
本文报道1例44岁男性患者,主因不明原因高热、头痛就诊,影像学提示右肺上叶感染,支气管肺泡灌洗液的宏基因组学下一代测序提示惠普尔养障体感染,既往有葡萄膜炎、慢性腹泻、体质量减轻、多关节痛病史,诊断惠普尔病。院内及出院后序贯抗感染治疗3月余,临床症状明显改善,继续治疗中。惠普尔养障体属于放线菌纲、放线菌目、纤维素单胞菌科,革兰阳性,可引起慢性多器官感染,肺部受累少见。该病发病率低,临床表现多样且缺乏特异性,不易早期诊断,误诊及漏诊后致死率高。支气管肺泡灌洗液的宏基因组学下一代测序有助于提高肺部感染为主的惠普尔病的诊断率。
版权归中华医学会所有。
未经授权,不得转载、摘编本刊文章,不得使用本刊的版式设计。
除非特别声明,本刊刊出的所有文章不代表中华医学会和本刊编委会的观点。
惠普尔病是一种罕见的慢性多系统感染性疾病,致病微生物惠普尔养障体属于放线菌纲、放线菌目、纤维素单胞菌科,革兰阳性,可引起慢性多器官感染。惠普尔病常累及消化系统、关节、心脏和(或)神经系统,肺部受累相对少见。常见的临床表现有腹泻、体质量减轻、腹痛、关节炎、低热、淋巴结肿大、贫血、神经系统症状和皮肤色素过度沉着等。兰州大学第二医院通过支气管肺泡灌洗液(bronch-oalveolar lavage fluid,BALF)的宏基因组学下一代测序(meta-genomics next generation sequencing,mNGS),诊断并成功治疗惠普尔养障体导致的肺部感染1例,结合患者既往史及全身多系统临床表现,诊断惠普尔病。给予针对性抗生素治疗后,患者体温正常,肺部感染吸收好转,临床症状改善,目前仍在继续治疗和随访中。
患者,男性,44岁,回族,医院行政人员。主因"头痛6 d,高热4 d"门诊以"颅内感染?"于2021年7月9日收住兰州大学第二医院神经内科。患者此次入院前6 d无明显诱因出现头痛,呈全头部搏动样疼痛,视觉模拟评分法6~7分,伴恶心、干呕,无意识丧失、四肢抽搐等,自服止痛药物后头痛可缓解约30 min,具体止痛药物名称不详。4 d前出现发热,院外最高体温39.1 ℃,伴畏寒、寒战,热退后大汗,热型为不规则热,咳嗽、咳少量白色黏痰,不易咳出,嗜睡,无胸痛、气短、呼吸困难等不适。自发病以来,意识清楚,嗜睡,食欲差,尿频,大便正常,体质量未见明显增减。
该患者久居本地,生活、卫生习惯良好,无高血压、糖尿病等慢性病史、家族遗传病史及传染病病史。既往1年因视力反复下降曾多次就诊省内外多家医院,诊断"葡萄膜炎"。其中,2020年8月因双眼视力下降收住兰州大学第二医院眼科,诊断为"双眼巩膜炎",接受甲泼尼龙片口服治疗4个月。2020年12月,在甲泼尼龙片逐渐减量至停药后3 d,因双眼视力突然下降收住兰州大学第二医院风湿免疫科,诊断"葡萄膜炎",给予甲泼尼龙片、环孢素、沙利度胺治疗6个月,期间视力状况相对稳定,近1年体质量增加约5 kg。入院前口服药物减量至甲泼尼龙片20 mg 1次/d,环孢素软胶囊100 mg 2次/d治疗,4 d前发热后自行停用。
入院查体:体温36.6 ℃,脉搏77次/min,呼吸20次/min,血压132/77 mmHg(1 mmHg=0.133 kPa),发育正常,营养中等,意识清楚,精神欠佳,自主体位,查体合作,问答切题。双侧瞳孔等大等圆,直径约3 mm,光反射可,未见眼震及复视,双眼眼睑无下垂,双侧额面纹对称存在,示齿居中,伸舌居中,悬雍垂居中。口唇无发绀,咽无充血,胸廓对称无畸形,双侧呼吸动度一致,触觉语颤无增减,叩诊双肺清音,听诊双肺呼吸音粗,右肺可闻及少量湿性啰音。高级皮层功能粗测正常,四肢肌力5级,双侧肌张力正常,颜面部及肢体痛温觉及深感觉正常,共济检查无异常,双侧腱反射存在。病理征阴性。颈软,无抵抗,脑膜刺激征(-)。
