
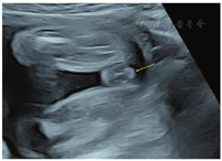
孕妇,21岁,孕4产0,孕27周。因外院羊水染色体核型分析提示47,XXX来我院行胎儿系统超声筛查。超声检查显示:胎儿生物学测量相当于孕23周+,胎儿面中部凹陷,鼻部短小,鼻梁低平,尾椎多个椎体融合、回声增强,左侧肱骨两端干骺端及双侧股骨近端干骺端可测及数个点状强回声斑(图1);双手掌及双足板短小,以指(趾)端明显,双手掌及双足板多个骨性结构短小、部分骨性结构未能显示(图2);胎儿阴蒂肥大(图3)。超声诊断:①宫内妊娠,中孕单活胎,相当于孕23周+;②胎儿面中部畸形、尾椎畸形、双侧股骨近端及肱骨两端点状强回声斑、双手及双足发育不良——Binder综合征可能;③胎儿外生殖器异常——阴蒂肥大;④胎儿宫内生长迟缓(intrauterine growth restriction,IUGR)。孕妇无华法林服用史等特殊病史,无酗酒史,维生素K依赖性凝血因子、凝血酶原时间正常。
版权归中华医学会所有。
未经授权,不得转载、摘编本刊文章,不得使用本刊的版式设计。
除非特别声明,本刊刊出的所有文章不代表中华医学会和本刊编委会的观点。
孕妇,21岁,孕4产0,孕27周。因外院羊水染色体核型分析提示47,XXX来我院行胎儿系统超声筛查。超声检查显示:胎儿生物学测量相当于孕23周+,胎儿面中部凹陷,鼻部短小,鼻梁低平,尾椎多个椎体融合、回声增强,左侧肱骨两端干骺端及双侧股骨近端干骺端可测及数个点状强回声斑(图1);双手掌及双足板短小,以指(趾)端明显,双手掌及双足板多个骨性结构短小、部分骨性结构未能显示(图2);胎儿阴蒂肥大(图3)。超声诊断:①宫内妊娠,中孕单活胎,相当于孕23周+;②胎儿面中部畸形、尾椎畸形、双侧股骨近端及肱骨两端点状强回声斑、双手及双足发育不良——Binder综合征可能;③胎儿外生殖器异常——阴蒂肥大;④胎儿宫内生长迟缓(intrauterine growth restriction,IUGR)。孕妇无华法林服用史等特殊病史,无酗酒史,维生素K依赖性凝血因子、凝血酶原时间正常。






夫妻双方要求终止妊娠,引产后胎儿标本示:面中部扁平,鼻梁低平,鼻翼周围平坦,鼻孔细小呈新月形,额鼻角明显增大,鼻唇角锐利,双手及双足远端指(趾)均如鼓槌状短小,阴蒂明显肥大(图4)。因超声考虑胎儿Binder综合征及阴蒂肥大,采集夫妻双方外周血以及胎儿标本分别行全外显子组测序及CYP21A2基因检测,结果显示:①全外显子组测序未发现致病性或疑似致病性变异;②未发现CYP21A2基因外显子拷贝数异常与其相关突变。


本研究经广西医科大学第一附属医院医学伦理委员会伦理学审查同意(批准号:2021(KY-E-313),受检孕妇签署知情同意书。
Binder综合征又称上颌-鼻发育不良,是一种罕见的面中部先天性发育异常性疾病,面中部异常主要表现为鼻部短小,鼻背低平,鼻尖下垂,新月形鼻孔、眼距增宽、上颌骨发育不良并错颌畸形等[1]。产前超声表现:主要是在胎儿颜面正中矢状切面显示面中部扁平,包括鼻部短小、额部扁平、额鼻角异常增大、上颌骨平坦、下颌前突等;脊柱畸形是Binder综合征除颜面畸形外最常合并的畸形,包括椎体融合、椎体骨化不良等;长骨干骺端点状强回声斑也是Binder综合征常见的超声表现[2]。Binder综合征胎儿的染色体核型及基因检测多数未见异常,并且目前尚无明确致病基因用于Binder综合征的产前诊断[3]。正常胎儿约32周股骨远端出现次级骨化中心,约37周肱骨近端出现次级骨化中心。本病例为孕27周,具有面中部畸形、脊柱畸形、长骨干骺端点状强回声斑等典型胎儿Binder综合征超声表现,长骨干骺端点状强回声斑提示提前出现次级骨化中心、软骨发育不良可能。引产后标本面中部扁平、鼻梁及鼻翼周围平坦等表现与Binder综合征相符,全外显子组测序未见异常,最终确诊为Binder综合征。本例孕妇无华法林服用史、酗酒史等特殊病史,维生素K依赖性凝血因子、凝血酶原时间等未见明显异常,从而排除了该例Binder综合征是由维生素K缺乏引起。胎儿面中部扁平与50多种综合征相关,如点状软骨发育不良(punctate chondrodysplasia,CDP)、唐氏综合征、Apert综合征等,这些综合征中大多数均存在特征性改变,如Apert综合征特征性超声表现还包括尖头畸形、突眼、双侧对称性并指(趾)畸形等[4]。因此,当超声检查发现上述超声表现怀疑Binder综合征时,应与之相鉴别,尤其需要注意与CDP相鉴别。CDP是由染色体异常或基因突变引起的先天性酶代谢异常性疾病,产前超声表现除了与Binder综合征相似的面中部畸形,还包括脊柱侧弯、四肢不对称缩短等,行过氧化物酶等实验室检查及基因检测可与Binder综合征相鉴别[5]。本例患儿全外显子组测序未见异常,故排除CDP。对于染色体核型正常且孤立性面中部畸形的Binder综合征可通过出生后手术矫正,多数预后良好,合并其他系统复杂畸或合并染色体核型异常的的Binder综合征预后较差。
本病例产前超声提示胎儿阴蒂肥大,引产后证实。胎儿阴蒂肥大主要考虑以下原因:①妊娠期母体雄激素水平增高;②胎儿先天性肾上腺皮质增生症;③胎儿卵巢肿瘤;④胎儿性染色体数目异常;⑤特发性(原因不明)[6]。孕妇无多囊卵巢综合征及卵巢肿瘤病史,雄激素水平正常,排除胎儿阴蒂肥大由妊娠期母体高雄激素引起。高通量测序行CYP21A2基因检测提示阴性,排除了胎儿先天性肾上腺皮质增生症。超声扫查胎儿盆腹腔未见明显肿块声像,胎儿阴蒂肥大不考虑由胎儿卵巢肿瘤引起。本病例羊水染色体核型为47,XXX,为超雌综合征,综合考虑胎儿阴蒂肥大可能是由胎儿性染色数目异常引起,胎儿性染色数目异常、基因表达异常导致卵巢发育不全、下丘脑-垂体-卵巢轴功能异常,从而引起雄激素产生过量。因此,对于性染色体异常的胎儿需注意仔细扫查外生殖器,观察有无外生殖器畸形,以减少误诊或漏诊。Binder综合征染色体核型多为正常,而本例Binder综合征合并性染色数目异常,至于Binder综合征的发病机制与性染色体异常有无关系,目前鲜见相关文献报道。
所有作者均声明不存在利益冲突





















