
探讨原发眼睑产黏液内分泌汗腺癌(EMPSGC)的临床病理特征、诊断及鉴别诊断。
回顾性分析2022年1月徐州市第一人民医院收治的1例眼睑EMPSGC患者的临床资料,并复习相关文献。
患者为62岁男性,2年前右眼下睑处无明显诱因出现一肿物。肿瘤实体为边界清楚的膨胀性结节状,伴有囊性、实性、乳头状、筛孔状结构,乳头结构具有纤维血管轴心。免疫组织化学检查示:CAM5.2、GCDFP-15、CK7强阳性,突触素、嗜铬颗粒蛋白、NSE、CD57及雌激素和孕激素核染色阳性率为90%~100%,MA、p63、CD56呈局灶阳性,Ki-67阳性指数为5%~10%。经病理诊断为EMPSGC。
EMPSGC具有低级别的细胞学特征和神经内分泌分化特点,形态上类似乳腺实性乳头状腺癌。预后良好,手术完整切除即可,但切缘不干净,产生黏液量过多(超过肿瘤范围50%的黏液)是复发风险因素。确诊需依靠病理组织学结果,还需与腺样性癌、汗腺腺癌、汗孔癌等进行鉴别诊断。
版权归中华医学会所有。
未经授权,不得转载、摘编本刊文章,不得使用本刊的版式设计。
除非特别声明,本刊刊出的所有文章不代表中华医学会和本刊编委会的观点。
产黏液内分泌汗腺癌(EMPSGC)是一种少见的皮肤附属器肿瘤,也是一种低级别神经内分泌肿瘤,形态类似乳腺实性乳头状腺癌的皮肤肿瘤。好发部位在眼睑及眼部周围皮肤,但也有报告发生在面部或额外皮肤的位置。在一些病例中,此类肿瘤被认为是黏液癌的前驱病变。目前国内鲜有报道,本文报道我们收治1例原发于右眼下睑EMPSGC的诊治过程,并复习相关文献。
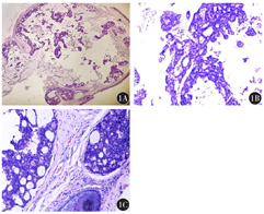
患者,男性,62岁,2年前右眼下睑处无明显诱因出现1个肿物,渐大,于2022年1月就诊于我院。完善相关检查:双眼视力均1.2,眼压、眼底等均无异常,全身淋巴结无肿大,相关系列检查均无异常。遂行门诊手术切除肿块。肉眼观察:肿块有包膜,与周围组织分界清楚,未向下生长累及睑板。病理大体可见皮肤及皮下组织1块,大小0.8 cm×0.7 cm×0.5 cm,表面光滑,切面质地中。病理组织学特征:肿瘤实体为边界清楚的膨胀性结节状,伴有囊性、实性、乳头状、筛孔状结构,乳头结构具有纤维血管轴心;肿瘤细胞小到中等大,多边形至圆形的导管细胞,胞质嗜双色性或呈蓝灰色。核染色质细腻呈细小斑点状、核圆形或卵圆形,核仁不明显,核分裂活性低,可见细胞内黏液和细胞外黏液(图1)。未做免疫组织化学检查前病理报告:(右眼下睑)少见肿瘤,有黏液分泌,汗腺来源,低级别肿瘤,考虑为EMPSGC,部分区域向黏液癌分化,部分切缘阳性。建议行免疫组织化学进一步加以明确。


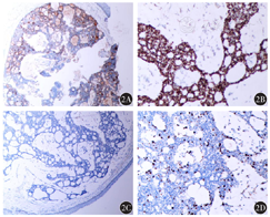
免疫组织化学结果:CAM5.2、GCDFP-15、CK7均强阳性,突触素、嗜铬颗粒蛋白、NSE、CD57、雌激素和孕激素核染色阳性率为90%~100%,MA、p63、CD56呈局灶阳性;CEA和CK20阴性,Ki-67阳性指数5%~10%(图2)。阿新蓝、PAS组织化学染色显示胞质内黏蛋白和胞外黏蛋白沉积。根据免疫组织化学结果病理报告:(右眼下睑)EMPSGC。随后每3个月进行电话随访,患者至今预后良好。