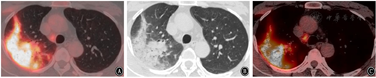
辅助检查。血常规:白细胞计数12.03×109/L,中性粒细胞比率89%。血生化:肝功能、肾功能、血脂、血糖未见异常,钠130.0 mmol/L,氯96.0 mmol/L。弥散性血管内凝血:纤维蛋白原9.45 g/L,D-二聚体1.34 mg/L,纤维蛋白原降解产物5.52 mg/L。C反应蛋白279.99 mg/L。ESR 70.0 mm/1 h。尿常规:尿蛋白(+),尿酮体(++)。腰椎穿刺送检脑脊液常规、生化、抗酸染色等结果未见异常。完善血培养、降钙素原、呼吸道九项病原体[包括嗜肺军团菌、肺炎支原体、Q热立克次体、肺炎衣原体、腺病毒、呼吸道合胞病毒、甲型流感病毒、乙型流感病毒和副流感病毒1、2和3型的主要病原体的IgM抗体]、血清1,3-β-D-葡聚糖检测和曲霉特异性抗原(半乳甘露聚糖)检测。行PET-CT提示如下。(1)右肺上叶大片状实性絮片影(图1),纵隔右下气管旁及右肺门多发稍大淋巴结,以上代谢增高,倾向考虑炎性,建议治疗随诊。(2)双眼未见异常密度及代谢,请结合临床;视野内骨及全身多处肌肉代谢弥散性增高,均考虑反应性改变;以上随诊。(3)脑部未见明显异常。(4)双肺尖散在局限性气肿,左肺尖小结节,未见异常代谢,多考虑良性增殖灶;余双肺散在索条。(5)脂肪肝:肝SⅡ及SⅤ段囊肿;肝SⅤ段钙化灶;双侧肾上腺局部结节状略增粗,未见异常代谢,多考虑良性,皮质增生或小腺瘤可能;升结肠弥散性代谢增高,考虑炎性或生理性摄取。(6)脊柱生理曲度变直。


入院后神经内科7月9日开始经验性予以亚胺培南西司他汀(1 g,静脉滴注,每8小时1次)抗感染治疗,同时予以甲泼尼龙琥珀酸钠80 mg静脉滴注抗炎、补液对症支持治疗。期间仍有头痛,以夜间为著,无恶心、呕吐,间断发热,体温最高39.5 ℃,无畏寒、寒战,咳嗽、咳少量白痰。2021年7月12日以"肺部感染"转到兰州大学第二医院呼吸内科。
由于该患者糖皮质激素及免疫抑制剂治疗的病史,转入后首先考虑肺结核可能性大,糖皮质激素减量为40 mg 1次/d,行结核菌素试验阴性。真菌(1,3)-β-D-葡聚糖检测G-Test 37.5 ng/L,曲霉菌半乳甘露糖检测GM-Test 0.1 μg/L。为进一步明确病因,2021年7月13日行电子支气管镜检查,气管镜下见双侧支气管管腔及黏膜正常。送检BALF,2021年7月14日BALF结核Gene-Xpert回报阴性,2021年7月17日BALF mNGS检测到惠普尔养障体,中丰度,序列数482。
因为mNGS检测到惠普尔养障体,怀疑惠普尔病的诊断。由于没有惠普尔病的诊疗经验和指南,查阅文献后再次追问患者既往病史。除了既往1年间诊断的葡萄膜炎,在这次入院5年前,患者身体状况良好。5年前开始无明显诱因出现腹泻,2~3次/d,无腹痛,无黏液脓血便等,未予重视及进一步行胃肠镜等检查。2020年12月在风湿免疫科住院期间胸部CT检查未见异常。在使用甲泼尼龙治疗前,患者体质量累计下降约5 kg。患者还有间断游走性多关节痛的症状约2年,尤其髋关节和骶髂关节疼痛明显。结合临床表现,该患者被诊断为惠普尔病。建议患者行经皮肺穿刺活组织检查进一步明确病理诊断,患者及家属拒绝。因为目前没有消化道症状,该患者拒绝接受胃肠镜检查及行小肠活组织检查送病理进一步确诊。
患者入院后在神经内科及呼吸内科静脉给予亚胺培南西司他丁(1 g,每8小时1次)治疗6 d后,体温正常,头痛症状缓解,精神状态及食欲改善。
