
4例男性患儿均表现为缺铁性贫血,其中2例伴有腹痛。胃镜组织活检病理诊断均符合胶原性胃炎表现,2例累及十二指肠。4例患儿均口服铁剂补铁,2例加用泼尼松口服治疗。1例患儿失访,另3例贫血症状均有改善,其中使用激素治疗的患儿胶原沉积减轻。
版权归中华医学会所有。
未经授权,不得转载、摘编本刊文章,不得使用本刊的版式设计。
除非特别声明,本刊刊出的所有文章不代表中华医学会和本刊编委会的观点。
例1 男,9岁5月龄,因“发现面色苍白半年余”于2017年1月入浙江大学医学院附属儿童医院。半年前患儿无明显诱因出现面色苍白。患儿有6年余哮喘史,口服孟鲁司特钠咀嚼片。家族史及出生史无异常。
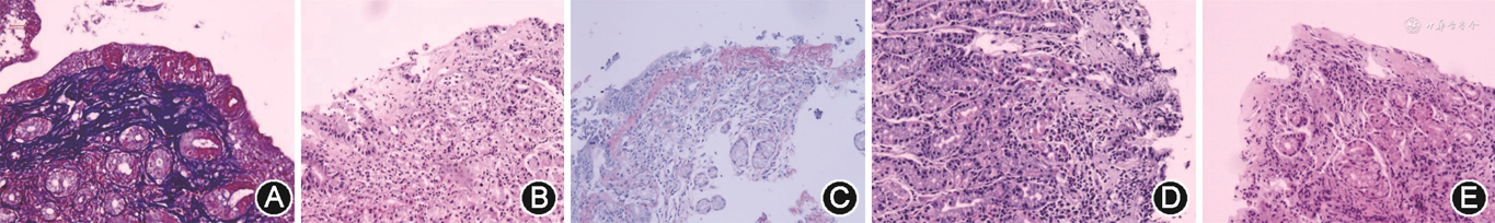
入院查体:神志清,面色苍白,心、肺、腹部及神经系统查体无异常。辅助检查:血常规示血红蛋白降低(65 g/L)。铁代谢示血清铁降低(3.9 μmol/L),铁蛋白降低(5.0 μg/L),不饱和铁结合力升高(79.9 μmol/L),总铁结合力升高(83.8 μmol/L),转铁蛋白饱和度降低(5%)。血清维生素B12、叶酸、超敏C反应蛋白、抗核抗体及抗中性粒细胞胞质抗体均未见异常。骨髓穿刺示缺铁性贫血。胃镜示胃体黏膜颗粒状隆起,胃底、胃窦黏膜粗糙,十二指肠球部及降部绒毛扁平,黏膜粗糙。快速尿素酶试验(rapid urease test,RUT)阴性。结肠镜无殊。组织病理学示胃体及胃底黏膜中度慢性炎,表面上皮损伤、脱落,上皮下局灶、斑片状嗜酸性胶原沉积,最厚处134 μm及167 μm。十二指肠球部及降部绒毛萎缩,黏膜下见斑片状胶原沉积,最厚处161 μm及56 μm。球部嗜酸粒细胞计数约65个/高倍镜视野。胃窦、回肠末端及结直肠黏膜无异常。Masson 三色及天狼猩红染色见不规则胶原沉积(图1A);美兰、刚果红染色阴性。诊断为胶原性胃炎(collagenous gastritis,CG)并累及十二指肠。


治疗及随访:予蛋白琥珀酸铁口服溶液、孟鲁司特钠、奥美拉唑等对症治疗。随访30个月,复查血常规示血红蛋白波动在102~140 g/L,11岁11月龄组织病理学示胃部、十二指肠黏膜炎症程度及胶原沉积均加重,最厚处68~230 μm。
例2 男,6岁4月龄,因“发现血红蛋白下降4个月余,间断性腹痛1个月余”于2018年3月入浙江大学医学院附属儿童医院。4个月余前因“感冒”在当地医院查血常规提示血红蛋白偏低,外院多次复查血常规提示血红蛋白波动在78~89 g/L,伴皮肤口唇苍白,1个月余前出现腹痛,以剑突下为著,呈阵发性,不剧能忍,无腹泻。当地予“中药”调理,腹痛无好转。患儿2岁时行“腹股沟疝”修补术,家族史及出生史无异常。
