或者多灶性炎性疾病的统称。根据病因,脑炎总体上可分为感染性脑炎与自身免疫性脑炎(autoimmune encephalitis,AE)两大类,而病毒感染是感染性脑炎的主要病因之一。病毒性脑炎是神经科较常见的急症、危重症之一,需要及时诊断与治疗。病毒性脑炎的发病率因人群、地域和季节而不同,占脑炎患者的20%~50%[1, 2, 3]。导致病毒性脑炎的病毒具有神经侵袭性或者嗜神经性。神经侵袭性病毒可分为DNA病毒与RNA病毒,前者以疱疹病毒脑炎最为常见,RNA病毒中的黄病毒(如流行性乙型脑炎病毒)和肠病毒等导致的脑炎在临床也不少见。
根据中枢神经系统(central nervous system,CNS)的受累部位和临床表现,病毒性脑炎可分为若干临床分型。症状与体征提供的定位诊断信息与神经影像学表现是临床分型的依据[4]。病毒性脑炎主要包括以下临床综合征:(1)脑炎(encephalitis):以大脑灰质神经元受累为主,包括边缘性脑炎、基底节脑炎、弥漫性脑炎等类型。(2)脑膜炎(meningitis):炎症主要累及脑和(或)脊髓软脑膜、蛛网膜乃至神经根。(3)脑膜脑炎(meningoencephalitis):脑实质与脑膜均受累。(4)脑脊髓炎(encephalomyelitis):脑实质与脊髓均受累,脑脊膜也可同时受累。(5)脑血管炎:炎症累及脑膜血管或者其他脑血管。(6)炎症肉芽肿:为局灶性或者多灶性的慢性炎症。(7)白质脑炎:以脑白质和髓鞘受累为主的炎症。区分脑炎临床综合征是临床定性(病因)诊断与鉴别诊断分析的基础,不同的临床综合征对应不同的病因(表1)。

脑炎的主要临床综合征及其常见病因
Main clinical syndromes and common causes of encephalitis
脑炎的主要临床综合征及其常见病因
Main clinical syndromes and common causes of encephalitis
| 临床综合征 | 病毒 | 其他感染病原体 | 自身免疫性疾病 |
|---|---|---|---|
| 边缘性脑炎 | HSV1、VZV、CMV、HHV6 | 梅毒螺旋体 | PNS、LGI1、GAD、GABABR、AMPAR |
| 基底节脑炎 | 流行性乙型脑炎与其他黄病毒、肠病毒、博尔纳病毒、星状病毒 | 隐球菌(累及血管间隙) | LGI1、D2R、mGluR5 |
| 弥漫性脑炎 | 狂犬病、布尼亚病毒、伪狂犬病毒 | 克-雅病 | NMDAR、ADEM、AMPAR |
| 脑干炎 | 肠病毒、VZV、狂犬病毒 | 单核细胞增生性李斯特菌 | 神经白塞病、炎性脱髓鞘疾病 |
| 小脑炎 | 肠病毒、JCV、EB病毒 | 克-雅病 | PNS、ACA |
| 白质脑炎 | CMV、JCV(PML) | 炎性脱髓鞘病 | |
| 脑血管炎 | VZV | 梅毒、结核、布鲁菌、霉菌、细菌性心内膜炎 | PACNS、神经白塞病、RP、CAA-ri |
| 复发性脑炎 | 单纯疱疹病毒 | AE、病毒性脑炎后AE | |
