
巨大食管裂孔疝是临床上较少见的病例,特别是合并心肺疾患的老年患者更是临床治疗的难点,本文通过汇报1例腹腔镜手术修补老年人巨大食管裂孔疝诊疗过程,探讨老年患者巨大食管裂孔疝的治疗。
版权归中华医学会所有。
未经授权,不得转载、摘编本刊文章,不得使用本刊的版式设计。
除非特别声明,本刊刊出的所有文章不代表中华医学会和本刊编委会的观点。
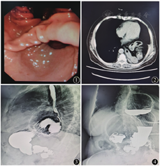
患者女性,82岁,主因胸痛2年伴恶心、呕吐3 d入院。既往高血压、冠心病病史3年,口服药物控制良好,脑梗死病史1年,无后遗症,否认糖尿病史,否认手术外伤史,否认食物、药物过敏史,无烟酒不良嗜好。查体:生命体征平稳,左肺呼吸音低,心率齐,未闻及异常杂音,腹部平坦,全腹软,中上腹轻压痛,无反跳痛,肌紧张(-),肠鸣音4次/min。辅助检查:胃镜:食管裂孔疝、胃扭转?;胸腹部CT示:食管裂孔疝,小肠、胃、网膜、结肠疝入胸腔;上消化道造影:食管裂孔疝(图1,图2,图3,图4)。入院后营养学评分(NRS2002评分)5分,体质指数(BMI)17.2 kg/m2,血常规示血红蛋白85 g/L、白蛋白(ALB)31 g/L,凝血功能及肝肾功能正常。入院后完善心电图、超声心动、肺功能等相关检查,并请心内科及呼吸科评估心肺功能,予患者质子泵抑制剂及适当肠外营养补液治疗1周,患者症状好转后行腹腔镜手术治疗,术中见2/3胃体、网膜、部分空肠、横结肠疝入胸腔,仔细分离疝内容物与疝囊粘连后还纳疝内容物,游离食管及双侧膈肌脚,3-0 Poly缝线间断缝合食管裂孔,再用裁剪成"V"型的双面防粘连合成补片予以加固,最后行胃底前180°(Dor)折叠(图5,图6,图7,图8)。术后患者8 h拔除气管插管,术后第1天拔除胃管嘱患者进食流质,第1~4天予以适量静脉营养支持(补液量按进食情况逐渐减量,保证每日尿量1 000 ml以上),术后第5天出院,随访6个月患者进食量较术前增加1/3,无胸痛、憋气、反酸等症状,体重增加5 kg,血红蛋白117 g/L。




食管裂孔疝(hiatal hernia,HH)是指腹腔内脏器和(或)组织通过食管裂孔进入胸腔所形成的疝,通常认为疝入胸腔的胃体积≥正常胃体积的1/3,或食管裂孔直径超过5~6 cm的HH为巨大食管裂孔疝(giant hiatal hernia,GHH)[1],其主要临床表现为胸痛、反酸、胃灼热、腹胀、憋气、咳嗽等症状,如存在胃扭转可伴有恶心、呕吐、进食困难等表现,而疝内容物一旦出现嵌顿则可引起消化道出血、穿孔或坏死等危及生命的并发症。Carrott等[2]统计120例45~91岁GHH患者的临床症状,其中胃灼热占59%、早饱占54%、呼吸困难占52%、吞咽困难占47%、胸痛占40%、反酸占39%、贫血占37%。不同程度的贫血是食管裂孔疝患者易忽视的,有报道指出,GHH患者中缺铁性贫血的发生率大概为6%~37%,其原因可能为Cameron病变[3]。Cameron病变是一种膈肌或其附近水平胃黏膜慢性线性糜烂病变,由膈肌对疝囊颈压迫,近端胃长期受牵拉和磨损形成,HH患者中Cameron病变的发生率为10%~32%[4]。GHH的诊断通过胸腹部CT、上消化道造影、胃镜等检查多不难诊断,本例患者上消化道造影示:约1/2胃体疝入胸腔,腹部CT提示:结肠、小肠、网膜等一并疝入,符合Ⅳ型巨大食管裂孔疝诊断,同时合并中度贫血及营养不良。
手术修补食管裂孔是GHH治疗的有效方式,相较于传统开放手术,许多研究发现高龄患者可以从腹腔镜手术中取得更多获益。对比手术前后的心肺功能客观检查,发现GHH患者的心肺功能得到了不同程度的改善,年龄越大、胸腔内疝容积越大改善效果越佳。GHH患者多合并有不同程度的胃食管反流,因此在修补GHH同时行胃底折叠已得到大多数外科医师的认同,同时也有学者提出胃底折叠可有效降低GHH的术后复发率。Khoma等[5]统计89例年龄>80岁的GHH患者,术后生存时间为(74.5±47.8)个月,术后生活质量评分较术前均明显提高,早期随访满意率达97.0%,晚期随访满意率达93.3%。Parker等[6]对比140例<69岁和45例>80岁食管裂孔疝患者腹腔镜手术情况,两组并发症发生率(13.7%比22.2%)和死亡率(0.7%比0%)并无差异,提出尽管高龄组患者年龄较大和合并症较多,但腹腔镜食管裂孔疝修补术可以显著改善患者生活质量,效果与低龄组相同。这些研究均提示对于预期寿命较长的老年患者采用腹腔镜下GHH修补术是安全的,可显著提高老年患者的生活质量。
我们认为高龄合并心肺疾病不是GHH患者的手术禁忌证,在准确评估患者心肺功能、改善患者营养及贫血的基础上,制定个体化手术方案可以使老年GHH患者得到有效治疗,改善其生活质量。本例患者术前食管测压提示食管动力不足,我们选用胃底前180°反折的抗反流术式,操作相对简单同时可以防止出现术后吞咽困难。术后患者体重增加、贫血改善、未再出现反流相关症状、活动量较术前明显增加,也很好地印证了此观点。但腹腔镜食管裂孔疝修补+胃底折叠术仍是一种风险较高、操作难度较大的手术,需要有丰富腔镜经验的外科医师进行操作,以避免出现手术并发症。
所有作者声明无利益冲突





