入院查体:神志清,皮肤口唇苍白。腹软,剑突下有压痛,无反跳痛。辅助检查:血常规示血红蛋白降低(84 g/L),网织红细胞计数升高(0.076)。骨髓穿刺示缺铁性贫血。铁代谢示血清铁降低(2.8 μmol/L),铁蛋白降低(3.6 μg/L),不饱和铁结合力升高(65.6 μmol/L),转铁蛋白饱和度降低(4%)。粪潜血阳性。叶酸、维生素B12、超敏C反应蛋白、葡萄糖6-磷酸脱氢酶活性、胃泌素、抗中性粒细胞胞质抗体、抗核抗体、免疫球蛋白、补体、抗壁细胞及抗细胞因子抗体检测均无殊。胃镜示胃底、胃体黏膜粗糙伴萎缩、水肿和红斑,部分疣状隆起,胃窦黏膜粗糙,十二指肠黏膜水肿。RUT阴性。结肠镜无殊。组织病理学示胃体黏膜中度慢性炎,上皮损伤脱落,上皮下见斑片状胶原沉积,最厚处154 μm(图1B)。胃体嗜酸粒细胞计数约58个/高倍镜视野。胃窦、十二指肠及结直肠黏膜无异常。Masson 三色及天狼猩红染色见不规则胶原沉积(图1C);美兰、刚果红染色阴性。诊断为CG。
治疗及随访:予口服蛋白琥珀酸铁补铁,奥美拉唑抑酸护胃,醋酸泼尼松片30 mg/d口服等对症治疗。患儿住院14 d,出院后失访。
例3 男,13岁5月龄,因“乏力、面色苍白半年余,加重2 d伴腹痛半天”于2019年3月入浙江大学医学院附属儿童医院。患儿半年前无明显诱因出现乏力症状,活动后明显,伴面色苍白。2 d前爬山时自觉乏力明显,伴面色苍白。半天前出现下腹痛,无腹泻。1年前曾有腹痛腹泻病史,未诊治。家族史及出生史无异常。外院查血常规示:血红蛋白降低(78 g/L)。粪潜血阳性。
入院查体:神志清,面色苍白,下腹轻压痛,无反跳痛。辅助检查:铁代谢示血清铁降低(3.3 μmol/L),铁蛋白降低(3.0 μg/L),不饱和铁结合力升高(80.3 μmol/L),总铁结合力升高(83.6 μmol/L),转铁蛋白饱和度降低(4%)。钙卫蛋白升高(361 μg/g)。超敏C反应蛋白、叶酸、维生素B12、抗核抗体、抗中性粒细胞胞质抗体、免疫球蛋白及补体均无殊。胃镜示胃体黏膜弥漫性结节样隆起(图2),胃窦及十二指肠黏膜无殊。RUT阴性。胶囊内镜及结肠镜无殊。组织病理学示胃体黏膜呈中度慢性炎,部分上皮脱落,隐窝上皮内淋巴细胞增多(>25个/100个表面上皮),淋巴细胞无异型。上皮下见斑片状胶原沉积(图1D),最厚处68 μm。胃体嗜酸粒细胞计数约18个/高倍镜视野。胃窦、小肠及结直肠黏膜无异常。Masson三色及天狼猩红染色见不规则胶原沉积;美兰、刚果红染色阴性。诊断为CG。


治疗及随访:予葡萄糖亚铁糖浆补铁,奥美拉唑抑酸护胃及补液等对症治疗;随访13个月,复查血常规示血红蛋白波动在88~130 g/L,14岁6月龄组织病理学示胃体黏膜炎症程度及胶原沉积无明显变化。
例4 男,13岁3月龄,因“发现面色苍白、贫血14 d”于2021年1月入浙江大学医学院附属儿童医院。14 d前患儿发现面色苍白,无明显腹痛腹泻,偶有黑便,无鲜血便。既往史、家族史及出生史无异常。外院查血常规血红蛋白降低(58 g/L)。铁蛋白降低(3.95 μg/L)。粪潜血阳性。
入院查体:神志清,睑结膜、口唇面色苍白,腹部查体无异常。辅助检查:免疫球蛋白及补体测定示IgG4升高(2.46 g/L),余正常。超敏C反应蛋白、红细胞沉降率、抗核抗体、葡萄糖6-磷酸脱氢酶活性均正常。胃镜示胃底、胃体黏膜弥漫性粗糙,颗粒样隆起。胃窦黏膜充血水肿。十二指肠球部黏膜粗糙、糜烂,降部黏膜光滑。RUT阴性。组织病理学示胃窦及胃底黏膜中度慢性炎,上皮部分脱落,上皮下见斑片状胶原沉积,最厚处126 μm及124 μm。胃窦嗜酸粒细胞计数约45个/高倍镜视野。胃体黏膜未取活检组织。十二指肠球部黏膜绒毛萎缩,上皮下见斑片状胶原沉积(图1E),最厚处72 μm。降部黏膜无殊。Masson 三色及天狼猩红染色见不规则胶原沉积;美兰、刚果红染色阴性。诊断为CG并累及十二指肠。