| 复发性与慢性脑膜炎 | HSV2、免疫抑制患者的肠道病毒感染 | 结核、梅毒、隐球菌、布鲁菌、囊虫病、莱姆病 | 神经白塞病、Vogt-小柳综合征 |
| 慢性脑炎 | SSPE、JCV、星状病毒 | 克-雅病、梅毒 | 抗IgLON5脑病 |
注:HSV1:单纯疱疹病毒1型;VZV:水痘-带状疱疹病毒;CMV:巨细胞病毒;HHV6:单纯疱疹病毒6型;JCV:乳头多瘤空泡病毒;PML:进行性多灶性白质脑病;HSV2:单纯疱疹病毒2型;SSPE:亚急性硬化性全脑炎;PNS:副肿瘤神经综合征;LGI1:富亮氨酸胶质瘤失活蛋白1;GAD:谷氨酸脱羧酶;GABABR:氨基丁酸B型受体;AMPAR:α氨基-3-羟基-5-甲基-4-异唑酸受体;D2R:多巴胺2型受体;mGluR5:代谢型谷氨酸受体;NMDAR:N-甲基-D-天冬氨酸受体;ADEM:急性播散性脑脊髓炎;ACA:自身免疫性小脑性共济失调;PACNS:原发性中枢神经系统血管炎;RP:复发性多软骨炎;CAA-ri:脑淀粉样血管病相关炎症;AE:自身免疫性脑炎
1.脑脊液(cerebrospinal fluid):检查项目包括脑脊液压力、外观、常规(细胞计数)、细胞学、生化。脑脊液白细胞计数与细胞学是判断脑脊液是否存在炎性细胞反应的重要依据。多数病毒性脑炎可见脑脊液白细胞计数升高(>5×106/L),或脑脊液细胞学可见炎性细胞,一般以淋巴细胞升高为主,在急性期可有一过性中性粒细胞比例升高。流行性乙型脑炎患者脑脊液的中性粒细胞升高比较多见。免疫功能低下的患者在发生病毒性脑炎时,脑脊液炎性改变可能并不明显。脑脊液细胞学可以确定脑脊液炎性细胞的反应类型,有助于疾病的鉴别诊断与经验性治疗[5]。此外,脑脊液细胞学检查如发现肿瘤细胞,可确诊脑膜恶性肿瘤[6]。病毒性脑炎的脑脊液葡萄糖水平一般正常,脑脊液葡萄糖水平降低可见于化脓性、结核性、真菌性脑膜炎,脑膜型脑囊虫病,脑膜癌病与蛛网膜下腔出血等疾病。病毒性脑炎的脑脊液蛋白可轻度升高。
2.影像学:头颅MRI与CT具有辅助定位诊断的作用,基于临床与神经影像学的脑炎临床综合征分型与不同病因有一定的对应关系,因此具有一定的病因(定性)诊断意义。头颅FLAIR对脑炎的脑实质病灶比较敏感,增强MRI有助于显示脑膜病变。头颅CT可以显示出血性病变和坏死性病变,单纯疱疹病毒性脑炎(herpes simplex virus encephalitis,HSE)、阿米巴脑炎、霉菌感染可见出血坏死病变。头颅CT是急诊腰椎穿刺前必要的检查项目,有助于排除后颅窝占位等腰椎穿刺禁忌证。CT和MRI也可用于评估脑炎患者神经系统损害的程度、病情和预后。
3.脑电图(electroencephalogram):脑电图是评估病毒性脑炎的重要检测方法。脑炎重症患者脑电图可表现为双侧半球弥散性慢波,以额颞叶明显,出现周期性复合波(常为慢波或尖波)。亚急性硬化性全脑炎(subacute sclerosing panencephalitis,SSPE)的脑电图表现呈两侧周期性阵发放电,持续0.5~3.0 s,为高波幅慢波或棘慢综合波。颞叶起源的癫痫波提示边缘性脑炎。脑电图对脑炎的病因诊断意义有限,但有助于与朊蛋白病、代谢性脑病等鉴别。