EMPSGC是一种多发于50~60岁老年人的少见肿瘤,女性多发。通常发生在皮肤附件的肿瘤,特别是源自汗腺的肿瘤,构成了形态学谱范围广的异质性肿瘤。根据组织发生,汗腺肿瘤主要显示大汗腺或小汗腺分化,EMPSGC在最新的皮肤肿瘤世界卫生组织(WHO)分类中被定义为一种低级别神经内分泌肿瘤,是发生于皮肤的类似于乳腺实体性乳头状癌的肿瘤[1,2,3]。自1997年被首次描述以来,文献报道的病例不足200例[4,5]。免疫组织化学和超微结构分析证实与乳腺相同的肿瘤具有相似的表型[6]。此类肿瘤呈缓慢生长,外观皮肤色多数呈蓝灰色丘疹样,也可呈囊性外观。肿瘤表现为边界清楚的膨胀性结节,伴有囊性、实性、乳头状、筛孔状结构,伴有神经内分泌分化和黏蛋白产生;乳头结构具有纤维血管轴心;肿瘤细胞小到中等大,多边形至圆形的导管细胞,胞质嗜双色性或呈蓝灰色。核染色质细腻呈细小斑点状、核圆形或卵圆形,核仁不明显。一部分细胞内和细胞外黏液可用黏液卡红染色染出。核分裂活性低。Ki-67阳性指数低于5%~10%。无肿瘤性坏死。在很多病例内,原位癌位于具有良性导管上皮的扩张的小汗腺导管内,同时伴有肌上皮。大的膨胀性结节通常缺少肌上皮细胞层,此特点和伴有推挤性浸润的癌组织结构一致。大量的细胞外间质黏液池和(或)浸润性肿瘤腺体或巢团的出现预示产内分泌黏蛋白的汗腺癌进展为黏液腺癌的概率提高。
皮肤附属器肿瘤分类繁杂,不同组织学亚型间存在一定形态学重叠,故临床实践中精确分类难度很大。EMPSGC临床发病率极低,易误诊为其他肿瘤,故确诊依靠病理组织学检查。此外,EMPSGC需与以下肿瘤进行鉴别诊断:(1)腺样性癌囊呈筛状、腺管状生长,由形态大小不一的"细胞岛"组成,内可见导管结构,其特征是由一层立方细胞和外围的肌上皮细胞组成,超微结构显示管腔内有微绒毛,有时筛状结构中可见大小不一微囊,囊内充满嗜碱性黏液样物质,肿瘤细胞比较均匀一致,有轻度异型,间质通常可见玻璃样变性,也可伴有黏液样变性并常常侵犯神经周围。典型的腺样囊性癌一般与表皮不相连,经典的筛孔样结构可作为与EMPSGC相鉴别的重要依据,而当出现囊内富含黏液样变性的腺样囊性癌时,仔细找寻肿瘤交界区浸润的方式和有无神经的侵犯可帮助与EMPSGC鉴别。必要时借助免疫组织化学结果,腺样性癌囊常表达EMA、S-100、CD117,周围肌上皮细胞表达p63等,MYB异位是特征性的分子表型[7]。(2)汗腺腺癌可分为小汗腺癌、大汗腺癌及某些特殊类型,鉴别要点是小汗腺癌腺腔窄,被覆一层扁平或立方形细胞,大汗腺癌腺腔较宽,瘤细胞大,胞质强嗜酸性,大汗腺癌系发生于大汗腺处[8]。汗腺腺癌多呈囊性结节状生长,细胞成分多样,有透明细胞样、鳞状细胞样、肌上皮样等,也可见上皮细胞内小泡,细胞异型大,核分裂多见。汗腺癌的免疫组织化学也常表达GCDFP-15、雌激素、孕激素,而汗腺癌少有黏液分泌,少有神经内分泌分化可作为与EMPSGC的鉴别点。(3)汗孔癌可呈原位癌或浸润性癌两种改变,原位汗孔癌病变局限在表皮,表现为典型汗孔瘤的模式,少见EMPSGC囊性、实性、乳头状、筛孔状肿瘤细胞结构,原位汗孔癌细胞呈蜂窝样排列,核呈多形性、核深染、有非典型核分裂像。