
结节状反晕征是反晕征中相对特殊的类型,它的出现对肉芽肿性疾病有较好的提示作用,从而能有效缩小鉴别诊断范围。本文通过分析一例胸部影像学表现为典型的结节状反晕征,临床高度怀疑为活动性肺结核,但常规病原学和分子生物学均无阳性结果,且合并有干燥综合征需鉴别继发性机化性肺炎的患者的确诊经过,提示将影像诊断和病理诊断相结合的重要价值。同时对结节状反晕征的疾病谱进行简要概述,以供临床参考。
版权归中华医学会所有。
未经授权,不得转载、摘编本刊文章,不得使用本刊的版式设计。
除非特别声明,本刊刊出的所有文章不代表中华医学会和本刊编委会的观点。
患者男,29岁,因“体检发现肺部病变20 d”于2023年2月20日入院。患者入院前20 d于外院体检,胸部CT提示“双肺多发异常密度病灶”,结核感染T细胞(TSPOT.TB)检测呈阳性,为进一步诊治,就诊我院。患者平素有轻度口干,无眼干、关节肿痛、皮疹、雷诺现象,无咳嗽、咳痰、畏寒、发热、潮热、盗汗、胸痛、咯血。患病以来,精神稍焦虑,饮食、睡眠、大小便正常,体重无明显变化。既往体健,无吸烟饮酒史。体格检查:体温36.3 ℃,脉率74次/min,呼吸频率16次/min,血压132/74 mmHg(1 mmHg=0.133 kPa),指氧饱和度97%(吸空气)。意识清楚,口唇无发绀。浅表淋巴结无肿大,双肺叩诊呈清音,双肺呼吸音清,双上肺可闻及散在湿啰音,未闻及胸膜摩擦音。心、腹未见明显异常。双下肢无水肿。
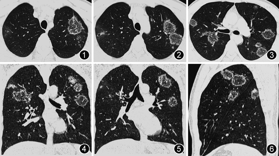
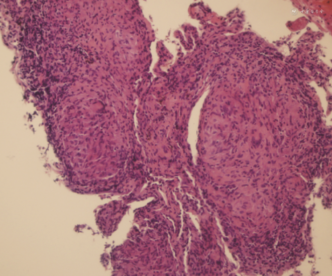
入院后查血常规:淋巴细胞计数1.057×109/L(正常参考值1.10~3.20×109/L),余正常;九项呼吸道感染病原体IgM抗体:抗肺炎支原体IgM抗体(+);肿瘤标志物:神经元特异性烯醇化酶(NSE)36.20 μg/L(正常参考值≤20.0 μg/L);抗核抗体谱:抗SSA抗体(+++),抗Ro-52抗体(+++);抗核抗体:核颗粒型1∶320(+)。大小便常规、肝肾功能、静脉血葡萄糖、电解质、凝血功能、细胞免疫功能、感染性疾病筛查均正常。血清(1,3)-β-D葡聚糖(G试验)、半乳甘露聚糖(GM试验)、抗中性粒细胞胞质抗体(ANCA)以及诱导痰细菌和真菌涂片及培养、抗酸杆菌涂片均为阴性。新型冠状病毒核酸阴性。床旁心电图:窦性心律,正常心电图。胸部CT:双肺多发大小不等斑片影,中央为磨玻璃密度影,边缘为环状高密度影,呈反晕征;病灶内可见多发微结节堆积,呈结节状反晕征(图1, 2, 3, 4, 5, 6)。支气管镜检查:支气管黏膜呈炎症表现,气管腔内可见少许白色泡沫痰,未见狭窄及新生物。双上肺BALF送检细菌和真菌培养、涂片查抗酸杆菌、分枝杆菌核酸(TB/NTM-DNA)和Xpert MTB/RIF均为阴性;BALF液基制片:未查见癌瘤细胞。于右上叶后段行黏膜活检术,病理示黏膜慢性炎症。(2023年2月22日)行CT引导下左上肺病灶穿刺活检术,病理示慢性肉芽肿性炎(图7),未查见抗酸杆菌。患者有口干症状,抗SSA抗体、抗Ro-52抗体强阳性,考虑干燥综合征可能,给予完善唇腺活检,病理示:送检唇腺内查见淋巴组织浸润>1灶,活检分级为Ⅳ级。患者干燥综合征诊断明确,但双肺多发反晕征是由活动性肺结核还是干燥综合征继发机化性肺炎(OP)导致仍不能确定。多学科诊疗团队(MDT)讨论后认为:患者青年男性,免疫功能正常,肺部病变以双上肺分布为主,表现为多发反晕征伴微结节堆积,与典型OP环壁光滑的反晕征不符,且TSPOT.TB呈阳性,病理见肉芽肿形成,高度怀疑为活动性肺结核;但结节病、干燥综合征继发的其他肺损害亦不能完全排除,建议病理组织完善结核分枝杆菌聚合酶链反应(TB-PCR)检测,必要时在征得患方同意后可予诊断性抗结核治疗。(2023年3月1日)病理组织外送TB-PCR(成都中医药大学附属医院):TB-DNA(+)。最终诊断:活动性肺结核合并干燥综合征。因患者无多系统受累表现,故仅给予标准四联方案抗结核治疗,未使用糖皮质激素或免疫抑制剂,嘱其至传染病医院及风湿免疫科门诊随诊。1个月后电话随访患者,诉其正接受抗结核治疗。遗憾的是,目前未能与患者取得再次联系,故未能知晓其治疗转归。