1.病毒核酸检测:采用聚合酶链反应(polymerase chain reaction,PCR)与宏基因组二代测序(metagenomics next-generation sequencing,mNGS)等方法[7],主要对脑脊液进行检查,也可以对脑组织等其他标本检测;一般而言,脑脊液mNGS检测到特异性病毒序列数≥3条时具有诊断意义。PCR是诊断疱疹病毒及肠道病毒感染的主要确诊实验,其敏感度及特异度可因病毒不同而异。mNGS具有广谱、无偏倚的优点,普及性较好,但费用较贵。对于病因未明的重症脑炎或者怀疑为罕见病原体、新发病原体感染的患者,可优先选择mNGS[8, 9, 10]。
2.血清学检测:对诸多虫媒病毒性脑炎,包括流行性乙型脑炎、西尼罗病毒脑炎与蜱传病毒性脑炎等,以及麻疹病毒慢性感染导致的SSPE,血清学检查是重要的诊断实验。例如抗流行性乙型脑炎病毒抗体(IgM)阳性是该病的确诊实验。血清学检查对人类疱疹病毒CNS感染的诊断意义不大,单纯疱疹病毒(herpes simplex virus,HSV)、水痘-带状疱疹病毒(varicella zoster virus,VZV)、巨细胞病毒(cytomegalovirus,CMV)及EB病毒(Epstein-Barr virus)等病毒在人群中抗体阳性率较高,抗病毒抗体IgG滴度升高4倍以上具有回顾性诊断意义,但对病毒性脑炎在急性期的确诊缺少临床实用性。对于病因未明的脑炎,AE相关自身抗体检测属于一线病因检查项目,应与感染病原体检查联合使用,形成一体化的病因诊断流程,以利于AE与病毒性脑炎的鉴别诊断[11]。
3.诊断流程:病毒性脑炎的诊断需要综合分析患者的临床表现、脑脊液检查、神经影像学和脑电图检查等结果,首先确定其患有脑炎,继而通过病毒核酸检测等病毒鉴定实验方可确诊(表2)[12]。

病毒性脑炎的临床评估要点[12]
Clinical evaluation of viral encephalitis[12]
病毒性脑炎的临床评估要点[12]
Clinical evaluation of viral encephalitis[12]
| 项目 | 内容 |
|---|---|
| 病史 | 性别、年龄、职业、居住地、旅居史、动物接触史、基础疾病、肿瘤病史、手术、输血与疫苗接种史、免疫状态 现病史:起病时间、病程时相特点、主要症状与伴随症状、系统性症状 |
| 体征及量表评分 | 神经科体征:高级神经功能,脑干、小脑、锥体外系体征和脑膜刺激征等局灶性体征 内科体征、改良Rankin量表评分、格拉斯哥昏迷量表评分 |
| 血液检查 | 血常规、生化、红细胞沉降率、周围血淋巴细胞亚群与Ig水平(必要时) |
| X线与超声 | 胸部CT |
| 脑电图 | 脑电图 |
| 神经影像学 | 头颅CT(急诊可及)、头颅磁共振成像(平扫与增强) |
| 脑脊液检查 | 压力、细胞计数与细胞学、生化;寡克隆区带、脑脊液与血清自免脑炎抗体(必要时) |
| 感染病原体检测 | 脑脊液病毒核酸检测:聚合酶链反应和(或)宏基因组二代测序;抗病毒抗体(主要用于RNA病毒);其他病原体检测实验 |
