
探讨多发型角化棘皮瘤恶变为鳞状细胞癌患者的临床表现及治疗方法。
回顾性分析济宁医学院附属医院2022年3月收治的1例多发型角化棘皮瘤恶变为鳞状细胞癌患者的临床资料,并进行文献复习。
患者为73岁女性,发现左手背结节1年,手术切除后2周复发,扩大切除后组织病理诊断符合角化棘皮瘤型高分化鳞状细胞癌。术后3 d唇部相继发现数个圆形结节,部分皮损中央可见火山口样凹陷,组织病理学示角化棘皮瘤。给予阿维A胶囊口服3个月,皮损消退。随访6个月无复发。
多发型角化棘皮瘤恶变为鳞状细胞癌临床较少见,目前缺乏标准治疗方案,手术是主要治疗方式,口服阿维A为一种可供选择的治疗手段。
版权归中华医学会所有。
未经授权,不得转载、摘编本刊文章,不得使用本刊的版式设计。
除非特别声明,本刊刊出的所有文章不代表中华医学会和本刊编委会的观点。
角化棘皮瘤(KA)是一种特殊的皮肤肿瘤,主要发生于中老年人面颈部、手背等曝光部位,生长较迅速,有自愈倾向[1,2]。关于KA的确切病因一直存在争议,部分学者认为KA是良性皮肤肿瘤且具有自限性[3],另有部分学者认为KA是鳞状细胞癌(SCC)的亚型[4]。KA恶变为SCC的患者较为少见,对KA的治疗目前尚无统一标准。现对我院收治1例多发型KA恶变为SCC患者的诊断及治疗进行报道,并复习相关文献。
患者,女性,73岁,因发现左手背结节1年于2022年3月来我院就诊。1年前患者左手背出现1个绿豆大小粉红色结节,逐渐增大至成年人指甲大小,无自觉症状。2个月前于当地医院行手术切除,术后组织病理提示KA。6周前(当地医院术后2周)手术部位再次出现类似结节,逐渐增大,无明显疼痛及瘙痒,遂来我院就诊。患者既往体健,长期从事农业劳动,手背无外伤及刺激物接触史。病程中患者无发热、淋巴结肿大、体质量减轻。
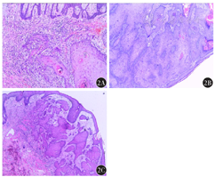
体格检查:系统查体无明显异常。皮肤科查体:左手背可见隆起型皮色圆形结节,大小约1 cm×1 cm,边界清晰,质地较硬,中央有"火山口"样凹陷,表面覆白色鳞屑,无破溃,无明显毛细血管扩张(图1A)。实验室检查:血常规、肝肾功能、血脂、肿瘤标志物均未见明显异常。距肿瘤边缘1 cm行扩大切除,术后病理示:表皮棘层明显增生肥厚并向真皮内浸润生长,瘤体中央漩涡状角化物聚集,细胞排列紊乱,可见核分裂象及角化不良细胞,真皮内可见少许鳞状细胞团块,切缘未见肿瘤细胞(图2A)。诊断为KA型高分化SCC。术后3 d患者上唇出现一绿豆粒大小结节,生长迅速,1周内增大至直径约1 cm,中央凹陷,表面毛细血管扩张(图1B)。完整切除后组织病理学诊断为KA(图2B)。术后12 d切口右侧出现一黄豆粒大小结节(图1C),再次切除组织病理仍提示KA(图2C)。术后22 d再次发现上唇2个孤立性绿豆大小结节,中央略为凹陷,外观与之前皮疹类似(图1D)。考虑患者唇部不断有新发皮损且皮损有增大倾向,多次切除影响唇部外观,遂给予阿维A胶囊20 mg午餐时口服。电话随访患者,用药2周后皮损较前缩小,2个月后皮损消退。阿维A减量为10 mg继续口服1个月后停药。用药期间患者自觉唇部干燥不适,外用润唇膏后好转。复查肝肾功能及血脂基本正常。随访6个月无复发。




临床上KA主要包括单发型、多发型、发疹型,其中单发型最为常见[5],呈"生长期-静止期-消退期"动态变化的过程,整个过程通常需要4~9个月,部分可持续1年或数年[1,2]。KA典型特征为中央呈"火山口"样充满角质的半球形结节或斑块,质地坚实,部分表面可见毛细血管扩张。目前关于肿瘤自发消退确切机制不明确,可能与毛囊周期、免疫应答及细胞凋亡有关[6]。本例患者左手背和唇部多发性和复发性结节,病理证实为KA,因此符合多发型KA的诊断。但手背复发后皮损病理提示KA型高分化SCC改变,考虑原因可能是KA发生恶变。
KA型高分化SCC是SCC的一种亚型,临床表现及组织病理学特征与KA非常相似,目前尚无组织病理学标准能足够敏感或特异地区分这两种病变,故二者的鉴别比较困难[4,7]。前者可有不规则钝性生长的基底、真皮层或间质大量的混合性炎细胞浸润、非典型的基底样肿瘤细胞等病理学特征,而后者典型的病理学特征包括口唇样上皮、"火山口"中充满角质及肿瘤与基质间界限清楚[8]。研究显示,弥漫性Ki-67染色模式可用于诊断SCC,而中心型CK17染色模式提示KA[9]。此外,KA恶变多发生于年龄较大患者,文献[10]显示90岁以上老年患者KA的癌变率为13.9%,并有侵犯血管和神经的报道[11],这种特征与临床良性生物学行为不一致,因此部分学者更支持KA是SCC的一个亚型的观点[4]。
对KA恶变者给予手术干预是治疗的金标准,但有研究认为对于复发及多发的皮损,反复的外科手术可能会无意中在手术边缘或新植皮边缘导致反应性KA增加[12]。另外多发型及发疹型患者很少有自然消退的倾向,因此对于此类疾病应给予积极治疗。文献[12,13,14]报道可选择刮除、激光、冷冻治疗、瘤内注射化疗药物、系统用维甲酸、放疗、光动力疗法及外用咪喹莫特等多种治疗方案,疗效不一。有报道显示,单独应用阿维A酯每天0.5 mg/kg或联合手术切除可取得满意疗效[15],可能与维甲酸可调节表皮细胞的终末分化、抑制角化、增加白细胞介素2及丝裂原诱导的淋巴细胞增殖有关[16]。
本例患者为老年女性,术后唇部相继出现KA皮损,此种情况临床较为少见,可能与患者长期从事农业劳动日光暴露相关。唇部肿瘤生长较快,且不断出现新发皮损,多次切除影响唇部外观及可能诱发新的皮疹出现,故给予口服阿维A治疗。本例患者诊断明确,采用手术切除联合口服阿维A治疗方案对阻止肿瘤快速生长及恶变、促使皮损消退并预防新损害的发生、保留受累器官的外观及功能完整性有重要意义,为KA提供了一种可供选择的治疗手段,但不排除KA有自发消退的可能。因临床资料有限,对于多发型KA恶变为SCC患者的治疗方式选择及疗效需进一步研究。
所有作者均声明不存在利益冲突





















