
分析产前超声诊断脐带囊肿合并胎儿结构异常情况及其预后。
回顾性收集2016年1月至2020年12月在首都医科大学附属北京妇产医院超声诊断为脐带囊肿的病例109例,根据超声表现将其分为孤立性脐带囊肿组、脐带囊肿合并超声软指标组,以及脐带囊肿合并胎儿畸形组。分析脐带囊肿胎儿的预后情况。对数据资料采用χ2检验进行组间比较。
(1)孤立性脐带囊肿55例(55/109,50.5%),脐带囊肿合并超声软指标20例(20/109,18.3%),合并胎儿畸形34例(34/109,31.2%)。除2例位置多发外,其余107例脐带囊肿胎盘端、游离段、胎儿端脐带囊肿合并其他超声异常的发生率依次升高[分别为27.5%(14/51)、10/17和76.9%(30/39),χ2=22.20,P<0.001]。发生于胎儿端的脐带囊肿合并其他超声异常发生率明显高于发生于胎盘端者(χ2=21.65,P<0.001)。(2)共检出60种畸形,主要累及心血管系统、泌尿生殖系统、前腹壁和骨骼系统。常见的畸形包括胎儿室间隔缺损、脐膨出、巨膀胱、胎儿水肿和颈部水囊瘤等。(3)89例随访到妊娠结局,共21例(23.6%)结局不良。孤立性脐带囊肿组未发生不良结局,脐带囊肿合并超声软指标组中引产2例(2/18),而脐带囊肿合并胎儿畸形组中引产、胎儿宫内死亡及围产期死亡共19例(19/26,73.1%)。
孤立性脐带囊肿预后相对较好,脐带囊肿合并超声软指标和合并胎儿畸形可能发生不良预后,合并胎儿畸形者不良预后发生率更高。产前超声发现脐带囊肿时,应系统地检查是否合并其他超声异常。
版权归中华医学会所有。
未经授权,不得转载、摘编本刊文章,不得使用本刊的版式设计。
除非特别声明,本刊刊出的所有文章不代表中华医学会和本刊编委会的观点。
脐带囊肿的发病率为0.4%~3.4%[1, 2, 3, 4],病因尚不明确。在病理上,脐带囊肿分为真性和假性[5, 6, 7],但超声很难区分。真性囊肿有一层上皮细胞,起源于早期胚胎结构(尿囊管和脐肠系膜管),通常位于脐带胎儿端。脐肠系膜囊肿罕见,仅有少数病例报告[8]。尿囊囊肿产前更易发现,常与尿路病变有关,主要是脐尿管未闭,易合并前腹壁畸形,最常见的是脐膨出[2,9]。假性囊肿最常见,缺乏上皮细胞覆盖,由局部华通胶水肿、液化或黏液变性所致。假性囊肿与染色体异常有关,主要是18-三体[6,10]。关于脐带囊肿的研究很少,脐带囊肿的临床意义尚不完全明确。本研究对产前超声发现的脐带囊肿病例进行分析与随访,统计脐带囊肿合并胎儿结构异常情况,并分析这些胎儿的预后,以期对脐带囊肿有更多的认识,指导产前咨询与管理。
本研究为回顾性研究。研究对象为2016年1月1日至2020年12月31日于首都医科大学附属北京妇产医院超声科行常规检查,或超声会诊时诊断为脐带囊肿的孕妇109例。其中单胎妊娠101例,双胎妊娠7例,三胎妊娠1例。本研究经首都医科大学附属北京妇产医院伦理委员会批准(2019-KY-106-01)。
采用GE Voluson E8/E10、SAMSUNG UGEO WS80A型彩色多普勒超声诊断仪凸阵探头,频率3.5~5.0 MHz,选择产科模式。嘱孕妇取平卧位,先对孕妇进行系统性超声检查,测量胎儿生长参数,评估羊水、脐带、胎盘。
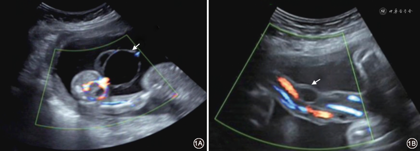
脐带囊肿诊断标准[11]:脐带内部或附着于脐带的无回声肿块,包膜完整,彩色多普勒示囊肿内部无血流信号(图1)。记录囊肿的位置、数量、大小和形态等特点。


根据胎儿超声表现,分为孤立性脐带囊肿组、脐带囊肿合并超声软指标组和脐带囊肿合并胎儿畸形组。
1. 孤立性脐带囊肿:指产前超声未发现胎儿软指标和胎儿畸形。
2. 超声软指标:包括颈项透明层(nuchal translucency,NT)增厚(≥2.5 mm),心室内点状强回声,肠管回声增强,肾盂分离,侧脑室增宽(直径10~15 mm),肠管回声增强,单脐动脉,脉络丛囊肿,鼻骨缺失,股骨短小(股骨长度小于相应孕周减2个标准差),胎儿胸、腹腔积液,胎盘血管瘤,以及羊水过多或过少。