4.诊断标准:(急性)病毒性脑炎的确诊需要同时满足主要条件、次要条件、确诊实验、排除其他病因共4个条件,具体内容详见表3[13]。

病毒性脑炎的诊断标准[13]
Diagnostic criteria of viral encephalitis[13]
病毒性脑炎的诊断标准[13]
Diagnostic criteria of viral encephalitis[13]
| 诊断标准具体内容 |
|---|
确诊病毒性脑炎需要同时符合A、B、C与D 4个条件: A.主要条件:精神状态改变,包括意识水平下降、嗜睡或精神行为异常且持续≥24 h;或者新出现的癫痫发作 B.次要条件:体温≥38 ℃的发热(起病前或起病后72 h内),或新出现的神经系统局灶性表现,或脑脊液白细胞≥5×106/L,或脑脊液细胞学呈淋巴细胞性炎症,或影像学显示脑实质病灶符合脑炎,或脑电图异常符合脑炎 C.确诊实验:脑脊液病毒核酸阳性(聚合酶链反应或宏基因组二代测序),或脑脊液和(或)血清抗病毒抗体IgM阳性 D.合理排除其他病因 |
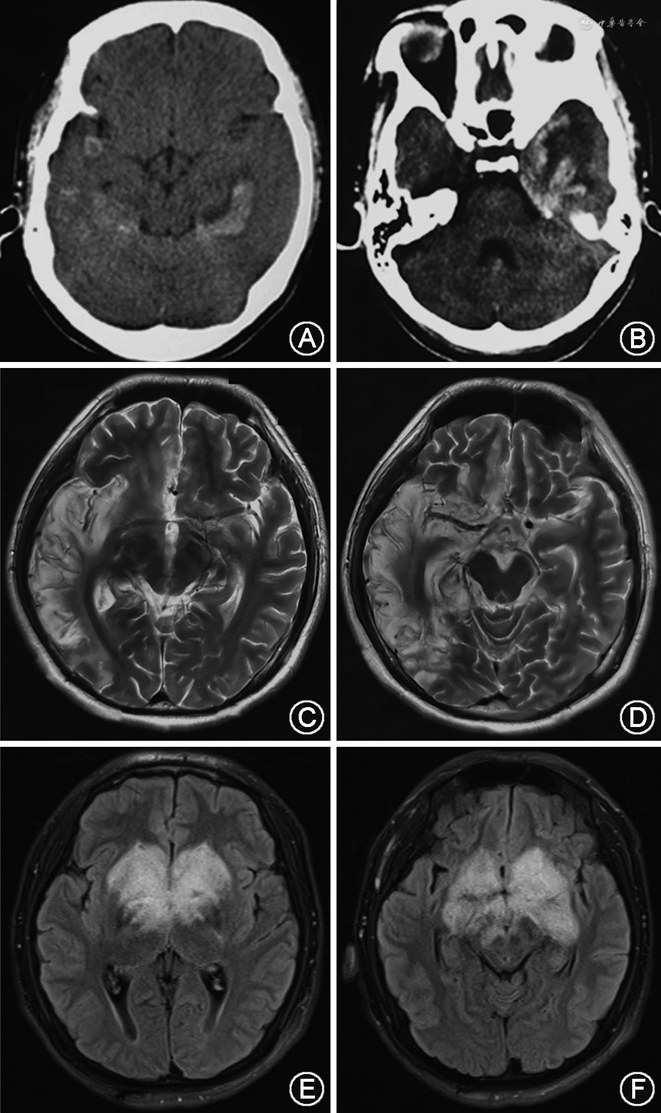
1.HSE:HSE主要由HSV-1引起,在成人病毒性脑炎中,HSE是最常见的一种。HSV-1又称人类疱疹病毒1型,为双链DNA病毒,HSE的主要病理改变为边缘系统的出血坏死性炎症。HSE可发生于任何年龄,呈散发性,无明显的季节性和地域性特征,少数患者可有口唇疱疹病史。临床急性起病,表现为发热、头痛、癫痫发作、精神行为异常、认知功能与近记忆力障碍,部分患者出现局灶性神经症状(偏瘫、失语等)。症状可进行性加重,出现意识障碍和昏迷。辅助检查:(1)脑脊液压力正常或升高,白细胞增多(5×106/L~500×106/L),以淋巴细胞为主,亦可有红细胞轻度增多,蛋白水平升高,葡萄糖含量正常。(2)脑电图:可见弥漫性高波幅慢波,以单侧或双侧颞、额区异常为主,可出现颞区的尖波及棘波。(3)影像学:头颅CT可见病变主要位于边缘系统,以颞叶受累常见,呈低密度改变,有时可见出血;MRI显示边缘系统病变,单侧或两侧颞叶底面和内侧面、下额叶、岛叶等部位长T1、长T2异常信号,增强MRI可见脑回强化,可有出血性改变(图1)。(4)确诊实验:脑脊液病毒核酸检测,包括PCR与mNGS法;脑活组织检查的免疫组织化学与核酸检测也可用于确诊。


2.VZV:又称人类疱疹病毒3型,人初次感染VZV的表现为水痘,感染后病毒潜伏于三叉神经节和背根神经节,病毒激活引起带状疱疹和CNS感染。根据北京脑炎协作组的全国多中心研究统计结果,在成人CNS病毒感染中,VZV的发生率位居首位,超过HSV-1。CNS的VZV感染主要表现为脑膜炎、脑炎、脑血管炎与脊髓炎等表型,以轻症的脑膜炎最为常见,其次为脑炎(含边缘性脑炎)。VZV是脑血管炎的重要病因,主要表现为头痛与急性缺血性卒中,在免疫抑制状态的患者中更易发生。以上各种临床表型可以叠加发生,表现为CNS的弥漫性病灶,临床类似急性播散性脑脊髓炎(acute disseminated encephalomyelitis,ADEM)。