
回顾分析2021年6月收治于海军军医大学第三附属医院上海东方肝胆外科医院肿瘤科的1例生存近十年的肝滤泡树突状细胞肉瘤(FDCS)患者的治疗经过,探讨肝FDCS的系统治疗方案。患者系肝FDCS切除术后8年余复发,肝占位穿刺活检病理结果仍为FDCS。2021年7月开始行一线CHOP方案(环磷酰胺+表柔比星+长春新碱+泼尼松)化疗6周期,疗效评估稳定。随后根据基因测序结果给予CDK4/6抑制剂阿贝西利靶向治疗,获得至少4个月的无进展生存期,现报道如下。
版权归中华医学会所有。
未经授权,不得转载、摘编本刊文章,不得使用本刊的版式设计。
除非特别声明,本刊刊出的所有文章不代表中华医学会和本刊编委会的观点。
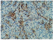
患者女性,44岁,2013年发现肝恶性占位,在福建省立医院行手术治疗,术后病理诊断为"肝脏炎性假瘤样滤泡树突状细胞肉瘤(follicular dendritic cell sarcoma,FDCS)",术后定期随访至2018年未见复发。2021年5月影像学检查再次发现肝占位性病变,6月29日患者就诊于海军军医大学第三附属医院上海东方肝胆外科医院肿瘤科。基线肝脏增强MRI(图1)以及盆腔增强CT示肝肉瘤复发伴腹盆腔多发转移。实验室检查:血红蛋白为89 g/L,肿瘤糖类抗原153为26.1 U/ml,甲胎蛋白、癌胚抗原、糖类抗原199、糖类抗原125均在正常范围,乙肝五项、丙肝抗体均为阴性。为再次明确诊断,于2021年6月30日行超声造影检查并行肝占位穿刺活检,超声造影考虑肝脏恶性肿瘤(图2),造影过程表现为"快进快出",病理结果考虑仍为FDCS。免疫组化示波形蛋白(+)、CD21(+)、CD35(+)、CD23(+)、CD68(+)、CD20(个别+)、CD3(+)、Ki67(+5%)、EB病毒原位杂交(散在+)(图3)。患者于2021年7月10日开始行一线CHOP方案(环磷酰胺+表柔比星+长春新碱+泼尼松)化疗6周期,无明显不良反应,末次治疗时间为2021年12月21日。病程中行两次影像学疗效评估,病情稳定。患者对CHOP方案静脉化疗耐受尚可,但考虑该方案无法作为维持治疗方案,且治疗效果不甚满意,遂行下一代测序(next-generation sequencing,NGS)技术进行基因检测。检测结果表明,周期蛋白依赖性激酶4(cyclin-dependent kinase4,CDK4)拷贝数增加(n=2.93),程序性死亡配体-1(programmed cell death ligand 1,PD-L1)(22C3)蛋白表达检测结果表明肿瘤比例评分为40%,综合阳性分数为50。遂于2022年1月13日开始给予患者CDK4/6抑制剂阿贝西利(150 mg,口服,2/d)靶向治疗,患者不良反应仅有I度骨髓抑制及腹泻。2022年6月中旬行影像学评估提示主病灶仍稳定,部分病灶较前进展,但患者因个人原因拒绝进一步治疗。






肝FDCS较为罕见,于1996年由Shek等[1]首次报道。肝FDCS临床特征不典型,国外一项报道总结了13例肝FDCS,临床表现为腹部疼痛、体重减轻、贫血和发热,或者无症状[2]。肝FDCS影像学检查也无特异性。因此,病理诊断仍是FDCS的金标准,CD35、CD23和CD21是FDCS免疫细胞化学诊断的常见标志物,与其他部位不同,肝FDCS的EB病毒基本呈阳性改变[3,4]。
根治性手术切除是治疗FDCS的首选方式,可以联合应用化疗或放疗[5]。基于淋巴瘤的治疗方案如CHOP方案和ABVD方案(多柔比星+博来霉素+长春新碱+达卡巴嗪)常被用于治疗FDCS,而其他如异环磷酰胺、卡铂和依托泊苷也被应用于FDCS中[6]。2019年王连江等[7]报道1例肝FDCS行手术根治切除后,未行辅助放化疗,定期随访、复查,术后20个月未见肿瘤复发。而靶向、免疫治疗也对FDCS患者也有一定疗效[8,9]。随着基因检测技术革新,更多的药物靶点和候选分子的识别为肿瘤患者提供了更全面的治疗选择,目前常用的基因检测技术为高通量测序技术,又称NGS技术。
本文报道病例为中年女性,FDCS术后8年余复发,术后未经辅助放化疗,可见该肿瘤虽罕见却相对恶性程度低。肿瘤复发后再次行肝占位穿刺活检,病理形态上表现为梭形细胞肉瘤,免疫组化显示波形蛋白、CD21、CD35、CD23、EB病毒均阳性,符合肝FDCS诊断。患者复发后行系统治疗,一线给予CHOP方案化疗,获得稳定疗效;为获取可能的更精准的治疗方案,维持治疗根据NGS检测结果,给予CDK4/6抑制剂阿贝西利靶向治疗,获取至少4个月的无疾病进展生存,比较惋惜的是患者基因检测提示PD-L1表达较高,还未对免疫治疗进行尝试,如后续能够有机会使用,可能会获得更长的生存期。由此可见NGS检测很可能为患者的治疗获取有意义的指导。
本报道为单个病例的治疗过程,具有其独特性,但存在以下缺陷:(1)不能够代表整体该病种的情况;(2)该患者初次手术诊断时在外院,距离复发时间较长,且无法准确获取当时的病理诊断样本情况;(3)采用实体肿瘤的疗效评价标准评估肝FDCS的疗效可能不够恰当。
所有作者均声明不存在利益冲突





