将数据输入Excel表格,用SPSS 26.0统计软件进行统计学分析。计量资料采用±s表示;计数资料以例数和百分数描述,组间比较采用χ2检验。P<0.05为差异有统计学意义。
研究期间,本院共71 496例孕妇分娩,脐带囊肿的检出率为0.2%(109/71 496)。109例孕妇年龄19~44(31.4±4.7)岁。脐带囊肿诊断孕周为10~37(23.4±7.2)周。囊肿直径0.3~9.7(3.2±1.9)cm。
109例脐带囊肿病例中,孤立性脐带囊肿55例(50.5%),脐带囊肿合并超声软指标20例(18.3%),脐带囊肿合并胎儿畸形34例(31.2%)。多发脐带囊肿13例(11.9%),其中4例(4/13)为孤立性脐带囊肿,2例(2/13)合并胎儿软指标,7例(7/13)合并胎儿畸形。
109例脐带囊肿除2例位置多发外,其余107例脐带囊肿位置与超声表现的关系见表1。胎盘端、游离段、胎儿端脐带囊肿合并其他超声异常的比例依次升高(χ2=22.20,P<0.001)。发生于胎儿端的脐带囊肿合并其他超声异常发生率(76.9%)明显高于发生于胎盘端者(27.5%),差异有统计学意义(χ2=21.65,P<0.001)。

107例脐带囊肿位置与超声表现的关系[例(%)]
107例脐带囊肿位置与超声表现的关系[例(%)]
| 部位 | 例数 | 孤立性 | 合并其他超声异常 |
|---|---|---|---|
| 胎儿端 | 39 | 9(23.1) | 30(76.9) |
| 游离段 | 17 | 7/17a | 10/17a |
| 胎盘端 | 51 | 37(72.5) | 14(27.5) |
| χ 2值 | 22.20 | ||
| P值 | <0.001 | ||
注:剔除了2例位置多发的病例;a分母小于20不计算百分率
1.软指标:脐带囊肿合并超声软指标组和合并胎儿畸形组中检出超声软指标41例,包括肾盂分离、单脐动脉各8例(各19.5%),NT增厚5例(12.2%),心室内点状强回声、脉络丛囊肿各4例(各9.8%),肠管回声增强3例(7.3%),侧脑室扩张、羊水过少、股骨短小各2例(各4.9%),室管膜下囊肿、胎盘血管瘤、羊水过多各1例(各2.4%)。
2.畸形:共检出60例畸形,包括泌尿生殖系统15例(25.0%,包括巨膀胱5例,下尿路梗阻4例,肾发育不良3例,重复肾、外生殖器畸形、脐尿管未闭伴尿囊囊肿各1例),心血管系统12例(20.0%,包括室间隔缺损7例,永存左上腔3例,单心室、瓣膜中度反流各1例),前腹壁畸形8例(13.3%,包括脐膨出7例,腹壁裂1例),骨骼系统8例(13.3%,包括脊柱裂伴脊髓脊膜膨出3例,上肢畸形3例,足内翻、脊柱椎弓排列不齐各1例),胎儿水肿5例(8.3%),颈部水囊瘤4例(6.7%),双胎并发症3例(5.0%,包括双胎动脉反向灌注序列综合征、双胎之一无头无心序列征、双胎输血综合征各1例),消化系统2例(3.3%,包括肠管扩张、肛门畸形各1例),神经系统2例(3.3%,包括露脑畸形、胼胝体缺失或发育不良各1例),以及脐静脉异位引流1例(1.7%)。
共23例行染色体核型分析,检出4例(17.4%)染色体异常。7例孤立性脐带囊肿胎儿染色体核型分析结果均正常。5例脐带囊肿合并超声软指标病例中检出1例13-三体胎儿(脐带囊肿合并脉络丛囊肿)。11例脐带囊肿合并胎儿畸形病例中检出3例染色体异常胎儿,其中2例为18-三体(1例合并肢体畸形、室间隔缺损、单脐动脉,另1例双胎之脐带囊肿胎儿合并脐膨出),1例为染色体缺失:18号染色体p11.32-p11.21处缺失12.94 Mb区域(三胎之脐带囊肿胎儿合并室间隔缺损、颈部水囊瘤及羊水过多)。
109例中,失访20例(18.3%),89例随访获得妊娠结局。其中23.6%(21/89)结局不良,包括胎儿宫内死亡6例、引产14例,以及围产期死亡1例。其余68例活产,出生胎龄34~41(38.1±1.8)周,出生体重890~4 500(3 172.6±623.0)g。