新近的皮肤带状疱疹对诊断具有提示意义,但仅见于部分(1/3~1/2)CNS的VZV感染患者。辅助检查:(1)脑脊液白细胞增多(5×106/L~500×106/L),少数患者超过1 000×106/L,以淋巴细胞为主,蛋白水平升高,葡萄糖含量正常。(2)MRI以脑膜强化最常见(脑膜炎型),可以有边缘系统受累以及脑白质、脑干和脊髓的脱髓鞘病灶,血管炎型的MRI表现为急性梗死,血管成像检查可见受累动脉局灶或节段性狭窄或闭塞,以大脑中动脉、大脑前动脉、颈内动脉受累较常见,亦可见动脉瘤[14]。(3)确诊实验:脑脊液VZV核酸检测,采用mNGS或者PCR,急脑脊液或血清抗VZV抗体IgM阳性也有诊断意义。
3.流行性乙型脑炎:简称乙脑,又称日本脑炎,乙脑病毒属于单正链RNA病毒、黄病毒属。人与多种牲畜、禽鸟类均可感染乙脑病毒,猪是乙脑病毒的主要传染源,经蚊虫叮咬传播。乙脑累及整个CNS的灰质,以基底核、丘脑和大脑皮质最严重,脊髓灰质也可受累。本病主要出现于夏、秋季,轻症患者表现为脑膜炎或者单纯的精神行为异常;重症者以抽搐、意识障碍、呼吸衰竭为主要表现;累及脊髓灰质者,可表现为急性弛缓性麻痹,出现1个或多个肢体瘫痪,下肢较上肢明显。近年我国西北地区乙脑以成人和老年患者为主,且可引起吉兰-巴雷综合征样表现,包括急性运动轴索性神经病和急性感觉运动轴索性神经病[15]。患者的脑脊液白细胞计数多在50×106/L~500×106/L,早期以中性粒细胞为主,后逐渐转变为淋巴细胞为主的炎症。头颅MRI显示双侧丘脑、基底节、脑干受累,有或无异常强化,有时也可见小脑、脊髓和大脑皮质异常信号,部分患者头颅MRI正常(图1)。确诊实验首选抗乙脑病毒抗体(IgM)检测;脑脊液或血液PCR检测乙脑病毒核酸阳性可以确诊。
4.西尼罗病毒(West Nile virus)脑炎:西尼罗病毒是一种单链RNA的虫媒病毒,属于黄病毒科、黄病毒属,鸟类为其主要的贮存宿主,经蚊传播,人群普遍易患。2004年以来在我国新疆地区曾发生小范围流行。临床表现为脑膜炎或者脑炎,脑炎者以双侧基底节区受累常见,临床表现与流行性乙型脑炎相似。西尼罗病毒可累及脊髓灰质,引起急性弛缓性麻痹等。该病的确诊主要依靠抗病毒抗体和病毒核酸检查。西尼罗病毒与乙型脑炎病毒的血清学实验存在交叉反应——西尼罗病毒脑炎患者的血清检测可呈乙型脑炎病毒抗体(IgM)阳性,为鉴别诊断带来困难。
5.狂犬病毒脑炎:狂犬病(rabies)是狂犬病毒感染引起的神经系统感染性疾病,自然宿主包括狗、猫、狼和蝙蝠等,狂犬是主要传染源。狂犬病毒为单链RNA病毒,属弹状病毒科、狂犬病毒属,病毒自创口进入人体,沿末梢神经向心性进入CNS,引起急性弥漫性脑脊髓炎,主要累及灰质,可导致进展性脑炎,脑干和边缘系统首先受累,之后累及基底节和丘脑。潜伏期一般为20~60 d,也可长达数年,伤口在头部者潜伏期短。在前驱期主要表现为低热、头痛、疲乏、肌痛,逐渐出现烦躁、失眠、恐惧感,对声、光、风刺激过敏。已经愈合伤口周围的麻木感、痒痛是本病的特点。病情快速进展,患者出现意识障碍、恐惧性痉挛和自主神经障碍,恐水症是本病特征,病情进展出现弛缓性瘫痪,因呼吸和循环衰竭迅速死亡;麻痹型患者由前驱期直接进入瘫痪期导致全身弛缓性瘫。确诊实验采用PCR检测脑脊液和唾液中的病毒核酸。
