
患者男性,35岁,因自觉双眼视物模糊2周就诊。双眼视力0.8,眼底检查可见双眼后极部多发黄白色斑点状病灶;相干光层析成像术检查结果显示黄斑区神经上皮层间多囊样积液及神经上皮层下积液,椭圆体带增厚、反射增强;眼底自发荧光显示病变部位为高自发荧光;荧光素眼底血管造影结果未见病变区域荧光素渗漏。结合病史、眼部多模式检查及全身检查情况,诊断为急性渗出性多形性卵黄样黄斑病变。患者未给予特殊治疗,1周后复查病灶部分有融合、扩大,黄斑区水肿情况较前加重。
版权归中华医学会所有。
未经授权,不得转载、摘编本刊文章,不得使用本刊的版式设计。
除非特别声明,本刊刊出的所有文章不代表中华医学会和本刊编委会的观点。
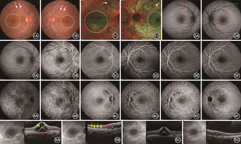
患者男性,35岁。因“自觉双眼视力下降2周”于2019年 6月5日就诊于云南大学附属医院眼科。患者无眼红、疼痛以及感冒等上呼吸道感染病史,亦无全身重大疾病史;父母非近亲结婚,家族史无特殊。眼部检查:双眼视力0.8,不能矫正。双眼眼前节未见明显异常。眼压检查正常。彩色眼底像提示双眼眼底呈现出对称性多发黄白色斑点及黄斑圆形晕环,炫彩眼底检查提示视网膜神经上皮水肿及黄白色病变区蓝绿信号增强(图1);眼底自发荧光黄斑水肿区呈花瓣样相对高荧光(图2),上、下血管弓处病变区呈现出斑点状高自发荧光(图2),其余视网膜未见明显异常自发荧光;荧光素眼底血管造影结果提示造影过程中黄斑区及黄白色病变区均未见明显荧光素渗漏,视网膜血管均未见明显异常荧光(图3);双眼荧光素脉络膜血管造影提示在早期黄斑区呈弱荧光晕,中期可见黄斑区呈椭圆形弱荧光,上下血管弓区可见多个团状、斑状弱荧光,部分中央区呈稍强荧光,晚期背景荧光及视网膜血管荧光均已排空呈弱荧光,黄斑区呈椭圆形弱荧光,上、下血管弓及视盘旁呈现出团状、斑状稍强荧光(图4);眼底相干光层析成像术(optical coherence tomography,OCT)检查结果提示双眼均呈现出黄斑区神经上皮层间多囊样积液及神经上皮层下积液,椭圆体带增厚、反射增强(图5)。全身检查:抗溶血性链球菌素O 14.1 U/ml,类风湿因子11.90 U/ml,超敏C反应蛋白0.157 mg/L,红细胞沉降率正常,乙型肝炎抗原阴性、抗体阳性,丙型肝炎抗体阴性,人类免疫缺陷病毒(human immunodeficiency virus,HIV)抗体阴性,梅毒抗体阴性,梅毒快速血浆反应素试验阴性,结核抗体阴性。结合病史、眼部多模式检查及全身检查情况诊断为急性渗出性多形性卵黄样黄斑病变(acute exudative polymorphous vitelliform maculopathy,AEPVM)。患者未给予特殊治疗,1周后复查可见眼底黄白色病灶部分有融合、扩大,黄斑区水肿情况较前加重;黄斑区OCT图像提示神经上皮层间、层下积液较前增多;黄白色病变区OCT提示椭圆体带突起明显增多,神经上皮层下积液增多(图6,7)。




AEPVM是一种临床较为少见的眼底疾病,以黄斑区神经上皮脱离及后极部卵黄样物质堆积为主要临床表现。该病首次由Gass在1988年报道[1],目前国内未见该病报道。AEPVM发病原因尚不清楚,目前有以下病因推测:在已有的文献报道中,部分患者合并有HIV或梅毒感染,罹患莱姆病,或眼部症状出现前有上呼吸道感染病史,因此有学者认为,本病的发生与全身感染因素相关[2]。也有报道称在活跃期的AEPVM患者血清中检测到了一种抗视网膜色素上皮(retinal pigment epithelial,RPE)的抗体:PRDX3表达上调,而在静止期和恢复期的该病患者身上,其表达正常,PRDX3是一种线粒体蛋白属于过氧化物酶家族的成员,对保护细胞免受氧化损伤十分重要,因此认为该病是自生免疫反应造成PRD3表达升高所致[3]。也有学者认为目前所报道的病例中,部分患者罹患乳腺肿瘤、皮肤肿瘤、呼吸道肿瘤等,因此该病可能为一种副肿瘤综合征[4]。
AEPVM的典型临床表现为,患者仅有轻度的视力下降或畏光感,眼底后极部见斑点状黄白色病灶,病灶轻度隆起,自发荧光中显示相对更高的自发荧光[5],黄斑区神经上皮脱离。荧光素造影中病灶处及黄斑区神经上皮脱离部分均无明显荧光渗漏。OCT显示典型的椭圆体带增厚,病变区域椭圆体带小范围隆起,黄斑区神经上皮脱离,同时神经上皮层内囊腔样改变[6]。
AEPVM的发病机制与其临床表现密切相关[7],由于各种原因导致RPE细胞损伤,出现相应功能障碍。一方面RPE损伤后,其吞噬光感受器外节盘膜的功能受损,导致大量脱落的外节盘膜在椭圆体带附近沉积,而表现出OCT中椭圆体带增厚的特征性表现。其次,RPE损伤严重区域,形成大量脂褐质代谢异常,从而表现出后极部卵黄样物质沉积,自发荧光呈现典型的点片状高自发荧光。另外,由于RPE功能损伤,其泵功能被破坏,从而在黄斑区无法完成正常的水分代谢,而引发了黄斑水肿、脱离、神经上皮层内液体积存,而相应区域的血管功能正常,因此在荧光素造影中,此处的黄斑水肿和脱离并无高荧光表现。
本病的治疗目前尚不清楚,有学者尝试糖皮质激素治疗及抗血管内皮生长因子治疗均无明显疗效。而对于合并有全身感染、肿瘤等疾病的患者,目前认为相关疾病的治疗对本病的控制有一定帮助。本病的发展转归相对良好,目前报道的患者大部分经历良性病程,急性渗出期后进入吸收恢复期,黄斑水肿及卵黄病变可自行吸收而视力得到改善[8]。本病极少继发CNV或地图样萎缩,但仍会造成部分光感受器受损。
所有作者声明无利益冲突





