治疗及随访:予蛋白琥珀酸铁口服溶剂补铁、予奥美拉唑抑酸护胃等对症治疗,加用醋酸泼尼松片(40 mg/d)口服(6个月后逐渐减停),巯嘌呤片(50 mg/d)口服5个月后改为37.5 mg/d口服9个月。利可君20 mg/次,3次/d 口服13个月。随访17个月,复查血常规示血红蛋白波动在91~132 g/L,14岁8月龄组织病理学示胃部及球部黏膜炎症程度及胶原沉积减轻,最厚处58~92 μm。结直肠黏膜无殊。
胶原性疾病包括CG、胶原性口炎性腹泻、胶原性肠炎[1]。Lagorce-Pages等[2]将 CG 分为儿童型和成年型。儿童型临床主要表现为上腹痛和贫血,病变通常局限于胃。成人型多伴发胶原性肠炎。
CG内镜检查典型表现为黏膜呈萎缩性或结节性改变。其他表现包括黏膜红斑、溃疡、侵蚀、息肉样病变和增生性红色皱褶[3]。本组4例患儿内镜下表现与文献报道相似。CG的诊断标准是组织病理学可见黏膜呈慢性炎改变,包括固有层淋巴浆细胞、嗜酸粒细胞增多,表面上皮内淋巴细胞增多,上皮损伤和脱落以及腺体萎缩、幽门腺化生[4]。上皮下胶原沉积厚度常超过10 μm,内可见扩张的毛细血管,上皮下增厚的胶原带以Ⅲ型和Ⅵ型胶原为主,胶原可用Masson三色和天狼猩红特殊染色显示。Arnason等[5]根据炎症细胞浸润模式将CG分为3型:淋巴细胞性胃炎型、嗜酸细胞增多型和萎缩型;淋巴细胞性胃炎型可能与乳糜泻相关。本组例3为淋巴细胞性胃炎型,此例患儿曾有腹泻病史,但未累及十二指肠及结直肠黏膜,余3例患儿为嗜酸细胞增多型。本组例1及例4患儿累及十二指肠黏膜,但临床未曾有腹泻症状,暂未做乳糜泻相关检查,未摄入无谷蛋白饮食,与乳糜泻的关系尚不明确。
CG应与胃淀粉样变性鉴别,淀粉样物沉积常见于小血管壁,黏膜基底膜和血管壁见蜡样物质沉积并导致血管壁增厚,固有层中的淀粉样物常呈球形或颗粒状,而CG的胶原内常可见成纤维细胞核间隙以及内陷的内皮细胞,而淀粉样的基底膜不含细胞核,淀粉样变性的刚果红染色阳性,而Masson三色阴性。CG还需与嗜酸粒细胞性胃炎相鉴别,后者常见到腺上皮细胞内或绒毛中嗜酸粒细胞浸润及嗜酸粒细胞侵犯黏膜下并出现脓肿。此外CG胶原呈不规则增生,可与自身免疫性胃炎、肥厚性胃炎及增生性息肉等疾病相鉴别。
目前CG没有特定的治疗方案,患儿对治疗有不同的临床和组织病理学反应,临床最常见的治疗药物组合是质子泵抑制剂和口服铁补充剂,有时联合类固醇(如布地奈德)或组胺-2受体拮抗剂。据报道类固醇激素的使用对CG的临床治疗有一定积极作用[6],本组2例未用激素治疗患儿,胶原带厚度无明显变化或增厚,1例使用激素治疗患儿,胶原带厚度减小,提示激素治疗可能在CG临床治疗中有明显的改善作用,具体治疗效果需要进一步随访观察。
所有作者声明无利益冲突





