6.伪狂犬病毒(pseudorabies virus,PRV)脑炎:PRV也称猪疱疹病毒Ⅰ型,为双链DNA病毒,属于疱疹病毒科中的α疱疹病毒亚科,猪是PRV的自然宿主之一,可引起猪的出血坏死性脑炎。2016年以来采用病原体mNGS技术的系列研究发现,PRV可以跨物种传染给人类,导致病毒性脑炎与眼内炎[16]。人类PRV脑炎较为特征性的临床表现与神经影像学改变为:患者主要为从事生猪产业并有病猪接触史;急性起病,病前可有发热、头痛等前驱症状,迅速进展为重症脑炎,表现为抽搐、意识障碍、昏迷;可合并视网膜炎或眼内炎。头颅MRI以大脑灰质受累为主,受累部位包括边缘系统、基底节与脑干,出血性改变不明显。脑脊液压力升高,脑脊液白细胞计数轻、中度升高,细胞学呈淋巴细胞性炎症[13,17, 18]。
7.新型布尼亚病毒脑炎:新型布尼亚病毒又称发热血小板减少综合征病毒(severe fever with thrombocytopenia syndrome virus),属于布尼亚病毒科、白蛉病毒属[19],经蜱传播,每年5—7月为发病高峰期,多见于林区、丘陵地带,河南、山东、江苏、河北、辽宁等地均有发生[20]。主要表现为发热伴血小板减少综合征,重症患者可出现多器官功能衰竭,合并脑病/脑炎的比例为13%~19%,主要症状包括头痛、意识障碍、抽搐;重症多见,病死率可达44.7%[21]。少数患者脑脊液可见淋巴细胞增多,头颅MRI提示脑内多发病灶,灰质与白质均可受累[22]。
8.进行性多灶性白质脑病(progressive multifocal leukoencephalopathy,PML):由乳头多瘤空泡病毒(JCV)感染引起,主要见于免疫功能低下的患者。JCV主要感染少突胶质细胞,引起白质脱髓鞘病变,也可感染小脑颗粒细胞及其他神经元,导致小脑病变及脑炎表现。患者多呈亚急性或隐袭起病,表现为进行性加重的局灶性神经系统缺损症状,认知障碍、瘫痪、步态异常、共济失调、视野缺损和语言障碍较常见。脑脊液病毒核酸检测(PCR或mNGS)是确诊PML的主要方法,脑组织的免疫组织化学染色与mNGS也可以确诊。
9.星状病毒脑炎:星状病毒是一种单股正链RNA病毒,在鸟类和哺乳动物中广泛存在,主要通过“粪-口”途径传播,可引起胃肠道疾病。首例人类星状病毒脑炎在2010年报道[23],患者既往患有X-连锁丙种球蛋白缺乏症,出现头痛、精神行为异常、记忆力减退、共济失调、认知和语言障碍,后期昏迷,尸检病理符合病毒性脑炎,经脑组织二代测序确定为星状病毒脑炎。目前已报道的人类星状病毒脑炎病例约10例,除1例免疫功能正常的成年患者病程自限外,其他均为免疫功能低下患者,病情进行加重,多数死亡[10]。近期北京协和医院神经科诊断了1例星状病毒脑炎,患者患有先天免疫缺陷,以腹泻、不自主运动与进行性脑病为主要表现。
1.其他CNS感染性疾病:包括神经梅毒,细菌、真菌和寄生虫所致的CNS感染,克-雅病等。
