
硅油是眼穿通伤术后玻璃体腔常用的填充物,硅油填充数月后需手术取出,硅油从玻璃体腔异位至眼睑眼眶是非常罕见的并发症,本文报道眼球壁异物取出术后硅油异位于眼睑眼眶的病例。患者因“左眼外伤后肿胀伴睁眼困难3年余”就诊,眼眶CT提示:左侧玻璃体、球后、眼睑下多发边界清楚的高密度影,考虑主要诊断为:左眼眶眼睑肿物,性质待查;左眼上睑下垂。予以左眼眶眼睑肿物摘除术,病理检查结果提示薄壁纤维囊壁组织,伴小血管,内容物清亮。随访1周,左眼上睑稍凹陷,上睑下垂改善。
版权归中华医学会所有。
未经授权,不得转载、摘编本刊文章,不得使用本刊的版式设计。
除非特别声明,本刊刊出的所有文章不代表中华医学会和本刊编委会的观点。
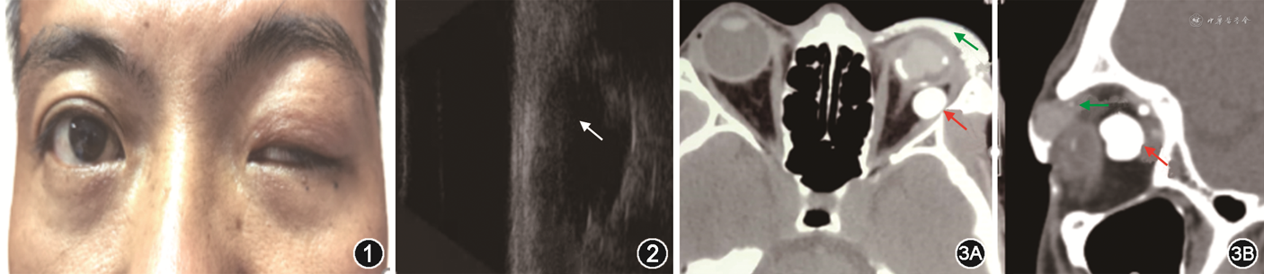
患者男性,41岁,因“左眼被铁片划伤视物不见6 h”,于2017年3月就诊于长沙爱尔眼科医院眼外伤专科,既往史无特殊,无高血压等全身疾病。眼眶CT:球内19 mm×3 mm致密异物,CT值3 071 Hu。完善术前检查后行左眼玻璃体切割、眼内异物取出、硅油填充术,术中见金属异物嵌顿于眼球壁上方,上方视网膜脉络膜裂孔,从颞侧角膜缘切口完整取出异物,术后患者顺利出院。2020年8月患者因“左眼外伤后肿胀伴睁眼困难3年余”再次就诊,眼科检查:左眼视力无光感,外斜45°,眼球各方位运动正常,睑裂高度2 mm(图1),提上睑肌肌力4 mm,角膜混浊,内眼结构窥不清。眼部B超:左眼玻璃体内强回声光团、眼球壁旁12.4 mm×15.6 mm的边界清楚的低回声区(图2),右眼轴长度23.8 mm,左眼轴长度20.2 mm。眼眶CT:左侧玻璃体、球后、眼睑下多发异常高密度影,边界清楚,CT值456~750 Hu(图3)。入院诊断:左眼眶眼睑肿物,性质待查(硅油可能性大),左眼上睑下垂,左眼硅油眼,左眼球萎缩。入院后第3天,在局部麻醉下行左眼眶眼睑肿物摘除术,术中见左眼睑皮下组织被硅油小泡弥漫浸润,提上睑肌上方3 cm×1 cm透明样硅油囊肿(图4中A),眼球壁完整,摘除眼球后方最大的囊肿,切除部分硅油小泡浸润严重的软组织。术后眼睑肿胀明显改善,睑裂高度约6 mm。病理提示送检物为薄壁纤维囊壁组织,伴小血管,内容物清亮(图4中B)。随访1周,患者上睑稍凹陷,上睑下垂改善。




硅油从玻璃体腔异位至眼睑眼眶是非常罕见的并发症[1]。既往有文献报道硅油移行至大脑、结膜下、眼眶、眼睑、视网膜下、蛛网膜下腔等眼球以外的部位[2, 3]。研究表明,硅油可能通过巩膜穿刺口[4]、视神经[3]、高眼压下跨巩膜引流管腔[5]移行至眼球周围组织。国内报道过2例穿通伤玻璃体切除术后,硅油进入眼眶的病例,推测硅油可能通过术后尚未愈合的后部巩膜裂口缓慢进入眼眶并乳化,但也不能完全排除硅油通过其他方式进入眼眶的可能性[6, 7]。本病例中,患者硅油填充术后3年复查时,CT下球内硅油的残留量少于80%,硅油进入眼睑皮下、眼眶内眼球后方,硅油可能通过如下方式移行:眼球穿通伤导致后部巩膜裂口,术中未缝合,硅油通过该伤口进入球后眼眶内,随着眶内漏出的硅油量增加,眶压增高,硅油向前移行,突破眶隔,进入提上睑肌表面,在眼睑皮下形成多发的透明囊泡。
本例患者硅油移位至眼睑眼眶出现了上睑下垂,硅油移位后的上睑下垂,可能与以下因素有关:(1)硅油大量移位于眼睑皮下、提上睑肌表面,使提上睑肌负荷增加,造成机械性上睑下垂;(2)术中发现提上睑肌腱膜多处离断、裂孔,反应了硅油诱导的炎性反应,这一硅油毒性导致的上睑下垂,与既往报道的文献一致[1, 5]。
本病例提示:(1)临床医师对于穿通伤患者应仔细探查,避免遗漏后巩膜的裂口,当后巩膜裂口较大时,术中使用硅油填充,存在从巩膜裂口漏出进入眼眶眼睑的风险,对于此类患者,应加强术后随访,定期行眼部影像学检查,及时行硅油取出;(2)硅油移位后的上睑下垂,在一期硅油囊肿取出时应避免行上睑下垂矫正术,待机械因素解除后,定期随访观察后再决定是否需行上睑下垂矫正手术;(3)眼睑软组织的弥漫硅油小泡无法完全切除干净,手术切除量应保守,避免术后上睑凹陷的产生。
周艳丹, 肖可人, 贺珊婷, 等. 眼球壁异物取出术后硅油进入眼眶1例[J]. 中华眼科杂志, 2023, 59(1): 50-51. DOI: 10.3760/cma.j.cn112142-20220419-00186.
所有作者声明无利益冲突





