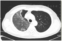
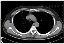
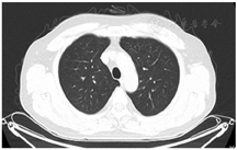
2021年7月15日复查胸部CT显示肺部感染吸收好转(图2、图3),遂停用糖皮质激素,抗生素降阶梯为头孢曲松(2 g,静脉滴注,1次/d)。BALF mNGS回报后检索惠普尔养障体感染有关文献的治疗方法亦首选头孢曲松,故继续予以头孢曲松治疗,头孢曲松治疗1周后患者病情平稳出院。院外继续长期口服甲氧苄啶磺胺甲唑(0.96 g,2次/d)治疗,停用糖皮质激素,3个月随访时患者自诉视力下降、慢性腹泻、多关节痛均得到缓解,生活质量提高。2022年3月复查胸部CT右肺上叶肺炎吸收(图4)。目前患者仍在接受口服甲氧苄啶磺胺甲唑(0.96 g,2次/d)的治疗,继续随访。






惠普尔病是一种罕见的慢性、累及多系统的感染性疾病,以临床症状的多样性和异质性为特征。20世纪90年代,科学家们将这种细菌的16S rRNA用PCR扩增,并将这种革兰阳性杆状的细菌命名为惠普尔养障体[1]。1997年,培养出惠普尔养障体[2]。目前的研究显示,人是惠普尔养障体的唯一宿主[3]。
惠普尔病常累及消化系统、关节、心脏和(或)神经系统,肺部受累相对少见。胃肠道的常见症状是体质量减轻(80%~90%)、腹泻(70%~85%)和腹痛(50%~90%)。其他表现包括关节痛和关节炎(70%~90%)、贫血(75%~90%)、低度间歇性发热(40%~60%)、皮肤色素沉着(40%~60%)、淋巴结肿大(40%~60%)等[4]。在经典惠普尔病中,30%~40%患者累及呼吸系统,可出现胸腔积液、肺浸润或纵隔淋巴结增大,呼吸道症状包括长期干咳、胸膜炎性胸痛和气短、呼吸困难[5]。惠普尔病可引起眼部视力下降、葡萄膜炎和视网膜炎[6,7]。眼部惠普尔病可以没有全身其他系统症状,仅以葡萄膜炎为主要表现。惠普尔病是一种渐进性发展的疾病,对于未经诊断和未及早治疗的感染个体死亡风险很高。
二十年前,惠普尔病的诊断主要依靠组织病理学检查,特点是肠道巨噬细胞内包涵体高碘酸-希夫(PAS)染色阳性[8]。1991年以后开始采用PCR技术诊断惠普尔病,目前该方法的使用越来越普遍[4]。近年来,随着mNGS的开展,越来越多的惠普尔病病例被发现并诊断[9]。目前,惠普尔养障体的基因组测序使惠普尔病的诊断变得更加容易,经验性治疗更加合理化,但惠普尔病诊断的金标准仍然是肠道活组织检查PAS阳性。
由于惠普尔病的发病率低,目前国内外尚没有统一的诊疗指南和专家共识。文献建议主要治疗原则是抗感染和营养支持,纠正水电解质平衡紊乱,其中抗生素治疗是基石。足量、足疗程的抗生素治疗可以使惠普尔病的临床症状迅速改善并降低复发的概率。基于惠普尔病多发的神经系统受累倾向,能够穿透血脑屏障的抗生素成为优选。其中一种推荐的治疗方案是静脉滴注头孢曲松,1次/d,2 g/次。初始阶段头孢曲松的治疗时间为2周,随后的维持阶段为甲氧苄啶160 mg联合磺胺甲恶唑800 mg,2次/d,疗程共12个月[10,11]。因此,在向患者和家属进行疾病宣教时应反复强调,惠普尔病必须坚持长期抗生素治疗,以防止疾病短期内复发。
