
提高对扁平肥厚型脑膜瘤(MEP)的认识。
回顾性分析河北医科大学附属沧州市中心医院2018年5月收治的1例颅内外沟通性MEP患者的临床病理及影像学资料,并进行文献复习。
患者为27岁女性,以左耳中耳炎症状就诊,影像学检查诊断为沟通性MEP(左),于局部麻醉下行颌面颈部深部肿物探查术。术后病理示砂砾体型脑膜瘤,世界卫生组织分级Ⅰ级。随访4年,肿瘤无进展。
MEP是一种罕见的脑膜瘤类型,术前影像学特征具有特异性,病理学检查是诊断的金标准。应依据肿瘤的病理类型、生长方式及患者的临床症状进行个体化治疗。
版权归中华医学会所有。
未经授权,不得转载、摘编本刊文章,不得使用本刊的版式设计。
除非特别声明,本刊刊出的所有文章不代表中华医学会和本刊编委会的观点。
扁平肥厚型脑膜瘤(MEP)是一种少见的脑膜瘤类型,好发于女性,MEP发生于颞骨者较为罕见,目前尚鲜见报道颅内外沟通的发生于颞骨的MEP,现对我们收治的1例沟通性MEP进行报道,并进行文献复习。
患者,女性,27岁,因左耳听力下降10余天来诊。查体示:面部外形尚对称,左侧腮腺可触及一约1.0 cm×1.0 cm×1.0 cm大小肿物,皮肤颜色正常,质地中等,边界清晰,活动度尚可,左侧颌下可触及一肿大淋巴结,质地中等,有触压痛,活动度尚可,无粘连,张口度及张口型正常,伸舌居中,余未见异常。以左侧腮腺肿物收治入院。
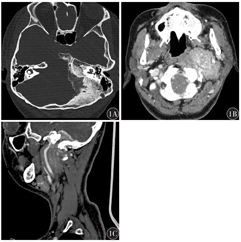
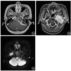
影像学检查:CT检查示左侧后颅窝骨质密度增高,内板呈毛刷状改变,累及左侧颞骨乳突部及岩部、枕骨大孔及斜坡。左侧后颅窝底、邻近颈静脉孔区及左侧咽旁间隙颈动脉鞘可见明显强化肿块影,其内可见钙化,肿物自后颅窝经颈静脉孔向颈部蔓延,左侧颈内动脉颈段被包绕其中并向外前方移位,邻近颈内静脉显示不清,左侧颈静脉孔增宽,左侧内听道变窄,左侧鼻咽、口咽腔变窄,左侧茎突受压推挤向前外侧移位。左侧鼓膜稍增厚,鼓室内软组织密度影(图1)。增强磁共振成像(MRI)示左侧咽旁间隙及颈动脉间隙可见团块状明显强化影,信号均匀,边界尚清,大小约6.0 cm×5.2 cm×3.6 cm,病变包绕左侧颈内动脉颅外段、颈内静脉,并沿左侧颈静脉孔、左侧舌下神经管与颅内左侧桥小脑角池区同类病变相延续,相应颅底孔道略扩大并充满强化影,左侧面听神经被包绕,邻近硬膜轻度增厚强化并延续至椎管内。病变周围左侧颞骨、枕骨增生硬化,局部见膨胀性骨质压迫吸收,左侧茎突受压移位。病变周围左侧腮腺及左侧颈后肌群前外侧缘受压改变,左侧头长肌、咽黏膜间隙受压前移,咽鼓管显示不清,脑实质未见明显异常强化(图2)。综合影像学结果后诊断为沟通性MEP。




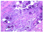
手术及病理所见:于局部麻醉下行颌面颈部深部肿物探查术。术中可见肿物位于腮腺后下极及胸锁乳突肌深面,肿物无包膜,质韧,易出血,切取部分组织送病理检查。术后给予患者流食饮食,增强营养,抗感染吸氧对症治疗。术后15 d,患者病情稳定,办理出院。病理组织学示:肿瘤细胞大小较一致,细胞核为椭圆形,染色质较细致,细胞分界不清,呈束状排列,间隔胶原纤维增生,富含钙化的砂砾体结构,核分裂象罕见,免疫组织化学:S100阳性,EMA弱阳性,CK阴性,Ki-67阳性指数<4%。诊断为砂砾体型脑膜瘤,世界卫生组织(WHO)分级Ⅰ级(图3)。随访4年,患者左耳中耳炎症状接受对症治疗,症状较前减轻,MEP无进展,未采取特殊治疗。