2.AE:包括抗N-甲基-D-天冬氨酸受体(NMDAR)脑炎等抗体相关AE。抗NMDAR脑炎的症状全面、多样,具有弥漫性脑炎的特点,包括精神行为异常、癫痫发作、近记忆力下降、言语障碍、运动障碍/不自主运动、意识障碍、自主神经功能障碍等;头颅MRI多数正常,或病灶范围包括边缘系统和其他区域的大脑皮质;部分女性患者合并卵巢畸胎瘤;脑脊液抗NMDAR抗体阳性是其确诊依据[11]。
3.病毒性脑炎后AE:少数HSE与流行性乙型脑炎患者在恢复期可重新出现脑炎症状,表现为“双峰脑炎”,此时脑脊液病毒核酸转阴而抗NMDAR抗体等呈阳性,属于病毒性脑炎后AE[24]。当病毒性脑炎患者症状复发或活动性症状持续不缓解时,要考虑病毒性脑炎后AE可能,并进行AE相关抗体检查。
4.ADEM:ADEM多发生在前驱病毒感染或疫苗接种后,急性发病,发热、头痛、意识模糊、瘫痪、大小便障碍等CNS局灶症状明显,MRI示侧大脑白质与灰质多发病变,可伴有脑干、脊髓病灶。脑脊液呈淋巴细胞性炎症,部分患者血清抗髓鞘少突胶质细胞糖蛋白抗体阳性[25]。
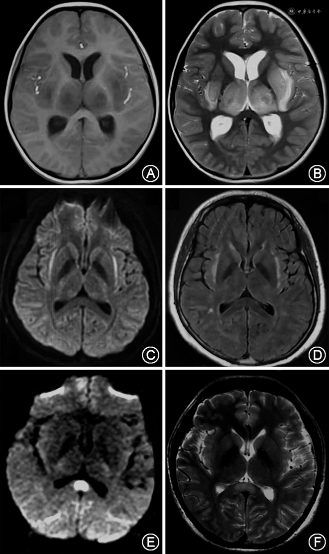
5.副感染性脑病(para-infectious encephalopathy):继发于系统性感染性疾病(CNS之外的感染性疾病)的一组急性脑病综合征,包括急性坏死性脑病(acute necrotizing encephalopathy)、伴胼胝体压部可逆性病变的轻度脑病综合征(mild encephalopathy with a reversible splenial lesion syndrome)、伴(或不伴)屏状核病变的发热感染相关癫痫综合征(febrile infection-related epilepsy syndrome)等(图2)。这是一组机制有待阐明的感染相关脑病综合征。副感染性脑病不是由病毒直接侵袭CNS引起,也不属于适应性免疫介导的特异性自身免疫反应,而可能与细胞因子风暴导致的炎性综合征和个体遗传因素等相关,例如COVID-19相关的急性坏死性脑病[26],偶可见于疫苗接种后。以往有所谓的“感染后脑炎”的提法,可能部分涵盖到副感染性脑病;而由感染诱发的抗神经抗体阳性脑炎,目前已归类为AE。


6.代谢性与中毒性脑病:线粒体脑病、甲基丙二酸血症、Wernicke脑病和肝性脑病等,青霉素类或者喹诺酮类等抗生素、化学治疗药物等相关的脑病。
7.CNS肿瘤:弥漫性或者多灶性的脑肿瘤,例如原发性CNS淋巴瘤、大脑胶质瘤病、转移癌。
1.抗病毒治疗:对所有怀疑为病毒性脑炎的患者,均应尽快给予阿昔洛韦进行经验性抗病毒治疗(剂量:对于儿童和肾功能正常的成人,剂量为10 mg/kg,每8小时1次,静脉滴注),直到进一步检查明确病因,再调整为针对病因的治疗。对确诊的HSV1/2与VZV脑炎或者脑膜炎,首选阿昔洛韦,疗程14~21 d。更昔洛韦对VZV脑膜脑炎患者亦有效[27],可作为备选治疗方案。CMV脑炎可使用更昔洛韦(5 mg/kg,每12小时1次,静脉滴注,持续2~3周)治疗,如果治疗效果欠佳,可采用更昔洛韦联合膦甲酸(60 mg/kg,每8小时1次,静脉滴注;或90 mg/kg,每12小时1次,静脉滴注)治疗3周。CMV脑炎多在免疫抑制的情况下发生,故应尽量实现免疫重建。阿昔洛韦在体外实验中可以抑制EB病毒的复制,对EB病毒的CNS感染治疗效果不确定。利巴韦林对麻疹病毒脑炎(例如SSPE)可能有一定效果。