在惠普尔病的治疗过程中,对于既往或正在接受免疫抑制治疗的患者,或患有免疫功能缺陷性疾病的患者,还需要警惕免疫重建炎症综合征(immune reconstitution inflammatory syndrome,IRIS),这是惠普尔养障体感染的一种严重的并发症[8,12]。IRIS的临床特点是发热、关节炎和胸膜炎。对于免疫抑制人群,如果不能早期诊断惠普尔病,或不能及时开始惠普尔养障体的针对性抗生素治疗,可能会导致IRIS的发生,严重时危及生命[13],这类患者IRIS的治疗首选糖皮质激素[8,12]。该患者既往曾使用糖皮质激素治疗系统性症状,有一定疗效,但此次发热使用IRIS解释依据不足。抗生素治疗有效,抗感染治疗过程中未出现临床症状反复和加重,且在停用糖皮质激素后病情仍得到有效控制。IRIS的诊断需充分考虑患者的临床表现、既往治疗过程,并需排除原发病等其他原因。
mNGS直接检测标本中的病原体核酸,可以检测分析细菌、真菌、病毒、支原体、衣原体、寄生虫等常见和少见病原体,避免了苛养菌等对培养条件需求高的缺点,解决了长期困扰临床的复杂病原体感染、少见或罕见病原体感染、混合病原体感染、新发病原体感染等病原学诊断困难的问题,缩短诊断周期,为早期启动精准抗感染治疗提供依据,同时避免长期经验性使用广谱、超广谱抗生素,一定程度上降低了细菌耐药率。在本例中,患者以发热、头痛的症状入院,并有服用糖皮质激素及免疫抑制剂治疗葡萄膜炎的病史,BALF mNGS检测到惠普尔养障体,结合临床其他检查及患者全身症状,结核分枝杆菌和真菌感染证据不足,推测此次感染的病原体最有可能是惠普尔养障体,但诊断IRIS依据尚不充分。需要强调的是,诊断惠普尔病不能仅仅通过BALF mNGS的结果,还需要结合患者的临床表现、既往治疗过程、灌洗液采集部位及方法等。后续针对惠普尔养障体的治疗使感染控制,症状好转也支持了诊断。在随访时,患者及家属表示,患者的多系统症状改善后,精神状态明显好转,生活质量提高,坚定了继续配合抗感染治疗的决心。遗憾的是,本例患者因为经皮肺穿刺活检和结肠镜检查的有创性及不舒适性,未行经皮肺穿刺活检和结肠镜检查,没能经过病理活检进一步证实。
目前的文献报道多见于惠普尔病累及消化系统和风湿系统的病例,肺部受累病例少见。惠普尔病累及呼吸系统时,呼吸道症状包括咳嗽(55%)、呼吸困难(50%)、胸痛(25%)、咳痰(15%)、咯血(5%),最常见的胸部影像学表现是结节(50%),可以是孤立的或多发的、磨玻璃状或实性的,包括微小结节或直径几厘米的大结节,其次是间质性改变(25%)和片状浸润(25%),20%有肺门或纵隔淋巴结肿大[14]。本例患者有咳嗽、咳痰的症状,胸部影像学表现为片状浸润及肺门/纵隔淋巴结增大,与上述报道相符。不同的是,该患者2020年12月曾行胸部CT未见异常,腹痛、体质量减轻、关节痛和葡萄膜炎等多系统表现与此次肺部感染是序贯出现的,前后持续时间长达五年余,还曾因此接受免疫抑制治疗,治疗效果不甚理想,而上述肺外表现在经抗生素治疗后有明显缓解,后续还需继续长期随访观察多系统表现。
综上所述,惠普尔病是一种诊断困难的疾病。本文旨在提高医师包括患者及家属对这种少见疾病的认知,在临床日常工作中,尤其当遇到免疫功能缺陷的患者,要考虑到诸多常见的症状背后有没有隐藏罕见致病菌所导致的全身多系统性疾病,积极寻找病原学及病理诊断依据,尽量避免误诊和漏诊。同时,该病例也提示使用mNGS的方法查找致病微生物,寻找更广泛的气道感染病原体,未来在临床上可能比细菌培养更有优势,特别当遇到一些没有足够的病原体检测条件的患者时,mNGS可以早期筛选目标病原体并尽早提醒临床医师对不明原因肺炎进行进一步的临床评估。对于肺部感染为主的惠普尔病,BALF的mNGS在提高诊断率方面发挥着重要作用。
所有作者声明无利益冲突





















