
微卫星高度不稳定型(MSI-H)胃癌临床发病率较低,缺乏系统的诊疗规范,该类型胃癌具有其独特的临床病理学特点,且对免疫检测点抑制剂具有较好的治疗反应,现报道1例局部晚期MSI-H胃癌患者并文献复习,供临床参考。
版权归中华医学会所有。
未经授权,不得转载、摘编本刊文章,不得使用本刊的版式设计。
除非特别声明,本刊刊出的所有文章不代表中华医学会和本刊编委会的观点。
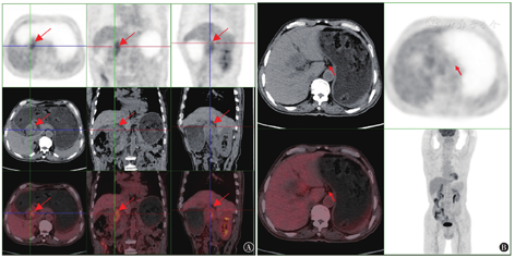
患者男,68岁,因上腹部不适于2020年8月24日就诊联勤保障部队第九八三医院,行电子胃镜检查:胃窦小弯可见巨大菜花样肿物,表面污秽。镜下诊断:胃癌;重度十二指肠炎。病理诊断:(胃窦)低分化腺癌伴印戒细胞癌成分。2020年8月26日于天津市肿瘤医院行胸、上腹平扫+增强CT(见图1A):胃体下部及胃窦胃壁不规则增厚,考虑胃癌,伴肝胃韧带区及胃窦周围多发淋巴结转移(较大者短径约1 cm)。肿瘤标志物检测结果(天津市肿瘤医院),CA242:208.0 U/ml,CA199:508.7 U/ml,CEA:3.73 ng/ml。2020年9月7日于天津市肿瘤医院会诊病理结果:(胃窦活检)低分化癌,首先考虑低分化腺癌。免疫组织化学:HER2(++),MLH1(+),PMS2(-),MSH2(+),MSH6(+),提示肿瘤可能为微卫星高度不稳定型(microsatellite instability-high,MSI-H)表型。原位杂交:EBER(-)。既往史:糖尿病病史6年余,应用精蛋白生物合成人胰岛素(预混30R)控制血糖,血糖控制尚可,存在糖尿病周围神经、血管、视网病变;冠心病病史7年余,长期口服硫酸氢氯吡格雷片(75 mg口服,1次/d)、单硝酸异山梨酯缓释片(40 mg口服,1次/d),病情稳定。家族史:父亲死于食管癌,哥哥死于肝癌,儿子死于胃癌。患者诊断明确,天津市肿瘤医院建议全身化疗后行手术治疗,家属商议后拒绝,自行口服中药治疗1月余(具体不详),效果不佳。


注:MSI-H为微卫星高度不稳定型
2020年10月13日因活动后胸闷气短就诊我院心内科,完善血常规提示血红蛋白76 g/L(为小细胞低色素性贫血)。胸部CT:双肺炎性病变伴间质性病变。颅脑MRI、放射性核素骨扫描、浅表淋巴结超声检查未见肿瘤转移性病变。2020年10月18日行程序性死亡蛋白配体-1(programmed death-ligand 1,PD-L1)检测:肿瘤细胞阳性比例分数(tumor proportion score,TPS)2%~3%,综合阳性评分(combined positive score,CPS)4。2020年10月22日基因检测提示:人体表皮生长因子受体-2(human epidermal growth factor receptor-2,HER-2)扩增阴性;高肿瘤突变负荷(tumor mutation burden-high,TMB-H);MSI-H。期间规律复查血红蛋白,血红蛋白进行性下降,2020年10月29日血红蛋白59 g/L。为进一步诊治转入肿瘤内科,查体:美国东部肿瘤协作组(ECOG)评分3~4分,神志清,精神差,重度贫血貌,卧床状态,浅表淋巴结未触及肿大,双肺呼吸音清晰,未闻及干湿性啰音;心律齐,未闻及病理性杂音;腹软,剑突下轻压痛,无反跳痛及肌紧张,肝脾未触及,腹部未触及包块,移动性浊音阴性,双下肢轻度凹陷性水肿。给予输注红细胞改善贫血及一般情况,病情好转后自2020年11月5日起给予替雷利珠单抗(200 mg/次,静脉滴注,1次/d,第1天,21 d为1周期,1年后改为每个月1周期)治疗。5个周期后评估疗效为部分缓解(partial response,PR)(见图1B),胃镜:胃窦溃疡并幽门梗阻。胃窦活检病理结果:黏膜慢性炎伴急性炎,纤维肉芽组织增生,溃疡形成,建议治疗后复查。治疗7、14、16个周期后评估疗效为维持PR。2021年11月15日于我院行PET-CT(见图2):胃腺癌治疗后,胃窦处胃壁明显增厚(胃窦胃壁最厚处27 mm),局部葡萄糖代谢增高(SUVmax3.9),考虑治疗后肿瘤组织仍有活性。自替雷利珠单抗治疗第1周期后患者血红蛋白均维持在90 g/L以上,肿瘤标志物进行性下降并维持在正常水平,治疗期间暂未发现药物相关不良反应,患者依从性良好。末次随访为2022年6月4日,患者精神、进食、睡眠尚可,大小便正常,无不适症状。


注:MSI-H为微卫星高度不稳定型