2.糖皮质激素:对于HSV1/2和VZV脑炎,在应用特异性抗病毒药物(阿昔洛韦)的同时,可酌情使用短疗程激素,有可能改善预后。例如:地塞米松10~15 mg/d,疗程5~7 d。激素能否改善病毒性脑炎的长期预后仍有待进一步临床研究确认。
3.静脉注射免疫球蛋白:在病毒性脑炎中的治疗效果尚未证实。人免疫球蛋白制剂中含有某些抗病毒抗体,对肠病毒与流行性乙型脑炎病毒具有一定的中和作用。对于重症和免疫功能低下的患者,在缺少特异性抗病毒药物的情况下可以试用(2 g/kg,分3~5 d静脉滴注)。
4.生物制剂:免疫检查点抑制剂——程序性细胞死亡蛋白1(PD-1)抗体对PML可能有效,PD-1抗体主要用于肿瘤的免疫治疗。有学者采用PD-1抗体帕博利珠单抗(pembrolizumab)治疗PML,部分患者临床症状得到改善或稳定,脑脊液中的JC病毒载量降低[28]。我们也应用帕博利珠单抗治疗PML与星状病毒脑炎病例,临床观察有效,安全性良好。近年来,对JC病毒、CMV、EB病毒输注病毒特异性T细胞的疗法在一些前期的临床研究中提示有效[29]。
由于脑脊液二代测序等病原体鉴定技术的临床应用,病毒性脑炎的诊断效率和准确性得以提升,新发与罕见的病毒性脑炎逐渐被神经科认识。治疗病毒性脑炎的特异性抗病毒药物仍然非常有限,但生物制剂与免疫治疗作为新型的抗病毒疗法,具有进一步研究与应用的前景。
作者声明不存在利益冲突
None declared
1.患者青年男性,因“头痛、发热 5 d,精神行为异常、抽搐2 d”就诊,头颅MRI提示双侧颞叶异常信号,脑脊液细胞学示淋巴细胞性炎症,首先考虑何种脑炎并采取何种经验性治疗?
A.考虑自身免疫性脑炎,糖皮质激素冲击治疗
B.考虑自身免疫性脑炎,静脉免疫球蛋白治疗
C.考虑单纯疱疹病毒脑炎,静脉阿昔洛韦治疗
D.考虑单纯疱疹病毒脑炎,静脉更昔洛韦治疗
2.在我国夏、秋季节,导致成人基底节脑炎的主要病毒是哪一种?
A.流行性乙型脑炎病毒
B.狂犬病毒
C.单纯疱疹病毒
D.肠道病毒
3.对于疑似的流行性乙型脑炎患者,首选的病因诊断实验是什么?
A.乙型脑炎病毒PCR检测
B.脑脊液病原体宏基因组二代测序
C.血与脑脊液抗乙型脑炎病毒抗体(IgM)检测
D.血与脑脊液抗乙型脑炎病毒抗体(IgG)检测
4.以下哪种脑脊液细胞学改变在病毒性脑炎患者中最常见?
A.单核细胞(monocyte)反应
B.淋巴细胞性炎症
C.中性粒细胞性炎症
D.混合型炎性细胞反应
5.对于怀疑新发病原体导致的脑炎或者罕见的重症病毒性脑炎病例,首选的病原体筛查与鉴定方法是哪一项?
A.脑脊液细胞学
B.抗病毒抗体检测
C.特定病毒的核酸PCR检测
D.脑脊液病原体宏基因组二代测序





