汗孔癌组织形态多为溃疡结节,少见色素沉着,浸润性生长的汗孔癌,低倍镜下可见肿瘤局灶与表皮相延续向真皮深部呈浸润性生长,肿瘤从表皮下一直延伸到真皮深部,肿瘤的巢团中央可见片状的坏死及钙化,肿瘤细胞巢团所在的间质呈促纤维增生性间质,组织形态学上即可诊断为恶性,相较而言其生长方式就没EMPSGC友善,肿瘤细胞形态也比EMPSGC异型,具体表现核深染,局灶核仁明显,核分裂象较多。(4)基底细胞癌镜下呈结节状,常显示肿瘤细胞巢周边程度不一的栅栏状结构,而中心部细胞排列杂乱,肿瘤细胞胞质稀少、淡染或稍嗜酸性,细胞核具不典型、核分裂多见,核膜较厚;肿瘤内黏液可形成较大的湖状或囊腔,其间质为特征性的炎性黏液样,由比例不一的黏液、淋巴细胞、大量纤维母细胞、胶原等成分,这种间质特点可与EMPSGC单一的黏液间质相鉴别;其二基底细胞癌的肿瘤巢团与周围间质之间可形成特征性的裂隙,这一特点可广泛分布或仅局灶出现,也会帮助与EMPSGC区别。(5)皮肤的黏液腺癌好发眼睑皮肤,位于真皮及皮下,镜下显著特征是黏蛋白湖中漂浮着肿瘤细胞岛;肿瘤细胞呈团块实性分布,小的基底样细胞增生组成小巢或腺样结构,其内可见导管和微小囊状结构,多有腺样分化,出现筛孔状是其特点;肿瘤细胞呈多角形基底样,偶可见印戒细胞样,细胞有轻度异型,核分裂象少见,间质可见显著的黏液,彼此相互融合形成黏液湖,因产内分泌黏蛋白被认为是黏液癌的前驱病变,同属一谱系,故当核分裂多,细胞异型大时可以归为黏液腺癌。(6)小汗腺螺旋腺瘤属于良性皮肤附属器肿瘤,呈基底细胞样结节状生长,可伴小汗腺或大汗腺分化,瘤体位于真皮深层,由多个或单个小叶组成,与表皮不相连,小叶周边细胞体积小,呈基底细胞样,胞质少,细胞核圆形、深染;而小叶中央细胞体积大,细胞核淡染,苍白,胞质嗜酸性;有时细胞巢可见局灶或弥漫小汗腺导管结构,腔内含嗜酸性耐淀粉酶物质,PAS染色阳性;细胞巢内有时可见局灶或弥漫小,偶尔可伴局灶毛母细胞瘤成分或皮肤淋巴腺成分。免疫组织化学显示肿瘤细胞CK7、CK8/18、CK5/6及p63阳性;导管CEA及EMA阳性;部分显示SMA、calponin及S100阳性(伴肌上皮分化)。(7)汗腺瘤此肿瘤界限清楚,多发生在真皮浅层,可与表皮相连,较大体积者可深达皮下组织,该肿瘤由2种细胞构成,一致的嗜酸细胞和胞质透明富含糖原胞质透明的细胞,部分区域伴鳞状分化甚至可见角化珠形成。瘤体中有汗腺小管结构,可见扩张呈囊性的区域,囊内充满粉染无结构物,管腔或囊内衬立方导管细胞或柱状分泌细胞,核分裂少见。间质纤维化,由纤维血管组成或透明变性的胶原组成,可以粉染逐渐透明,也可以有腺管样结构,周边围绕硬化的胶原/基底膜样物质,腺管内细胞可以有黏液化生。免疫组织化学结果为腔面细胞呈EMA、CEA、HMFG-1及GCDFP-15阳性,肌上皮细胞呈S100及SMA阳性。EMPSGC预后良好,完整切除即可,但切缘不干净,产生黏液量过多(超过肿瘤范围50%的黏液)则是复发风险因素,但在迄今为止报道的190例EMPSGC中也仅有1例局部转移[9],可见EMPSGC临床生物活性非常惰性。
所有作者均声明不存在利益冲突





