局部晚期和转移性胃癌的治疗方法有限,化疗联合靶向治疗使总生存率略有改善,但预后仍然很差,其中位总生存期(overall survival,OS)仅为10~12个月[1,2]。MSI-H胃癌作为胃癌基因组分型的4大亚型之一,具有其独特的临床病理学特点。该型胃癌多见于老年、女性,易发生在远端胃,病理学特征为早期、印戒细胞型、Lauren分型为肠型,一般肿瘤较大、黏膜下浸润或浸润较浅、脉栓阳性、淋巴血管侵犯、腹膜受侵、无神经浸润、无或少见淋巴结转移,具有复发率较低、预后良好、生存率高的特点[3,4,5,6,7,8]。免疫检查点抑制剂已被用于治疗MSI-H或错配修复缺陷(deficient mismatch repair,dMMR)晚期胃癌[2]。美国食品和药物管理局(Food and Drug Administration,FDA)批准帕博利珠单抗用于患有MSI-H或dMMR的儿童和成人实体瘤患者,且MSI-H已成为胃癌免疫治疗的关键预测生物标志物之一[2]。通常认为微卫星不稳定(microsatellite instability,MSI)源于错配修复(mismatch repair,MMR)机制的损伤,并与肿瘤发生有关,而dMMR起源于Lynch综合征中常见的MMR基因的种系突变,但大多数散发性MSI是由MMR基因的体细胞突变失活或表观遗传沉默引起[2]。MSI-H胃癌能从免疫检查点抑制剂中受益的原因可能是:MSI-H胃癌体细胞突变频率增加,肿瘤抗原扩增、免疫原性增强,这样可能会吸引大量肿瘤浸润淋巴细胞(tumor infiltrating lymphocyte,TIL)而表现出活跃的免疫微环境,加之免疫检查点分子普遍表达,因此该型胃癌更易从免疫治疗中获益[1,9,10]。此外遗传性MSI型胃癌比散发性MSI型胃癌的肿瘤微环境更有利于抗肿瘤免疫反应,可能因为前者的肿瘤微环境有助于TREX1基因发生突变,而该基因突变能够增强T淋巴细胞对肿瘤细胞的杀伤作用[3,11]。基于此,进展期MSI-H胃癌适合免疫治疗或免疫治疗联合化疗,甚至有研究提到辅助免疫疗法可能是比常规化疗更好的策略[12]。在临床上,MSI-H胃癌并不常见,目前尚缺乏系统的诊疗规范和指南。
替雷利珠单抗于2019年12月26日由国家药品监督管理局批准上市,该药是针对程序性死亡蛋白-1(programmed death-1,PD-1)的人源化IgG4单克隆抗体,其适用于既往治疗后出现疾病进展或无满意替代方案的晚期MSI-H实体瘤患者。该药在MSI-H胃癌一线治疗中尚无相关临床数据及研究,一项中国人群晚期实体瘤的开放标签、非对照性Ⅰ/Ⅱ期研究初步证实替雷利珠单抗对胃癌的抗肿瘤活性,且耐受性良好,其中包括16例MSI-H/dMMR实体瘤患者,这部分人群的客观缓解率(objective response rate,ORR)为19%(3/16)[13]。本例患者为MSI-H胃癌,发病特点包括老年男性、病变位置在胃窦、伴有印戒细胞癌成分、肿瘤较大,与上述研究中提及的临床病理特征相符。该患者胃癌类型属于MSI-H,且为TMB-H,按照2020年中国临床肿瘤学会胃癌诊疗规范可以参加临床试验或观察,但患者因为肿瘤引起严重贫血,严重影响患者的生命质量,甚至可能危及患者的生命,且患者ECOG评分较差,不符合临床试验入组条件,更不适合细胞毒药物化疗,如果选择观察等待,患者很可能因为重度贫血出现死亡或其他严重并发症,综合上述MSI-H胃癌的临床特点,考虑患者病情、经济条件、治疗意愿及药物的可及性,充分告知病情并经其同意,给予替雷利珠单抗单药治疗,至末次随访获得超过1年的无进展生存期(progression-free survival,PFS),且PFS时间仍未达到,患者体力状态评分及生命质量明显改善,该患者已从免疫检查点抑制剂的治疗中获益,且未发生药物相关不良反应。另外该患者有家族史,提示这部分人群必要时需行MMR或MSI检测。结合患者疗效,可试行根治性手术切除,但与患者及家属多次沟通后拒绝行手术治疗。由此可见,针对不可切除局部晚期或手术创伤较大、术后并发症可能影响患者生命质量的MSI-H患者,可以尝试免疫检查点抑制剂作为一线治疗或新辅助转化治疗,目前已有转化治疗成功的案例报道[14],但仅是个体案例的治疗经验,将来需要进一步开展随机双盲多中心临床试验来取得循证医学证据的支持。
总之,MSI-H胃癌临床上较少见,治疗尚缺乏可靠的循证医学证据支持,但是其恶性程度较低,预后较好,对免疫检查点抑制剂具有较好的治疗反应。替雷利珠单抗对PD-1具有高亲和力和特异性,具有较好的抗肿瘤活性,有望给MSI-H胃癌患者带来生命质量的改善和生存获益。
所有作者均声明不存在利益冲突





