反晕征(reversed halo sign,RHS)也称环礁征,是胸部影像学中的常见征象。在高分辨率CT(HRCT)上,反晕征的特征性表现为中心磨玻璃影被完整或不完整的环状实变影围绕。反晕征的疾病谱较为广泛,大致可分为以下4类[1, 2]:(1)感染性疾病,如毛霉病、侵袭性曲霉病、隐球菌病、芽生菌病、肺孢子菌肺炎、肺结核、非典型病原体肺炎以及新型冠状病毒感染等;(2)肿瘤性疾病,如淋巴瘤样肉芽肿病、肺腺癌和肺转移癌;(3)非感染、非肿瘤性疾病,如OP、结节病、类脂性肺炎、肉芽肿性多血管炎、肺栓塞等;(4)治疗后的变化,如肺肿瘤经射频消融治疗后改变以及放射性肺炎。因此,反晕征虽有一定的提示性,但仍缺乏特异性。
结节状反晕征(nodular reverse halo sign,NRHS)是反晕征中相对特殊的类型,即在反晕征的环壁和(或)环内出现了弥漫分布的微结节,这些微结节在组织学上与肉芽肿相对应[3]。国内学者亦将这种成簇状堆积的小叶中心性微结节命名为“烟花征(fireworks sign)”,并根据局部堆积的微结节数量差异将烟花征分成了晕征样、反晕征样和均匀样3种不同的影像学表现形式[4]。NRHS的出现可以将反晕征的鉴别诊断范围缩小至结核病、结节病、副球孢子菌病和隐球菌病等肉芽肿性疾病中。(1)肺结核的影像可表现为小叶中心性结节、树芽征、支气管壁增厚、实变、空洞、斑片影、磨玻璃影等,病灶呈多形态、多部位、多钙化的特点;NRHS是肺结核的少见征象,多出现在免疫功能正常的青年患者,一般缺少临床症状,且常规病原学检查常为阴性[5],这些特征均与本例患者相符。(2)结节病是一种病因不明的、以非干酪样坏死性肉芽肿形成为病理特征的系统性肉芽肿性疾病;其典型影像表现为双侧对称的肺门或纵隔淋巴结增大,肺实质受累时可表现为多发沿淋巴管周围(支气管血管束、叶间裂、胸膜)分布的小结节[6];部分结节病可以出现NRHS,但多伴随有其他相对典型的征象[7]。(3)副球孢子菌病是拉丁美洲、巴西郊区最常见的真菌病;其影像表现多样,可以为结节、空洞、磨玻璃影、支气管血管周围间质增厚、支气管壁增厚、牵拉性支气管扩张和瘢痕旁肺气肿[7]等,约20%的病例可伴随出现NRHS。(4)肺隐球菌病是因吸入隐球菌孢子而引起的肺深部真菌病;影像学表现为单发或多发的结节、肿块、实变、磨玻璃影、空洞等,可伴有晕征,病变以胸膜下分布为主[8];有极少数的肺隐球菌病例可以出现NRHS。
干燥综合征是一种以淋巴细胞增殖和进行性外分泌腺体损伤为特征的自身免疫性疾病。其累及呼吸系统时可表现为间质性肺病,如非特异性间质性肺炎(NSIP)、普通型间质性肺炎(UIP)、淋巴细胞性间质性肺炎(LIP)和OP。OP的典型影像表现是分布于支气管血管束周围和胸膜下区域的多发实变,病变具有游走性。OP也是引起反晕征最常见的原因,但反晕征的外环常光滑,此点可与肉芽肿性疾病所致NRHS相鉴别。本例患者有口干症状,抗SSA抗体强阳性,结合唇腺活检病理结果,干燥综合征诊断明确。患者缺乏结核相关症状,常规病原学和BALF相关检测均为阴性,若未能及时识别影像上的NRHS、未进一步病理组织和TB-PCR证实而误诊为干燥综合征继发OP并贸然给予糖皮质激素治疗,则可能会造成严重的不良后果。
综上,反晕征的疾病谱比较广泛,需结合临床资料具体分析。NRHS的出现则高度提示肉芽肿性疾病,在感染性肉芽肿性疾病中主要为活动性肺结核,代表着病灶沿支气管的播散[4]。表现为NRHS的肺结核可能临床症状轻,常规检测阳性率低,需及时完善组织病理学检查,避免漏诊和误诊。
李果, 刘行仁, 杨凌婧, 等. 结节状反晕征[J]. 中华结核和呼吸杂志, 2023, 46(8): 844-846. DOI: 10.3760/cma.j.cn112147-20230424-00198.
所有作者声明无利益冲突





