脑膜瘤是最常见的颅内肿瘤,占原发性中枢神经系统肿瘤的1/3以上,大多为良性、生长缓慢的肿瘤,2016版WHO指南根据组织学标准将脑膜瘤分为3个级别的15个亚型[1,2]。起源于颅内脑膜并且沿正常的解剖间隙、解剖孔道向颅外蔓延的脑膜瘤,称为颅内外沟通性脑膜瘤[3],脑膜瘤又分球形及扁平肥厚型两种,与球形脑膜瘤不同的是,MEP多不具明确包膜,其为一种生长方式特殊的脑膜瘤,颅内厚度常不超过1 cm,广泛分布于硬膜上,以颅底部多见[4],沿硬脑膜匍匐样生长,不形成球形肿块。MEP发生于颞骨者极其罕见[5,6],目前尚鲜见原发于颞骨并向颅外沟通的MEP的病例报道。
脑膜瘤通常采取手术治疗或者联合放疗,在保留神经功能的基础上将肿瘤完整切除是手术首要目标。对于颅底沟通性脑膜瘤患者,由于肿瘤通过颅底解剖孔道或间隙向颅外蔓延生长,累及相邻的颅神经及血管,常并发邻近骨质不同程度的破坏及增生硬化,手术往往需要多学科共同参与,主要依据肿瘤位置、大小及侵犯结构来选择不同的手术方式,残留病灶术后辅以放射治疗。研究认为影响患者预后的主要因素有术后肿瘤残留、肿瘤附着于重要的颅内结构、Ki-67阳性指数高、肿瘤细胞多形性和非整倍体及患者年龄较大等[7]。本病例临床症状轻微,仅表现为左耳中耳炎症状,因病变原发于左侧颞骨,沿颈动脉鞘经颈静脉孔向颅外蔓延,包绕颈动静脉,肿瘤临近多个重要部位,手术难度大,风险高,经多学科会诊后,认为不宜进行手术治疗,且该患者行肿物探查术后病理诊断为WHOⅠ型砂砾体型脑膜瘤,为良性肿瘤,综合考虑建议对症治疗,定期门诊随访复查。随访4年,患者左耳中耳炎对症治疗后症状减轻,肿瘤无进展。
颅内外沟通性脑膜瘤通过影像学检查可以清楚地显示病变位置、大小、范围以及肿瘤和邻近血管、神经、骨质等情况,为治疗方案的选择提供参考依据。沟通性脑膜瘤根据侵袭途径可分为颅眶沟通、颅鼻沟通及颅颈沟通,常为"哑铃状"生长,部分患者占位效应明显,可引起邻近孔道的增大、变形。影像学检查时,CT示肿瘤常呈高密度或等高密度,可伴钙化;MRI示肿瘤T1WI呈等信号或稍低信号,T2WI呈等信号或稍高信号,肿瘤周围可伴水肿,增强后肿物多呈均匀强化。杨原源等[8]报道1例沟通性球形脑膜瘤,不同于本病例的是其为大脑镰旁结节状强化肿物,颅内骨质未见明显改变,但其颅外影像学表现与本病例大致相同,为肿物经颈静脉孔向颅外沟通,咽旁明显强化软组织肿块影,边界清晰,伴有钙化,肿物包绕颈内动、静脉,邻近组织受压移位。本病例另一特殊点在于其为颞骨MEP,目前少量文献报道颞骨不同类型的脑膜瘤首发临床表现均为耳部症状[5,7,9,10,11],尚鲜见报道颞骨MEP向颅外沟通的病例。陈树斌等[5]报道的4例颞骨MEP颅内CT示颞骨内板呈不规整、毛刷样改变,肿块周围软组织钙化影;MRI示以脑膜为宽基底的扁平状软组织肿物,增强后T1WI明显强化,相邻脑膜可见"脑膜尾征"。本病例病变累及颞骨的临床症状及颅内影像学表现与其相符,但其所报道4例患者病变均发生在颅内,而本病例同样为颞骨MEP,特殊之处在于其为颅内外沟通性脑膜瘤,病变沿颈动脉鞘经颈静脉孔向颅外蔓延。综上所述,沟通性MEP与沟通性球形脑膜瘤患者颅外影像学表现基本相似,颅内影像学表现不同,具有各自的颅内影像学特点。
此外,MEP还需注意与经后颅窝孔道的其他肿瘤相鉴别。(1)神经鞘瘤:CT平扫肿块呈等低混杂密度,无钙化;MRI示T1WI上呈等或低信号,T2WI上呈不均等或高信号;增强扫描无硬膜"尾征";脑膜瘤钙化较神经鞘瘤常见,增强扫描可见硬膜"尾征"。(2)颅底脊索瘤:膨胀性的软组织肿块,出血及囊变多见,信号混杂,骨质破坏广泛;脑膜瘤多呈均匀密度或信号,骨质增生多见。(3)颈静脉球瘤:CT平扫示肿块边界不清,邻近骨质可呈虫蚀状破坏;T1WI可见"椒盐征";数字减影血管造影(DSA)示肿瘤快速染色伴早期静脉引流[12];脑膜瘤边界清楚,邻近骨质增生多见,骨质破坏少见,DSA表现为"日光"样。
所有作者均声明不存在利益冲突





