1.不同类型脐带囊肿胎儿的预后(表2):(1)孤立性脐带囊肿组:45例胎儿均分娩,其中27例(60.0%)随访1年以上,均未发生明显不良结局。6例(13.3%)早产,3例(6.7%)发生胎儿生长受限。(2)脐带囊肿合并胎儿软指标组:18例中有2例引产,其中1例产前超声表现为羊水过少、胎儿肠管回声增强;另1例胎儿发现脉络丛囊肿,染色体核型分析为13-三体。余16例均分娩,包括早产和胎儿生长受限各2例。(3)脐带囊肿合并胎儿畸形组:26例胎儿中19例(73.1%)发生不良结局,包括引产、胎儿宫内死亡和围产期死亡;7例妊娠至分娩(包括1例早产),其中2例生后行手术治疗者分别为脊柱裂伴脊髓脊膜膨出和脐膨出,术后1年随访结局良好。

随访到的89例脐带囊肿胎儿的不良结局分布[例(%)]
随访到的89例脐带囊肿胎儿的不良结局分布[例(%)]
| 类型 | 例数 | 胎儿宫内死亡 | 围产期死亡 | 引产 | 合计 |
|---|---|---|---|---|---|
| 孤立性脐带囊肿 | 45 | 0(0.0) | 0(0.0) | 0(0.0) | 0(0.0) |
| 脐带囊肿合并胎儿软指标 | 18 | 0/18a | 0/18a | 2/18a | 2/18a |
| 脐带囊肿合并胎儿畸形 | 26 | 6(23.1) | 1(3.8) | 12(46.2) | 19(73.1) |
注:a分母小于20不计算百分率
7例产前超声明确为早孕期一过性脐带囊肿。其中5例预后良好,2例发生不良结局:1例孕13周发现脐带囊肿,孕18周时发现肠管扩张和羊水过少,羊膜腔穿刺染色体核型正常,因羊水过少终止妊娠;另1例胎儿存在肢体畸形、室间隔缺损和单脐动脉,染色体结果为18-三体,终止妊娠。
13例多发囊肿中9例可随访到妊娠结局,其中5例(5/9)预后良好,4例(4/9)有不良结局,包括2例胎儿宫内死亡,2例引产。80例单发脐带囊肿可随访到妊娠结局,17例(21.3%)结局不良。单发与多发脐带囊肿的胎儿不良结局发生率差异无统计学意义(χ2=2.41,P=0.120)。
2.单胎与多胎的预后比较:随访到的89例研究对象中,7例(7.9%)为双胎妊娠,1例(1.1%)为三胎妊娠。这8例中,除1例双胎妊娠为孤立性脐带囊肿正常分娩外,其余7例胎儿结局不良,其中4例脐带囊肿合并严重畸形(包括1例脐膨出、染色体核型为18-三体,最终行减胎手术;1例室间隔缺损、颈部水囊瘤、羊水过多及染色体缺失,最终胎儿宫内死亡;1例脊柱裂合并脊膜膨出、室间隔缺损,右肾积水及左心室点状强回声,最终引产;1例下尿路梗阻及外生殖器畸形,新生儿出生后死亡),另3例出现双胎并发症,分别为双胎动脉反向灌注序列征、双胎之一无头无心序列征和双胎输血综合征。前者选择引产,后2例胎儿宫内死亡。而81例单胎妊娠中的15例(18.5%)发生不良结局。单胎与多胎脐带囊肿胎儿不良结局发生率差异具有统计学意义(χ2=18.62,P<0.001)。
本研究脐带囊肿检出率为0.2%,低于以往研究报告的0.4%~3.4%[1, 2, 3, 4]。最主要原因可能是产前超声常规检查脐带胎盘入口与胎儿腹壁入口,但不全程扫查脐带,存在一定的漏诊率,尤其是游离段的脐带囊肿。109例脐带囊肿病例中,孤立性脐带囊肿占50.5%(55/109),脐带囊肿合并超声软指标和合并胎儿畸形各占18.3%(20/109)和31.2%(34/109)。孤立性脐带囊肿预后均较好,脐带囊肿合并超声软指标2例(2/18)发生不良结局,脐带囊肿合并胎儿畸形不良结局发生率更高,为19例(19/26,73.1%)。本研究还发现,脐带囊肿的数目与预后无关,而脐带囊肿的位置和多胎妊娠与预后有关,多胎脐带囊肿胎儿不良结局发生率更高。胎盘端、游离段、胎儿端脐带囊肿胎儿合并其他超声异常的发生率依次升高。
