
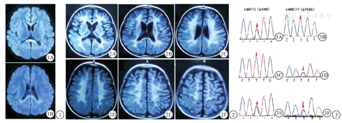
患儿 男,4岁半,第1胎。2岁前生长发育正常,2岁时无明显诱因出现进行性抬头不稳,头略后仰,翻身不能,拉起反射阳性,双侧膝腱反射活跃,双侧巴宾斯基征阳性,四肢肌张力高。头部磁共振成像(MRI)平扫可见胼胝体压部及双侧侧脑室后角旁白质区对称分布片状异常信号,为T1WI呈稍低信号,T2WI级压水压脂像呈稍高信号(图1)。双侧额、颞叶脑沟略增宽。提示髓鞘发育不良。临床诊断为脑白质发育不良,于我院康复科规律康复治疗。4岁时无明显诱因出现抽搐,发作表现为双眼上翻,凝视,口周发绀,四肢僵直,意识丧失。视频脑电检测可见背景弥漫性慢波,清醒期前头部偶见棘波散发。抽搐发生后立即就诊于我院,复查头部MRI可见双侧侧脑室旁白质区见对称性大片异常信号,T1WI呈稍低信号,T2WI级压水压脂像呈稍高信号(图2)。胼胝体体积变小,部分脑沟增宽。2个月前时患儿复查未出现其他系统异常表现,检测外周血白细胞芳香基硫酸酯酶A(arylsulfatase,ARSA)活性结果为32.6nmol/mg.17h(正常参考值217~360 nmol/mg.17h)。明确诊断为晚婴型异染性脑白质营养不良(metachromatic leukodystrophy,MLD)。父母体健,非近亲婚配,否认癫痫及遗传病家族史。其母现孕15周,于本中心行遗传咨询及产前诊断。
版权归中华医学会所有。
未经授权,不得转载、摘编本刊文章,不得使用本刊的版式设计。
除非特别声明,本刊刊出的所有文章不代表中华医学会和本刊编委会的观点。
患儿 男,4岁半,第1胎。2岁前生长发育正常,2岁时无明显诱因出现进行性抬头不稳,头略后仰,翻身不能,拉起反射阳性,双侧膝腱反射活跃,双侧巴宾斯基征阳性,四肢肌张力高。头部磁共振成像(MRI)平扫可见胼胝体压部及双侧侧脑室后角旁白质区对称分布片状异常信号,为T1WI呈稍低信号,T2WI级压水压脂像呈稍高信号(图1)。双侧额、颞叶脑沟略增宽。提示髓鞘发育不良。临床诊断为脑白质发育不良,于我院康复科规律康复治疗。4岁时无明显诱因出现抽搐,发作表现为双眼上翻,凝视,口周发绀,四肢僵直,意识丧失。视频脑电检测可见背景弥漫性慢波,清醒期前头部偶见棘波散发。抽搐发生后立即就诊于我院,复查头部MRI可见双侧侧脑室旁白质区见对称性大片异常信号,T1WI呈稍低信号,T2WI级压水压脂像呈稍高信号(图2)。胼胝体体积变小,部分脑沟增宽。2个月前时患儿复查未出现其他系统异常表现,检测外周血白细胞芳香基硫酸酯酶A(arylsulfatase,ARSA)活性结果为32.6nmol/mg.17h(正常参考值217~360 nmol/mg.17h)。明确诊断为晚婴型异染性脑白质营养不良(metachromatic leukodystrophy,MLD)。父母体健,非近亲婚配,否认癫痫及遗传病家族史。其母现孕15周,于本中心行遗传咨询及产前诊断。


经知情同意后,采集患儿及其父母外周血进行脑白质病相关致病基因检测。结果显示患儿ARSA基因存在c.86T>C(p.Phe29Ser)和c.449C>T(p.Pro150Leu)位点复合杂合变异(图3)。患儿父亲携带c.86T>C(p.Phe29Ser)变异,患儿母亲携带c.449C>T(p.Pro150Leu)变异。患儿母亲于18周行羊水穿刺,羊水样本基因检测结果提示胎儿存在与患儿相同变异,经遗传咨询告知夫妇双方胎儿患病风险及预后,双方为优生优育知情选择引产。
MLD是一种罕见的由于溶酶体沉积导致的神经退化性代谢病,为常染色体隐性遗传病。是由于ARSA及神经鞘脂激活蛋白缺陷导致硫酸脑苷脂及其他含硫酸的糖酐酯不能脱硫酸,导致上述脂类沉积到全身组织的溶酶体中,主要为中枢及周围神经系统,最终导致神经系统脱髓鞘,引发临床症状[1],其中ARSA缺乏是最主要原因[2]。因ARSA缺陷(MIM #250100)导致的MLD根据发病年龄分为晚婴型,青少年型及成人型MLD[3]。其中以晚婴型最为常见,在患者中约占50%-60%[4]。晚婴型MLD通常在患儿30个月龄前发病,以发育快速退化为主要表现,大多在5岁前死亡。本例患儿2岁起出现发育行为逐渐倒退,病理反射亢进等临床表现;4岁癫痫发作,外周血白细胞ARSA活性明显低于正常范围,脑白质病相关基因检测发现患儿ARSA基因存在复合杂合变异,头颅MRI提示髓鞘病变,均符合晚婴型MLD诊断。研究表明,产前诊断可以通过检测绒毛活检组织中ASRA的活性,快速并准确判断胎儿患病情况[3,5]。但少数正常人可出现ARSA假性缺失,无任何临床症状,而少数MLD患者ASRA活性可正常。因此,ARSA基因的变异检测在临床诊断及产前诊断中尤为重要[6]。
ARSA基因(MIM #607574; NG-009260)位于染色体22q13.31区,总长3.2kb,包含8个外显子,编码509个氨基酸前体[7]。本例患儿ARSA基因c.449C>T(p.Pro150Leu)变异已被HGMD数据库收录,ClinVar数据库收录结果致病性/疑似致病性变异(Variation ID:68134);Qu Y等报道该变异可能通过影响ARSA蛋白大小和电荷导致MDL[8];Biffi等[9]发现同一位点c.449C>G(p.P150A)变异导致MLD;该变异在gnomAD数据库收录频率0.000004146;生物信息分析软件预测结果一致有害(SIFT、PolyPhen2、MutationTaster);患者临床表型及酶学检测结果符合MLD诊断,根据美国医学遗传与基因组学会(American College of Medical Genetics and Genomics,ACMG)标准,该变异可判定为疑似致病性变异(PM3+PS3_Supporting+PM2+PP3+ PP4)。c.86T>C(p.Phe29Ser)变异的致病性目前未见报道,gnomAD数据库未收录;在人群中发生率极低,临床意义尚不明确;生物信息分析软件预测结果一致有害(SIFT、PolyPhen2、MutationTaster);由于MLD为隐性遗传疾病,另一等位基因检测到c.449C>T(p.Pro150Leu)疑似致病性变异;先证者临床证据支持MLD诊断,根据以上证据,该变异可判断为可能致病性变异(PM2_Supporting +PP3 +PM3+PP4)。综上分析,患儿ARSA基因的复合杂合变异分别来源于父母,符合常染色体隐性遗传规律,可能是导致患儿晚婴型MDL的原因。
所有作者均声明不存在利益冲突





