本研究中孤立性脐带囊肿胎儿均有良好结局,且多数研究与此一致[12]。仅有少数文献报道,孤立性脐带囊肿也有发生不良结局的可能。较大的脐带囊肿可引起严重妊娠并发症,如胎儿宫内死亡或难产,可能与脐带囊肿扭转缠绕脐带或脐带囊肿压迫邻近的血管影响胎儿血液循环有关。Ruiz等[13]报道了1例脐带囊肿,尽管产前超声未发现合并其他异常,但早孕期筛查为高风险,染色体核型分析结果显示为多倍体。因此,产前超声发现孤立性脐带囊肿时,也需重视发生染色体异常的可能,需结合其他筛查手段进行综合评估。本研究还发现,脐带囊肿可能与早产有关。本研究中,孤立性脐带囊肿组胎儿早产发生率高达13.3%(6/45)。以往研究少有报道脐带囊肿与早产的关系,因此这一关系需要未来进一步研究加以验证。
脐带囊肿常合并严重畸形或多发畸形,常累及心血管系统、泌尿生殖系统、前腹壁和骨骼系统。常见的畸形有胎儿室间隔缺损、脐膨出、巨膀胱、胎儿水肿和颈部水囊瘤等。文献报道,脐带囊肿合并胎儿异常发生率为38%~85%[6,10,14]。本研究脐带囊肿合并畸形发生率为31.2%,低于文献报道,考虑原因可能是统计合并胎儿异常标准不一致。一部分研究包括胎儿畸形和超声软指标[10,13],而另一部分研究仅统计合并胎儿畸形情况。另外可能也与各研究间样本量相差较大有关。
Ross等[1]研究29例脐带囊肿病例发现,位于胎儿端和胎盘端的脐带囊肿胎儿异常发生率较高。本研究中位于胎儿端的脐带囊肿合并其他超声异常的发生率高达76.9%,不同的是,胎盘端脐带囊肿合并胎儿畸形率低,位于胎盘端的脐带囊肿有更好的预后,故胎儿端的脐带囊肿更应密切关注。Ghezzi等[3]研究发现多发脐带囊肿与流产和非整倍体有关。本研究中多发脐带囊肿胎儿不良结局发生率为4/9,显现出高于单发脐带囊肿(21.3%)的趋势,但差异无统计学意义。本研究4例多发脐带囊肿失访病例中有2例合并多发畸形,因此失访可能会影响研究中多发脐带囊肿的预后价值。今后需要做好随访工作,累积更多病例。
以往的一些研究认为,早孕期一过性脐带囊肿多为正常的生理现象,预后多良好,孕中晚期发现的脐带囊肿,或孕早期发现,并持续到孕中、晚期的脐带囊肿胎儿异常发生率较高。但本研究孕早期一过性脐带囊肿7例中,5例预后良好,2例有不良结局,因此早孕期一过性脐带囊肿仍有发生胎儿畸形和染色体异常的可能。
脐带囊肿与染色体异常有关,最常见的染色体异常是18-三体[6]。Sepulveda等[10]对10例脐带假性囊肿进行染色体核型分析,发现7例染色体异常中有5例为18-三体。本研究23例行染色体核型分析,检出4例染色体异常,其中2例为18-三体(1例合并脐膨出,另1例合并胎儿多发畸形);另2例分别为染色体缺失伴胎儿多发畸形和13-三体伴胎儿脉络丛囊肿。
产前超声医师发现脐带囊肿时,应进行系统检查,以除外其他胎儿异常,必要时应将孕妇转至三级产前诊断中心进行咨询。如果超声未发现其他异常,且产前其他筛查(唐氏综合征筛查或无创DNA)结果为低风险时,预后一般较好,但应注意监测随访。对于脐带囊肿合并严重畸形或多发畸形者,临床决策取决于畸形本身及染色体核型分析结果。如脐带囊肿仅合并轻微超声异常,染色体核型分析排除染色体异常后,可考虑定期随访。
本研究发现,位于胎儿端的脐带囊肿和多胎妊娠与不良结局有关,孕早期一过性脐带囊肿也有发生胎儿畸形和染色体异常的可能。脐带囊肿合并超声软指标和合并胎儿畸形可发生不良结局,而孤立性脐带囊肿预后较好。脐带囊肿胎儿畸形发生率高,其不良预后包括引产与合并的畸形有关。建议产前超声发现脐带囊肿时,应系统性检查,以除外其他胎儿异常。孤立性脐带囊肿预后相对良好。当发现胎儿存在其他系统的畸形或生长发育异常时,应详细扫查脐带,包括脐带游离段。临床医师应根据产前筛查、必要时通过染色体核型分析等方式进行综合评估、决策。
王文迪, 吴青青, 王晶晶. 产前超声诊断脐带囊肿合并胎儿结构异常的预后:109例分析[J]. 中华围产医学杂志, 2023, 26(2): 97-102. DOI: 10.3760/cma.j.cn113903-20220329-00297.
所有作者声明无利益冲突





















